apex007 Опубликовано 22 апреля, 2016 Поделиться Опубликовано 22 апреля, 2016 Добрый вечер! Перелечивали каналы в резорциновом 46 из-за образования небольшой кистогранулемы в апикальной части. Корни у апекса изогнутые в сторону вертикальной оси зуба, поэтому пройти каналы полностью (до апекса) не удалось. Каналы закрыты гуттаперчей. Врач предлагает установить культевую вкладку, но отказывается делать рентген. Разве не нужно делать контрольные снимки в таком случае? Или здесь по принципу "уже ничего не сделать, поэтому и смысла нет"? КТ до лечения есть, могу выложить.Спасибо! Ссылка на комментарий
apex007 Опубликовано 22 апреля, 2016 Автор Поделиться Опубликовано 22 апреля, 2016 Да, апекс-локатор использовался при обработке каналов. Ссылка на комментарий
St. Опубликовано 22 апреля, 2016 Поделиться Опубликовано 22 апреля, 2016 Что значит отказывается??Снимок можно сделать в любой другой клинике если что. Без финального снимка я бы не рекомендовала начинать протезирование. 2 Ссылка на комментарий
ЕленаВалерьевна Опубликовано 22 апреля, 2016 Поделиться Опубликовано 22 апреля, 2016 (изменено) после эндолечения снимок должен быть обязательно! присоединяюсь к коллеге, снимок можно и в другом месте сделать, если в этом не хотят делать. к тому же если перелечивали каналы из-за гранулемы и при этом не прошли каналы, то как она вылечится то... а где протезироваться планируете? ортопеду нужен будет снимок. Изменено 22 апреля, 2016 пользователем ЕленаВалерьевна Ссылка на комментарий
apex007 Опубликовано 23 апреля, 2016 Автор Поделиться Опубликовано 23 апреля, 2016 Что значит отказывается??Снимок можно сделать в любой другой клинике если что. Без финального снимка я бы не рекомендовала начинать протезирование. Врач говорит что нет смысла делать снимок, КТ делали до лечения, через год примерно нужно повторить КТ и сравнивать. Я просил рентген с файлами в каналах - не согласилась... А что лучше - снова КТ сделать? к тому же если перелечивали каналы из-за гранулемы и при этом не прошли каналы, то как она вылечится то...а где протезироваться планируете? ортопеду нужен будет снимок.Предполагается, что бОльшая часть каналов очищена (раза 3 промывали и кальций на 2 недели под временную пломбу). Понятно, что невозможно полностью очистить всю дельту каналов, а в этом случае у апексов еще немного резорцина осталось...Буду думать о резекции верхушек через год, если не будет улучшения...Или лучше сейчас найти врача пройти полностью каналы, до установки культевой вкладки?Врач говорит, что нельзя дальше идти, получится перфорация... При этом рентген с файлами не делали (чтобы понять где инструмент) - говорит что тактильно чувствует... Сомнения у меня... На вкладку коронку думаю там же ставить... Разве не достаточно слепка для этого - зачем ортопеду снимок? Или врач ортопеду результаты КТ покажет - там видно что было до обточки зуба под коронку. Ссылка на комментарий
ЕленаВалерьевна Опубликовано 23 апреля, 2016 Поделиться Опубликовано 23 апреля, 2016 Или лучше сейчас найти врача пройти полностью каналы, до установки культевой вкладки? самое разумное будет на данный момент.а снимок в другом месте сделать можете? На вкладку коронку думаю там же ставить... Разве не достаточно слепка для этого - зачем ортопеду снимок? Или врач ортопеду результаты КТ покажет - там видно что было до обточки зуба под коронку.вы какое КТ хотите ортопеду показать? до лечения? или через год ? а тогда когда вкладку делать, тоже потом? снимок ( кт тоже подойдет) нужен после лечения, чтобы удостовериться в успехе, врач же гарантию дает на свою работу. Ссылка на комментарий
apex007 Опубликовано 23 апреля, 2016 Автор Поделиться Опубликовано 23 апреля, 2016 самое разумное будет на данный момент.а снимок в другом месте сделать можете? вы какое КТ хотите ортопеду показать? до лечения? или через год ? а тогда когда вкладку делать, тоже потом? Спасибо, планирую 2 снимка завтра сделать (разный угол) Для вкладки слепок уже сделали, на след. неделе вкладка будет готова (врач говорит, что нужно закрыть зуб) КТ на данный момент есть "до лечения" только. Ссылка на комментарий
Гарриевич Опубликовано 23 апреля, 2016 Поделиться Опубликовано 23 апреля, 2016 к тому же если перелечивали каналы из-за гранулемы и при этом не прошли каналы, то как она вылечится то... Для получения заживлениях не обязательно "полностью" проходить каналы Ссылка на комментарий
Гарриевич Опубликовано 23 апреля, 2016 Поделиться Опубликовано 23 апреля, 2016 Судя по Вашему описанию врача, у человека в голове есть пониманиеТолько про отказ от снимков странновато, Вы его знакомая? Ссылка на комментарий
apex007 Опубликовано 27 января, 2021 Автор Поделиться Опубликовано 27 января, 2021 Судя по Вашему описанию врача, у человека в голове есть пониманиеТолько про отказ от снимков странновато, Вы его знакомая?да, врач - женщина) Ссылка на комментарий
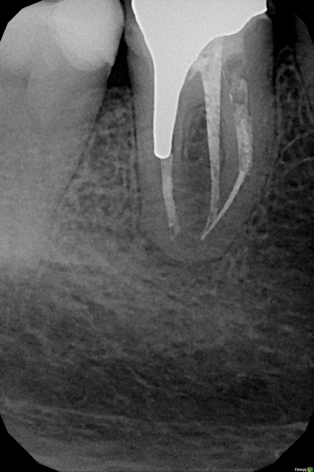
apex007 Опубликовано 27 января, 2021 Автор Поделиться Опубликовано 27 января, 2021 Всем ответившим большое спасибо за помощь, для истории выкладываю снимки до перелечивания () и через 4 месяца (улучшение, ). Ссылка на комментарий
Рекомендуемые сообщения
Для публикации сообщений создайте учётную запись или авторизуйтесь
Вы должны быть пользователем, чтобы оставить комментарий
Создать аккаунт
Зарегистрируйте новый аккаунт в нашем сообществе. Это очень просто!
Регистрация нового пользователяВойти
Уже есть аккаунт? Войти в систему.
Войти