Перейти к содержанию
Стоматология для всех

Лечение зуба или имплантация ?


vpaoli

Рекомендуемые сообщения

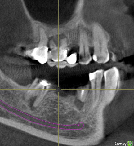
Здравствуйте.  Прошу докторов помочь советом.  Альтернатива  - либо лечить 7-й нижний с кистой (5-й под удаление без вопросов)   и ставить мост на 7-4, либо  оба удалять и ставить импланты.

Внизу пятого тоже киста (10 лет назад делали резекцию корня) или просто область с меньшей плотностью.  Эта область к сожалению выходит в сторону щеки через костную ткань ,  см. 2-й рисунок.

Есть на яндекс диске все файлы КТ Galileos.

post-46446-0-28856400-1454589357_thumb.jpg

post-46446-0-86263300-1454589371_thumb.jpg

Изменено пользователем vpaoli
Ссылка на комментарий

По срезу КТ сложно судить о кол-ве оставшихся твердых тканей зуба 47.

Поэтому или  предложенный вариант с удалением, или лечение 47 и имплантаты в область 46,45.

Мостовидный протез точно не надо

Ссылка на комментарий

Спасибо за ответы.   А как Вы считаете, можно  ли в данном случае ставить импланты без наращивания кости ?  На месте 46 нет зуба около 15 лет,    внизу 45-го   киста/темная область    с прямым выходом в сторону  щеки ...

Изменено пользователем vpaoli
Ссылка на комментарий

Давайте немного изменим подход  - будем считать, что у пациента нет денег  на   3 импланта, процедуры наращивания костной ткани , коронки на импланты (~150-200 тыс. руб).  Какие еще варианты ему можно предложить  в его  ситуации с зубами 47-45 ?

Изменено пользователем vpaoli
Ссылка на комментарий

Давайте немного изменим подход  - будем считать, что у пациента нет денег  на   3 импланта, процедуры наращивания костной ткани , коронки на импланты (~150-200 тыс. руб).  Какие еще варианты ему можно предложить  в его  ситуации с зубами 47-45 ?

Съемный протез

  • Поддерживаю 2
Ссылка на комментарий

Съемный протез

если использовать съемный протез, то 47 все равно удалять или лечить ?   какого рода съемный протез наиболее целесообразен в моем варианте ?

Ссылка на комментарий
если использовать съемный протез, то 47 все равно удалять или лечить ?

удалять

 

какого рода съемный протез наиболее целесообразен в моем варианте ?

Я бы все же рассматривал импланты, можно сделать мост на двух и возможно обойтись без костной пластики.

Попробуйте найти врача на форуме http://forum.stom.ru/topic/16116-posovetujte-khirurgaimplantologa/

  • Поддерживаю 1
Ссылка на комментарий

Для публикации сообщений создайте учётную запись или авторизуйтесь

Вы должны быть пользователем, чтобы оставить комментарий

Создать аккаунт

Зарегистрируйте новый аккаунт в нашем сообществе. Это очень просто!

Регистрация нового пользователя

Войти

Уже есть аккаунт? Войти в систему.

Войти
×
×
  • Создать...
Вверх