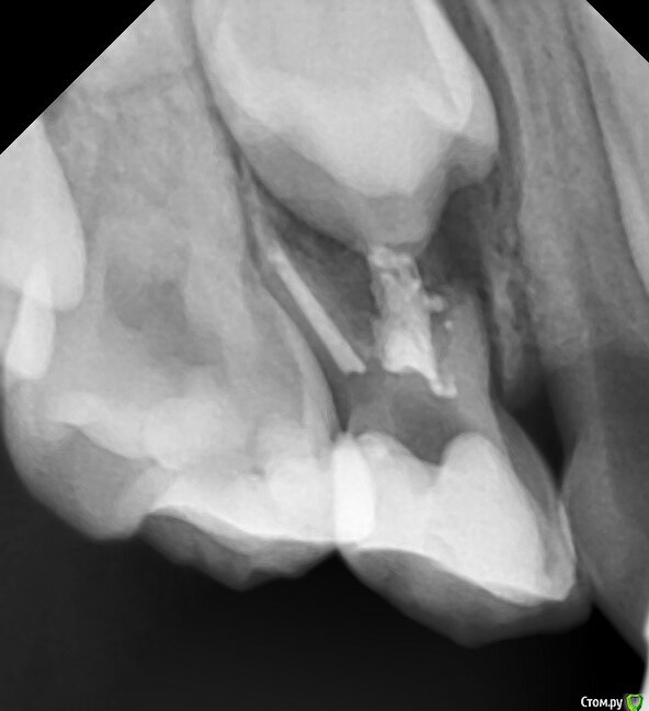
crown Опубликовано 21 апреля, 2016 Поделиться Опубликовано 21 апреля, 2016 Почти 6 лет, 64, ранее лечен, судя по запаху с пульпотеком, на десне свищ. Делал снимок в разных проекциях, дистальный корень так и не обнаружил, исчез(( Из небного потоп, экссудат, кровит адски. Вообщем положил кальсепт на 2 недели, пришли, не кровит, ничего не болит, ток зуб гуляет из стороны в сторону, повторно кальсепт на 2 недели, вот сегодня пришли, все нормально ничего не болит, только опять подвижность сильная. Запломбировал эодентом. Какой прогноз? Ссылка на комментарий
Джима Опубликовано 21 апреля, 2016 Поделиться Опубликовано 21 апреля, 2016 имхо, год поболтается и отвалится, через полтора 2.4 прорежется 2 Ссылка на комментарий
CRAZYDUCK Опубликовано 21 апреля, 2016 Поделиться Опубликовано 21 апреля, 2016 (изменено) Я бы на контроль взяла ,снимки периодически делать.я в таких случаях за зачаток переживаю .если месяца через 3 все хорошо ,то значит -постоит еще,но я бы такой зуб с метапексом оставила .Часто после метапекса они шататься перестают. Изменено 21 апреля, 2016 пользователем CRAZYDUCK 1 Ссылка на комментарий
Kota Опубликовано 22 апреля, 2016 Поделиться Опубликовано 22 апреля, 2016 Лично я бы удалила. там же очаг деструкции по бифуркации. прогноз для зуба неблагоприятный да еще и зачатком рискуете. жаль, что я еще не совсем разобралась да и с техникой не очень дружу. а так бы показала снимок на котором видно полную резорбцию корня зачатка постоянного 14 зуба после эндолечения 54 зуба. вернее на зачатке были видны следы пломбировочной массы, 54 зуб удалился, зачаток 14 прорезался, но корень рассосался. так и болтается шляпка коронки постоянного зуба. Ссылка на комментарий
Джима Опубликовано 22 апреля, 2016 Поделиться Опубликовано 22 апреля, 2016 уверены, что пломбировочная масса из корневых каналов, а не из рассосавшейся фуркации? если да, то, может, просто плохо каналы сделаны были...удаляла зимой 3.4, без корня, вот так же, как вы описываете, одна шляпка и подвижность 3степени. 7.4 точно не лечили, просто преждевременно удалили, преждевременно быстро прорезался 3.4. корень вырасти то ли не успел, то ли не знаю ещё, как такое получается. снимок есть, если не забуду, покажу. Ссылка на комментарий
CRAZYDUCK Опубликовано 22 апреля, 2016 Поделиться Опубликовано 22 апреля, 2016 а вообще-то у меня с такими зубами негативный опыт- в каналах правда года полтора как работаю (благодаря форуму).Негативность в чем- ну есть свищ , резорбция - мою с коффером как положено пломбирую метапексом или кальцием сначала, потом метапекс .Ну максимум через год снова свищ , резорбция еще больше - удаление , а чаще всего через несколько месяцев эта вся печаль случалась. Вечером выложу снимки , последней печали.я в таких сомнительных случаях предлагаю два варианта -1. лечение без гарантии и постоянный контроль2. удаление с последующим протезированием - распорка или пластинка с искусств.зубами по ситуации.но сама склоняюсь ко 2 варианту, потому, что родители очень часто забывают все что им говорилось ( это и понятно -столько "тяжелой" новой информации), про контрольные осмотры забывают , а я сама всех не могу вызывать . Ссылка на комментарий
Джима Опубликовано 22 апреля, 2016 Поделиться Опубликовано 22 апреля, 2016 (изменено) почему ж так получается? может, что-то не так делаешь?будет рецидив, если негерметична пломба или если пропущена анатомия и осталось много мягкого в каком-то канале. ну или если изначально лечится зуб, у которого от одного из корней осталась треть или меньше, широченный такой обгрызенный апекс. тогда через время свищ может вернуться, снимок делаешь - о, удалять пора. Изменено 22 апреля, 2016 пользователем Джима Ссылка на комментарий
Kota Опубликовано 22 апреля, 2016 Поделиться Опубликовано 22 апреля, 2016 уверены, что пломбировочная масса из корневых каналов, а не из рассосавшейся фуркации? если да, то, может, просто плохо каналы сделаны были...удаляла зимой 3.4, без корня, вот так же, как вы описываете, одна шляпка и подвижность 3степени. 7.4 точно не лечили, просто преждевременно удалили, преждевременно быстро прорезался 3.4. корень вырасти то ли не успел, то ли не знаю ещё, как такое получается. снимок есть, если не забуду, покажу.там девочке 8 лет было и она пришла ко мне с другой клиники. у нас правило: после 7 лет всем делать ОПТГ. на орто был еще 54 зуб, но уже с резорбцией корней и видна была масса на зачатке. я пролечила то, что нужно было и все. через пару месяцев делала снимок для диагностики апроксимального кариеса 55 зуба (а 54 уже выпал и прорезался 14 зуб)и увидела случайно резорбцию 14 зуба. сделали КТ, но ничего хорошего не увидели. хорошо, что у меня был снимок до того, как они попали ко мне. Ссылка на комментарий
Kota Опубликовано 22 апреля, 2016 Поделиться Опубликовано 22 апреля, 2016 почему ж так получается? может, что-то не так делаешь?будет рецидив, если негерметична пломба или если пропущена анатомия и осталось много мягкого в каком-то канале. ну или если изначально лечится зуб, у которого от одного из корней осталась треть или меньше, широченный такой обгрызенный апекс. тогда через время свищ может вернуться, снимок делаешь - о, удалять пора.я не сразу отказалась от эндодонтии. когда то пыталась лечить, но результат был не очень. резорбция продолжалась и свищи тоже периодически появлялись. а учитывая стоимость лечения корневых каналов, то вообще отказалась от этой затеи. даже мой эндодонтический бокс уже и не знаю где (признаюсь к своему стыду) Но я не понимаю зачем сохранять зуб в данной ситуации. Если бы удалила такой зуб, то скорее всего увидела бы мешочек по бифуркации. но это имхо. Ссылка на комментарий
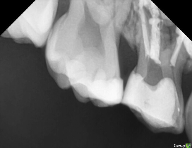
CRAZYDUCK Опубликовано 22 апреля, 2016 Поделиться Опубликовано 22 апреля, 2016 (изменено) 54 зуб ,в начале -лечение пульпита ампутацией ,через 1,5 года приехала со свищем в проекции щечного корня, без жалоб на это зуб ,сама увидела свищ .помыла гипохлоритом ,метапексом запломбировала ,килограмм метапекса из свища вышел.Через три месяца свища нет , но из канала ,в котором был свищ метапекс рассосался Надежнее удалять сомнительные ,с резорбцией ,большими очагами разрежения .это мое мнение Изменено 22 апреля, 2016 пользователем CRAZYDUCK 1 Ссылка на комментарий
CRAZYDUCK Опубликовано 22 апреля, 2016 Поделиться Опубликовано 22 апреля, 2016 (изменено) . Изменено 22 апреля, 2016 пользователем CRAZYDUCK Ссылка на комментарий
Kota Опубликовано 22 апреля, 2016 Поделиться Опубликовано 22 апреля, 2016 Надежнее удалять сомнительные ,с резорбцией ,большими очагами разрежения .это мое мнение полностью согласна. Ссылка на комментарий
crown Опубликовано 23 апреля, 2016 Автор Поделиться Опубликовано 23 апреля, 2016 2016-04-22 21.19.34.jpg54 зуб ,в начале -лечение пульпита ампутацией ,через 1,5 года приехала со свищем в проекции щечного корня, без жалоб на это зуб ,сама увидела свищ .помыла гипохлоритом ,метапексом запломбировала ,килограмм метапекса из свища вышел.2016-04-22 21.19.34.jpgЧерез три месяца свища нет , но из канала ,в котором был свищ метапекс рассосался 2016-04-22 21.19.00.jpgНадежнее удалять сомнительные ,с резорбцией ,большими очагами разрежения .это мое мнение я думаю причина в метапексе, он слишком быстро вымылся из разбитого апекса и опять резорбция, наверное в этой ситуации спас бы цинкэвгенольный цемент Ссылка на комментарий
CRAZYDUCK Опубликовано 23 апреля, 2016 Поделиться Опубликовано 23 апреля, 2016 (изменено) я думаю причина в метапексе, он слишком быстро вымылся из разбитого апекса и опять резорбция, наверное в этой ситуации спас бы цинкэвгенольный цементЯ останусь при своем ,просто этот зуб изначально подлежал удалению .Сегодня посетила семинар Елены Владимировна Небольсиной .Масса позитивных эмоций !настолько открытый ,позитивный и терпеливый человек .Елена приехала работать ! У нас был насыщенный день ,было 2 или 3 небольших 15 минутных перерывов. День полностью был посвящен обучению !Насчет ЦОЭ -в дентал фентэзи перестали им работать именно в каналах ,так как он ПРАКТИЧЕСКИ не рассасывается! Я не спросила название ,так как ЦОЭ (Эодент )просто стоит у меня без работы.но было очень много фото и рентген снимков ,подтверждающих, что рассасывание не происходило . Изменено 23 апреля, 2016 пользователем CRAZYDUCK 3 Ссылка на комментарий
crown Опубликовано 24 апреля, 2016 Автор Поделиться Опубликовано 24 апреля, 2016 Я останусь при своем ,просто этот зуб изначально подлежал удалению .Сегодня посетила семинар Елены Владимировна Небольсиной .Масса позитивных эмоций !настолько открытый ,позитивный и терпеливый человек .Елена приехала работать ! У нас был насыщенный день ,было 2 или 3 небольших 15 минутных перерывов. День полностью был посвящен обучению !Насчет ЦОЭ -в дентал фентэзи перестали им работать именно в каналах ,так как он ПРАКТИЧЕСКИ не рассасывается! Я не спросила название ,так как ЦОЭ (Эодент )просто стоит у меня без работы.но было очень много фото и рентген снимков ,подтверждающих, что рассасывание не происходило . Ну вот только приловчились, опять все менять, уже и не знаешь кому верить. Что еще интересного? Ссылка на комментарий
Kota Опубликовано 24 апреля, 2016 Поделиться Опубликовано 24 апреля, 2016 Я останусь при своем ,просто этот зуб изначально подлежал удалению .Сегодня посетила семинар Елены Владимировна Небольсиной .Масса позитивных эмоций !настолько открытый ,позитивный и терпеливый человек .Елена приехала работать ! У нас был насыщенный день ,было 2 или 3 небольших 15 минутных перерывов. День полностью был посвящен обучению !Насчет ЦОЭ -в дентал фентэзи перестали им работать именно в каналах ,так как он ПРАКТИЧЕСКИ не рассасывается! Я не спросила название ,так как ЦОЭ (Эодент )просто стоит у меня без работы.но было очень много фото и рентген снимков ,подтверждающих, что рассасывание не происходило . здесь соглашусь. у меня немного опыта эндодонтического лечения, но если и пломбировала каналы, то только ЦОЭ, так как я заканчивала институт 15 лет назад и там даже кальций рекомендовали менять на ЦОЭ. так вот, он действительно почти не рассасывается. когда приходит время смены, то дает обострение, плюс мне не нравится то, что затягивает таким образом естественную резорбцию и физ.смену зуба. а пломбировка кальцием как то не вкладывается в мою картинку ) пока... но нужно пробовать и видеть свои результаты. 1 Ссылка на комментарий
Kota Опубликовано 24 апреля, 2016 Поделиться Опубликовано 24 апреля, 2016 Ну вот только приловчились, опять все менять, уже и не знаешь кому верить. Что еще интересного? пульпотеком они кстати тоже не работают. правда не знаю работаете ли им вы. это к слову. Ссылка на комментарий
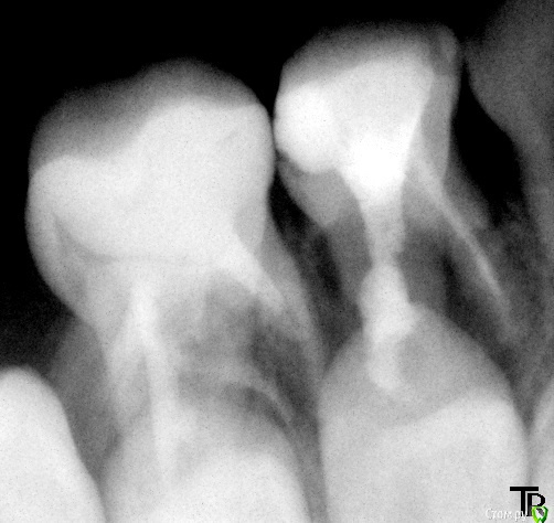
Джима Опубликовано 24 апреля, 2016 Поделиться Опубликовано 24 апреля, 2016 Девушки, вот читаю вас и думаю - прочитала бы года три-четыре назад, испугалась бы и не работала бы в каналах Вот, на ловца и зверь бежит, вчера сфоткала:карточка:снимка с каналами нет - далеко не всегда делаю.Ксан, завидую тебе белой завистью. К нам Небольсина не собирается Ссылка на комментарий
Джима Опубликовано 24 апреля, 2016 Поделиться Опубликовано 24 апреля, 2016 (изменено) буду теперь всех своих мимопроходящих леченых периодонтитов фоткать, если буду успевать. да, бывают неудачи, но совсем редко, т-т-т.чёт картинка растянутая получилась, ну да бог с ней. Изменено 24 апреля, 2016 пользователем Джима Ссылка на комментарий
Kota Опубликовано 24 апреля, 2016 Поделиться Опубликовано 24 апреля, 2016 Девушки, вот читаю вас и думаю - прочитала бы года три-четыре назад, испугалась бы и не работала бы в каналах Вот, на ловца и зверь бежит, вчера сфоткала:IMG_1949.JPGкарточка:Маслова0001.JPGснимка с каналами нет - далеко не всегда делаю.Ксан, завидую тебе белой завистью. К нам Небольсина не собирается честно говоря такой бы зуб и я попыталась бы спасти. свищ только у мезиального корня. шансы на благоприятный прогноз есть. а в случае снимка автора, то воспаление между корнями и шанс минимальный. я в свое время на эти межкорневые кисты насмотрелась. Ссылка на комментарий
Джима Опубликовано 24 апреля, 2016 Поделиться Опубликовано 24 апреля, 2016 Свет, там не свищ был. Т.е. я этот зуб уже не помню, конечно, но если свищ - я в карте так и пишу "свищ", а если написано "абсцесс по фуркации" - то это вздувшийся до сантиметра гнойник, и именно по фуркации, а не по одной верхушке. у молочек практически не бывает очага у верхушки, всегда в области фуркации.ок, подожду нижний их лучше видно Ссылка на комментарий
Kota Опубликовано 24 апреля, 2016 Поделиться Опубликовано 24 апреля, 2016 Свет, там не свищ был. Т.е. я этот зуб уже не помню, конечно, но если свищ - я в карте так и пишу "свищ", а если написано "абсцесс по фуркации" - то это вздувшийся до сантиметра гнойник, и именно по фуркации, а не по одной верхушке. у молочек практически не бывает очага у верхушки, всегда в области фуркации.ок, подожду нижний их лучше видноТань, а какой порядок цен у вас на эндодонтию? Ссылка на комментарий
Джима Опубликовано 24 апреля, 2016 Поделиться Опубликовано 24 апреля, 2016 экстирпационно моляр выходит до 60$, но это я посчитала самый-самый максимум, в три посещения, с анестезией, коффером, двумя снимками. а так, анестезию делаю через раз, коффер, соответственно, тоже, посещений обычно два, иногда одно (много посещений вообще не выгодно никому), снимок второй делаю не всегда, а считаю ещё реже, так что это до 40$ (специально для вас в доллары перевела) Ссылка на комментарий
Джима Опубликовано 25 апреля, 2016 Поделиться Опубликовано 25 апреля, 2016 если что, это молочный прайс, не подумайте, что это эндо шестёрки Ссылка на комментарий
Kota Опубликовано 25 апреля, 2016 Поделиться Опубликовано 25 апреля, 2016 экстирпационно моляр выходит до 60$, но это я посчитала самый-самый максимум, в три посещения, с анестезией, коффером, двумя снимками. а так, анестезию делаю через раз, коффер, соответственно, тоже, посещений обычно два, иногда одно (много посещений вообще не выгодно никому), снимок второй делаю не всегда, а считаю ещё реже, так что это до 40$ (специально для вас в доллары перевела) Ссылка на комментарий
Рекомендуемые сообщения
Для публикации сообщений создайте учётную запись или авторизуйтесь
Вы должны быть пользователем, чтобы оставить комментарий
Создать аккаунт
Зарегистрируйте новый аккаунт в нашем сообществе. Это очень просто!
Регистрация нового пользователяВойти
Уже есть аккаунт? Войти в систему.
Войти