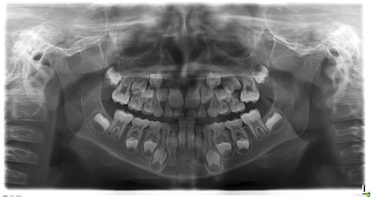
natashadmt Опубликовано 27 апреля, 2016 Поделиться Опубликовано 27 апреля, 2016 Добрый день.Очень нужен совет специалиста, чтобы принять верное решение (мальчик 7 лет)Неудачно растет 6й коренной зуб - выталкивает молочную 5ку (если смотреть на снимок, то речь идет о зоне сверху справа). Ребенок периодически жаловался на дискомфорт, но не очень активно. Сегодня воспалилась десна в зоне 5-6го зубов. Стоматолог прочистила карман, предполагает, что либо была травма десны между зубами (хотя момент травмы ребенок вспомнить не смог) либо дело в расположении зубов. Завтра прием у ортодонта, посоветуйте, пожалуйста, что делать в нашем случае? 1) Удалять ли здоровую молочную 5ку? Можно и нужно ли пытаться ее сохранять и как? Также буду очень благодарна за комментарии по ситуации в общем. Ссылка на комментарий
Yana guapa Опубликовано 27 апреля, 2016 Поделиться Опубликовано 27 апреля, 2016 можно сепарацию сделать коронки (сошлифовать часть эмали молочного зуба).так же ортодонт может предложить помочь вытолкнуть этот зуб (он покажет различные приспособления). 1 Ссылка на комментарий
natashadmt Опубликовано 27 апреля, 2016 Автор Поделиться Опубликовано 27 апреля, 2016 можно сепарацию сделать коронки (сошлифовать часть эмали молочного зуба).так же ортодонт может предложить помочь вытолкнуть этот зуб (он покажет различные приспособления). Яна, спасибо за ответ. Правильно я понимаю, что если завтра предложат удалять зуб не спешить соглашаться, а искать другого ортодонта? Переживаю из-за воспаления, на майские праздники планировали уехать из города и квалифицированную помощь будет не найти. Ссылка на комментарий
Yana guapa Опубликовано 27 апреля, 2016 Поделиться Опубликовано 27 апреля, 2016 вы же из Москвы! какие майские)) Moscow never sleeps!))) Ссылка на комментарий
natashadmt Опубликовано 27 апреля, 2016 Автор Поделиться Опубликовано 27 апреля, 2016 вы же из Москвы! какие майские)) Moscow never sleeps!))) Вот именно never sleeps)))) А очень хочетсяА можете сказать, исходя из снимка, много сыну светит ортодонтических проблем? Внизу передним зубам уже мало места, они еле-еле разместились и то криво, места мало. Сверху по снимку на мой взгляд тоже все не "очень". Вопрос в том, насколько серьезно именно в нашем случае нужно подойти к поиску специалиста, много работы предстоит? Мы можем поездку и отменить, если есть риск. Что можете посоветовать? Ссылка на комментарий
red_butler Опубликовано 27 апреля, 2016 Поделиться Опубликовано 27 апреля, 2016 http://forum.stom.ru/topic/4655-patcientam/ Ссылка на комментарий
Джима Опубликовано 27 апреля, 2016 Поделиться Опубликовано 27 апреля, 2016 (изменено) можно сепарацию сделать коронки (сошлифовать часть эмали молочного зуба).так же ортодонт может предложить помочь вытолкнуть этот зуб (он покажет различные приспособления). это называется эктопия прорезывания.если делать сепарацию на достаточную для движения постоянного зуба ширину, то молочный зуб придётся депульпировать, и не факт, что это удастся. Само по себе сошлифовывание может не решить проблемы, постоянный зуб всё равно нужно ортодонтически направлять книзу. Бывало, что после сошлифовывания постоянный зуб наклонялся вперёд ещё больше, и всё равно приходилось удалять молочный.В любом случае, нужен толковый ортодонт+толковый детский стоматолог. Изменено 27 апреля, 2016 пользователем Джима Ссылка на комментарий
natashadmt Опубликовано 27 апреля, 2016 Автор Поделиться Опубликовано 27 апреля, 2016 это называется эктопия прорезывания.если делать сепарацию на достаточную для движения постоянного зуба ширину, то молочный зуб придётся депульпировать, и не факт, что это удастся. Само по себе сошлифовывание может не решить проблемы, постоянный зуб всё равно нужно ортодонтически направлять книзу. Бывало, что после сошлифовывания постоянный зуб наклонялся вперёд ещё больше, и всё равно приходилось удалять молочный.В любом случае, нужен толковый ортодонт+толковый детский стоматолог.Подскажите, если зуб все-таки удалять, то можно потом избежать того, что место 5ки займут 4й и 6й зубы?Как правильнее действовать, стараться всеми способами сохранить 5й зуб (понимая, что попытки могут не увенчаться успехом) или, если будет ортодонт настаивать на удалении и предложит вариант как сохранить место - удалить? Ссылка на комментарий
Force Опубликовано 27 апреля, 2016 Поделиться Опубликовано 27 апреля, 2016 Я тоже за пришлифовывание. Ссылка на комментарий
natashadmt Опубликовано 28 апреля, 2016 Автор Поделиться Опубликовано 28 апреля, 2016 Спасибо за советы. Сегодня были у доступного врача, он может предложить:1) по верхней челюсти: только вариант удаления 5го и установки пластины с 2мя винтами (расширяющий и выравнивающий зуб). Сказал, что корень 5го уже почти рассосался. Если шлифовать, то под винт места не будет и выровнять 6й все равно не удастся.2) по нижней челюсти расширяющую пластину с одним винтом Можете пояснить, как можно выровнять рост 6ки при сохранении 5го зуба? В чем плюсы минусы предложенного плана? Прикладываю еще несколько фото зубов. Ссылка на комментарий
Yana guapa Опубликовано 28 апреля, 2016 Поделиться Опубликовано 28 апреля, 2016 Можете пояснить, как можно выровнять рост 6ки при сохранении 5го зуба? В чем плюсы минусы предложенного плана? Прикладываю еще несколько фото зубов. http://i9.pixs.ru/thumbs/2/0/4/054b300x26_2123699_21734204.jpghttp://i9.pixs.ru/thumbs/2/0/5/1044a00jpg_9385611_21734205.jpghttp://i11.pixs.ru/thumbs/2/0/7/images2jpe_9068640_21734207.jpghttp://i9.pixs.ru/thumbs/2/0/8/images3jpe_9720062_21734208.jpg думаю по картинкам все понятно 2 Ссылка на комментарий
Yana guapa Опубликовано 28 апреля, 2016 Поделиться Опубликовано 28 апреля, 2016 свои зубы на месте, передают нагрузку на кость, челюсти развиваются. но, конечно, для лечения используются не банальные пластинки из поликлиники. необходимо придумать половчее что нибудь. 1 Ссылка на комментарий
Рекомендуемые сообщения
Для публикации сообщений создайте учётную запись или авторизуйтесь
Вы должны быть пользователем, чтобы оставить комментарий
Создать аккаунт
Зарегистрируйте новый аккаунт в нашем сообществе. Это очень просто!
Регистрация нового пользователяВойти
Уже есть аккаунт? Войти в систему.
Войти