alex380 Опубликовано 16 января, 2016 Поделиться Опубликовано 16 января, 2016 Доброго дня, прошу совета !У меня долго стоял мост между 5 и 8, внизу справа, 6 и 7 нет. Мост отклеился, пошел ставить назад, оказалось, что 8-ка печально выглядит. Не хочется терять зуб и ставить имплант, прилагаю снимки, посоветуйте, стоит ли пытаться вылечить 8-ку, или однозначно рвать, и ставить 2 импланта ? И если удалять, то что делать дальше ? Ссылка на комментарий
red_butler Опубликовано 16 января, 2016 Поделиться Опубликовано 16 января, 2016 Удалять. 2 Ссылка на комментарий
Stepa Опубликовано 16 января, 2016 Поделиться Опубликовано 16 января, 2016 Удалять Ссылка на комментарий
DmitrySH Опубликовано 16 января, 2016 Поделиться Опубликовано 16 января, 2016 Удалять и далее два варианта. Либо имплантация, либо съёмный протез. Ссылка на комментарий
Korel Опубликовано 16 января, 2016 Поделиться Опубликовано 16 января, 2016 Удалить и сохранить. Ссылка на комментарий
Гарриевич Опубликовано 17 января, 2016 Поделиться Опубликовано 17 января, 2016 (изменено) 8ка на удаление. Далее один или два импланта в область 6 (7)На верху с этой стороны что у Вас? Изменено 17 января, 2016 пользователем Гарриевич Ссылка на комментарий
alex380 Опубликовано 17 января, 2016 Автор Поделиться Опубликовано 17 января, 2016 8ка на удаление. Далее один или два импланта в область 6 (7)На верху с этой стороны что у Вас?Наверху стоит убитая восьмерка без всяких проблем, и рядом мост на 3 зуба. Все это, и нижний мост, которы выпал, стоят вот уже 15 лет. Под нижним мостом пару раз ра это время было небольшое воспаление десны, без зубной боли, проходило после полоскания содой. Ссылка на комментарий
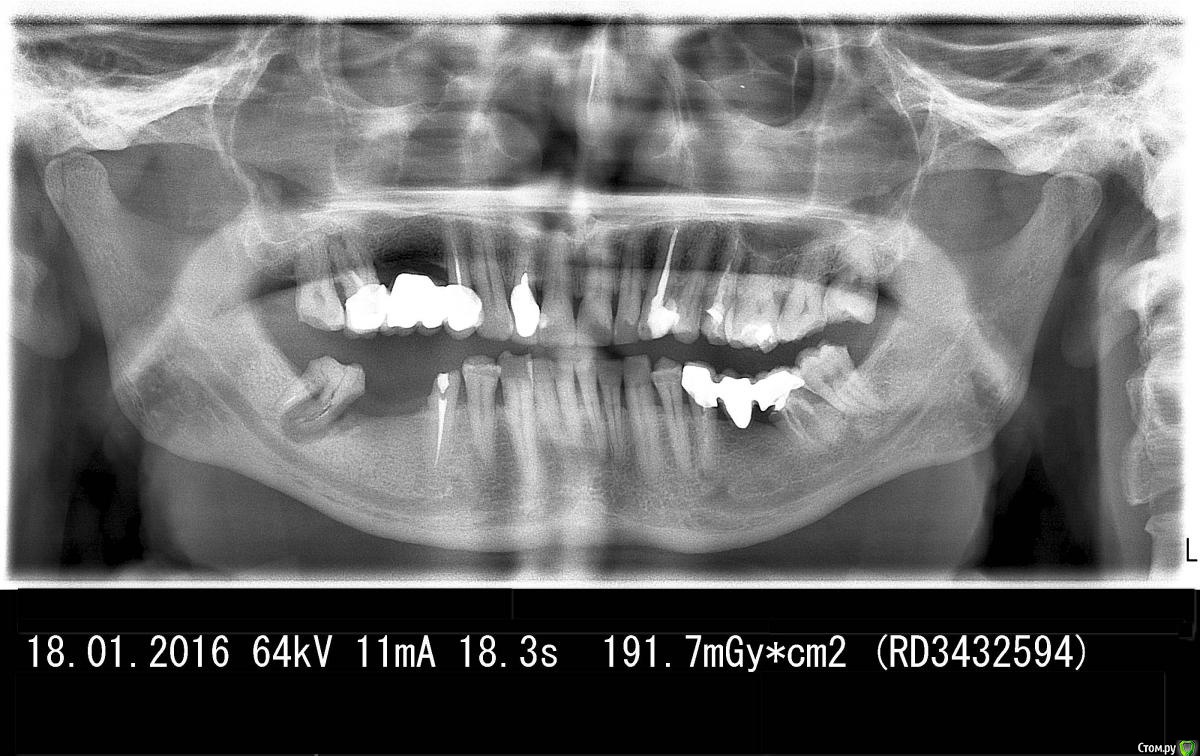
IvanK Опубликовано 18 января, 2016 Поделиться Опубликовано 18 января, 2016 выложите панорамный снимок (ОПТГ) Ссылка на комментарий
alex380 Опубликовано 18 января, 2016 Автор Поделиться Опубликовано 18 января, 2016 выложите панорамный снимок (ОПТГ)Вот, сделал снимок. Пора обсуждать имплантацию, что ставить, где и у кого делать, и сколько будет стоить. Ссылка на комментарий
Гарриевич Опубликовано 18 января, 2016 Поделиться Опубликовано 18 января, 2016 противоположная сторона тоже тоже требует леченияимплантация необходима в области 6 и 7 Ссылка на комментарий
IvanK Опубликовано 18 января, 2016 Поделиться Опубликовано 18 января, 2016 пользуйтесь radikal.ruссылка 2 после загрузки... будет удобнее http://s019.radikal.ru/i609/1601/ea/a6528aaba927.jpg Ссылка на комментарий
IvanK Опубликовано 18 января, 2016 Поделиться Опубликовано 18 января, 2016 Консультация ортодонта и ортопедаудаление 28, 38,37, 48повторное лечение, протезирование 17,14,12, 23,25, 35,45Протезирование с опорой на имплантаты / съемное протезирование все, что я могу сказать без очного осмотра, естественно, возможны коррективы.. Ссылка на комментарий
alex380 Опубликовано 18 января, 2016 Автор Поделиться Опубликовано 18 января, 2016 Ж Консультация ортодонта и ортопедаудаление 28, 38,37, 48повторное лечение, протезирование 17,14,12, 23,25, 35,45Протезирование с опорой на имплантаты / съемное протезирование все, что я могу сказать без очного осмотра, естественно, возможны коррективы.. Жесть. А нельзя ли, с учетом мирового финансового кризиса, обойтись удалением 48 и имплантацией 2 штук ? Ссылка на комментарий
red_butler Опубликовано 18 января, 2016 Поделиться Опубликовано 18 января, 2016 Ж Жесть. А нельзя ли, с учетом мирового финансового кризиса, обойтись удалением 48 и имплантацией 2 штук ?Можно, но потом буде сложнее и дороже Ссылка на комментарий
Brigita Опубликовано 18 января, 2016 Поделиться Опубликовано 18 января, 2016 Все это - и мосты и залеченные зубы стоят уже 15 лет и беспокоила только нижняя восьмерка? Пусть и дальше стоит, кмк. Кончится кризис, будете ставить задачи глобальные.Если выбирать - имплант и хорошее съемное протезирование, то по цене примерно выйдет одинаково.Коллеги-хирурги, а вариант с одним имплантом возможен? Ссылка на комментарий
Korel Опубликовано 18 января, 2016 Поделиться Опубликовано 18 января, 2016 Пусть и дальше стоит, кмк. Только не 48 Ссылка на комментарий
IvanK Опубликовано 19 января, 2016 Поделиться Опубликовано 19 января, 2016 Ж Жесть. А нельзя ли, с учетом мирового финансового кризиса, обойтись удалением 48 и имплантацией 2 штук ?Почему бы и нет Ссылка на комментарий
alex380 Опубликовано 19 января, 2016 Автор Поделиться Опубликовано 19 января, 2016 Господа доктора и участники ! Прошу перейти к окончательному решению зубного вопроса - посоветуйте, куда и к кому нести деньги. В личку. Предварительно, посмотрев по сайтам, рассчитываю на бюджет 150 т.р (+ -). Или придется продавать почку ? Ссылка на комментарий
Korel Опубликовано 19 января, 2016 Поделиться Опубликовано 19 января, 2016 Или придется продавать почку ? После праздников подскочили цены на печень. Ссылка на комментарий
IvanK Опубликовано 19 января, 2016 Поделиться Опубликовано 19 января, 2016 Господа доктора и участники ! Прошу перейти к окончательному решению зубного вопроса - посоветуйте, куда и к кому нести деньги. В личку. Предварительно, посмотрев по сайтам, рассчитываю на бюджет 150 т.р (+ -). Или придется продавать почку ?Вопросы цен на Форуме не обсуждаются Тема закрыта? Ссылка на комментарий
red_butler Опубликовано 19 января, 2016 Поделиться Опубликовано 19 января, 2016 О я что то пропустил? Торги началисьУважаемый Алекс, большинство докторов на форуме успешные состоявшиеся врачи. К ним длинная запись, не они а их ищут пациенты. 2 Ссылка на комментарий
Korel Опубликовано 19 января, 2016 Поделиться Опубликовано 19 января, 2016 О я что то пропустил? Торги начались Видимо да) Будем наблюдать за ростом акции?)) Ссылка на комментарий
Рекомендуемые сообщения
Для публикации сообщений создайте учётную запись или авторизуйтесь
Вы должны быть пользователем, чтобы оставить комментарий
Создать аккаунт
Зарегистрируйте новый аккаунт в нашем сообществе. Это очень просто!
Регистрация нового пользователяВойти
Уже есть аккаунт? Войти в систему.
Войти