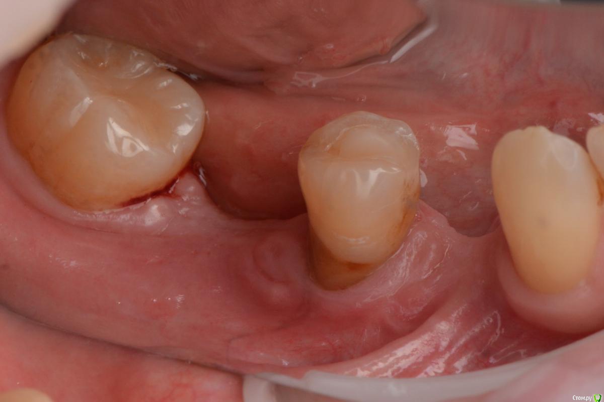
stommm Опубликовано 13 декабря, 2015 Поделиться Опубликовано 13 декабря, 2015 Всем доброго времени суток.Предыстория такая: в области 34 нкр с биооссом и биогайдом. В области 36 - биоосс+ауто+цитопласт, нагноение, долгие попытки вытянуть и в итоге ревизия и демонтаж мембраны. Отсроченно проведены установка имплантов и небольшое нкр в области 36. Десну по глупости сразу не добавил.Хочу перед расширением ЗПКД с помощью СДТ закрыть рецессию на 35. Вестибулярно думаю шансы неплохие, но дистально...? Планирую туннельный доступ через внутрибороздковый разрез. Как думаете. такого доступа хватит что бы завести и зафиксировать сст в области дистального сосочка? может сделать еще один небольшой разрез в области 36 и провести сст оттуда? Какие вообще шансы закрыть такую рецессию? Буду рад советам Ссылка на комментарий
Карен Аванесов Опубликовано 14 декабря, 2015 Поделиться Опубликовано 14 декабря, 2015 Могу ошибаться, но деменерализованный дентин корня, не способствует полноценному эпителиальному соединения, можно конечно жирный кусок сст подшить и все получится, но лучше просто дополнительно, потом, аккуратно "короновать" именно из-за демененрализованного (кариозного прости Господи) дентина. Ссылка на комментарий
stommm Опубликовано 18 декабря, 2015 Автор Поделиться Опубликовано 18 декабря, 2015 Могу ошибаться, но деменерализованный дентин корня, не способствует полноценному эпителиальному соединения, можно конечно жирный кусок сст подшить и все получится, но лучше просто дополнительно, потом, аккуратно "короновать" именно из-за демененрализованного (кариозного прости Господи) дентина.Спасибо, скорее всего так и сделаем. Оказывается изначально ортопед так и планировал. Операцию уже провел, посмотрим что из этого получится... Ссылка на комментарий
Карен Аванесов Опубликовано 18 декабря, 2015 Поделиться Опубликовано 18 декабря, 2015 Будет интересно. У меня сейчас аналогичный случай "дозревает" покажу по завершению. Ссылка на комментарий
DoktorDre Опубликовано 19 декабря, 2015 Поделиться Опубликовано 19 декабря, 2015 (изменено) "Какие вообще шансы закрыть такую рецессию? "Шансов мало . 3 класс. Изменено 19 декабря, 2015 пользователем DoktorDre Ссылка на комментарий
Рекомендуемые сообщения
Для публикации сообщений создайте учётную запись или авторизуйтесь
Вы должны быть пользователем, чтобы оставить комментарий
Создать аккаунт
Зарегистрируйте новый аккаунт в нашем сообществе. Это очень просто!
Регистрация нового пользователяВойти
Уже есть аккаунт? Войти в систему.
Войти