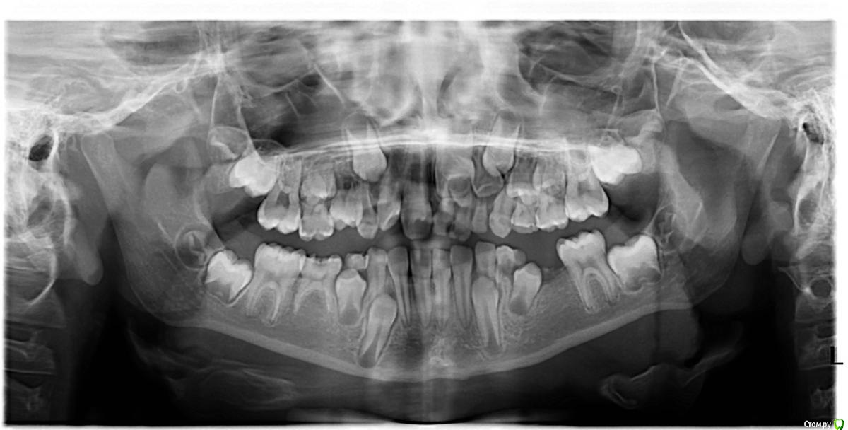
Jeniaspb Опубликовано 18 декабря, 2015 Поделиться Опубликовано 18 декабря, 2015 Кто, что посоветует? Пару слов о самом ребенке: очень и очень неконтактная девочка с очень и очень противной мамашей, но помочь хочется.Скину только орто, вопрос следующий: снизу все более-менее понятно, интересует область резцов слева. У нее 3 молочных резца с левой стороны, плюс по КТ смотрел, прямо за 2.1 нечто похожее на еще один молочный зубец. Стоит ли удалять все три молочных резца и помогать постоянному или дать ему время для прорыва?) З. Ы. : С огромным трудом снимали оттиски, на серьезный аппарат ребенок точно не готов, по ТРГ нижняя микро и вертик тип роста, есть ли смысл пытаться с lm активатором? Ссылка на комментарий
Yana guapa Опубликовано 18 декабря, 2015 Поделиться Опубликовано 18 декабря, 2015 http://i10.pixs.ru/storage/5/1/4/post307090_2235695_19924514.jpg Я бы вот эти все убрала. 1 Ссылка на комментарий
Jeniaspb Опубликовано 19 декабря, 2015 Автор Поделиться Опубликовано 19 декабря, 2015 Спасибо за участие) я боюсь хирург цепанет лишнего) но я пока с ним не говорил)А что на счет аппарата думаете? Ссылка на комментарий
CRAZYDUCK Опубликовано 20 декабря, 2015 Поделиться Опубликовано 20 декабря, 2015 Спасибо за участие) я боюсь хирург цепанет лишнего) но я пока с ним не говорил)А что на счет аппарата думаете?А почему про хирурга думаете , что лишнего отхватит? Может тогда именно к детскому хирургу направить ?Насчет лечения лм активатором не знаю . Если они не способны сотрудничать , то и лм носить не будут скорее всего . Пробовали маме всю сложность ситуации объяснить ? Пусть дома с дочкой работает , объясняет ей необходимость лечения . С Яной насчет удаления согласна . 1 Ссылка на комментарий
Yana guapa Опубликовано 21 декабря, 2015 Поделиться Опубликовано 21 декабря, 2015 Спасибо за участие) я боюсь хирург цепанет лишнего) но я пока с ним не говорил)А что на счет аппарата думаете?на НЧ - протезирование (плюс винт можно добавить)на ВЧ - я бы просто ждала и наблюдала до 6 месяцев. (плюс грубая пища). тем более, если пациенты гиперактивны. Ссылка на комментарий
Jeniaspb Опубликовано 21 декабря, 2015 Автор Поделиться Опубликовано 21 декабря, 2015 Спасибо за участие! Будем работать) Ссылка на комментарий
Monkey Опубликовано 22 декабря, 2015 Поделиться Опубликовано 22 декабря, 2015 Кто, что посоветует? Пару слов о самом ребенке: очень и очень неконтактная девочка с очень и очень противной мамашей, но помочь хочется.Скину только орто, вопрос следующий: снизу все более-менее понятно, интересует область резцов слева. У нее 3 молочных резца с левой стороны, плюс по КТ смотрел, прямо за 2.1 нечто похожее на еще один молочный зубец. Стоит ли удалять все три молочных резца и помогать постоянному или дать ему время для прорыва?)З. Ы. : С огромным трудом снимали оттиски, на серьезный аппарат ребенок точно не готов, по ТРГ нижняя микро и вертик тип роста, есть ли смысл пытаться с lm активатором?согласна со всем вышесказанным.плюс в перспективе планируйте удаление зачатков 8-х.а с глоточным кольцом что? Ссылка на комментарий
Танья Опубликовано 8 февраля, 2016 Поделиться Опубликовано 8 февраля, 2016 Здравствуйте, коллеги!Я бы ещё планировала удалить 74- чтоб нормально прорезался 34. Есть шанс, что 36 при прорезывании 37 сместится медиально и можно будет обойтись без протезирования. У меня такой опыт был .На в/ч ещё бы удалила соседний молочный слева ( оставив только молочный клык, чтоб держал 24). Учитывая, что справа стоят и 11 и 12-22 тоже пора было бы прорезаться .Главное- все направления грамотно написать и чтоб мама подписывалась , если она не очень корректная) Ссылка на комментарий
Рекомендуемые сообщения
Для публикации сообщений создайте учётную запись или авторизуйтесь
Вы должны быть пользователем, чтобы оставить комментарий
Создать аккаунт
Зарегистрируйте новый аккаунт в нашем сообществе. Это очень просто!
Регистрация нового пользователяВойти
Уже есть аккаунт? Войти в систему.
Войти