Макс111 Опубликовано 16 декабря, 2015 Поделиться Опубликовано 16 декабря, 2015 Добрый день!По возможности, прошу посмотреть мою КТ. Правда, не разобрался какую именно папку выкладывать, поэтомувот тут ссылка только на папку с файлами с расширением .DCM https://yadi.sk/d/NQrtBNRKmFtRC А вот тут на все содержимое диска вместе с программой для просмотра, на всякий случай:https://yadi.sk/d/O5yoL0QImFu3Y Так же к теме прикрепляю фото 24, 25 с внешней и внутренней стороны, а так же фото ниж ч там где 46 У меня пародонтит, и тд.В целом, вопрос по 24 и 25 зубу, между ними как видно большой карман. 25 это коронка на зубе, десна опустились и она полностью оголилась, видно уже корень , коронка на десной на пару мм. 24 это в общем то пломба огромная на весь зуб.Что можно сделать? Мне предлагают снять коронку, потом сделать лоскутную операцию, в ходе которой подсадить материал для формирования кости, чтоб уменьшить этот карман и потом сделать сделать коронку и на 25 и на 24 тоже коронку одеть.Какое ваше мнение по 24, 25? Как бы вы сделали, в какой очередности?27 и 28 потерял около 9 мес назад, над ними была киста, ее вырезали.А ну и плюс хронический гайморит. Так же прошу посмотреть в низу 46 зуб, можно ли туда вкрутить имплант или предварительно регенерировать кость нужно? каким методом?у 7 ки там такая форма, что между зубами видимо будет пустота? Как с этим бороться? Когда там был зуб так и были и поэтому 46 портился, стояла пломба, но 3 месяца назад он раскололся, сохранить возможности не было, плюс была киста и его пришлось удалить..Стоит ли сразу удалить 48, чтоб он не давил на 47 или можно подождать пока верх сделаю, чтоб было чем есть пока? Спасибо, если кто то посмотрит! Ссылка на комментарий
IvanK Опубликовано 16 декабря, 2015 Поделиться Опубликовано 16 декабря, 2015 Здравствуйте, есть панорамный снимок? Можете выложить скриншоты срезов кт? Ссылка на комментарий
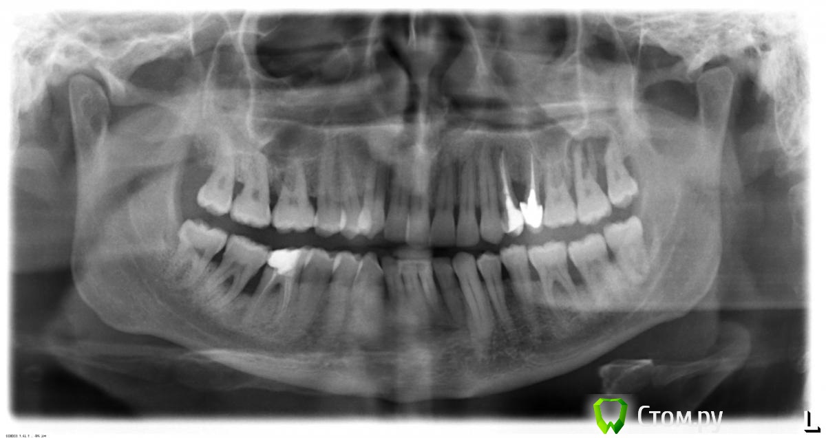
Макс111 Опубликовано 16 декабря, 2015 Автор Поделиться Опубликовано 16 декабря, 2015 вот такие прошлогодние есть Ссылка на комментарий
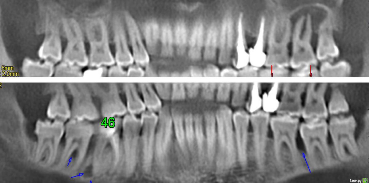
Макс111 Опубликовано 16 декабря, 2015 Автор Поделиться Опубликовано 16 декабря, 2015 https://yadi.sk/i/NCV5zBsrmFzW3вот так получилось сделать с этого кт, а нижний как сделать не знаю Ссылка на комментарий
Макс111 Опубликовано 16 декабря, 2015 Автор Поделиться Опубликовано 16 декабря, 2015 сейчас в низу на снимке, где нижние зубы, уже нет кисты, там просто как кость показывается Ссылка на комментарий
Макс111 Опубликовано 16 декабря, 2015 Автор Поделиться Опубликовано 16 декабря, 2015 вот так еще получилось сделать Ссылка на комментарий
Макс111 Опубликовано 16 декабря, 2015 Автор Поделиться Опубликовано 16 декабря, 2015 скажите какое место срезать, я сделаю. как панораму тут дернуть, я не разобрался пока. Ссылка на комментарий
Карен Аванесов Опубликовано 16 декабря, 2015 Поделиться Опубликовано 16 декабря, 2015 Вам правильно лечащий доктор говорит, верхние на удаление, с нижними можно поработать. Ссылка на комментарий
Макс111 Опубликовано 16 декабря, 2015 Автор Поделиться Опубликовано 16 декабря, 2015 (изменено) удалять мне пока не предлагают, я такого не писал.. я в общем то тоже надеюсь на них коронку поставить, если удастся убрать карман лоскутной операцией.. а по нижнему можно поподробнее? нужна ли подсадка? Изменено 16 декабря, 2015 пользователем Макс111 Ссылка на комментарий
Карен Аванесов Опубликовано 16 декабря, 2015 Поделиться Опубликовано 16 декабря, 2015 В области бифуркаций моляров да. Ссылка на комментарий
Рекомендуемые сообщения
Для публикации сообщений создайте учётную запись или авторизуйтесь
Вы должны быть пользователем, чтобы оставить комментарий
Создать аккаунт
Зарегистрируйте новый аккаунт в нашем сообществе. Это очень просто!
Регистрация нового пользователяВойти
Уже есть аккаунт? Войти в систему.
Войти