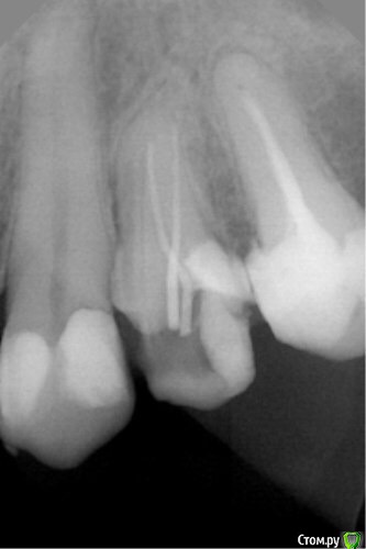
dr.Dre Опубликовано 13 апреля, 2016 Поделиться Опубликовано 13 апреля, 2016 Добрый день коллеги,24 зуб что скажете по снимку есть 3 канал?Два канала кальцинированы ввожу 10 к файл ничего,20 цепляет? Ссылка на комментарий
Ker Опубликовано 13 апреля, 2016 Поделиться Опубликовано 13 апреля, 2016 (изменено) Два там Изменено 13 апреля, 2016 пользователем Ker 2 Ссылка на комментарий
Рекомендуемые сообщения
Для публикации сообщений создайте учётную запись или авторизуйтесь
Вы должны быть пользователем, чтобы оставить комментарий
Создать аккаунт
Зарегистрируйте новый аккаунт в нашем сообществе. Это очень просто!
Регистрация нового пользователяВойти
Уже есть аккаунт? Войти в систему.
Войти