dr.Dre Опубликовано 16 апреля, 2016 Поделиться Опубликовано 16 апреля, 2016 Добрый день коллеги,пациентка 17 лет 26 зуб,с проходимых каналов только небный,жалобы на ноющую боль.Как поступить в данной ситуации? Ссылка на комментарий
ЕленаВалерьевна Опубликовано 16 апреля, 2016 Поделиться Опубликовано 16 апреля, 2016 а под микроскоп если отправить? Ссылка на комментарий
dr.Dre Опубликовано 16 апреля, 2016 Автор Поделиться Опубликовано 16 апреля, 2016 а под микроскоп если отправить? в гроде нету микроскопа Ссылка на комментарий
Юлия Сергеевна 85 Опубликовано 16 апреля, 2016 Поделиться Опубликовано 16 апреля, 2016 Много хлорки, много 8-х римеров...Много времени Ссылка на комментарий
Гарриевич Опубликовано 16 апреля, 2016 Поделиться Опубликовано 16 апреля, 2016 Устья не там ищете. Надо мезиальнее искать медиальнее искать мезиальные. С дистальным такая же тема, ушли дистально. Если у вас такая ситуация что не видно устьев, то отмачивайте все в хлорке, долго и лучше гелем с активацией 2 Ссылка на комментарий
skeettrap Опубликовано 16 апреля, 2016 Поделиться Опубликовано 16 апреля, 2016 (изменено) Не используйте вращающие инструменты в области дна пульповой камеры. Создали доступ и отложите в сторону. Лучше УЗ насадки - Р1 например. Изменено 16 апреля, 2016 пользователем skeettrap 2 Ссылка на комментарий
Vladimirov Опубликовано 16 апреля, 2016 Поделиться Опубликовано 16 апреля, 2016 гель ГХ на дно минут на 5 Ссылка на комментарий
Ico Опубликовано 16 апреля, 2016 Поделиться Опубликовано 16 апреля, 2016 Еще можно кариес маркером дно и стенки покрасить. Ссылка на комментарий
Дмитрий171 Опубликовано 16 апреля, 2016 Поделиться Опубликовано 16 апреля, 2016 Подскажите, что за гель с хлоркой ? ( хлоргексидиновый ?) Ссылка на комментарий
dr.Dre Опубликовано 16 апреля, 2016 Автор Поделиться Опубликовано 16 апреля, 2016 Не используйте вращающие инструменты в области дна пульповой камеры. Создали доступ и отложите в сторону. Лучше УЗ насадки - Р1 например.Доступ делал ультразвуком Ссылка на комментарий
ЕленаВалерьевна Опубликовано 17 апреля, 2016 Поделиться Опубликовано 17 апреля, 2016 Подскажите, что за гель с хлоркой ? ( хлоргексидиновый ?)гипохлоритовый (белодез) Ссылка на комментарий
леонидовна Опубликовано 20 апреля, 2016 Поделиться Опубликовано 20 апреля, 2016 всегда смотрю на рисунок на дне пульповой камеры, над устьями дентин меняет свою прозрачность и цвет, поэтому понятно где будут устья. плюс кариесмаркер Ссылка на комментарий
Fred Опубликовано 25 апреля, 2016 Поделиться Опубликовано 25 апреля, 2016 Для начала оцените успешность того, что вам получилось сделать. Гляди боль и пройдет. Зуб уже неплохо разбит, дальнейший поиск не имея опыта в таком деле будет приговор зубу. Просто знайте, что не всегда возможно найти и пройти каналы не угробив при этом зуб. 1 Ссылка на комментарий
Fatal Опубликовано 4 мая, 2016 Поделиться Опубликовано 4 мая, 2016 Вымачивать в хлорке, смотреть "карту" дна пульпарной камеры, ультразвук алмазными насадками и 06, 08 к файлы/римеры Ссылка на комментарий
Мартовский Опубликовано 5 мая, 2016 Поделиться Опубликовано 5 мая, 2016 Без микроскопа только удалять и болт. В таких зубах и со скопом то есть риск лишних тканей поснимать. Ссылка на комментарий
inSight Опубликовано 7 мая, 2016 Поделиться Опубликовано 7 мая, 2016 Наступил на те же грабли с 60 летними пациентами. P.s.госка. скопа в городе нет. Встюплю в ваш клуб. :-) Ссылка на комментарий
шахтер Опубликовано 10 мая, 2016 Поделиться Опубликовано 10 мая, 2016 Добрый день коллеги,пациентка 17 лет 26 зуб,с проходимых каналов только небный,жалобы на ноющую боль.Как поступить в данной ситуации?зуб - ...опа. Был такой недавно. микроскоп,7 (! )посещений по 2 часа, три доктора в одном зубе... Ссылка на комментарий
Каплан Опубликовано 10 мая, 2016 Поделиться Опубликовано 10 мая, 2016 зуб - ...опа. Был такой недавно. микроскоп,7 (! )посещений по 2 часа, три доктора в одном зубе...жесть. 14 часов на один зуб. Мне кажется клиника может себе позволить только если этим занимается директор. Ссылка на комментарий
шахтер Опубликовано 10 мая, 2016 Поделиться Опубликовано 10 мая, 2016 (изменено) жесть. 14 часов на один зуб. Мне кажется клиника может себе позволить только если этим занимается директор.Пациентка скандальная попалась...Слава Богу отмахались))))) Изменено 10 мая, 2016 пользователем шахтер Ссылка на комментарий
Саидчон Опубликовано 11 мая, 2016 Поделиться Опубликовано 11 мая, 2016 Оставьте минут на 5 вату в устьях смоченный в эндожи 2 (эдта). Хорошо расширяет. И начните с 8 размера файла 1 Ссылка на комментарий
Fred Опубликовано 12 мая, 2016 Поделиться Опубликовано 12 мая, 2016 зуб - ...опа. Был такой недавно. микроскоп,7 (! )посещений по 2 часа, три доктора в одном зубе... Тут явно что-то неправильно, не представляю, что в зубе можно столько времени делать ... Ссылка на комментарий
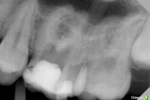
vse32 Опубликовано 19 мая, 2016 Поделиться Опубликовано 19 мая, 2016 Присоединюсь ко всем вышеперечисленным советам.Но попрошу всех, у кого бывают проблемы с поиском каналов, вспомнить одно золотое правило.В канал, зачастую, можно зайти только под вполне конкретным углом. Отклонение - неудача. Устье есть, инструмент не лезет. Играйтесь с направлением инструмента.На снимке зуб как раз достойный моих нравоучений. Ссылка на комментарий
inSight Опубликовано 22 мая, 2016 Поделиться Опубликовано 22 мая, 2016 Присоединюсь ко всем вышеперечисленным советам.Но попрошу всех, у кого бывают проблемы с поиском каналов, вспомнить одно золотое правило.В канал, зачастую, можно зайти только под вполне конкретным углом. Отклонение - неудача. Устье есть, инструмент не лезет. Играйтесь с направлением инструмента.На снимке зуб как раз достойный моих нравоучений. устья что то на rg не увидел, и в канал бы не попал, не видя куда. Вот только куда бурить дальше если он на уровне бифуркации , страшно рассверлить псевдо ход ,без увеличения , без визуального контроля ? Про ходы, на сколько градусов можно отклонение ? Можно по подробнее ? У меня возникает следующая проблемма: верхняя челюсть, моляры,поиск дистально-щечного , когда кудельцы провели пульпотомию закрыли сицем , и все кирдык , опускаюсь ниже коронковой части и где должно быть устье иже ход канала продолжается цемент, убить готов, ей Богу . Хотя если остановится, и до завтра, пациенты отмечают снижение боли, но не ее отсутствие. После пары загубленных зубов при такой картине вообще останавливаюсь и отправляю на микроскоп или искать более опытных. После таких провалов страшно вообще что либо переплачивать. А условия острая боль и отсутствие rg в отделении и такой сюрприз в зубе доводит до белого каления и без того разкочегаренное место. МБ обезболить и отсылать на rg? Гуру госок отзавись =)) Ссылка на комментарий
vse32 Опубликовано 22 мая, 2016 Поделиться Опубликовано 22 мая, 2016 устья что то на rg не увидел, и в канал бы не попал, не видя куда. Вот только куда бурить дальше если он на уровне бифуркации , страшно рассверлить псевдо ход ,без увеличения , без визуального контроля ? Про ходы, на сколько градусов можно отклонение ? Можно по подробнее ? У меня возникает следующая проблемма: верхняя челюсть, моляры,поиск дистально-щечного , когда кудельцы провели пульпотомию закрыли сицем , и все кирдык , опускаюсь ниже коронковой части и где должно быть устье иже ход канала продолжается цемент, убить готов, ей Богу . Хотя если остановится, и до завтра, пациенты отмечают снижение боли, но не ее отсутствие. После пары загубленных зубов при такой картине вообще останавливаюсь и отправляю на микроскоп или искать более опытных. После таких провалов страшно вообще что либо переплачивать. А условия острая боль и отсутствие rg в отделении и такой сюрприз в зубе доводит до белого каления и без того разкочегаренное место. МБ обезболить и отсылать на rg? Гуру госок отзавись =)) http://www.edentworld.ru/u6.jpghttp://s020.radikal.ru/i709/1605/0e/d7c330b0ead6.jpghttp://s019.radikal.ru/i619/1605/86/2bd730811cd7.jpgЭто левый верхний первый моляр.Что-бы зайти в МД - инструмент вводим от середины - медиальной стенки или чуть более небно, острота угла вариабельна.А что-бы зайти в МБ1 - инструмент, фактически нужно положить из области дистального небного бугра, острота угла вариабельна.Я не претендую на звание гуру Госа, но 15 лет я там отбарабанила.1 год в интернатуре - без рентгена, без наставника, без приличных материалов и инстументов. Контингент - Ветераны труда со склерозированными каналами. После этого могла лечить периодонтиты "силой мысли", и выходить с голыми руками на медведя. )))Потом еще 14 лет в более благоустроенной поликлинике. Там, считай все супер было. Рентген был 4 часа в смену (смена 6 часов). Если, конечно рентгенолог не болел, не учился или в отпуске не был. А у них эти периоды часто и надолго. Только хождение пациента от меня до рентгенолога и обратно занимало от 10 до 50 минут. Диагностика периодонтита и контроль пломбировки еще туда-сюда, а вот сделать серию снимков во время ретрита - утопия. Тут то и развивается чутье в пятой точке. ))))Если что рядом была частная клиника, куда можно было в случае отсутствия снимков направить пациентов. Минус, снимки приходили на А4 на обычной бумаге.Материальное обеспечение вполне неплохое. Что не давали, докупали сами, так как начальство в то время лояльно относилось к подработкам врачей.Отсюда вопрос. Я вижу в профиле местоположение Сибирь. Я думаю в Сибири есть достаточно крупные города, а есть сильно помельче. В каком городе работаете Вы? В Москве, на данный момент, устроится в простенькую клинику, но с рентгеном и кальцием - не самая большая проблема. Зарплата, по любому, будет выше чем в сейчас в Госе.Второе, что Вас держит в таком убогом Госе? Возможность набить руку? - так Вы своих результатов не видите. Возможность подработать - тогда покупка кальция за 200 рублей не проблема. Возраст - так в коммерции давно к этому проще стали относиться. Самой убедительной причиной для меня будет отсутствие другого места работы, как такового.Я почему стала рассуждать на тему вашего места работы. Сама не так давно в коммерции. Сейчас частенько думаю, на кой черт я столько времени сидела в Госе? Что меня там держало? Думаю - страх что-то менять. А вот борьба с ветряными мельницами сильно доставала. Попробуйте порассуждать на эту тему.Вы не представляете как это прекрасно, когда время на пациента Вы задаете сами, когда есть время все задуманное сделать за раз. Когда в дверь не вваливается очередная неожиданная острая боль. Когда пациенты спокойно лечатся, а не занимаются качанием прав и "Вы мне тут все должны, я жалобу напишу и проч." Когда рентген всегда под рукой и по много раз. А по поводу каналов, направление, углы - это половина успеха, точно Вам говорю. Если есть УЗ - было бы здорово сначала разработать устья насадкой с тонки кончиком. Такие насадки обычно нужны для снятия камней в межзубных пространствах. Но и каналы иногда на 1/4 проходят за раз. Главное не давить, а тихонечко прощупать дно и найти самую слабую точку. Скорее всего она и окажется устьем.Никогда не расширяйте устья еще непройденных каналов Ларго или Пизо римером. 99% нарежете ступеней и потом вообще никуда не пройдете. Максимум - легонько твердосплавным шариком на механике. И то редко требуется. Очень надеюсь, что под рукой есть апекслокатор. Отсутствие аплока и Rg делают эндодонтию почти бессмысленным занятием. Это уже полевая стоматология, и никак не больше. 5 Ссылка на комментарий
Киви Опубликовано 22 мая, 2016 Поделиться Опубликовано 22 мая, 2016 что Вас держит в таком убогом Госе? Иногда это Договор или контракт после интернатуры. Ссылка на комментарий
Рекомендуемые сообщения
Для публикации сообщений создайте учётную запись или авторизуйтесь
Вы должны быть пользователем, чтобы оставить комментарий
Создать аккаунт
Зарегистрируйте новый аккаунт в нашем сообществе. Это очень просто!
Регистрация нового пользователяВойти
Уже есть аккаунт? Войти в систему.
Войти