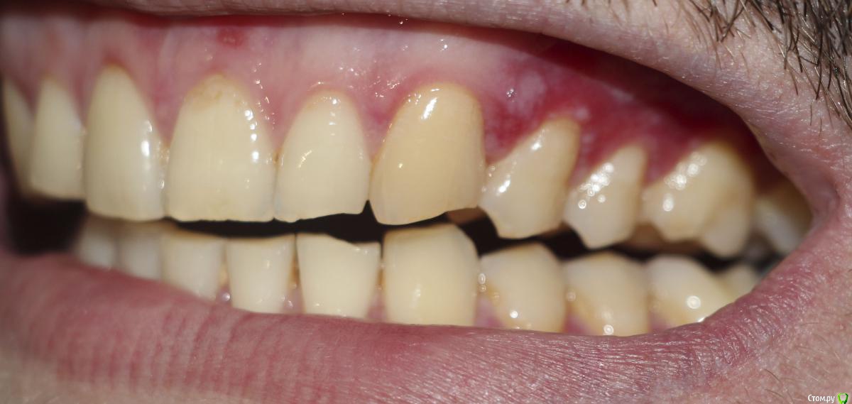
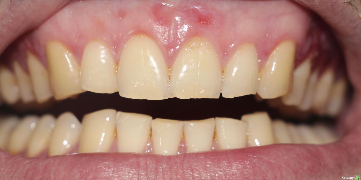
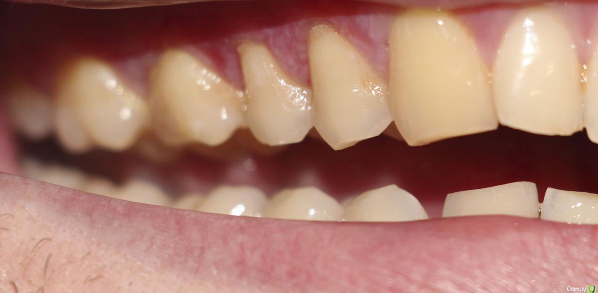
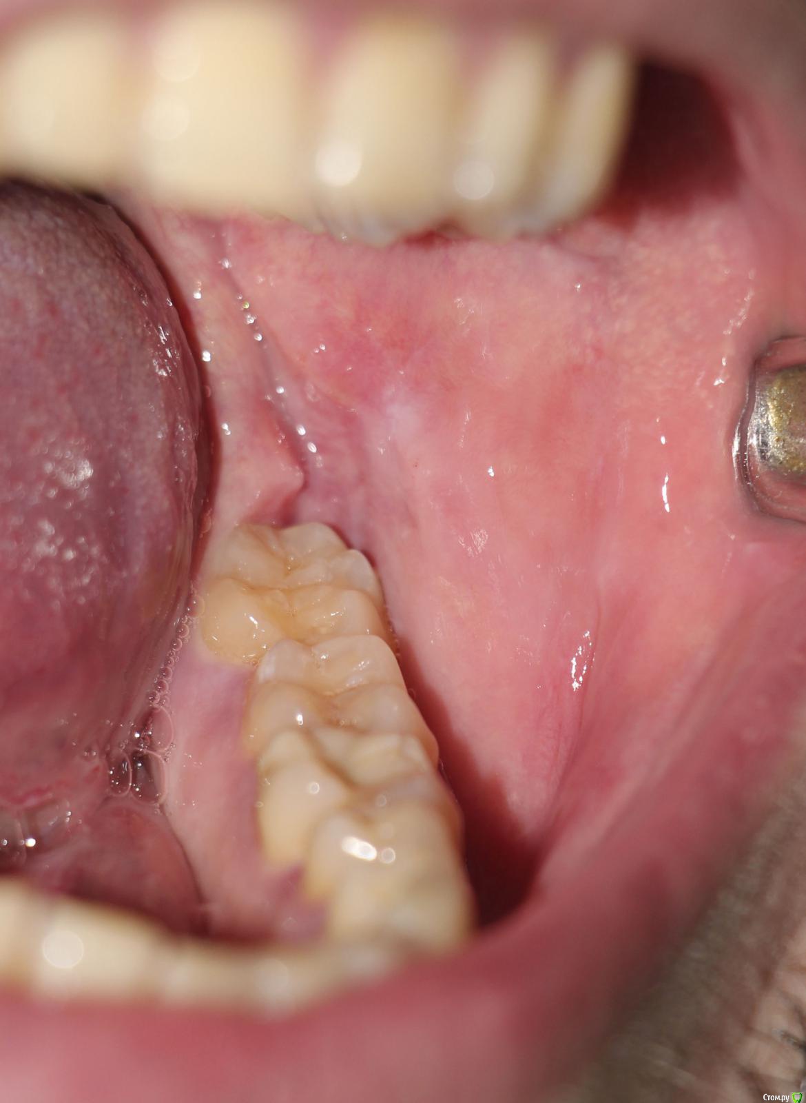
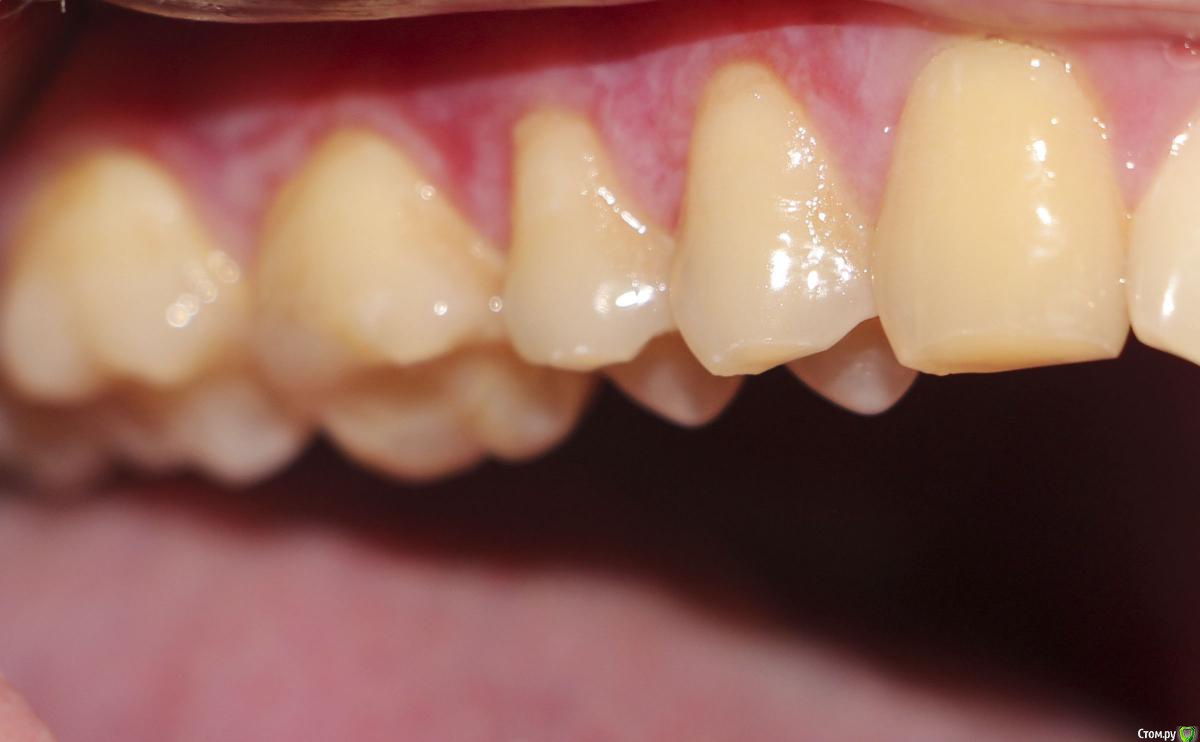
biv29 Опубликовано 25 февраля, 2016 Поделиться Опубликовано 25 февраля, 2016 (изменено) Здравствуйте, уважаемые форумчане. Не смог создать тему в разделе "Пациенты", опубликую здесь.Сам стоматолог-ортопед и месяца три-четыре назад столкнулся с такой бедой (см. фото).Воспаление десны в области 13-14-15-16, 11-21, 24-25-26.Изначально была только гиперемия, сейчас добавилась кровоточивость при чистке зубов, болезненность при приеме пищи (острая, пряная).Зубы чищу регулярно, проводилось снятие зубных отложений (которых в общем-то почти и не было). Применение местно солкосерила, полоскание корой дуба не помогло.В анамнезе: бруксизм (сейчас проводится курс избирательной пришлифовки зубов), красный плоский лишай (были немногочисленные высыпания на коже, купировались инъекциями Дипроспана. Был рецедив, курс проводился повторно).Хотелось бы услышать мнение терапевтов, пародонтологов в постановке диагноза. Изначально грешил на бруксизм, супраконтакты и перегрузку пародонта, но сейчас закрылись сомнения. Кто подскажет, в чем может быть причина?Буду благодарен за помощь! Изменено 25 февраля, 2016 пользователем biv29 Ссылка на комментарий
red_butler Опубликовано 25 февраля, 2016 Поделиться Опубликовано 25 февраля, 2016 Я бы начал с клинического анализа крови 1 Ссылка на комментарий
johniola Опубликовано 25 февраля, 2016 Поделиться Опубликовано 25 февраля, 2016 Я бы начал с клинического анализа кровис языка сорвал Ссылка на комментарий
biv29 Опубликовано 25 февраля, 2016 Автор Поделиться Опубликовано 25 февраля, 2016 Я бы начал с клинического анализа крови Имеете ввиду общий анализ или биохимию? На что в первую очередь обратить внимание в анализах? Ссылка на комментарий
red_butler Опубликовано 25 февраля, 2016 Поделиться Опубликовано 25 февраля, 2016 Имеете ввиду общий анализ или биохимию? На что в первую очередь обратить внимание в анализах?Общий анализ с расширенной лейкоформулой, для начала будет достаточно. Мед осмотр давно проходили, я имею ввиду не для галочки. Ссылка на комментарий
biv29 Опубликовано 25 февраля, 2016 Автор Поделиться Опубликовано 25 февраля, 2016 Мед осмотр давно проходили, я имею ввиду не для галочки Примерно год назад сдавал анализы (общ кровь/бх; общ моча).В остальном было только обращение к дерматологу по поводу КПЛ 2 года назад. Ссылка на комментарий
Zlata-doctor Опубликовано 1 марта, 2016 Поделиться Опубликовано 1 марта, 2016 Анализ крови общий, и на вит В12Похоже на красный плоский лишай, язвенная форма, для полной уверенности маловато характерных "кружев", вроде только немного на последнем снимке видно ( возможно, чрезмерная чистка?). Ссылка на комментарий
biv29 Опубликовано 1 марта, 2016 Автор Поделиться Опубликовано 1 марта, 2016 возможно, чрезмерная чистка? Чрезмерная чистка да, присутствует. Уже обратил на это внимание.Имеете ввиду, из-за нее такие последствия, или она скрывает проявления лишая?Анализ на вит В12 - это для диагностики КПЛ? Ссылка на комментарий
Zlata-doctor Опубликовано 2 марта, 2016 Поделиться Опубликовано 2 марта, 2016 скрывает характерный " кружевной" рисунок и дополнительно травмирует слизистую. Анализ на В12 сам по себе, недостаток этого вит иногда дает похожую картину. Ссылка на комментарий
леонидовна Опубликовано 22 апреля, 2016 Поделиться Опубликовано 22 апреля, 2016 Мне кажется, похоже на КПЛ, тем более были уже проявления на коже. Фото № 3 похоже на начало атипичной формы. № 1 и № 2 - похоже на экссудативно-гиперемическую. Какой у Вас уровень сахара и нет ли гипертонической болезни? Если есть, можно подозревать синдром Гриншпана Ссылка на комментарий
Рекомендуемые сообщения
Для публикации сообщений создайте учётную запись или авторизуйтесь
Вы должны быть пользователем, чтобы оставить комментарий
Создать аккаунт
Зарегистрируйте новый аккаунт в нашем сообществе. Это очень просто!
Регистрация нового пользователяВойти
Уже есть аккаунт? Войти в систему.
Войти