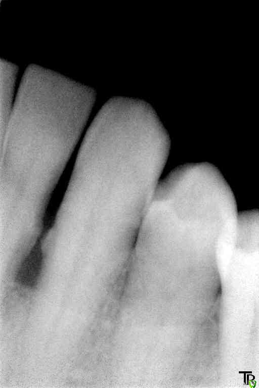
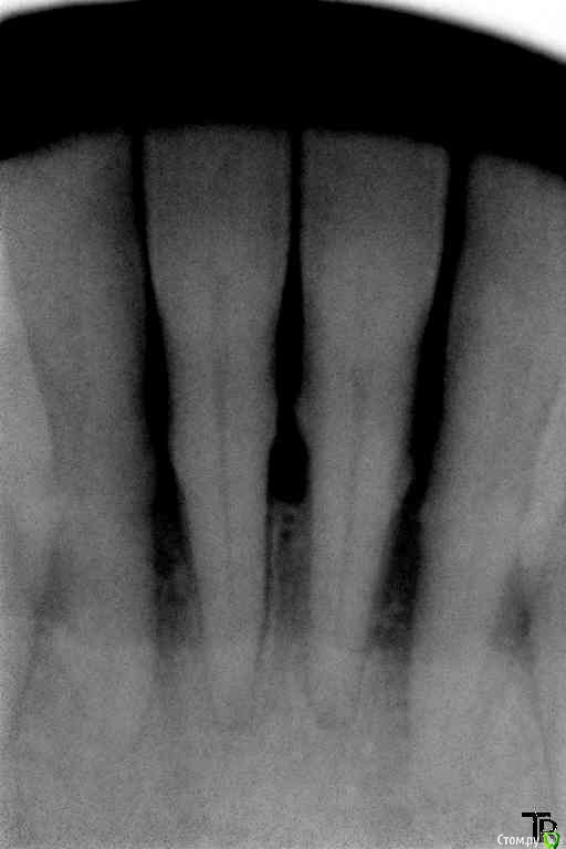
Витторио Орлионе Опубликовано 14 февраля, 2016 Поделиться Опубликовано 14 февраля, 2016 12.02.2016 Обратился Мужчина 72 года рождения с жалобами на боли и припухлость в области фронта нижней челюсти, на зубах налёт от стоматотофита, рецессия десны и резорбция кости,подижность 2 степени у зубов 4.2, 4.1 и 3 степени у зубов 3.1 и 3.2 десна вздулась в области зуба 3.2. Перкуссия да и просто прикосновения вызывали жуткие боли. Вколов 2 карпулы ультракаин дс форте инфильтративно + лидокаин, так и не обезболились, хотя губа занемела. Промыл хлоргексидином и оставил смесь из метрогила и трихопола под дессной, пациент при этом от боли вжимался в кресло. А как встал, ноющие боли прошли, а до зубов по прежнему не дотронуться. До посещения начал пить аугментин. Был 2й день приёма. Пришёл 14.02. Не болит, припухлость спала. 2 карпулы ультракаина дс форте не обезболилил. манипуляции повторил. Отправил до наступления реммиссии. Снимки прилагаются. Вопросы:Как обезбаливать в таких случаях?Удалять ли 3.2?Обязателен ли открытый кюретаж?Да и вообще как бы вы его вели? Ссылка на комментарий
Stomart Опубликовано 14 февраля, 2016 Поделиться Опубликовано 14 февраля, 2016 Двухсторонняя ментальная анестезия 1 Ссылка на комментарий
Sampson Опубликовано 16 февраля, 2016 Поделиться Опубликовано 16 февраля, 2016 Артикаин ментально с двух сторон.Кюретаж карманов.Промывание хлоргексидином.Метрогил.3 дня НПВС.Осмотр и ультразвуковая чистка. Ссылка на комментарий
red_butler Опубликовано 16 февраля, 2016 Поделиться Опубликовано 16 февраля, 2016 А где пародонтоз? 2 Ссылка на комментарий
Карен Аванесов Опубликовано 16 февраля, 2016 Поделиться Опубликовано 16 февраля, 2016 . 1 Ссылка на комментарий
Карен Аванесов Опубликовано 16 февраля, 2016 Поделиться Опубликовано 16 февраля, 2016 Все подвижное удалять, что бы хоть что то для фиксации съемника осталось. 1 Ссылка на комментарий
Витторио Орлионе Опубликовано 17 февраля, 2016 Автор Поделиться Опубликовано 17 февраля, 2016 А если зашинировать их от клыка и до елыка, толк будет? Ссылка на комментарий
Карен Аванесов Опубликовано 17 февраля, 2016 Поделиться Опубликовано 17 февраля, 2016 Потеряете клыки, если они еще не подвижны. Ссылка на комментарий
Витторио Орлионе Опубликовано 17 февраля, 2016 Автор Поделиться Опубликовано 17 февраля, 2016 Спасибо, это и-правда упустил Ссылка на комментарий
ger_berra Опубликовано 18 февраля, 2016 Поделиться Опубликовано 18 февраля, 2016 Удаление всех резцов нижней челюсти и не пускать на Бали( ну чтоб обезБАЛИть) 1 Ссылка на комментарий
ger_berra Опубликовано 18 февраля, 2016 Поделиться Опубликовано 18 февраля, 2016 А если зашинировать их от клыка и до елыка, толк будет?Если только денег собрать.А потом удалить и еще собрать. 2 Ссылка на комментарий
Витторио Орлионе Опубликовано 18 февраля, 2016 Автор Поделиться Опубликовано 18 февраля, 2016 На самом деле очень хочется, но это путь вниз, порочащих звание врача, а хочется, чтоб всё правильно было и по совести, вечная мужская дилемма. Ссылка на комментарий
Витторио Орлионе Опубликовано 21 февраля, 2016 Автор Поделиться Опубликовано 21 февраля, 2016 Развязка: Ментальная анестезия с двух сторон, ультразвуковая чистка зубов 3.3-4.3, промывание 0.05% хлоргексидин, оставлен метрогил+доксициклин. Пациент допивает аугментин. Боль в области зуба 3.2 сохранилась только при надавливании, в покое не беспокоит. Было рекомендовано его удаление. Ссылка на комментарий
Карен Аванесов Опубликовано 21 февраля, 2016 Поделиться Опубликовано 21 февраля, 2016 Мафия бессмертна))) Надо было удалять, а так толку от аугментина, скоро 23, а пациент и пивка толком не попьет)) Ссылка на комментарий
Рекомендуемые сообщения
Для публикации сообщений создайте учётную запись или авторизуйтесь
Вы должны быть пользователем, чтобы оставить комментарий
Создать аккаунт
Зарегистрируйте новый аккаунт в нашем сообществе. Это очень просто!
Регистрация нового пользователяВойти
Уже есть аккаунт? Войти в систему.
Войти