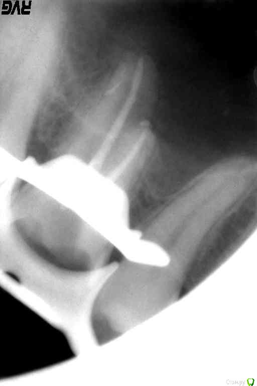
Др.Косякович Опубликовано 6 марта, 2016 Поделиться Опубликовано 6 марта, 2016 Добрый день уважаемые коллеги. Очень нужен Ваш совет.Обратилась пациентка с пульпитными болями в зуба 1.6. с двумя каналами( нёбным и мезиальным) разобрался, а вот в дистальном беда-бедища. До апекса сразу пилотным файлом не добрался и расширят его ручными примерами и протейперами, мыл гипохлоритом. И вот наконец белый ример ушёл чуть глубже. Да там и остался. Тогда, дай думаю ультразвуком отзвучу гипохлорит в нём и запломбирую. И тут белый файл эндочака провалился чуть глубже и из канала пошёл эксудат. Каналы помыл, дистальный закрыл пином, а небный и мезиальный запломбировал гуттаперчей. Потом в мезиальном оставил каласепт на 2 недели и временная пломба витребонд. Как быть с этим каналом. чем его плоомбировать и каковы по Вашему мнению прогнозы? Ссылка на комментарий
Игорь Пеликан Опубликовано 6 марта, 2016 Поделиться Опубликовано 6 марта, 2016 Пломбируйте тем чем обьічно пломбируете,мегакосяк отрежте Ссылка на комментарий
M@estro Опубликовано 7 марта, 2016 Поделиться Опубликовано 7 марта, 2016 Пломбируйте тем чем обьічно пломбируете,мегакосяк отрежте Прям сразу резать, без КТ ? Я б не рискнул. Имха, наблюдайте. Это неприятное осложнение, главное, чтоб не вошло в привычку. Пин в канале оставлять нельзя (!), запомните. Пакуйте как обычно, если нет жалоб ( а их, скорее всего, не будет). Ссылка на комментарий
Каплан Опубликовано 7 марта, 2016 Поделиться Опубликовано 7 марта, 2016 если все было чистенько - то ничего не будет скорее всего. главное чтобы было сухо и герметично... Ссылка на комментарий
Гарриевич Опубликовано 7 марта, 2016 Поделиться Опубликовано 7 марта, 2016 Я думаю пин он поставил пока пломбировал остальные. Принять ситуацию как есть, смириться, хорошо отмыть, кальций на 2 недели и потом посмотреть как в Канаде и если сухо, то пломбировать. А главное сделать правильные выводы. Ссылка на комментарий
M@estro Опубликовано 7 марта, 2016 Поделиться Опубликовано 7 марта, 2016 потом посмотреть как в Канаде и если сухо, то пломбировать Главное , чтоб на Дерибасовской дожди не пошли) 6 Ссылка на комментарий
Гарриевич Опубликовано 8 марта, 2016 Поделиться Опубликовано 8 марта, 2016 ))) долбанный айфонВ канале конечно, я имел в виду сухость в канале Ссылка на комментарий
Др.Косякович Опубликовано 8 марта, 2016 Автор Поделиться Опубликовано 8 марта, 2016 Да так и есть, пин поставил, пока каналы пломбировал, чтоб не подтекало. А потом вместо пина оставил в канале каласепт на две недели. Ссылка на комментарий
Др.Косякович Опубликовано 8 марта, 2016 Автор Поделиться Опубликовано 8 марта, 2016 Изучая форум, я понял, что при перфорациях их закрывают ста или триоксидентом. А в моём случае он показан? Ссылка на комментарий
Доктор Дмитрий Опубликовано 8 марта, 2016 Поделиться Опубликовано 8 марта, 2016 Изучая форум, я понял, что при перфорациях их закрывают ста или триоксидентом. А в моём случае он показан?Да, апикальные 2-3 мм Ссылка на комментарий
Др.Косякович Опубликовано 9 марта, 2016 Автор Поделиться Опубликовано 9 марта, 2016 То есть образно говоря можно замуровать там обломок? Ссылка на комментарий
тимован Опубликовано 17 марта, 2016 Поделиться Опубликовано 17 марта, 2016 такой обломок можно замуровать. главное не пытаться вытаскивать. Ссылка на комментарий
Рекомендуемые сообщения
Для публикации сообщений создайте учётную запись или авторизуйтесь
Вы должны быть пользователем, чтобы оставить комментарий
Создать аккаунт
Зарегистрируйте новый аккаунт в нашем сообществе. Это очень просто!
Регистрация нового пользователяВойти
Уже есть аккаунт? Войти в систему.
Войти