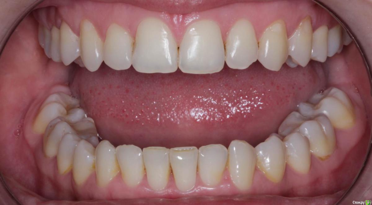
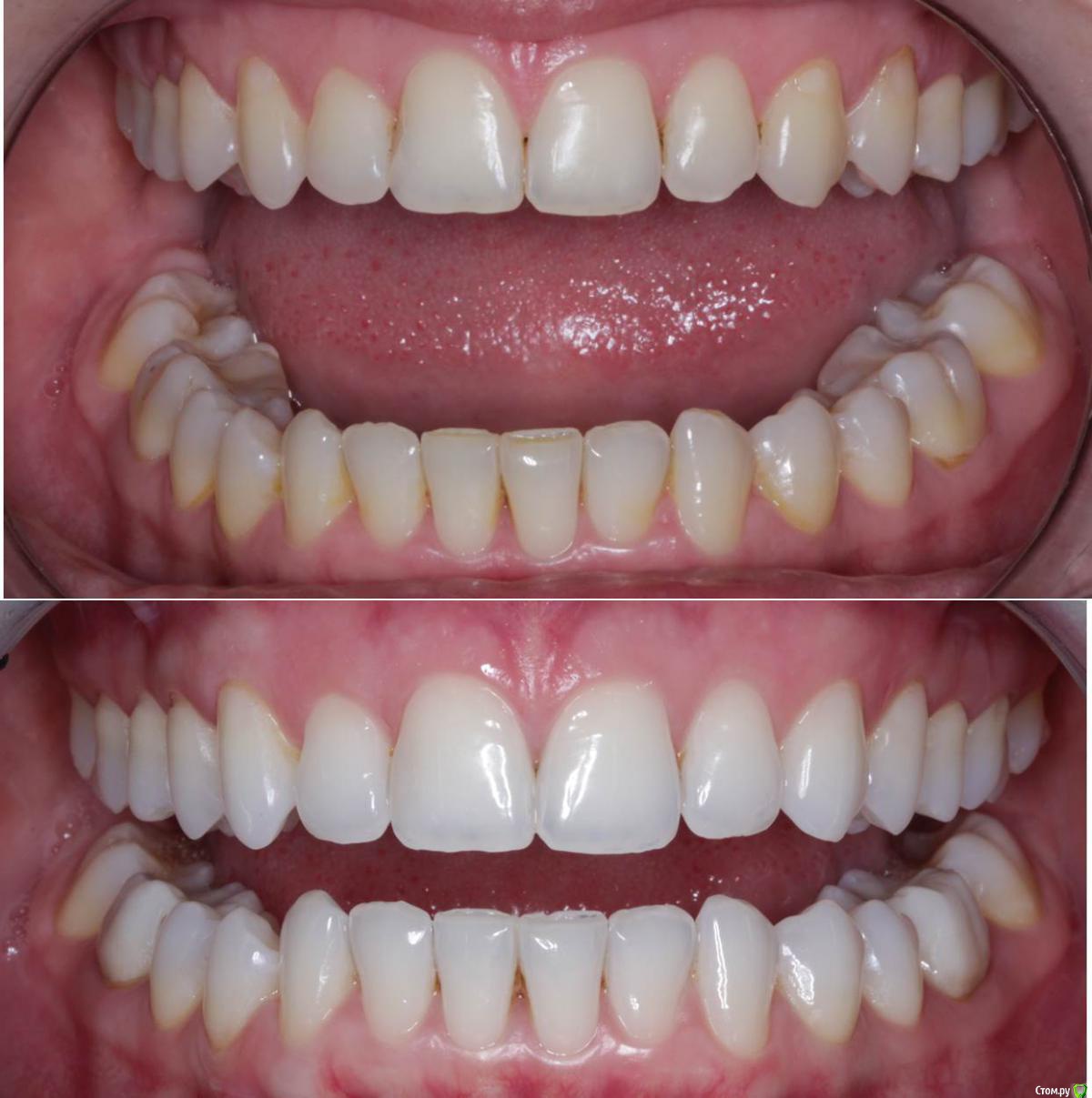
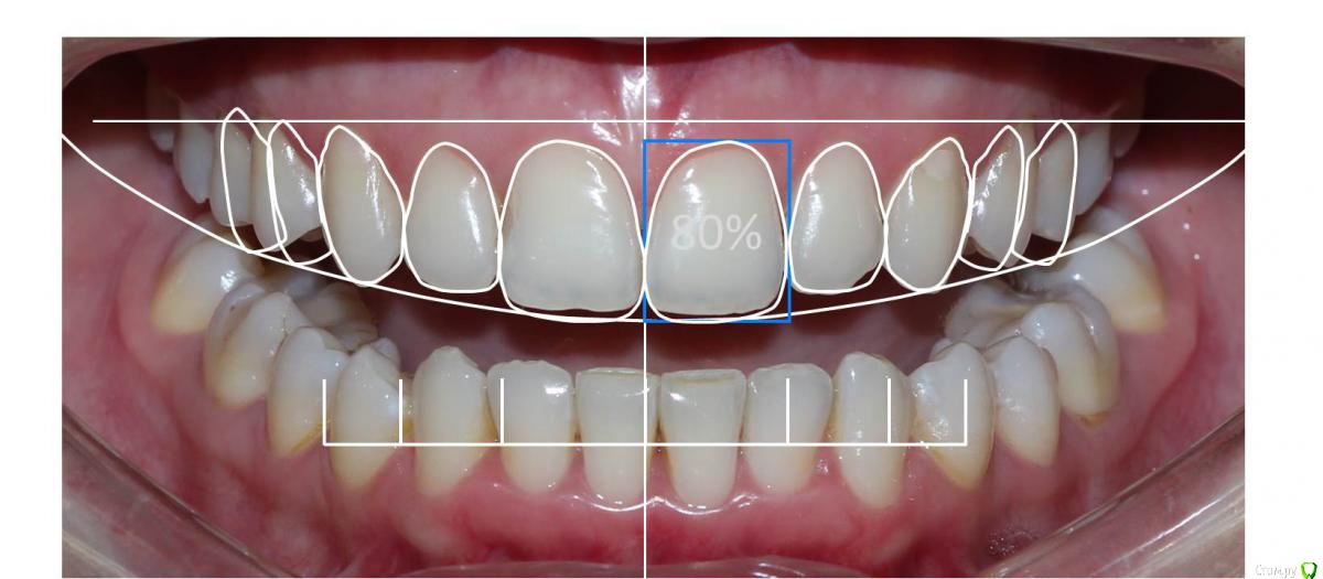
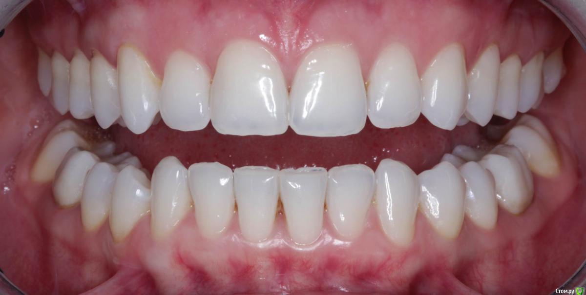
Сева северный Опубликовано 19 декабря, 2015 Поделиться Опубликовано 19 декабря, 2015 Сегодня ко мне пришла пациентка на проф. осмотр и для прохождения проф...гигиены.Около года назад, она попала ко мне от ортодонта... С намерением... что то исправить в своей улыбке...Потенциальнобыла готова поставить виниры. Проведя анализ улыбки по фотографиям (DSD), мы констатировали вполне гармоничные,пропорциональные размеры передних зубов, картину немного портило, лишь положение премоляров.Учитывая оклюзионные нюансы...Мною было предложено: Проведение отбеливания....Коррекция режущего контура латеральных резцов. Замена пломб на 1.1, 2.3, 2.4 ...и др... Результатами проведенных мероприятий, пациентка полностью довольна, необходимость в винирах отпала сама по себе. 16 Ссылка на комментарий
Л Ю С Я Опубликовано 19 декабря, 2015 Поделиться Опубликовано 19 декабря, 2015 Какой был режим отбеливания, чем была активация? Как долго уже держится результат? Ссылка на комментарий
Чертков Александр Опубликовано 19 декабря, 2015 Поделиться Опубликовано 19 декабря, 2015 Сева, супер! Клиническое мышление на "уровне"!!! 2 Ссылка на комментарий
Сева северный Опубликовано 19 декабря, 2015 Автор Поделиться Опубликовано 19 декабря, 2015 Какой был режим отбеливания, чем была активация? Как долго уже держится результат?Офисное отбеливание..проводилось 11 месяцев. назад . LED лампа. 3 подхода по 15 минут..... Ссылка на комментарий
Сева северный Опубликовано 19 декабря, 2015 Автор Поделиться Опубликовано 19 декабря, 2015 Сева, супер! Клиническое мышление на "уровне"!!!Спасибо... Ссылка на комментарий
DOCTORARSEN Опубликовано 19 декабря, 2015 Поделиться Опубликовано 19 декабря, 2015 Офисное отбеливание..проводилось 11 месяцев. назад . LED лампа. 3 подхода по 15 минут..... а чем отбеливали? Ссылка на комментарий
Сева северный Опубликовано 19 декабря, 2015 Автор Поделиться Опубликовано 19 декабря, 2015 а чем отбеливали?Офисное...... Belle Ссылка на комментарий
M@estro Опубликовано 19 декабря, 2015 Поделиться Опубликовано 19 декабря, 2015 Красавчик . Коллега, жму руку. Отличный подход! Ссылка на комментарий
DmitrySH Опубликовано 19 декабря, 2015 Поделиться Опубликовано 19 декабря, 2015 Очень нравится подобный подход!!! Зубные отложения картину портят. Что не почистили перед отбеливанием? Ссылка на комментарий
Гарриевич Опубликовано 19 декабря, 2015 Поделиться Опубликовано 19 декабря, 2015 Сева, как ДСД осваивали? Ссылка на комментарий
Сева северный Опубликовано 19 декабря, 2015 Автор Поделиться Опубликовано 19 декабря, 2015 Красавчик . Коллега, жму руку. Отличный подход!спасибо Ссылка на комментарий
Сева северный Опубликовано 19 декабря, 2015 Автор Поделиться Опубликовано 19 декабря, 2015 Очень нравится подобный подход!!! Зубные отложения картину портят. Что не почистили перед отбеливанием?Спасибо за наблюдательность.... Рисунок1-это входящее( начальное фото, на консультации)Перед отбеливанием, сделали проф. гигиену. А вот последние 2 фото (сегодняшние) сделаны до гигиены..... сода сделала свое дело Кстати вопрос для наблюдательных...обратите внимание на гармонизацию положения премоляров???Что это компенсация... сагитальной и трансверзальной кривых? Ссылка на комментарий
Сева северный Опубликовано 19 декабря, 2015 Автор Поделиться Опубликовано 19 декабря, 2015 Сева, как ДСД осваивали?Прочитал Фрадеани, потом курсы Кочмана....потом опять Фрадеани...... начал делать вакс ап, сам..... с 3-й модели прорвало..... 1 Ссылка на комментарий
Л Ю С Я Опубликовано 20 декабря, 2015 Поделиться Опубликовано 20 декабря, 2015 Малоинвазивность! Щадящий подход к твёрдым тканям и хороший эстетический результат. Это очень радует Ссылка на комментарий
Сева северный Опубликовано 20 декабря, 2015 Автор Поделиться Опубликовано 20 декабря, 2015 (изменено) Малоинвазивность! Щадящий подход к твёрдым тканям и хороший эстетический результат. Это очень радуетСпасибо ... от вас ... особо радует .. Да... и в отбеливании есть нюансы..!! Изменено 20 декабря, 2015 пользователем Сева северный Ссылка на комментарий
Л Ю С Я Опубликовано 21 декабря, 2015 Поделиться Опубликовано 21 декабря, 2015 Спасибо ... от вас ... особо радует .. Да... и в отбеливании есть нюансы..!!Сева я на этом форуме не для того, чтобы потролить кого то. Профессиональные споры они нужны для поддержания мозгов в тонусе всем. Подход должен быть комплексным и оправдан конкретным клиническим случаем. Данный случай мне очень нравится малоинвазивностью. Не поделитесь нюансами отбеливания? Не видела ни разу стойкого эффекта от отбеливания, обычно от 2 дней до нескольких месяцев 1 Ссылка на комментарий
carloss Опубликовано 21 декабря, 2015 Поделиться Опубликовано 21 декабря, 2015 (изменено) Кстати вопрос для наблюдательных...обратите внимание на гармонизацию положения премоляров???Что это компенсация... сагитальной и трансверзальной кривых?Очень интересный момент, а с чем сами связываете? Изменено 21 декабря, 2015 пользователем carloss Ссылка на комментарий
M@estro Опубликовано 21 декабря, 2015 Поделиться Опубликовано 21 декабря, 2015 Очень интересный момент, а с чем сами связываете? Думаю, ответ на вопрос кроется в нижних молярах 1 Ссылка на комментарий
Сева северный Опубликовано 21 декабря, 2015 Автор Поделиться Опубликовано 21 декабря, 2015 (изменено) Не поделитесь нюансами отбеливания? Не видела ни разу стойкого эффекта от отбеливания, обычно от 2 дней до нескольких месяцев..Весь в нюанс в комбинации офисного и домашнего отбеливания. Приведу аналогию на примере: настоящей ""блондинки"" Сначала она красит волосы, в белый цвет (это офисное отбеливание), а потом регулярно осветляет, корни и сами волосы( это домашнее, поддерживающее, отбеливание) и здесь, постоянный процесс.. "Блондинка" будет блондинкой ровно, столько, сколько она будет этого хотеть. Изменено 21 декабря, 2015 пользователем Сева северный Ссылка на комментарий
carloss Опубликовано 21 декабря, 2015 Поделиться Опубликовано 21 декабря, 2015 Думаю, ответ на вопрос кроется в нижних молярах согласен, наверное они разгрузили премоляры, особенно при латеротрузии, судя по клиновидкам на них, и те вернулись 1 Ссылка на комментарий
Сева северный Опубликовано 21 декабря, 2015 Автор Поделиться Опубликовано 21 декабря, 2015 Очень интересный момент, а с чем сами связываете?Пока думаю....самый простой и наверное глупый ответ...девушка ушла из ортодонтии, но ортодонтия не ушла из девушки.Если загнаться.. можно в артикуляторе посмотреть разрезанную по зубно модель( на последовательную или какую нибудь другую дезокклюзию)Думаю, ответ на вопрос кроется в нижних молярах Да ...работа там велась. 3.6, 4.6 e max 360 гр. .....3.7, 4.7.композитные реставрации. Ссылка на комментарий
Л Ю С Я Опубликовано 22 декабря, 2015 Поделиться Опубликовано 22 декабря, 2015 .Весь в нюанс в комбинации офисного и домашнего отбеливания. Приведу аналогию на примере: настоящей ""блондинки"" Сначала она красит волосы, в белый цвет (это офисное отбеливание), а потом регулярно осветляет, корни и сами волосы( это домашнее, поддерживающее, отбеливание) и здесь, постоянный процесс.. "Блондинка" будет блондинкой ровно, столько, сколько она будет этого хотеть.Про блондинку, это понятно вопрос в том, как часто она применяет домашнее отбеливание. Через сколько после офисного? Спасибо Ссылка на комментарий
Каплан Опубликовано 22 декабря, 2015 Поделиться Опубликовано 22 декабря, 2015 Сева ++++ к клиническому мышлению! Результат клевый! По отбелке. Знаю девушку, делает домашнее раз в пол года примерно. б1 держится. очень красиво ) Ссылка на комментарий
Сева северный Опубликовано 22 декабря, 2015 Автор Поделиться Опубликовано 22 декабря, 2015 Про блондинку, это понятно вопрос в том, как часто она применяет домашнее отбеливание. Через сколько после офисного? Спасибосразу.... в этом и нюанс.... Ссылка на комментарий
Сева северный Опубликовано 22 декабря, 2015 Автор Поделиться Опубликовано 22 декабря, 2015 По отбелке. Знаю девушку, делает домашнее раз в пол года примерно. б1 держится. очень красиво ) Bleach смотрится ...еще лучше Ссылка на комментарий
Рекомендуемые сообщения
Для публикации сообщений создайте учётную запись или авторизуйтесь
Вы должны быть пользователем, чтобы оставить комментарий
Создать аккаунт
Зарегистрируйте новый аккаунт в нашем сообществе. Это очень просто!
Регистрация нового пользователяВойти
Уже есть аккаунт? Войти в систему.
Войти