skeettrap Опубликовано 5 апреля, 2016 Поделиться Опубликовано 5 апреля, 2016 Случай двухлетней давности. Коллега привела подругу. Жалобы только на свищ в области данного зуба с грануляциями. Делали на "сколько простоит". Сегодня попросил администратора вызвать пациентку для контроля. Если придет, то будет продолжение. 1 Ссылка на комментарий
anvladd Опубликовано 5 апреля, 2016 Поделиться Опубликовано 5 апреля, 2016 Горячая? Ссылка на комментарий
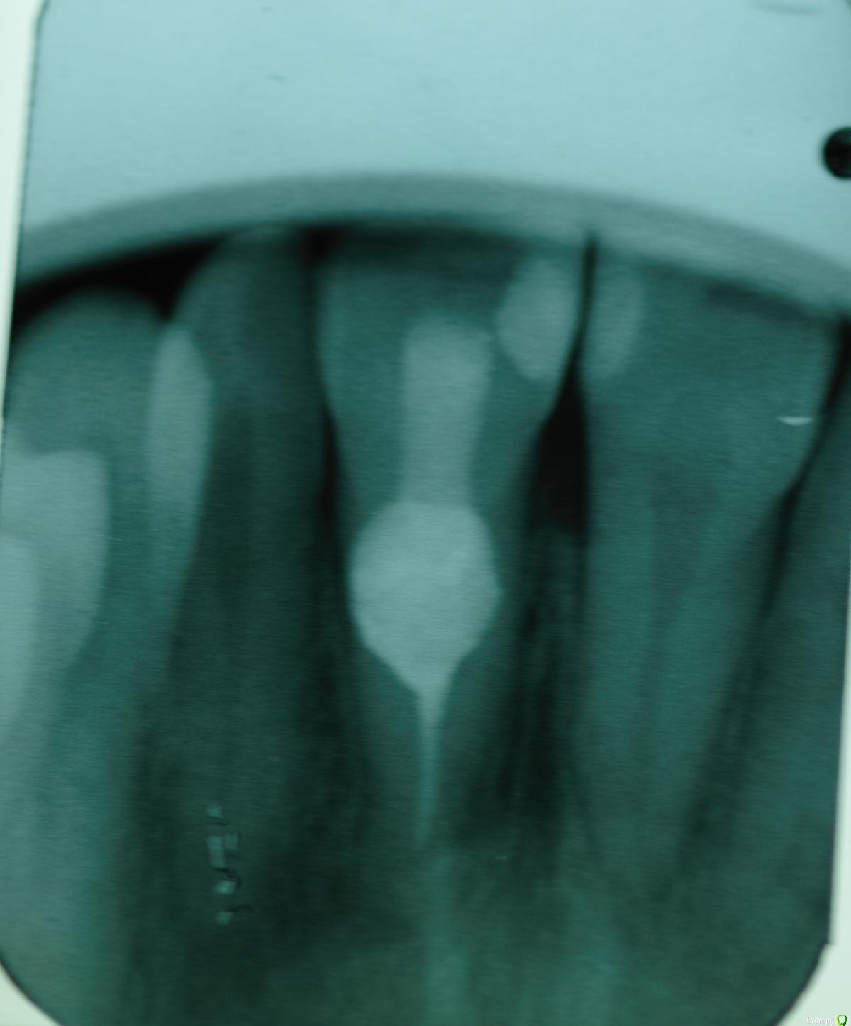
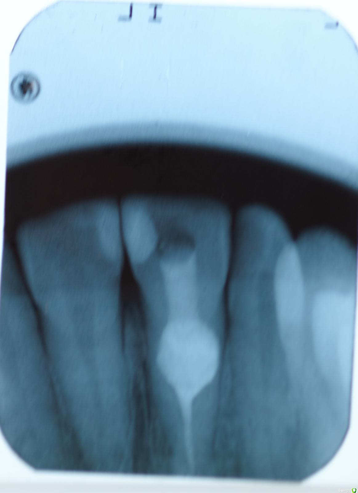
skeettrap Опубликовано 5 апреля, 2016 Автор Поделиться Опубликовано 5 апреля, 2016 (изменено) Латеральная конденсация. В очаге резорбции - МТА. Изменено 5 апреля, 2016 пользователем skeettrap Ссылка на комментарий
dok1 Опубликовано 5 апреля, 2016 Поделиться Опубликовано 5 апреля, 2016 Внутриканальная киста. Слышал этот термин на лекциях у иммунолога. Ссылка на комментарий
Сева северный Опубликовано 5 апреля, 2016 Поделиться Опубликовано 5 апреля, 2016 Интересный случай ..Хотелось бы увидеть продолжение. Ссылка на комментарий
ЕленаВалерьевна Опубликовано 6 апреля, 2016 Поделиться Опубликовано 6 апреля, 2016 Интересный случай ..Хотелось бы увидеть продолжение.+1 Ссылка на комментарий
Л Ю С Я Опубликовано 6 апреля, 2016 Поделиться Опубликовано 6 апреля, 2016 Внутриканальная киста. Слышал этот термин на лекциях у иммунолога.Всегда думала, что это внутренняя резорбция называется 1 Ссылка на комментарий
DR.P Опубликовано 6 апреля, 2016 Поделиться Опубликовано 6 апреля, 2016 Киста - это термин гистологический и мы не можем так говорить без проведения гистологии... И вообще это внутри канальная резорбция В случае если мы видим "радикулярную кисту" на рентгене, то это апекальный периодонтит. Ссылка на комментарий
dok1 Опубликовано 6 апреля, 2016 Поделиться Опубликовано 6 апреля, 2016 Ну и ладнушки☺ Ссылка на комментарий
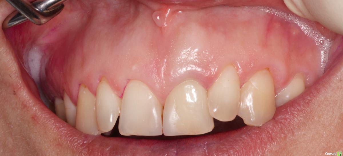
skeettrap Опубликовано 7 июня, 2016 Автор Поделиться Опубликовано 7 июня, 2016 (изменено) Наконец пациентка дошла. Пока все нормально и свищ не появлялся больше. Зуб 21. Изменено 7 июня, 2016 пользователем skeettrap 3 Ссылка на комментарий
vse32 Опубликовано 7 июня, 2016 Поделиться Опубликовано 7 июня, 2016 У внутренних резорбций самый предсказуемый прогноз. Главное вычистить всю органику из канала и зоны резорбции. Тогда процесс остановится.Минус, если резорбция перфарирующая. Но и здесь все зависит от площади перфорирования и аккуратности. Самое сложное в таких случаях - запломбировать канал за зоной резорбции.Поздравляю. Ссылка на комментарий
Рекомендуемые сообщения
Для публикации сообщений создайте учётную запись или авторизуйтесь
Вы должны быть пользователем, чтобы оставить комментарий
Создать аккаунт
Зарегистрируйте новый аккаунт в нашем сообществе. Это очень просто!
Регистрация нового пользователяВойти
Уже есть аккаунт? Войти в систему.
Войти