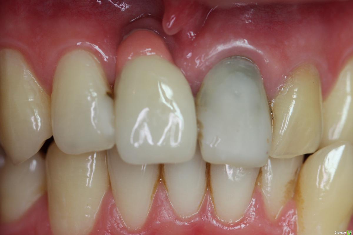
Zorrro Опубликовано 6 марта, 2016 Поделиться Опубликовано 6 марта, 2016 (изменено) Мой постоянный пациент привёл своего сынишку с жалобами на свищь на нёбе.Сделали кт и решили ,что вначале переберём каналы,а через пол года будем посмотреть куда нам двигаться дальше… Эстетика коронки на 11 вполне устраивала пациента,тем более он был уверен,что поставилимплант и вследствии коронку популярный доктор используя новейшие технологии и материалы,позволяющие не прибегать к устаревшим костным и ещё каким-то пластикам.запись к доктору уходила на пол года вперёд и молодой человек чудом втиснулся в этот плотный график,чтобы отхватить немножко и себе этих самых "новейших" технологий под нос. Фото ещё раз показывает,чтосамое главное в успехе частной практики это ВЕРА доктора в себя и то,что он делает.меня же коронка устраивала тем более,потому что переделывать её вместе с имплантом мне крайне не хотелось.обошлись комментарием про усиленную гигиену и регулярные наблюдения раз в пол года. итак занялись посильным трудом:отмыли 21 и 22,констрикция убежала за 50.02,остановились на 70.02 стальными файлами отступя 1мм,метапекс,через 2 недели irm и стекловолокно нафуджи+,филтек.договорились про контроль через пол года и коронки если всё ок. Ещё немного срезов до и преимущество кт перед прицельными снимкамиИ сразу после. Про коронки и корневой герметизм пациент не понял и решил оставить бломбы на месте. Изменено 6 марта, 2016 пользователем Zorrro 1 Ссылка на комментарий
Kolchanov Опубликовано 7 марта, 2016 Поделиться Опубликовано 7 марта, 2016 А почему стекловолокно на фуджи вдруг? 2 Ссылка на комментарий
Zorrro Опубликовано 7 марта, 2016 Автор Поделиться Опубликовано 7 марта, 2016 А почему стекловолокно на фуджи вдруг?Не люблю я адгезивную фиксацию в каналах пломбированных ранее непонятно каким силлером .культевую часть восстанавливаю адгезивно.да и качество фиксации хорошо подогнанного свш на фуджи+ меня вполне устраивает. Ссылка на комментарий
M@estro Опубликовано 7 марта, 2016 Поделиться Опубликовано 7 марта, 2016 Печально. "хорошо подогнанного СВШ на фуджи" . Клеили бы уж на фосфат. 1 Ссылка на комментарий
Kolchanov Опубликовано 7 марта, 2016 Поделиться Опубликовано 7 марта, 2016 качество фиксации хорошо подогнанного свш на фуджи+ меня вполне устраивает Так зачем СВШ, если не адгезивно? Можно и титановым или желтенький присунуть.Дешевле выйдет. Ссылка на комментарий
Zorrro Опубликовано 7 марта, 2016 Автор Поделиться Опубликовано 7 марта, 2016 почему вы думаете,что свш фиксированный на фуджи+(в инструкции есть пункт-Фиксация свш) долгосрочно будет хуже чем фиксированный адгезивно послеЭндометазона или подобного силлера? Ссылка на комментарий
Kolchanov Опубликовано 7 марта, 2016 Поделиться Опубликовано 7 марта, 2016 Я вообще думаю, что абсолютно пофигу СВШ будет или нет. Долгосрочность не от штифта зависит. Просто как бы принято так, что если СВШ, то адгезивная фиксация. Потому и спросил, только и всего. Без адгезивной фиксации более дорогой СВШ ничем от менее дорогого юниметрика или желтенького не отличается. Зачем платить больше? Ссылка на комментарий
Zorrro Опубликовано 7 марта, 2016 Автор Поделиться Опубликовано 7 марта, 2016 Я вообще думаю, что абсолютно пофигу СВШ будет или нет. Долгосрочность не от штифта зависит. Просто как бы принято так, что если СВШ, то адгезивная фиксация. Потому и спросил, только и всего. Без адгезивной фиксации более дорогой СВШ ничем от менее дорогого юниметрика или желтенького не отличается. Зачем платить больше?Оптические свойства Ссылка на комментарий
Kolchanov Опубликовано 7 марта, 2016 Поделиться Опубликовано 7 марта, 2016 Пусть так. Но опять же. Сделай вы реставрацию без штифта вообще, то может и коронки потом получилось бы продать Ссылка на комментарий
Большой Зеленый Опубликовано 8 марта, 2016 Поделиться Опубликовано 8 марта, 2016 Оптические свойстваТак фуджи то не прозрачный. Понимаю бы реликс какой или вариолинк.А так ..чего переводить стекловолокно?! Ссылка на комментарий
dok1 Опубликовано 8 марта, 2016 Поделиться Опубликовано 8 марта, 2016 Ага... битва!☺ Ссылка на комментарий
Петрович Опубликовано 8 марта, 2016 Поделиться Опубликовано 8 марта, 2016 (изменено) Так фуджи то не прозрачный. Понимаю бы реликс какой или вариолинк.А так ..чего переводить стекловолокно?!А фуджи+ что? фу?Он цемент, модифицированный. С химической адгезией.А что реликс у200 - он сам травит. сам праймит и сам затекает в микрошероховатости для микромеханической связи. т.е. бондинг... и все это одновременно или поочереди? и по цене это кто еще на кого переводится... Изменено 8 марта, 2016 пользователем Петрович Ссылка на комментарий
Рекомендуемые сообщения
Для публикации сообщений создайте учётную запись или авторизуйтесь
Вы должны быть пользователем, чтобы оставить комментарий
Создать аккаунт
Зарегистрируйте новый аккаунт в нашем сообществе. Это очень просто!
Регистрация нового пользователяВойти
Уже есть аккаунт? Войти в систему.
Войти