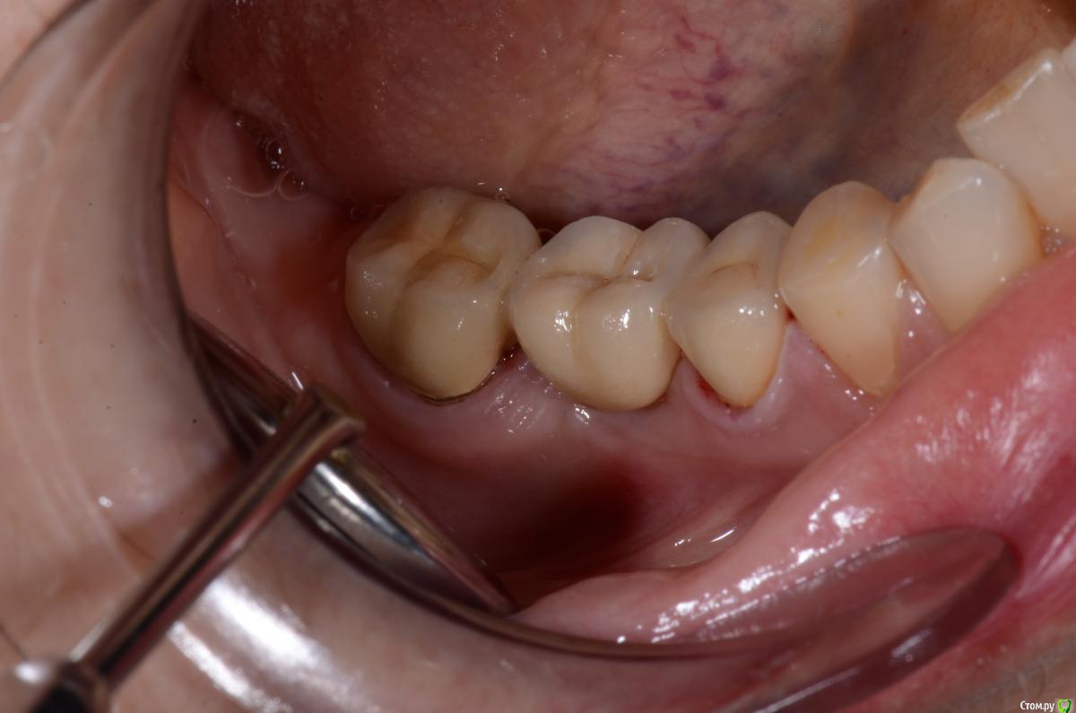
DimaKoleso Опубликовано 23 января, 2016 Поделиться Опубликовано 23 января, 2016 Решил выбросить на всеобщее обозрение вот такую работу. Ваше мнение? Делаете ли Вы гирлянду? В данном случае 47 зуб гирлянда 360, 45 зуб гирлянда 180 6 Ссылка на комментарий
PLAY Опубликовано 23 января, 2016 Поделиться Опубликовано 23 января, 2016 симпотно люблю гирлянду 360 Ссылка на комментарий
krokomot Опубликовано 23 января, 2016 Поделиться Опубликовано 23 января, 2016 Моделировка слабая, группового ведения не будет еще и три зуба Ссылка на комментарий
DimaKoleso Опубликовано 23 января, 2016 Автор Поделиться Опубликовано 23 января, 2016 Моделировка слабая, группового ведения не будет еще и три зубаАнтагонисты заканчиваются на 5ке, поэтому про групповое ведение забыть можно. Ссылка на комментарий
Art 7 Опубликовано 23 января, 2016 Поделиться Опубликовано 23 января, 2016 Супер, мне тоже гирлянда нравится Ссылка на комментарий
Stomart Опубликовано 24 января, 2016 Поделиться Опубликовано 24 января, 2016 Вопрос начинающего ротопеда, какие здесь показания для круговой гирлянды? Ссылка на комментарий
DimaKoleso Опубликовано 24 января, 2016 Автор Поделиться Опубликовано 24 января, 2016 Вопрос начинающего ротопеда, какие здесь показания для круговой гирлянды?А разве есть какие-то показания для неё? Ссылка на комментарий
johniola Опубликовано 24 января, 2016 Поделиться Опубликовано 24 января, 2016 А где гирлянда? Ссылка на комментарий
DimaKoleso Опубликовано 24 января, 2016 Автор Поделиться Опубликовано 24 января, 2016 А где гирлянда?47 Ссылка на комментарий
Stomart Опубликовано 24 января, 2016 Поделиться Опубликовано 24 января, 2016 А разве есть какие-то показания для неё?Тогда зачем она здесь? Ссылка на комментарий
chervoncevdaniil Опубликовано 24 января, 2016 Поделиться Опубликовано 24 января, 2016 Тогда зачем она здесь?Точность посадки с гирляндой всегда выше,чем с плечевой массой,если бы была возможность,я бы 100%мк делал бы только с гирляндой Ссылка на комментарий
voff Опубликовано 24 января, 2016 Поделиться Опубликовано 24 января, 2016 (изменено) Гирлянда для мазохистов, которые любят пациентам рассказать о её пользе. Простите, если кого обидел, но русский человек любит зубы "на все деньги и побелее" Изменено 24 января, 2016 пользователем voff 1 1 Ссылка на комментарий
chervoncevdaniil Опубликовано 24 января, 2016 Поделиться Опубликовано 24 января, 2016 Гирлянда для мазохистов, которые любят пациентам рассказать о её пользе. Простите, если кого обидел, но русский человек любит зубы "на все деньги и побелее" Я делаю гирлянду язычно и небно и ничего пациентам не рассказываю,они ее никогда не увидят там,а если планируется 360 гирлянда,то адекватные пациенту без проблем поймут необходимость.Если не устраивает,то всегда можно сделать безметалловую конструкцию,если как вы говорите "на все деньги и побелее" Ссылка на комментарий
DimaKoleso Опубликовано 24 января, 2016 Автор Поделиться Опубликовано 24 января, 2016 Да и не всегда эту гирлянду видео, если чуть-чуть уступ погрузить под десну, она эту гирлянду и прикроет. И будет всем щщщщастье) Ссылка на комментарий
MaxDok Опубликовано 24 января, 2016 Поделиться Опубликовано 24 января, 2016 Вкладка в 45 Ваша ? Ссылка на комментарий
Romanson Опубликовано 24 января, 2016 Поделиться Опубликовано 24 января, 2016 А снимок есть? Ссылка на комментарий
DimaKoleso Опубликовано 25 января, 2016 Автор Поделиться Опубликовано 25 января, 2016 Вкладка в 45 Ваша ? вкладку терапевт устанавливала, у них в клинике, когда я пришел, терапевты сами вкладки делали Ссылка на комментарий
DimaKoleso Опубликовано 25 января, 2016 Автор Поделиться Опубликовано 25 января, 2016 А снимок есть?снимок есть, качество плохое Ссылка на комментарий
voff Опубликовано 25 января, 2016 Поделиться Опубликовано 25 января, 2016 Я делаю гирлянду язычно и небно и ничего пациентам не рассказываю,они ее никогда не увидят там,а если планируется 360 гирлянда,то адекватные пациенту без проблем поймут необходимость.Если не устраивает,то всегда можно сделать безметалловую конструкцию,если как вы говорите "на все деньги и побелее"Некоторые техники делают "ножку" для того чтобы удобнее обжигать было. Некоторые пациенты приходят спустя месяцы и спрашивают "Что это?". Безметалловая не всем по карману, а люди - они такие, раз и забыли, и Ваша гирлянда уже не добро, а кусок металла в их драгоценном рте. Ссылка на комментарий
Карен Аванесов Опубликовано 25 января, 2016 Поделиться Опубликовано 25 января, 2016 Широко для гирлянды. Техник хорошо постарался. Ссылка на комментарий
DimaKoleso Опубликовано 26 января, 2016 Автор Поделиться Опубликовано 26 января, 2016 Широко для гирлянды. Техник хорошо постарался.Да, мой косяк( Ссылка на комментарий
joker_61rus Опубликовано 28 января, 2016 Поделиться Опубликовано 28 января, 2016 Можно узнать показания к гирлянде? Много ли от нее толка? Чем она лучше плечевой массы? Ссылка на комментарий
Карен Аванесов Опубликовано 28 января, 2016 Поделиться Опубликовано 28 января, 2016 Аккуратно работаете. Теперь больше на будет косяков по гирляндам, ну и осваивайте имплантологию, лет через 5 "+ -" там два винта могут понадобиться, а может и один. Ссылка на комментарий
Карен Аванесов Опубликовано 28 января, 2016 Поделиться Опубликовано 28 января, 2016 (изменено) Много, зуб меньше точить, прилегание лучше, гнить зуб не будет, ну и вообще оригинально смотрится. Изменено 28 января, 2016 пользователем Карен Аванесов Ссылка на комментарий
DimaKoleso Опубликовано 29 января, 2016 Автор Поделиться Опубликовано 29 января, 2016 Аккуратно работаете. Теперь больше на будет косяков по гирляндам, ну и осваивайте имплантологию, лет через 5 "+ -" там два винта могут понадобиться, а может и один.Имплантологию осваиваю, да вот не все пациенты готовы) как вот в данном случае Ссылка на комментарий
Рекомендуемые сообщения
Для публикации сообщений создайте учётную запись или авторизуйтесь
Вы должны быть пользователем, чтобы оставить комментарий
Создать аккаунт
Зарегистрируйте новый аккаунт в нашем сообществе. Это очень просто!
Регистрация нового пользователяВойти
Уже есть аккаунт? Войти в систему.
Войти