Fibez Опубликовано 17 февраля, 2017 Поделиться Опубликовано 17 февраля, 2017 спасибо Ссылка на комментарий
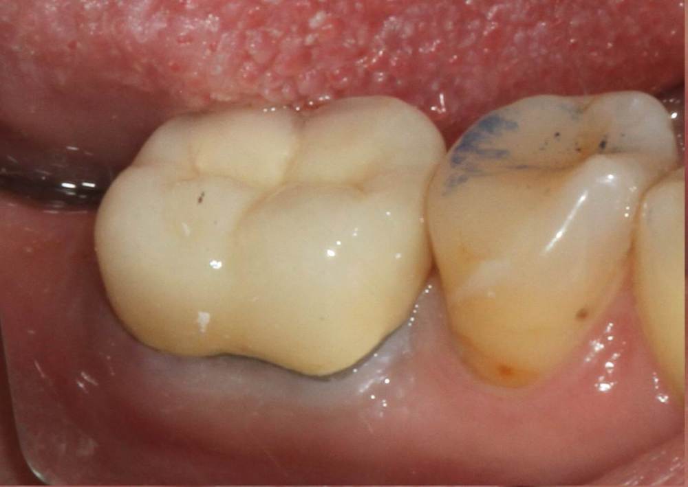
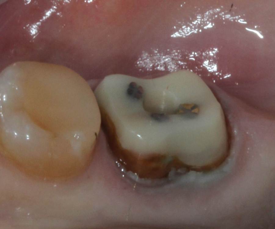
Kolchanov Опубликовано 27 мая, 2022 Автор Поделиться Опубликовано 27 мая, 2022 Спустя 6 лет тёща снова попала под раздачу билд-апов. Отвалилась коронка вместе с содержимым. Состояние оставшегося печальное. Билд-ап по-криминалу на штифтах. Работа по кости бором без лоскута. Спустя пару месяцев протезирование мк без изысков с гирляндой. 9 1 Ссылка на комментарий
Бардо Опубликовано 28 мая, 2022 Поделиться Опубликовано 28 мая, 2022 Великолепная некромантия). Понимаю, что вопрос религиозный, но почему металлические штифты, а не свш? Ссылка на комментарий
Kolchanov Опубликовано 28 мая, 2022 Автор Поделиться Опубликовано 28 мая, 2022 Быстрее, проще, дешевле, больше возможности для подгонки штифта. 1 Ссылка на комментарий
Женька Опубликовано 28 мая, 2022 Поделиться Опубликовано 28 мая, 2022 @Kolchanov круто! всегда пугаю пациентов, что при "большой" пломбе, есть вероятность, что коронка вывалится и внутри будут все эти штифты. Ерунду говорю получается? Ссылка на комментарий
Aquarius Опубликовано 28 мая, 2022 Поделиться Опубликовано 28 мая, 2022 1 час назад, Женька сказал: @Kolchanov круто! всегда пугаю пациентов, что при "большой" пломбе, есть вероятность, что коронка вывалится и внутри будут все эти штифты. Ерунду говорю получается? Ну феррул же рулит. Если имеется, то хоть чем армируй-будет работать Ссылка на комментарий
Kolchanov Опубликовано 28 мая, 2022 Автор Поделиться Опубликовано 28 мая, 2022 Видимо так. В любом случае, не вижу больше плюсов ни у свш, ни у шкв, чем у анкеров. Разве что во фронтальных зубах свш симпатичнее. Но, у меня всё равно их нет, поэтому во фронт идут жёлтенькие из Углича 1 Ссылка на комментарий
Aquarius Опубликовано 28 мая, 2022 Поделиться Опубликовано 28 мая, 2022 2 минуты назад, Kolchanov сказал: Видимо так. В любом случае, не вижу больше плюсов ни у свш, ни у шкв, чем у анкеров. Разве что во фронтальных зубах свш симпатичнее. Но, у меня всё равно их нет, поэтому во фронт идут жёлтенькие из Углича Думаю тема по штифтам не умрет никогда. Топовые итальянцы и на 1 мм феррула показывают достойные реколлы, а большинству врачей на постсоветском пространстве через год - полтора пациенты приносят мк коронку с гордо торчащим из нее анкером. Но думаю там больше вопросов к эндодонтии Ссылка на комментарий
Гарриевич Опубликовано 29 мая, 2022 Поделиться Опубликовано 29 мая, 2022 повезло теще с зятем)) 1 Ссылка на комментарий
Ico Опубликовано 30 мая, 2022 Поделиться Опубликовано 30 мая, 2022 Давай реколл еще через 6 лет) Всю душу вложил в нее,должна простоять долго! Ссылка на комментарий
кристалл Опубликовано 20 августа, 2022 Поделиться Опубликовано 20 августа, 2022 (изменено) Отличная работа док.При работе по кости когда открываете феррул чем изолируетесь чтоб не наросла десна?Обычно заливаю Квик или жидким кофером но быстро отваливается. Изменено 20 августа, 2022 пользователем кристалл Ссылка на комментарий
Kolchanov Опубликовано 25 августа, 2022 Автор Поделиться Опубликовано 25 августа, 2022 Пусть наростает. Либо времянка делается, либо ничего. Ссылка на комментарий
Sier10 Опубликовано 3 марта, 2023 Поделиться Опубликовано 3 марта, 2023 25.08.2022 в 22:38, Kolchanov сказал: Пусть наростает. Либо времянка делается, либо ничего. В данном случае времяша была? Ссылка на комментарий
Kolchanov Опубликовано 3 марта, 2023 Автор Поделиться Опубликовано 3 марта, 2023 Это ж тёща. Конечно без. 1 2 Ссылка на комментарий
Рекомендуемые сообщения
Для публикации сообщений создайте учётную запись или авторизуйтесь
Вы должны быть пользователем, чтобы оставить комментарий
Создать аккаунт
Зарегистрируйте новый аккаунт в нашем сообществе. Это очень просто!
Регистрация нового пользователяВойти
Уже есть аккаунт? Войти в систему.
Войти