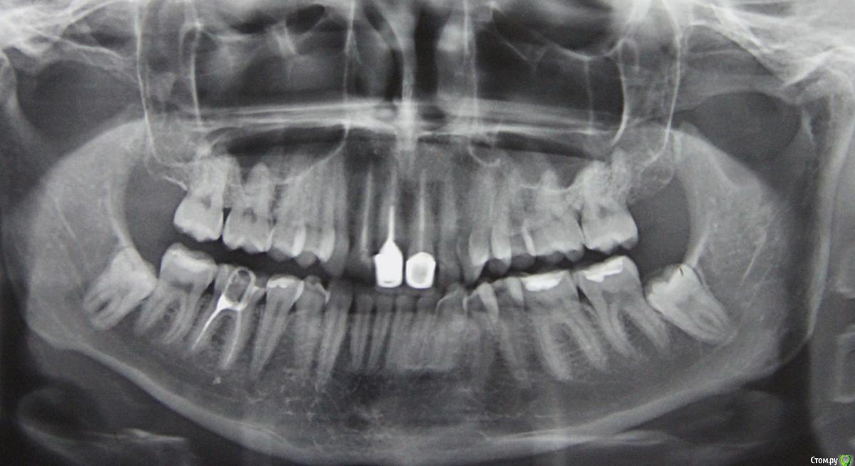
luma Опубликовано 10 апреля, 2016 Поделиться Опубликовано 10 апреля, 2016 Доброго времени суток!2,5 года назад сломался передний зуб (оба передних верхних зуба были давно пролечены, каналы запломбированы).Пошла по рекомендации к знакомому знакомых стоматологу..Итог: мне сказали, что раз один зуб сломался, значит и второй в любой момент может сломаться также, поэтому надо делать коронки сразу на оба зуба. Сделали, металокерамика. Правая коронка несколько раз вываливалась, ездила повторно, ее снова вставляли. Вроде сидит хорошо. Но беда с левой коронкой: во-первых, там щель с обратной стороны, зазор такой, можно язык порезать об край коронки. Во-вторых, на левой коронке образовался карман с передней стороны, там скапливается еда, гноится постоянно. Я обращалась к нескольким врачам с этим вопросом. Ответом было - либо полоскать, ждать когда само пройдет.. Либо страшные рассказы о том, как сложно спиливать коронку, вынимать вкладку и заново все делать... Время идет, карман не зарастает, я каждый день несколько раз этот гной удаляю ватной палочкой. Мне 30 лет. Хочется сделать и красиво, и надежно.. чтоб не бояться улыбаться больше.Может быть, кто-то знает, кто возьмется переделать эту коронку? Или как можно это вылечить? Куда обращаться?Спасибо.Москва. Ссылка на комментарий
IvanK Опубликовано 11 апреля, 2016 Поделиться Опубликовано 11 апреля, 2016 можете сделать фото? Ссылка на комментарий
luma Опубликовано 11 апреля, 2016 Автор Поделиться Опубликовано 11 апреля, 2016 Да, конечно. Сделаю, вечером выложу Ссылка на комментарий
luma Опубликовано 11 апреля, 2016 Автор Поделиться Опубликовано 11 апреля, 2016 можете сделать фото?Вот фото прикладываю. Синим пунктиром выделила зону, откуда гной (или что там еще бело-зеленое может быть) удаляю. Ссылка на комментарий
IvanK Опубликовано 12 апреля, 2016 Поделиться Опубликовано 12 апреля, 2016 нужно сходить на очную консультацию к ортопеду, посмотреть уровень уступа коронок, прилигание, дальше решать вместе с ортодонтом, ортопедом, хирургом в общем без очной консультации не обойтись Ссылка на комментарий
Рекомендуемые сообщения
Для публикации сообщений создайте учётную запись или авторизуйтесь
Вы должны быть пользователем, чтобы оставить комментарий
Создать аккаунт
Зарегистрируйте новый аккаунт в нашем сообществе. Это очень просто!
Регистрация нового пользователяВойти
Уже есть аккаунт? Войти в систему.
Войти