crown Опубликовано 9 апреля, 2016 Поделиться Опубликовано 9 апреля, 2016 Апикальная пробка из МТА идеальный вариант, но нет микроскопа, а под бинокулярами очень тяжко. Чаще метапекс на 3 месяца с последующей заменой, единственный минус силиконовая основа материала, вымыть нереально, хотя результаты хорошие. Да и еще вопрос, если верхушка не закрыта, но получается сформировать апикальный упор, примерно на 50 файле, можно пломбировать на постоянку? или слишком широко, будет подтекать? Ссылка на комментарий
Brigita Опубликовано 10 апреля, 2016 Поделиться Опубликовано 10 апреля, 2016 что значит пломбировать на постоянку - на метапексе?пока не закроется - правильно ли или как сможет - не пломбировать постоянно Ссылка на комментарий
crown Опубликовано 10 апреля, 2016 Автор Поделиться Опубликовано 10 апреля, 2016 (изменено) что значит пломбировать на постоянку - на метапексе?пока не закроется - правильно ли или как сможет - не пломбировать постоянноСмотрите доктор, ситуация зуб практически сформирован, но верхушка еще до конца не закрылась, если удалось сформировать упор апикальный, можно пломбировать постоянным материалом? (адсил)Вторую строчку не смог расшифровать. (пока не закроется - правильно ли или как сможет - не пломбировать постоянно) Изменено 10 апреля, 2016 пользователем crown Ссылка на комментарий
Brigita Опубликовано 10 апреля, 2016 Поделиться Опубликовано 10 апреля, 2016 Это назыаается незавершенная верхушка.По правилам - нет, нельзя.Но в реальности она чаще всего не закрывается идеально, а закроется на этом же уровне, даже под метапексом.Я иногда пломбирую. Ссылка на комментарий
Kota Опубликовано 12 апреля, 2016 Поделиться Опубликовано 12 апреля, 2016 не подскажу. у нас занимаются этим эндодонты и под микроскопом закрывают про рутом. Ссылка на комментарий
crown Опубликовано 12 апреля, 2016 Автор Поделиться Опубликовано 12 апреля, 2016 не подскажу. у нас занимаются этим эндодонты и под микроскопом закрывают про рутом.Это лучший вариант на сегодняшний день, ток дороговастенько. А если не могут себе позволить? Или это в принудительном порядке)) Ссылка на комментарий
Kota Опубликовано 12 апреля, 2016 Поделиться Опубликовано 12 апреля, 2016 Это лучший вариант на сегодняшний день, ток дороговастенько. А если не могут себе позволить? Или это в принудительном порядке))ценовая политика клиники такова, что нет бедных пациентов. но вот задумалась. я и не припомню таких случаев. пару раз было, но это последствия травмы зуба и лечили изначально не у нас. а так и не встречаются периодонтиты в зубах с несформир. корнем. Ссылка на комментарий
crown Опубликовано 13 апреля, 2016 Автор Поделиться Опубликовано 13 апреля, 2016 ценовая политика клиники такова, что нет бедных пациентов. но вот задумалась. я и не припомню таких случаев. пару раз было, но это последствия травмы зуба и лечили изначально не у нас. а так и не встречаются периодонтиты в зубах с несформир. корнем. Везет вам. У меня вчера такой красавец был, мта родители не тянут, пришлось метапексом. Ссылка на комментарий
Джима Опубликовано 17 апреля, 2016 Поделиться Опубликовано 17 апреля, 2016 а что значит "не тянут мта, пришлось метапексом"? там разница на два порядка, что ли? метапекс ведь иногда приходится открывать, и не по одному разу, по стоимости так на так и выйдет, только медленнее, не?я делаю мта, если могу, и метапекс, если не могу мта.вы ж триоксидентом молочки заделываете, т.е. в сам материал цена не упёрлась, как я понимаю? 1 Ссылка на комментарий
crown Опубликовано 18 апреля, 2016 Автор Поделиться Опубликовано 18 апреля, 2016 а что значит "не тянут мта, пришлось метапексом"? там разница на два порядка, что ли? метапекс ведь иногда приходится открывать, и не по одному разу, по стоимости так на так и выйдет, только медленнее, не?я делаю мта, если могу, и метапекс, если не могу мта.вы ж триоксидентом молочки заделываете, т.е. в сам материал цена не упёрлась, как я понимаю?А что значит можете или нет? Я отправляю к другому врачу на микроскоп, а цена действительно в разы дешевле метапексом, даже при нескольких его заменах. Откуда такая цена? Не знаю, видимо микроскоп берет свое. Ссылка на комментарий
Джима Опубликовано 18 апреля, 2016 Поделиться Опубликовано 18 апреля, 2016 видимо, микроскоп. я без микроскопа. Ссылка на комментарий
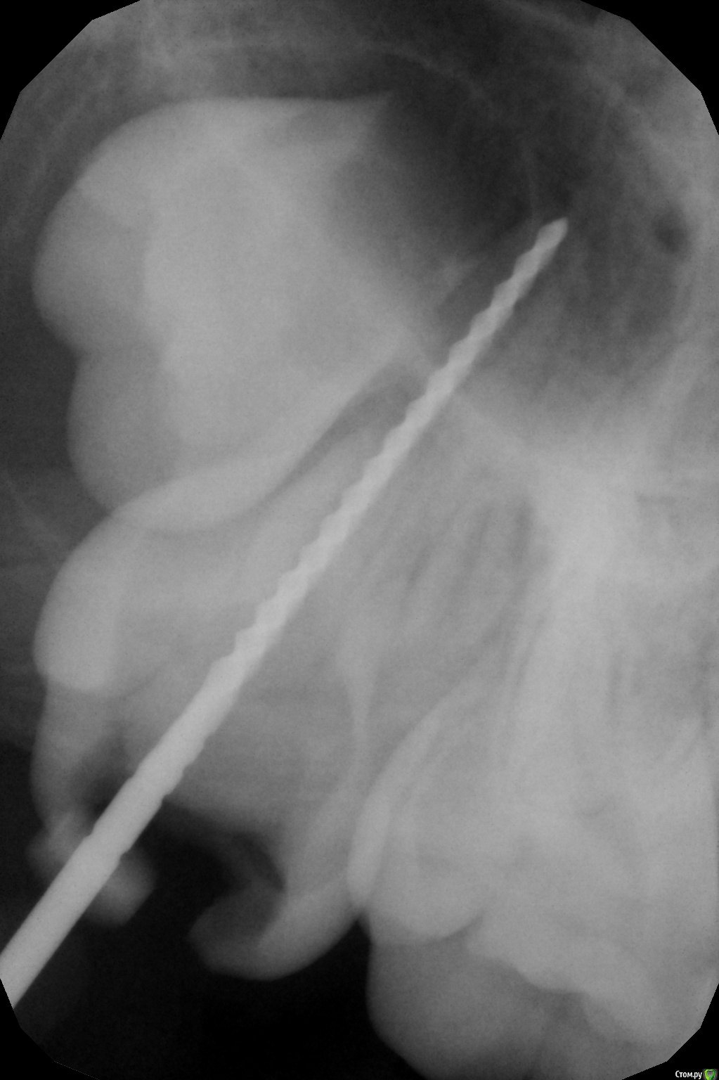
crown Опубликовано 7 мая, 2016 Автор Поделиться Опубликовано 7 мая, 2016 (изменено) Девочка, 14 лет. Диффузный пульпит 17. В щечных получилось создать упор на 40 файле. В небном 70 проваливается за апекс. Запломбировал метапексом, правда без коффера, были сложности с наложением и доступом. Закроется верхушка или нет? Изменено 7 мая, 2016 пользователем crown Ссылка на комментарий
Джима Опубликовано 7 мая, 2016 Поделиться Опубликовано 7 мая, 2016 Закроется, наверно. Только, возможно, придётся добавлять метапекс через время.чего мта апекс не сделали? прямой канал, широкий..чего не удалили вообще ? не рассматривали такой вариант? Ссылка на комментарий
Brigita Опубликовано 8 мая, 2016 Поделиться Опубликовано 8 мая, 2016 чего не удалили вообще ? не рассматривали такой вариант?не поняла? Ссылка на комментарий
ЕленаВалерьевна Опубликовано 8 мая, 2016 Поделиться Опубликовано 8 мая, 2016 не поняла? я так думаю тут смысл в том что восьмой здоровый встанет на место седьмого дохлого.ну а че он несформированный периодонтитный, какой из него долгожитель... 1 Ссылка на комментарий
Brigita Опубликовано 8 мая, 2016 Поделиться Опубликовано 8 мая, 2016 пульпитный же. А восьмерка еще неизвестно когда встанет на это место - там даже корни не наметились Ссылка на комментарий
ЕленаВалерьевна Опубликовано 8 мая, 2016 Поделиться Опубликовано 8 мая, 2016 пульпитный же. А восьмерка еще неизвестно когда встанет на это место - там даже корни не наметилисьточно пульпит. тема просто про периодонтиты, а я еще и невнимательно прочитала. Ссылка на комментарий
crown Опубликовано 8 мая, 2016 Автор Поделиться Опубликовано 8 мая, 2016 Так как корни не сформированы решил в эту тему закинуть. От удаления отказались, там еще одна такая нижняя семерка. МТА даже не пытался, доступ не удобный, а сносить пол коронки не хочется, да и без оптики я думаю не получится, все размажу по стенкам, другое дело центральный зуб, там попроще . Ссылка на комментарий
Джима Опубликовано 11 мая, 2016 Поделиться Опубликовано 11 мая, 2016 (изменено) А восьмерка еще неизвестно когда встанет на это место - там даже корни не наметилисьну и бог бы с ним, седьмой - не шестой, можно и без него года два-три.имхо, crown, удалила бы вместе с "таким же нижним" Изменено 11 мая, 2016 пользователем Джима Ссылка на комментарий
Анна Агаева Опубликовано 17 мая, 2016 Поделиться Опубликовано 17 мая, 2016 Коллеги! Посоветуйте. В январе у ребёнока 8лет была травма во фронт.отделе в.челюсти.Разрушен 2.1.на 1/2 высоты коронки.Мой коллега под анестез.Экстер.пломбир.и реставрируется.Сейчас обратился ребёнок с болью.На с.о.свищи,пломба отсутствует.Канал,после удален.гуттаперчи кровоточит,по апекс локатору примерно 8мм.длина кан.На снимке апекс несформ.периодонт.щель расширена. Ссылка на комментарий
Brigita Опубликовано 17 мая, 2016 Поделиться Опубликовано 17 мая, 2016 Снимок покажите пож-та, в идеале КТ.Коллега взрослый врач, скорее всего. Ссылка на комментарий
ЕленаВалерьевна Опубликовано 17 мая, 2016 Поделиться Опубликовано 17 мая, 2016 Коллеги! Посоветуйте. В январе у ребёнока 8лет была травма во фронт.отделе в.челюсти.Разрушен 2.1.на 1/2 высоты коронки.Мой коллега под анестез.Экстер.пломбир.и реставрируется.Сейчас обратился ребёнок с болью.На с.о.свищи,пломба отсутствует.Канал,после удален.гуттаперчи кровоточит,по апекс локатору примерно 8мм.длина кан.На снимке апекс несформ.периодонт.щель расширена. оставляйте кальций под временную.а снимок можете показать? Ссылка на комментарий
Рекомендуемые сообщения
Для публикации сообщений создайте учётную запись или авторизуйтесь
Вы должны быть пользователем, чтобы оставить комментарий
Создать аккаунт
Зарегистрируйте новый аккаунт в нашем сообществе. Это очень просто!
Регистрация нового пользователяВойти
Уже есть аккаунт? Войти в систему.
Войти