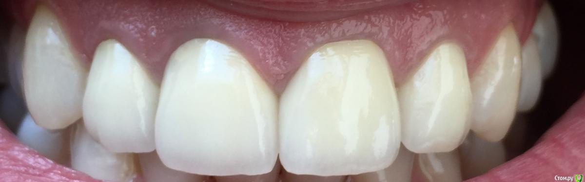
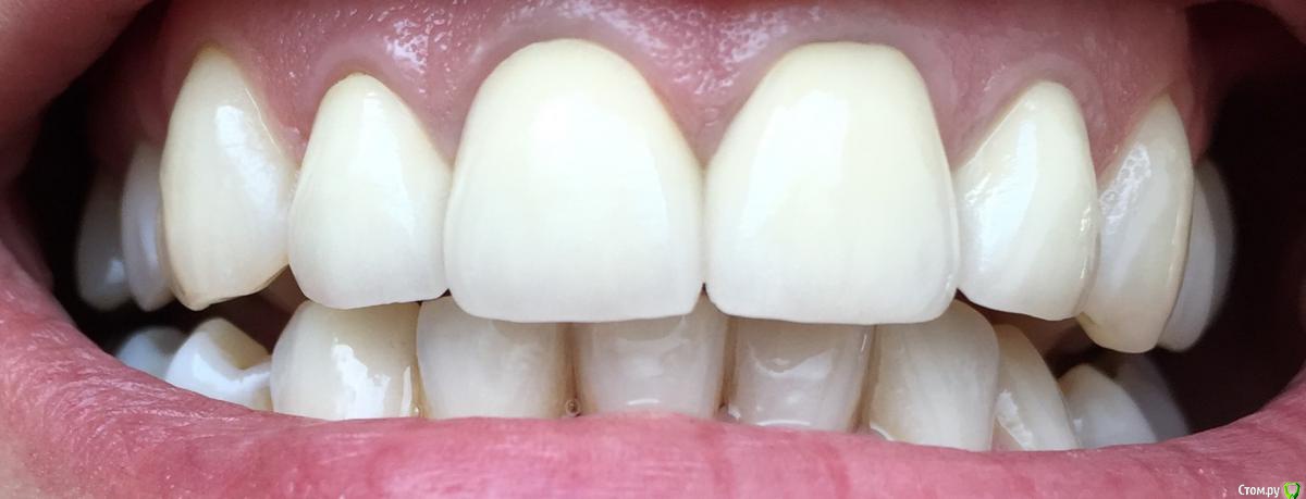
Женя4545 Опубликовано 16 апреля, 2016 Поделиться Опубликовано 16 апреля, 2016 Здравствуйте всем. Стоматолог уговорил меня поставить коронки на передние верхние четыре зуба, так как в них давно стояли пломбы. Он четко это обосновал. Другой стоматолог посоветовал то же самое. Дополнительная проблема - бруксизм, но я давно пользуюсь специальной каппой. Предложил на выбор коронки либо виниры. От визиров отказалась. Сказал, что настоятельно рекомендует металлокерамику (фарфор+серебро). На примерке мне не понравилось, что коронки были слишком выступающими вперед, на что он сказал, что всегда можно это исправить и нужно сначала дать мне время привыкнуть. Прошло несколько месяцев. Я окончательно осознала, что мне не нравится эстетическая сторона - коронки слишком объемные, непрозрачные, слишком резкая граница между десной и коронкой. А муж отметил, что если стоять сбоку от меня видно металлическую часть сзади во время разговора! Больше спросить некого. Пожалуйста, оцените эстетический аспект работы. Я всерьёз подумываю заменить их на полностью фарфоровые. Всем спасибо. Евгения Ссылка на комментарий
Art 7 Опубликовано 16 апреля, 2016 Поделиться Опубликовано 16 апреля, 2016 Для металлокерамики очень прилично сделано, а те минусы на которые вы обратили внимание, они присущи металлокерамическим коронкам 14 Ссылка на комментарий
molchanoff Опубликовано 16 апреля, 2016 Поделиться Опубликовано 16 апреля, 2016 надо было виниры во фронт выбирать Ссылка на комментарий
Женя4545 Опубликовано 16 апреля, 2016 Автор Поделиться Опубликовано 16 апреля, 2016 надо было виниры во фронт выбирать[/quote Он сам потом отметил, что лучше не ставить мне виниры. Как говорится, знала бы, что так выйдет... Если бы поставили 6 или 8 коронок сразу, думаю, не так заметно было бы. А здесь контраст получился. Мне просто интересно, так ли это заметно окружающим, или же я просто придираюсь. Ссылка на комментарий
DmitrySH Опубликовано 16 апреля, 2016 Поделиться Опубликовано 16 апреля, 2016 На фото работа выглядит очень достойно. 4 Ссылка на комментарий
red_butler Опубликовано 16 апреля, 2016 Поделиться Опубликовано 16 апреля, 2016 Чего чего муж увидел??? Ссылка на комментарий
Женя4545 Опубликовано 16 апреля, 2016 Автор Поделиться Опубликовано 16 апреля, 2016 Чего чего муж увидел???Металлическая часть с обратной стороны. Он простирается более, чем на половину длины коронки. Если муж увидел, получается, и другие могут случайно заметить. Именно если стоять сбоку. Ссылка на комментарий
St. Опубликовано 17 апреля, 2016 Поделиться Опубликовано 17 апреля, 2016 А здесь контраст получился. Мне просто интересно, так ли это заметно окружающим, или же я просто придираюсь. Это больше заметно Вам, обычные люди на расстоянии при разговоре этого не увидят. По поводу металлической части - если широко открывать рот запрокинув голову - конечно видно, в нормальной жизни - нет. 1 Ссылка на комментарий
molchanoff Опубликовано 18 апреля, 2016 Поделиться Опубликовано 18 апреля, 2016 наличие металла в м/к это особенность данного вида протеза, а не недостаток Ссылка на комментарий
Рекомендуемые сообщения
Для публикации сообщений создайте учётную запись или авторизуйтесь
Вы должны быть пользователем, чтобы оставить комментарий
Создать аккаунт
Зарегистрируйте новый аккаунт в нашем сообществе. Это очень просто!
Регистрация нового пользователяВойти
Уже есть аккаунт? Войти в систему.
Войти