Brigita Опубликовано 11 мая, 2016 Поделиться Опубликовано 11 мая, 2016 Спасибо, Таня, ты как всегда, кладезь. Куплю пульпотек, хоть и надоело уже за все платить самой. С детей к меня "навара" нет, расход один. Но за удовольствия же надо платить. Утешусь этой мыслью... 1 Ссылка на комментарий
Джима Опубликовано 11 мая, 2016 Поделиться Опубликовано 11 мая, 2016 Это пока нет 3 Ссылка на комментарий
Brigita Опубликовано 12 мая, 2016 Поделиться Опубликовано 12 мая, 2016 Таня, можно я еще спрошу не по теме?Если я еще куплю эмаль ликвид для профилактики - стоит ли? И как его пользовать - сначала курс ремтерапии с кальцием на месяц типа тусс мусса, потом ликвид или можно наоборот? Фтор же, наверное препятствует проникновению кальция. Или нет?Не пользовалась никогда им. Наши тетки серебрят активно и меня агитируют. Я, когда снимаю это серебро вижу иногда активный процесс - плохой, кмк это метод... Ссылка на комментарий
Kota Опубликовано 12 мая, 2016 Поделиться Опубликовано 12 мая, 2016 (изменено) Таня, можно я еще спрошу не по теме?Если я еще куплю эмаль ликвид для профилактики - стоит ли? И как его пользовать - сначала курс ремтерапии с кальцием на месяц типа тусс мусса, потом ликвид или можно наоборот? Фтор же, наверное препятствует проникновению кальция. Или нет?Не пользовалась никогда им. Наши тетки серебрят активно и меня агитируют. Я, когда снимаю это серебро вижу иногда активный процесс - плохой, кмк это метод...я не Таня, но отвечу. я им пользуюсь и очень активно. результаты хорошие. начали пользоваться где то лет 7 назад, потом наше руководство не захотело его закупать, мотивируя дороговизной, но я пошла к учредителям и настояла. нам опять начали его покупать. сразу гигиена. потом в идеале отправить домой наладить гигиену и пройти курс с тусс мусом или рокс рем.гель , но так можно и не дождаться пациента обратно. по этому я делаю сразу 2 - 3 сеанса с интервалом неделю. пятна так и остаются, кариес не развивается. если уже есть шероховатость, то лучше дентин герметизирующий ликвид. дентин это отдельная песня. это моя любовь), но речь не о нем сейчас. Изменено 12 мая, 2016 пользователем Kota 2 Ссылка на комментарий
Brigita Опубликовано 12 мая, 2016 Поделиться Опубликовано 12 мая, 2016 я не Таня, но отвечу. я им пользуюсь и очень активно. результаты хорошие. начали пользоваться где то лет 7 назад, потом наше руководство не захотело его закупать, мотивируя дороговизной, но я пошла к учредителям и настояла. нам опять начали его покупать. сразу гигиена. потом в идеале отправить домой наладить гигиену и пройти курс с тусс мусом или рокс рем.гель , но так можно и не дождаться пациента обратно. по этому я делаю сразу 2 - 3 сеанса с интервалом неделю. пятна так и остаются, кариес не развивается. если уже есть шероховатость, то лучше дентин герметизирующий ликвид. дентин это отдельная песня. это моя любовь), но речь не о нем сейчас. Ой, спасибо, что ответили.В инструкции написано - однократно, раз в полгода. Вариант 2-3 процедуры мне тоже кажется более надежным. А с какого возраста его можно применять? И про любовь - про дентин-ликвид, расскажите пож-та. Разорюсь. Ссылка на комментарий
Джима Опубликовано 12 мая, 2016 Поделиться Опубликовано 12 мая, 2016 (изменено) Девчата, может, это в рем-терапию лучше?http://forum.stom.ru/topic/32265-clinpro-white-varnish-kak-polzovatsia/ Изменено 12 мая, 2016 пользователем Джима Ссылка на комментарий
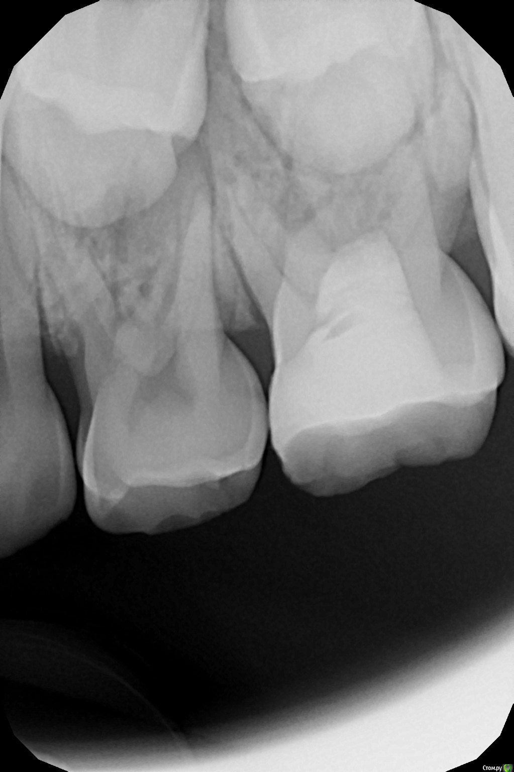
crown Опубликовано 19 октября, 2016 Автор Поделиться Опубликовано 19 октября, 2016 8 лет 2 месяца назад лечил 6.5 пульпитный с триоксидентом, сегодня отек в районе четверки и перкуссия ее болезненна, но она интактная. Решил полезть в 6.5, мб2 и мб1 прошел, закинул кальций, в небный не могу войти орет, дистальный вообще туго, облитерировалось по ходу все к чертям, пока оставил так. Но меня терзают сомнения, так как симптоматика вся на четвертом зубе и на снимке изменения в 6.4. Мамаша еще мозг выносит, сыпит вопросами как из пушки и тут не понятно то ли ребенка лечить то ли ей на вопросы отвечать. Ссылка на комментарий
Mikhail_29_rus Опубликовано 23 октября, 2016 Поделиться Опубликовано 23 октября, 2016 8 лет 2 месяца назад лечил 6.5 пульпитный с триоксидентом, сегодня отек в районе четверки и перкуссия ее болезненна, но она интактная. Решил полезть в 6.5, мб2 и мб1 прошел, закинул кальций, в небный не могу войти орет, дистальный вообще туго, облитерировалось по ходу все к чертям, пока оставил так. Но меня терзают сомнения, так как симптоматика вся на четвертом зубе и на снимке изменения в 6.4. Мамаша еще мозг выносит, сыпит вопросами как из пушки и тут не понятно то ли ребенка лечить то ли ей на вопросы отвечать.У меня тоже бывали подобные случаи, но как правило, зуб выстреливал сразу после лечения. Но тогда я "грешил " с гемостазом. На 65 зубе правило "3 минут" сработало? Гемостазу не помогали ? Если все с 65 сделали верно , то скорее всего 64. В любом случае, удачи в решении не самой простой задачи в особенности с непростой мамой Ссылка на комментарий
crown Опубликовано 23 октября, 2016 Автор Поделиться Опубликовано 23 октября, 2016 На счет гемостаза не помню. Мож терпел малец и не жаловался, пока щека не припухла. Спасибо Михаил. Ссылка на комментарий
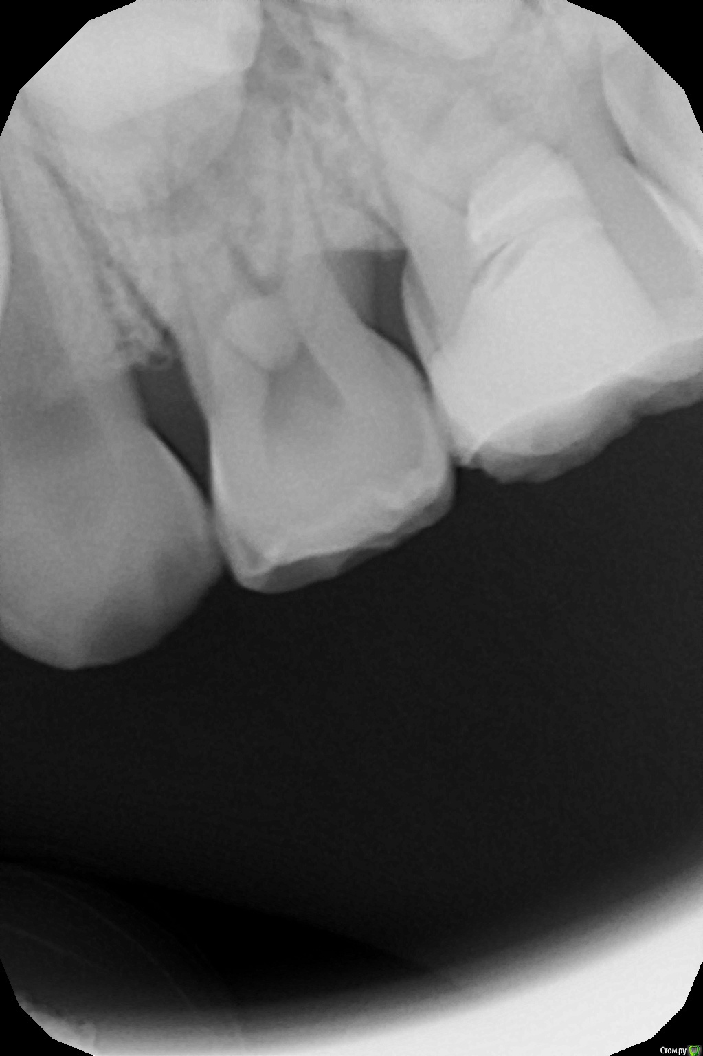
Olga25 Опубликовано 14 ноября, 2016 Поделиться Опубликовано 14 ноября, 2016 Лично я бы удалила. там же очаг деструкции по бифуркации. прогноз для зуба неблагоприятный да еще и зачатком рискуете. жаль, что я еще не совсем разобралась да и с техникой не очень дружу. а так бы показала снимок на котором видно полную резорбцию корня зачатка постоянного 14 зуба после эндолечения 54 зуба. вернее на зачатке были видны следы пломбировочной массы, 54 зуб удалился, зачаток 14 прорезался, но корень рассосался. так и болтается шляпка коронки постоянного зубаЗдравствуйте!Я понимаю,что из-за проблем с мол.зубом может произойти и гибель зачатка,но при тяжел.осложнениях.В данном случае возможна гипоплазия. Почему корень постоянного зуба рассосался?Я таких случае не встречала.Какой прогноз для такого пост. зуба?? Ссылка на комментарий
Kota Опубликовано 15 ноября, 2016 Поделиться Опубликовано 15 ноября, 2016 Лично я бы удалила. там же очаг деструкции по бифуркации. прогноз для зуба неблагоприятный да еще и зачатком рискуете. жаль, что я еще не совсем разобралась да и с техникой не очень дружу. а так бы показала снимок на котором видно полную резорбцию корня зачатка постоянного 14 зуба после эндолечения 54 зуба. вернее на зачатке были видны следы пломбировочной массы, 54 зуб удалился, зачаток 14 прорезался, но корень рассосался. так и болтается шляпка коронки постоянного зубаЗдравствуйте!Я понимаю,что из-за проблем с мол.зубом может произойти и гибель зачатка,но при тяжел.осложнениях.В данном случае возможна гипоплазия. Почему корень постоянного зуба рассосался?Я таких случае не встречала.Какой прогноз для такого пост. зубпочему рассосался я не знаю. эндодонтическое лечение 54 зуба проводилось не у нас. если не забуду, то постараюсь выложить фото. Ссылка на комментарий
Рекомендуемые сообщения
Для публикации сообщений создайте учётную запись или авторизуйтесь
Вы должны быть пользователем, чтобы оставить комментарий
Создать аккаунт
Зарегистрируйте новый аккаунт в нашем сообществе. Это очень просто!
Регистрация нового пользователяВойти
Уже есть аккаунт? Войти в систему.
Войти