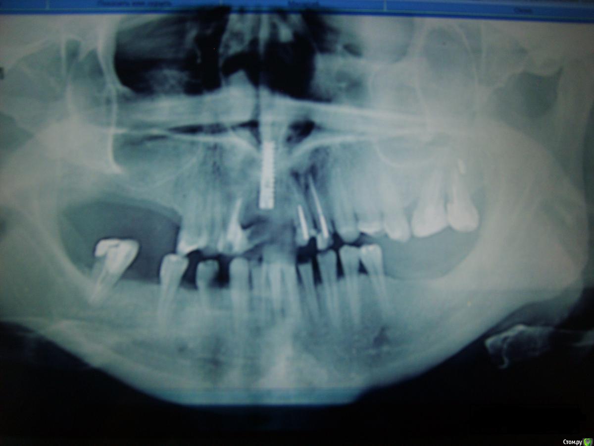
Masha4 Опубликовано 27 декабря, 2015 Поделиться Опубликовано 27 декабря, 2015 (изменено) Уважаемые Эксперты, уважаемые Врачи, здравствуйте! Очень прошу Вашей помощи с планом операций, т. к. запуталась окончательно. В 2015 г. обратилась к хирургу (клиника №1) для комплексного решения своей непростой ситуации.План операции Доктор "озвучил" следующий:1 этап - операция. общий наркоз - РВК 21, 22; -лоскутная операция 25, 26, 27 -удаление импланта 11 -костная пластика 3 участка (забор из повздошной кости)2 этап - имплантация 8-9 едениц:3 этап - постоянное протезирование (через 4 мес.). По факту операции (май 2015г.) я получила:-удаление 12-костная пластика 4 участка ( зоны 12, 15-16-17, между "разъехавшимися" 45 - 46, 36-37-38). Слизистую щеки пришивали на десну.Имплант 11 оставили. Сказали он "стабилен", при постоянном протезировании установить коронку с искусственной десной. Июль 2015. Из импланта начал немного подтекать гной. Зона 11-12, периодически небольшое жжение,воспаление, дискомфорт. Доктор сказал что причина - 21.Про имплант 11 сказал что они его в мае попытались выкрутить, но не смогли. Когда он будет ставить импланты, удалит 11 и сразу же на его место установит другой. Костная пластика в этой зоне не нужна! (место позволяет установить другой) В двух других клиниках (клиника №2, №3) сказали - причина все-таки имплант 11, т.к. вокруг него полость. В настоящее время, Хирург, делавший ОП, настаивает на операции. Срочно. Иначе уйдет кость.За одну операцию(предмедикация-удаление 21, 22--имплантация 8-9 единиц (21,22,12, 11(по ситуации), 15, 16, 17, 36, 37, 38, между 45 и 46)-если получится! - удаление импланта.( План в бумажном варианте не составляется. По фронту Доктор сказал: пока не вскроешь - не поймешь. Но импланты на жевательную группу установят 100% ) Клиники №2 и №3 рекомендуют следующий вариант:1. установить импланты на жевательную группу2. через 1-2 мес. заняться фронтом (за одну операцию)-удаление старого импланта 11-установка имлпанта 12-попытаться сделать РВК 21, 22.-если РВК не получится удаление-имплантация.3. в зоне 11 возможно, больше ничего не делать (живого места нет) При постоянном протезировании мост 21-12 на имплантах. Уважаемые Врачи,очень прошу Вашего заключения и оценки моей ситуации.Что бы Вы мне посоветовали, на что еще нужно обратить внимание?Очень Вам благодарна! Большое спасибо! Изменено 27 декабря, 2015 пользователем Masha4 Ссылка на комментарий
brg Опубликовано 27 декабря, 2015 Поделиться Опубликовано 27 декабря, 2015 Фото жуть, нормальные выкладывайте. Ссылка на комментарий
Masha4 Опубликовано 27 декабря, 2015 Автор Поделиться Опубликовано 27 декабря, 2015 Согласна. жуткая-жуть.Это на самом деле ужасно выглядит.Подскажите пожалуйста, нормальные фото - это с другого ракурса? Как лучше сделать? Ссылка на комментарий
IvanK Опубликовано 28 декабря, 2015 Поделиться Опубликовано 28 декабря, 2015 по РВК: начните с терапевта План лечения кто составлял? Ортопед принимал участие? В переднем отделе, если хотите эстетику, имплантат нужно удалять Ссылка на комментарий
Masha4 Опубликовано 28 декабря, 2015 Автор Поделиться Опубликовано 28 декабря, 2015 IvanK, Большое спасибо что отвечаете. Ортопед в составлении Плана не участвовал. В клинике, где проводили ОП "костная пластика" не запросили план Ортопеда ( КТ не смотрели, хотя у меня есть До и После).Справедливо будет сказать: этот Хирург - единственный в городе, кто занимается костной пластикой в больших объемах. После множества консультаций, меня к нему направили из другой клиники. Был большой костный дефект. говорили что решить его можно только в условиях стационара. Если честно, мне уже не надо эстетики, но в районе импланта есть воспаление.Почему-то Доктор на первой операции не смог его выкрутить. И сейчас как-то неуверенно говорит про его удаление. Уже не знаю что думать, Доктор не склонен объяснять.Может имплант в принципе невозможно удалить? Или у меня будут большие проблемы после его удаления? И поэтому пока так неопределенно? По РВК - спасибо за совет, попробую найти терапевта. Врач Ортопед у которого планирую делать тотальное протезирование по окончанию лечения (очень ему доверяю) работает в другой клинике. (Но там свой Хирург). Я правильно понимаю?: - мне необходимо обратиться к Ортопеду, составить с ним план лечения и дальше сотрудничать уже с его Хирургом по имплантацииСпасибо огромное. Ссылка на комментарий
IvanK Опубликовано 29 декабря, 2015 Поделиться Опубликовано 29 декабря, 2015 Сходите к ортопеду, составьте план лечения, а далее видно будет.. Ссылка на комментарий
Рекомендуемые сообщения
Для публикации сообщений создайте учётную запись или авторизуйтесь
Вы должны быть пользователем, чтобы оставить комментарий
Создать аккаунт
Зарегистрируйте новый аккаунт в нашем сообществе. Это очень просто!
Регистрация нового пользователяВойти
Уже есть аккаунт? Войти в систему.
Войти