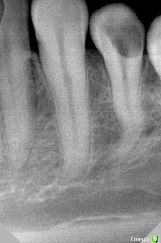
dr.Dre Опубликовано 1 апреля, 2016 Поделиться Опубликовано 1 апреля, 2016 Добрый день коллеги,прошёл данный канал до 10 дальше не идёт.Посоветуйте из своего опыта как справиться в этой ситуации? 1 1 Ссылка на комментарий
Ирина Игоревна Опубликовано 1 апреля, 2016 Поделиться Опубликовано 1 апреля, 2016 Просвет канала виден.... Попробуйте в луже из гипохлора 08 потихонечку пройти, верхнюю треть побольше расширить 1 1 Ссылка на комментарий
Ker Опубликовано 1 апреля, 2016 Поделиться Опубликовано 1 апреля, 2016 (изменено) Думаю что там два канала.Но может и ошибаюсь. Изменено 1 апреля, 2016 пользователем Ker 2 Ссылка на комментарий
Нюрок Опубликовано 4 апреля, 2016 Поделиться Опубликовано 4 апреля, 2016 Думаю что там два канала.Но может и ошибаюсь.тоже вижу здесь два корня Ссылка на комментарий
Гарриевич Опубликовано 5 апреля, 2016 Поделиться Опубликовано 5 апреля, 2016 алгоритм такойберете большой файл, если работаете ротари, то 35/06 или приблизительно такой, и разрабатываете да первого изгиба, затем на один размер и меньший конус 04 файл до второго изгиба, затем на размер больше, того же 04 конуса. Затем на два размера меньше 04 конуса. думаю к этому моменту дойдете до нужной длины, затем 10 к-файл определить длины канала, отступить 1 мм и работатьудачного разрешения случая 2 Ссылка на комментарий
dr.Dre Опубликовано 8 апреля, 2016 Автор Поделиться Опубликовано 8 апреля, 2016 алгоритм такойберете большой файл, если работаете ротари, то 35/06 или приблизительно такой, и разрабатываете да первого изгиба, затем на один размер и меньший конус 04 файл до второго изгиба, затем на размер больше, того же 04 конуса. Затем на два размера меньше 04 конуса. думаю к этому моменту дойдете до нужной длины, затем 10 к-файл определить длины канала, отступить 1 мм и работатьудачного разрешения случая спасибо за развернутый ответ Ссылка на комментарий
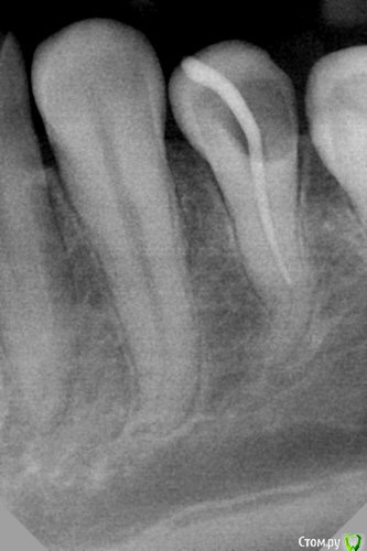
Каплан Опубликовано 8 апреля, 2016 Поделиться Опубликовано 8 апреля, 2016 или Nobel ) Ссылка на комментарий
Рекомендуемые сообщения
Для публикации сообщений создайте учётную запись или авторизуйтесь
Вы должны быть пользователем, чтобы оставить комментарий
Создать аккаунт
Зарегистрируйте новый аккаунт в нашем сообществе. Это очень просто!
Регистрация нового пользователяВойти
Уже есть аккаунт? Войти в систему.
Войти