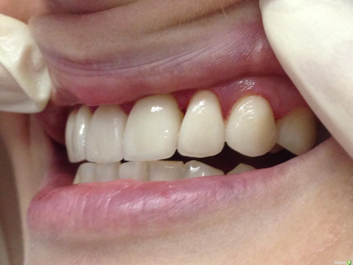
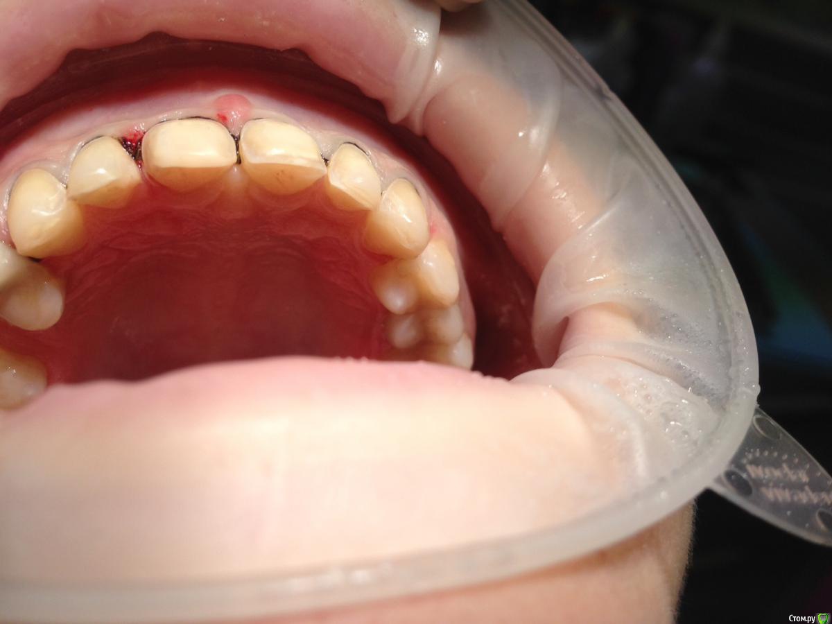
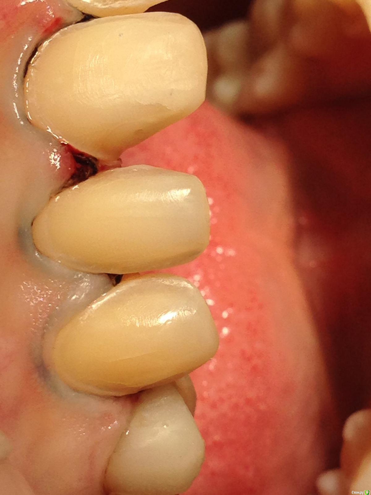
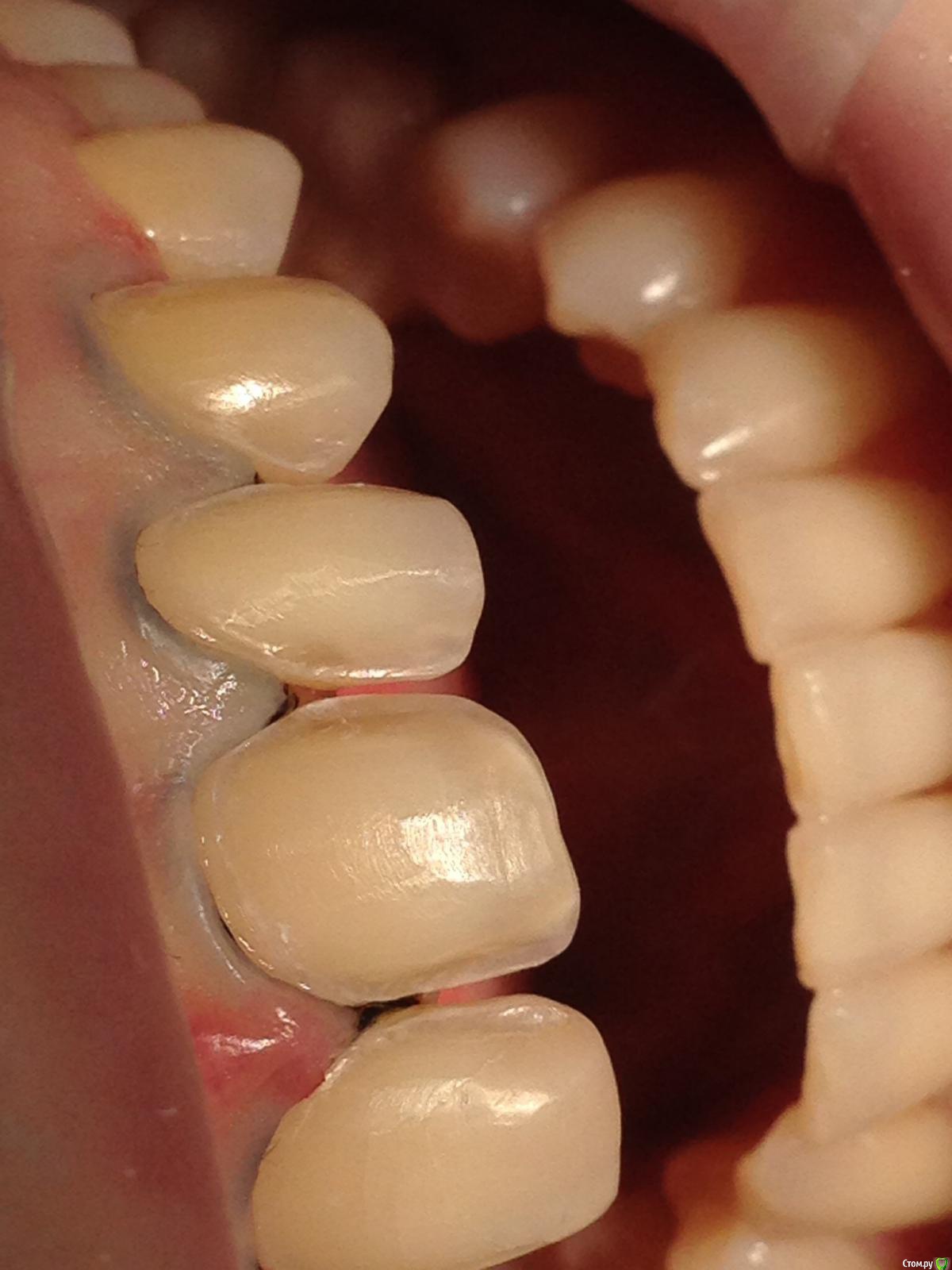
Bratok Опубликовано 2 мая, 2016 Поделиться Опубликовано 2 мая, 2016 Друзья коллеги выкладываю кейс на Ваш суд..К сожалению фото до потеряны(я их по ошибке удалил там были композитные реставрации, аппроксимальный кариес. Часть интактные.Сеейчас я бы уже так не препарировал. В отношении аппроксимальных поверхностей.Снес бы на нет и сделал микроуступ на контакте у сосочка. 12 Ссылка на комментарий
chervoncevdaniil Опубликовано 2 мая, 2016 Поделиться Опубликовано 2 мая, 2016 Аккуратная работа,фото с небной поверхности нет? Ссылка на комментарий
chervoncevdaniil Опубликовано 2 мая, 2016 Поделиться Опубликовано 2 мая, 2016 И второй вопрос,вам техник по одному оттиску отливает и рабочую и контрольную модель? Ссылка на комментарий
Bratok Опубликовано 2 мая, 2016 Автор Поделиться Опубликовано 2 мая, 2016 (изменено) Спасибо, если верить технику, то он дублировал силиконом или чем там они дублируют Изменено 2 мая, 2016 пользователем Bratok Ссылка на комментарий
Vvasilekk Опубликовано 10 мая, 2016 Поделиться Опубликовано 10 мая, 2016 (изменено) Норм Изменено 10 мая, 2016 пользователем Vvasilekk Ссылка на комментарий
Bratok Опубликовано 10 мая, 2016 Автор Поделиться Опубликовано 10 мая, 2016 НормСпасибо! Ссылка на комментарий
Рекомендуемые сообщения
Для публикации сообщений создайте учётную запись или авторизуйтесь
Вы должны быть пользователем, чтобы оставить комментарий
Создать аккаунт
Зарегистрируйте новый аккаунт в нашем сообществе. Это очень просто!
Регистрация нового пользователяВойти
Уже есть аккаунт? Войти в систему.
Войти