St. Опубликовано 25 апреля, 2016 Поделиться Опубликовано 25 апреля, 2016 Какие этапы по вашему мнению нужно обязательно фотографировать при полном фотопротоколе при эндо и реставрациях? Ссылка на комментарий
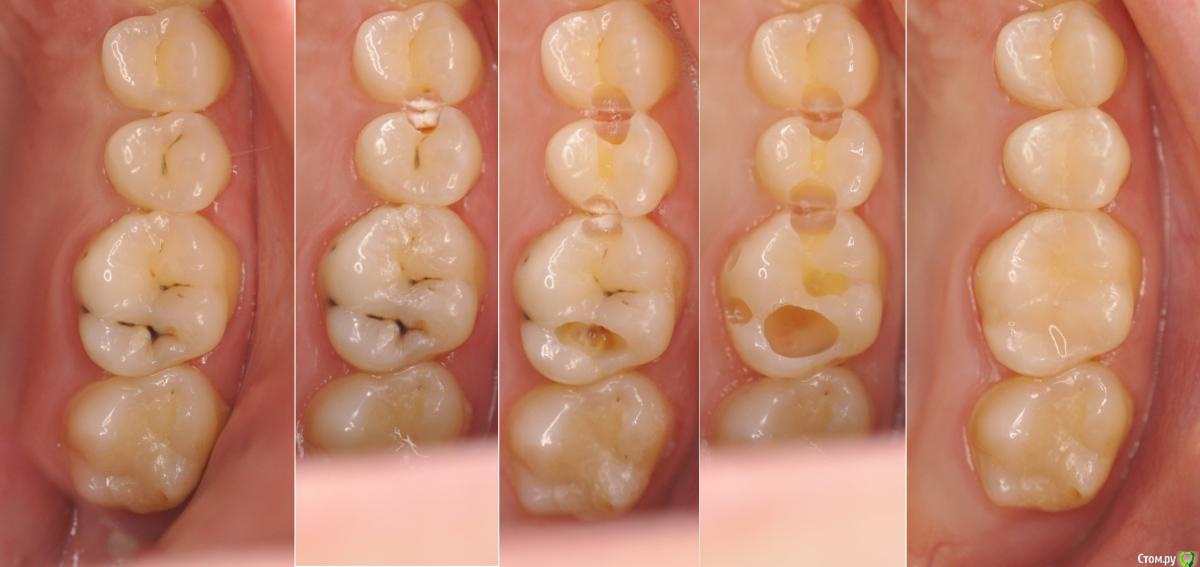
Гарриевич Опубликовано 25 апреля, 2016 Поделиться Опубликовано 25 апреля, 2016 Кариес:-Изначально-На этапе вскрытия-после некрэктомии-прилегание матрицы-По желанию после формирования Контакта -итоговый в коффе-после окклюзионный адаптации и полировки 1 Ссылка на комментарий
Гарриевич Опубликовано 25 апреля, 2016 Поделиться Опубликовано 25 апреля, 2016 Эндо:-изначально-после некрэктомии и удаления старой пломбы (если удаляете её на этапе эндо)-устья изначально-после Мехмед-обтурация 1 Ссылка на комментарий
Паращук Роман Опубликовано 25 апреля, 2016 Поделиться Опубликовано 25 апреля, 2016 как нраицца Ссылка на комментарий
St. Опубликовано 25 апреля, 2016 Автор Поделиться Опубликовано 25 апреля, 2016 Гарриевич, спасибо) как нраицца Не, надо знать к чему стремиться.. 1 Ссылка на комментарий
Паращук Роман Опубликовано 26 апреля, 2016 Поделиться Опубликовано 26 апреля, 2016 Гарриевич, спасибо) Не, надо знать к чему стремиться.. не усложнять себе жизнь 3 Ссылка на комментарий
St. Опубликовано 26 апреля, 2016 Автор Поделиться Опубликовано 26 апреля, 2016 Это да)) Но иначе скучно Ссылка на комментарий
LeFor Опубликовано 8 мая, 2016 Поделиться Опубликовано 8 мая, 2016 ... коффер забыл сфотать 4 Ссылка на комментарий
LeFor Опубликовано 8 мая, 2016 Поделиться Опубликовано 8 мая, 2016 кто знает где продаются черные внутриротовые подставки для черного фона??? и серая штука для для коррекции желтезны?? Ссылка на комментарий
M@estro Опубликовано 8 мая, 2016 Поделиться Опубликовано 8 мая, 2016 кто знает где продаются черные внутриротовые подставки для черного фона??? и серая штука для для коррекции желтезны?? 1) вырезать из лопаток для тефлона( кухонныХ ) или из черной папки эрихкраузе2) "серая штука для коррекции желтизны" - настройте баланс белого один разх. Вы снимаете в одинаковыхъ условияхъ + - 1 Ссылка на комментарий
Evikrol Опубликовано 8 мая, 2016 Поделиться Опубликовано 8 мая, 2016 Первая штука которую вы ищете называется контрастер Ссылка на комментарий
Sier10 Опубликовано 21 августа, 2020 Поделиться Опубликовано 21 августа, 2020 Берёте ли вы ИДС на проведение фото протокола? Не нашел подходящей темы, пришлось поднять эту. Если обсуждалось, ткните, пожалуйста Ссылка на комментарий
St. Опубликовано 23 августа, 2020 Автор Поделиться Опубликовано 23 августа, 2020 Берёте ли вы ИДС на проведение фото протокола? Не нашел подходящей темы, пришлось поднять эту. Если обсуждалось, ткните, пожалуйстау нас в общем договоре есть пункт про фото. Чаще я фоткаю только зубы без лица, так что проблем нет.В случае публикации где-то фото с лицом пациентов обсуждаем заранее и чаще все равно используем очки 2 Ссылка на комментарий
koss Опубликовано 8 сентября, 2020 Поделиться Опубликовано 8 сентября, 2020 кто знает где продаются черные внутриротовые подставки для черного фона??? и серая штука для для коррекции желтезны??https://aliexpress.ru/item/33020970523.html?spm=a2g0s.9042311.0.0.4ae633edbmZjyE&_ga=2.119617608.1915770398.1599529447-679144355.1577399064 Ссылка на комментарий
Рекомендуемые сообщения
Для публикации сообщений создайте учётную запись или авторизуйтесь
Вы должны быть пользователем, чтобы оставить комментарий
Создать аккаунт
Зарегистрируйте новый аккаунт в нашем сообществе. Это очень просто!
Регистрация нового пользователяВойти
Уже есть аккаунт? Войти в систему.
Войти