Kota Опубликовано 25 апреля, 2016 Поделиться Опубликовано 25 апреля, 2016 ясно. у нас дороже. пульпит в одно посещение ампутационным методом с анестезией, коффером и пломбой 80 у.е. а если пломбировка каналов да снимки да 2-3 посещения, то 200 точно будет. по этому я берусь только за те зубы, в которых сама вижу результат. за сомнительные зубы с таким прейскурантом не берусь. Тань, а можешь мне набросать, что нужно из инструментов для эндодонтии молочных зубов. вот например ребенок под коффером и я ему обрабатываю каналы. С коффером кстати спасибо. уже работаю активно. но как то детям не очень нравится.но привыкнут. Ссылка на комментарий
Kota Опубликовано 25 апреля, 2016 Поделиться Опубликовано 25 апреля, 2016 если что, это молочный прайс, не подумайте, что это эндо шестёрки постоянными зубами (эндодонтией) у нас занимаются эндодонты с микроскопом. там вообще другие цены. Ссылка на комментарий
Джима Опубликовано 25 апреля, 2016 Поделиться Опубликовано 25 апреля, 2016 (изменено) пульпит в одно посещение ампутационным методом с анестезией, коффером и пломбой 80 у.е.у меня такой пульпит чуть больше 40 выйдет.посмотрела сейчас нашу самую модную детскую клинику - даже у них таких цен нет: http://dino.sadkomed.ru/vopros. Ты, случаем, не в той вип-клинике, где много иностранцев лечится? Одноклассница там работает. можно в личку название? выходит, что моим пациентам за их 50 повезло больше, чем твоим за 200 у Оксаны цены выше, чем у меня, в Краснодаре ёмкость рынка побольше, чем у нас на Бору, но молочный пульпит всё равно не пять тыщ. Ксан, не?а вообще, если пац лечит зуб за 50уе, это не значит, что он за него снимет только четверть шкуры врача, а за 200 - всю шкуру целиком. это значит лишь то, что за 200 он её будет снимать швейцарским ножиком, а за 50 - кухонным керамическим а если серьёзно и без шуток, то у меня оговорено и в карточке с 2014 где-то года прописано, что единственная гарантия - удаление такого зуба в течение первого года без оплаты. до сих пор этим пунктом не пользовалась, обычно уже под кальцием видно, пойдёт зуб дальше или сразу удалить. Изменено 25 апреля, 2016 пользователем Джима 1 Ссылка на комментарий
Джима Опубликовано 25 апреля, 2016 Поделиться Опубликовано 25 апреля, 2016 моё молочное эндо - уже писала - гейтсы 1 и 2, Н-файлы 25,30. Ну, может, 20 иногда в руки беру. Резцы - клыки - только Н-файлы 40. Промываю ХГ2%. Работать надо нежно, чтоб за канал ничего не вылетало, промывать лучше обратным путём - в канал эндовак или наш колхозный аналог, на устья или в соседний канал капаем раствор. сушу тем же эндоваком. после метапекса на устья уплотняю пульпотек. Ссылка на комментарий
Kota Опубликовано 25 апреля, 2016 Поделиться Опубликовано 25 апреля, 2016 моё молочное эндо - уже писала - гейтсы 1 и 2, Н-файлы 25,30. Ну, может, 20 иногда в руки беру. Резцы - клыки - только Н-файлы 40. Промываю ХГ2%. Работать надо нежно, чтоб за канал ничего не вылетало, промывать лучше обратным путём - в канал эндовак или наш колхозный аналог, на устья или в соседний канал капаем раствор. сушу тем же эндоваком. после метапекса на устья уплотняю пульпотек.спасибо. сейчас уже ухожу. в личку сброшу клинику. Ссылка на комментарий
Kota Опубликовано 25 апреля, 2016 Поделиться Опубликовано 25 апреля, 2016 выходит, что моим пациентам за их 50 повезло больше, чем твоим за 200 ну мне как то и не попадаются периодонтиты. возможно потому, что я сейчас работаю на своих пациентах. мне некуда писать своих, первичек у меня мало, разве что по рекомендации. если не берусь я, то ортодонтия аппаратиком и все. сразу я их пыталась лечить, но результат меня не радовал. по этому забросила это. лечу крайне редко. это сейчас я хоила на семинар: лечить нельзя удалять и там молодежь уже делилась своими хорошими результатами. попробую и я. это не вопрос. было бы желание. Ссылка на комментарий
Kota Опубликовано 25 апреля, 2016 Поделиться Опубликовано 25 апреля, 2016 у меня такой пульпит чуть больше 40 выйдет.посмотрела сейчас нашу самую модную детскую клинику - даже у них таких цен нет: http://dino.sadkomed.ru/vopros. Ты, случаем, не в той вип-клинике, где много иностранцев лечится? Одноклассница там работает. можно в личку название? выходит, что моим пациентам за их 50 повезло больше, чем твоим за 200 у Оксаны цены выше, чем у меня, в Краснодаре ёмкость рынка побольше, чем у нас на Бору, но молочный пульпит всё равно не пять тыщ. Ксан, не?а вообще, если пац лечит зуб за 50уе, это не значит, что он за него снимет только четверть шкуры врача, а за 200 - всю шкуру целиком. это значит лишь то, что за 200 он её будет снимать швейцарским ножиком, а за 50 - кухонным керамическим а если серьёзно и без шуток, то у меня оговорено и в карточке с 2014 где-то года прописано, что единственная гарантия - удаление такого зуба в течение первого года без оплаты. до сих пор этим пунктом не пользовалась, обычно уже под кальцием видно, пойдёт зуб дальше или сразу удалить.посмотрела сайт. у вас много детских стоматологов специалистов для такого города. Киев больше как минимум в 2-2,5 раза, а именно хороших детских стоматологов раз два и обчелся. Ссылка на комментарий
Джима Опубликовано 25 апреля, 2016 Поделиться Опубликовано 25 апреля, 2016 (изменено) ну да. модно стало в последнее время, вот и повалили валом переучиваться . хороших и у нас мало. Изменено 25 апреля, 2016 пользователем Джима Ссылка на комментарий
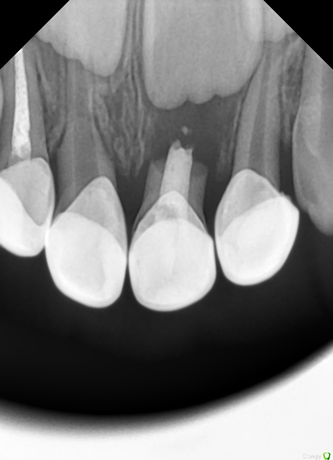
CRAZYDUCK Опубликовано 29 апреля, 2016 Поделиться Опубликовано 29 апреля, 2016 (изменено) Не смогла найти тему , в которой ЦОЭ обсуждали .Вот снимок до лечения (в ноябре )Девочке 3 годика ,договориться не удалось,отправила в другую клинику на сани с седацией ,полечились, пришли неделю назад с жалобой на подвижность зуба ,зуб реально ходуном ходит ,свища нет и вот он ЦОЭ ,даже с такой резорбцией не очень хочет рассасываться Но снимка после пломбирования у меня конечно же нет ,но боковой резец запломбирован хорошо . Изменено 29 апреля, 2016 пользователем CRAZYDUCK 2 Ссылка на комментарий
ЕленаВалерьевна Опубликовано 30 апреля, 2016 Поделиться Опубликовано 30 апреля, 2016 вот он ЦОЭ ,даже с такой резорбцией не очень хочет рассасываться Небольсина тоже вчера сказала, что ЦОЭ молочные не пломбируют, заметили что он не рассасывается, пришлось вызывать всех пациентов которых так пролечили и удалять зубы.мне метапекс нравится в случаях пломбирования корней молочек, ДФ тоже вроде как его хвалят. опять же при пульпитах он рассасывается вместе с резорбирующимся корнем, а при периодонтитах, метапекс раньше уходит. 1 Ссылка на комментарий
CRAZYDUCK Опубликовано 30 апреля, 2016 Поделиться Опубликовано 30 апреля, 2016 Небольсина тоже вчера сказала, что ЦОЭ молочные не пломбируют, заметили что он не рассасывается, пришлось вызывать всех пациентов которых так пролечили и удалять зубы.мне метапекс нравится в случаях пломбирования корней молочек, ДФ тоже вроде как его хвалят. опять же при пульпитах он рассасывается вместе с резорбирующимся корнем, а при периодонтитах, метапекс раньше уходит.+1 Ссылка на комментарий
Kota Опубликовано 30 апреля, 2016 Поделиться Опубликовано 30 апреля, 2016 Небольсина тоже вчера сказала, что ЦОЭ молочные не пломбируют, заметили что он не рассасывается, пришлось вызывать всех пациентов которых так пролечили и удалять зубы.мне метапекс нравится в случаях пломбирования корней молочек, ДФ тоже вроде как его хвалят. опять же при пульпитах он рассасывается вместе с резорбирующимся корнем, а при периодонтитах, метапекс раньше уходит.Оксан, это коронки какие то на фронтальных зубах? Ссылка на комментарий
Brigita Опубликовано 30 апреля, 2016 Поделиться Опубликовано 30 апреля, 2016 Скажите, не пробовали просто гидроокись любую замешать с йодоформом? Метапекс мне дорого на бюджет покупать, я стала замешивать на дистиллированной воде. Но отдаленные результаты не все вижу - пропадают иногда дети. Ссылка на комментарий
CRAZYDUCK Опубликовано 30 апреля, 2016 Поделиться Опубликовано 30 апреля, 2016 (изменено) Оксан, это коронки какие то на фронтальных зубах?Да,коронки!!!! Штамповки металлические !!!!!! В той клинике восстановили прямой композит ной реставрацией, но дедушка их подружки (стоматолог взрослый ), сделал им такие коронки и внучке своей с похожей проблемой сделал на все верхние резцы Изменено 30 апреля, 2016 пользователем CRAZYDUCK Ссылка на комментарий
ЕленаВалерьевна Опубликовано 30 апреля, 2016 Поделиться Опубликовано 30 апреля, 2016 Скажите, не пробовали просто гидроокись любую замешать с йодоформом? Метапекс мне дорого на бюджет покупать, я стала замешивать на дистиллированной воде. Но отдаленные результаты не все вижу - пропадают иногда дети.не пробовала. Ссылка на комментарий
ЕленаВалерьевна Опубликовано 30 апреля, 2016 Поделиться Опубликовано 30 апреля, 2016 Да,коронки!!!! Штамповки металлические !!!!!! В той клинике восстановили прямой композит ной реставрацией, но дедушка их подружки (стоматолог взрослый ), сделал им такие коронки и внучке своей с похожей проблемой сделал на все верхние резцывчера Небольсина поделилась телефоном менеджера, у которой они коронки покупают, если кому надо могу в личку скинуть. Ссылка на комментарий
Kota Опубликовано 30 апреля, 2016 Поделиться Опубликовано 30 апреля, 2016 вчера Небольсина поделилась телефоном менеджера, у которой они коронки покупают, если кому надо могу в личку скинуть.а какие коронки? керамические или какие то белый на фронтальные зубы ? если да, то сбросьте мне в личку. для 3М мне не нужно. Ссылка на комментарий
Kota Опубликовано 30 апреля, 2016 Поделиться Опубликовано 30 апреля, 2016 Да,коронки!!!! Штамповки металлические !!!!!! В той клинике восстановили прямой композит ной реставрацией, но дедушка их подружки (стоматолог взрослый ), сделал им такие коронки и внучке своей с похожей проблемой сделал на все верхние резцыясно. и как родители на такое согласились? Оксан, а чего там такая резорбция пошла? твои мысли по этому поводу? Ссылка на комментарий
ЕленаВалерьевна Опубликовано 30 апреля, 2016 Поделиться Опубликовано 30 апреля, 2016 а какие коронки? керамические или какие то белый на фронтальные зубы ? если да, то сбросьте мне в личку. для 3М мне не нужно. ну я вам напишу, а там уж смотрите, вроде бы там 3м как раз, но может и чего полезное еще есть , кто их знает этих менеджеров, они и снег эскимосам умеют продавать)) Ссылка на комментарий
Джима Опубликовано 30 апреля, 2016 Поделиться Опубликовано 30 апреля, 2016 Не смогла найти тему , в которой ЦОЭ обсуждали .Вот снимок до лечения (в ноябре )...............офигеть, почему так рассасываться корень начал? соседний, 5.1 (?), витальный, у него корень рассасывается весь с боков, центральная часть (корневой канал) нетронутая. это не может быть связано с этими же коронками? с травмой десны, или, может, не травма, а просто раздражение...Оксан, с ноября прошло меньше, чем полгода. конечно, ЦОЭ не рассосётся с такой скоростью. Ссылка на комментарий
crown Опубликовано 1 мая, 2016 Автор Поделиться Опубликовано 1 мая, 2016 офигеть, почему так рассасываться корень начал? соседний, 5.1 (?), витальный, у него корень рассасывается весь с боков, центральная часть (корневой канал) нетронутая. это не может быть связано с этими же коронками? с травмой десны, или, может, не травма, а просто раздражение...Оксан, с ноября прошло меньше, чем полгода. конечно, ЦОЭ не рассосётся с такой скоростью.да по ходу хроническая травма, завышала наверно на 61, других идей нет Ссылка на комментарий
CRAZYDUCK Опубликовано 2 мая, 2016 Поделиться Опубликовано 2 мая, 2016 Тоже думала про травму ,Таня ,я думаю все ЖЕ ЦОЭ, уверена что от метапекса вообще бы ничего не осталось,думаю все же был периодонтит ,может промыли плохо ,потому,что Мама говорит и в седации они ее держали (дочку ),может плюс завышение коронки ,я не знаю насколько хорошо получилось запломбировать канал ,может все эти факторы привели к такому исходу .Насчет эстетики -маме не нравится конечно же ,но решили что так они дольше простоят, зубы эти .плюс авторитет дедушки стоматолога . Ссылка на комментарий
Джима Опубликовано 3 мая, 2016 Поделиться Опубликовано 3 мая, 2016 пожалуй, что да, периодонтит-канал не досушили-по мокрому ЦОЭ, ну и всё, он что есть, что нет - организм видит пустой канал и шпарит резорбцию. у двойки вон всё нормально же..хотя, вообще резорбция с боков корня видна и на снимке "до", на обеих единичках. Ссылка на комментарий
Brigita Опубликовано 8 мая, 2016 Поделиться Опубликовано 8 мая, 2016 (изменено) Девушки, вот читаю вас и думаю - прочитала бы года три-четыре назад, испугалась бы и не работала бы в каналах Вот, на ловца и зверь бежит, вчера сфоткала:IMG_1949.JPGкарточка:Маслова0001.JPGснимка с каналами нет - далеко не всегда делаю.Ксан, завидую тебе белой завистью. К нам Небольсина не собирается Джима, я наверное профан, объясните пож-та такой пропротокол. Первое посещение - кальций в кальсепте. Это аналог метапекса по составу. Выбор из экономических соображений? Если метапекс совсем им заменить?Второе посещение - метапекс, а сверху пульпотек - зачем? Изменено 8 мая, 2016 пользователем Brigita Ссылка на комментарий
Джима Опубликовано 11 мая, 2016 Поделиться Опубликовано 11 мая, 2016 сначала кальсепт - потому что канал сырой и грязный, как ни старайся помыть и высушить (честно говоря, каналы в молочках перед кальсептом даже не мою, кальсепта хватает). Метапекс на силиконовом масле, он вроде бы дольше сохраняет антисептические свойства и дольше рассасывается, поэтому пломбирую им, а не кальсептом. хотя, самый первый мой периодонтит после моего же пульпита был просто с кальсептом и просто СИЦ, достоял до смены и благополучно выпал. и потом таких было ещё сколько-то.пульпотек на устья - на фуркацию, потому что в фуркации дополнительные канальчики, которые мы никак не обработаем и не запломбируем, потому что они мелкие и совсем микроскопические. вспомни, где у молочек на снимках резорбция? по фуркации с переходом на малую кривизну, не у апексов. ещё одно соображение - кальцийсодержащие препараты вызывают резорбцию там, где остаётся какая-то живая пульпа, потому что они её раздражают. думаю, именно поэтому часто резорбируется фуркация у молочек, запломбированных только метапексом или кальсептом. а так, с пульпотеком получается типа ампутации, только в каналах не пульпа, а метапекс. ниже устьев пульпотек нельзя. это не вот прям какой-то фирменный протокол с каких-то курсов, который мне кто-то рассказал и научил. это мои наблюдения, соображения, и то, что из них получилось. мне пока всё нравится, а так, я никому не навязываю 3 Ссылка на комментарий
Рекомендуемые сообщения
Для публикации сообщений создайте учётную запись или авторизуйтесь
Вы должны быть пользователем, чтобы оставить комментарий
Создать аккаунт
Зарегистрируйте новый аккаунт в нашем сообществе. Это очень просто!
Регистрация нового пользователяВойти
Уже есть аккаунт? Войти в систему.
Войти