Л Ю С Я Опубликовано 23 декабря, 2015 Поделиться Опубликовано 23 декабря, 2015 сразу.... в этом и нюанс....И потом раз в 2-3 месяца? И как с чувствительностью? Ссылка на комментарий
Сева северный Опубликовано 23 декабря, 2015 Автор Поделиться Опубликовано 23 декабря, 2015 (изменено) И потом раз в 2-3 месяца? И как с чувствительностью?После курса домашнего.... 1,2 раза в месяц. Обычно рекомендуется, перед каким нибудь выходом.."в свет".....Рекомендации, по белой диете сохраняются, на постоянной основе. При правильно выбранном варианте ...домашки... чувствительности почти нет...да и та, как правило снимается ( обязательным) реминерализующим циклом. Кстати, если все плохо с чувствительностью, с начала начинаем, с него , а уже потом отбел...При выполнениии данного протокола результат почти всегда от В1. Но Bleach смотрится ... лучше ОТБЕЛИВАНИЕ преображает зубы , даже с вопросами ......формы.... Изменено 23 декабря, 2015 пользователем Сева северный Ссылка на комментарий
St. Опубликовано 23 декабря, 2015 Поделиться Опубликовано 23 декабря, 2015 Чем пользуетесь в качестве ремтерапии? Ссылка на комментарий
Сева северный Опубликовано 23 декабря, 2015 Автор Поделиться Опубликовано 23 декабря, 2015 Чем пользуетесь в качестве ремтерапии?обычно ....рокс минерал Ссылка на комментарий
DmitrySH Опубликовано 23 декабря, 2015 Поделиться Опубликовано 23 декабря, 2015 Обычно его использую вместе с каппами для отбеливания, вы тоже? Ссылка на комментарий
Сева северный Опубликовано 23 декабря, 2015 Автор Поделиться Опубликовано 23 декабря, 2015 (изменено) Обычно его использую вместе с каппами для отбеливания, вы тоже?Да .. в одну капу с отбелом... Даже если один рокс....зубы немножко осветлятся. Изменено 23 декабря, 2015 пользователем Сева северный Ссылка на комментарий
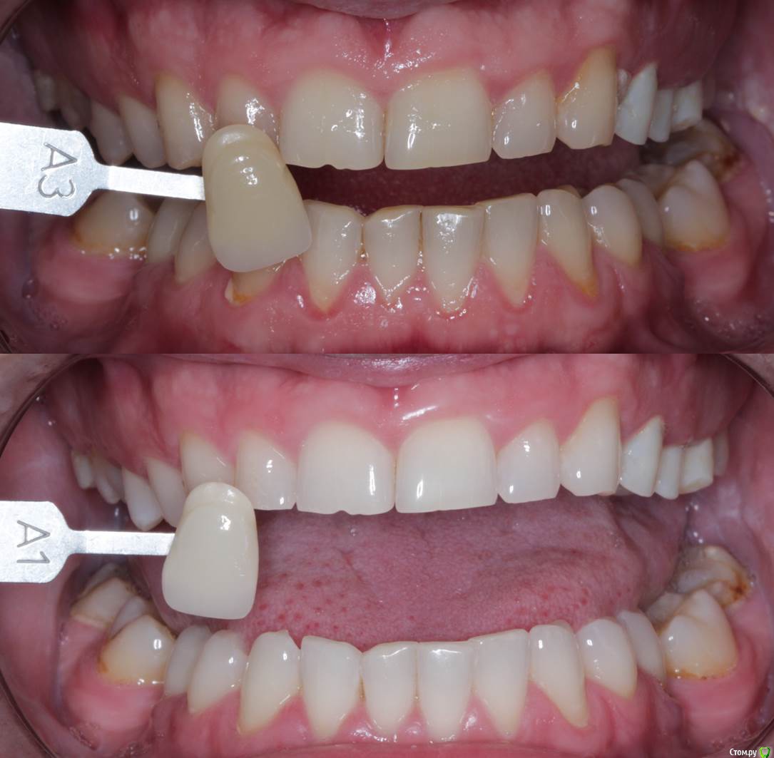
Елена Миллер Опубликовано 24 декабря, 2015 Поделиться Опубликовано 24 декабря, 2015 Как у вас клыки получаются одного цвета с резцами? Экспозиция отбеливателя дольше? Я только начинаю пробовать делать отбеливание. Система опалесценс буст, без лампы. Результаты очень скромные, и клыки всегда темнее остаются. Может, порекомендуете другую систему? Ссылка на комментарий
Zlata-doctor Опубликовано 24 декабря, 2015 Поделиться Опубликовано 24 декабря, 2015 опалесценс самая лучшая Ссылка на комментарий
Сева северный Опубликовано 24 декабря, 2015 Автор Поделиться Опубликовано 24 декабря, 2015 Как у вас клыки получаются одного цвета с резцами? Экспозиция отбеливателя дольше? Я только начинаю пробовать делать отбеливание. Система опалесценс буст, без лампы. Результаты очень скромные, и клыки всегда темнее остаются. Может, порекомендуете другую систему?на офисном у вас клыки и не выбелятся.... добавите к бусту лампу .... результат будет лучше. Клыки доотбелятся , через домашнее. Ссылка на комментарий
Сева северный Опубликовано 24 декабря, 2015 Автор Поделиться Опубликовано 24 декабря, 2015 опалесценс самая лучшаяпочему? Ссылка на комментарий
Елена Миллер Опубликовано 25 декабря, 2015 Поделиться Опубликовано 25 декабря, 2015 на офисном у вас клыки и не выбелятся.... добавите к бусту лампу .... результат будет лучше. Клыки доотбелятся , через домашнее. Любую лампу? От зума подойдет? Ссылка на комментарий
Сева северный Опубликовано 25 декабря, 2015 Автор Поделиться Опубликовано 25 декабря, 2015 (изменено) Любую лампу? От зума подойдет?У каждого производителя свой маркетинг.. свое позиционирование,(для Opalescence Xtra Boost, типа ...лампа не требуется....) Но ????? Прямо из инструкции...........(Несмотря на то, что некоторые предпочитают проводить дополнительную световую активацию Opalescence Xtra Boost, тестирование показало, что очень хорошие результаты достигаются при помощи лишь химической активации материала.) Правда ка кто размыто? Пробуйте..... Изменено 25 декабря, 2015 пользователем Сева северный Ссылка на комментарий
vse32 Опубликовано 4 января, 2016 Поделиться Опубликовано 4 января, 2016 А вот у меня отношения с отбеливанием не сложились. Opalescence Xtra Boost, Yotuel, но без лампы. Как то результаты не впечатляют, а зачастую, вообще не о чем. Так и бросила.Лампу покупать не хочу, дорого. А стабильного потока на отбеливание нет. Не рентабельно. Ссылка на комментарий
Marishkin Опубликовано 5 января, 2016 Поделиться Опубликовано 5 января, 2016 У меня тоже с отбеливанием клыков не сложилось: всегда темнее получаются. Да и после процедуры все пациенты жалуются на выраженную гиперчувствительность. Ваш результат впечатляет! Ссылка на комментарий
Елена Миллер Опубликовано 8 января, 2016 Поделиться Опубликовано 8 января, 2016 на офисном у вас клыки и не выбелятся.... добавите к бусту лампу .... результат будет лучше. Клыки доотбелятся , через домашнее. Скажите еще, пожалуйста,когда назначаете домашнее? В первый же день(ночь) после офисного? Два дня? Неделя? Ссылка на комментарий
Сева северный Опубликовано 8 января, 2016 Автор Поделиться Опубликовано 8 января, 2016 Скажите еще, пожалуйста,когда назначаете домашнее? В первый же день(ночь) после офисного? Два дня? Неделя?По показаниям.. Обычно на первый.... второй день. Ссылка на комментарий
Сева северный Опубликовано 8 января, 2016 Автор Поделиться Опубликовано 8 января, 2016 А вот у меня отношения с отбеливанием не сложились. Opalescence Xtra Boost, Yotuel, но без лампы. Как то результаты не впечатляют, а зачастую, вообще не о чем. Так и бросила.Лампу покупать не хочу, дорого. А стабильного потока на отбеливание нет. Не рентабельно. Первую лампу ..взяли в аренду, с обязательством закупки, определенного количества... наборов.Что бы выполнить, данные обязательства, пришлось много и дешево отбеливать..( спасибо... купонным сайтам). Но это дало ...бесценный опыт.... что... как и кому делать.. + отбеливание- это дополнительный приток пациентов....заточенных на эстетику. А это смена пломб, виниры и т.д..... Ссылка на комментарий
Гарриевич Опубликовано 8 января, 2016 Поделиться Опубликовано 8 января, 2016 Сева, Ваши точки сбивает с толку) Это такой литературный приём или.... 2 Ссылка на комментарий
Marishkin Опубликовано 8 января, 2016 Поделиться Опубликовано 8 января, 2016 Знакомый приём) мы тоже поначалу взяли недорогую лампу и через купонные сайты приводили клиентов на отбеливание. Довольно популярная услуга, как и чистка зубов. Только достичь "идеала" редко получалось. Ссылка на комментарий
Сева северный Опубликовано 8 января, 2016 Автор Поделиться Опубликовано 8 января, 2016 Сева, Ваши точки сбивает с толку)Это такой литературный приём или....Смеялся.......долго. Многоточие, представлено как выразительный пунктуационный знак, его использование в качестве стилистического приёма, позволяющего автору, опустить, заменить, речевую оценку ситуации, действительности или персонажа. О как. Собирательно....Качнул с гугла. Ссылка на комментарий
Сева северный Опубликовано 8 января, 2016 Автор Поделиться Опубликовано 8 января, 2016 Знакомый приём) мы тоже поначалу взяли недорогую лампу и через купонные сайты приводили клиентов на отбеливание. Довольно популярная услуга, как и чистка зубов. Только достичь "идеала" редко получалось.Главное не останавливаться. Сначала тоже было, как то не очень. Особенно интересно, отхождение от инструкций производителя..кстати, которые делали сами пациенты. То гель в капе передержит, то заснет с ней. А чувствительность то....не увеличилась !!! Ссылка на комментарий
Гарриевич Опубликовано 8 января, 2016 Поделиться Опубликовано 8 января, 2016 Смеялся.......долго. Многоточие, представлено как выразительный пунктуационный знак, его использование в качестве стилистического приёма, позволяющего автору, опустить, заменить, речевую оценку ситуации, действительности или персонажа. О как. Собирательно....Качнул с гугла. Я к тому, что они стоят в совершенно неожиданных местах и несут, видимо, для одного Вас, какую то смысловую нагрузку много раз пытался читать их не как запятые, а как многоточия, но из этой авантюрной затеи ничего не вышлоПрошу прощения за оффтоп. Ссылка на комментарий
Сева северный Опубликовано 8 января, 2016 Автор Поделиться Опубликовано 8 января, 2016 Сам вот бываю еду, а у впереди идущей машины, на полке, за задним стеклом, такого навалено...Вот и думаю, чего у мужика в голове творится 1 Ссылка на комментарий
Л Ю С Я Опубликовано 9 января, 2016 Поделиться Опубликовано 9 января, 2016 Извините, не по теме: у меня Севины посты с многоточием ассоциируются со специфическим переводом иностранных фильмов а ля 90 года: гайморитный голос, а вместо многоточия пик- пик 1 Ссылка на комментарий
Сева северный Опубликовано 10 января, 2016 Автор Поделиться Опубликовано 10 января, 2016 Ссылка на комментарий
Рекомендуемые сообщения
Для публикации сообщений создайте учётную запись или авторизуйтесь
Вы должны быть пользователем, чтобы оставить комментарий
Создать аккаунт
Зарегистрируйте новый аккаунт в нашем сообществе. Это очень просто!
Регистрация нового пользователяВойти
Уже есть аккаунт? Войти в систему.
Войти