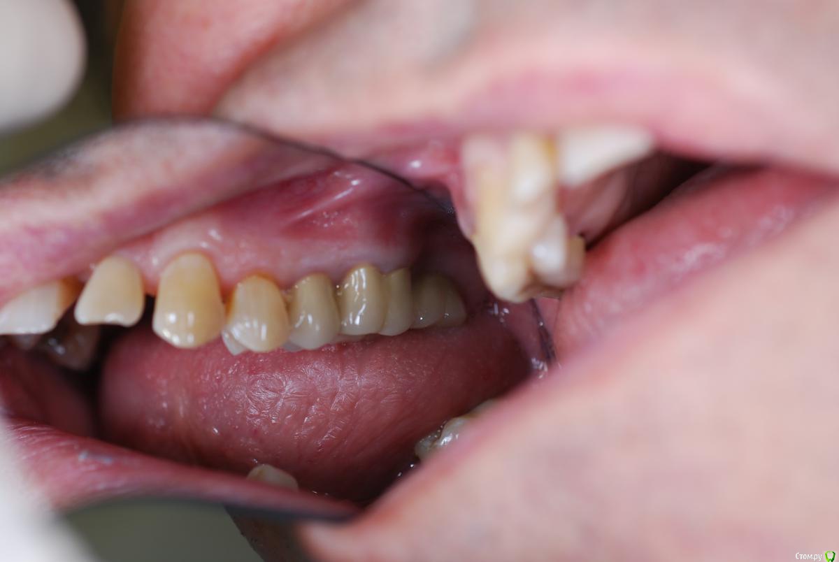
Популярный пост carloss Опубликовано 3 декабря, 2015 Популярный пост Поделиться Опубликовано 3 декабря, 2015 http://savepic.su/6646447.jpg http://savepic.su/6630063.jpg сегодня http://savepic.su/6681262.jpg http://savepic.su/6664878.jpg http://savepic.su/6619823.jpg http://savepic.su/6658734.jpg без чисток и тд.. десять лет вообще не ходила к стоматологу 31 Ссылка на комментарий
Art 7 Опубликовано 3 декабря, 2015 Поделиться Опубликовано 3 декабря, 2015 Супер Ссылка на комментарий
Карен Аванесов Опубликовано 3 декабря, 2015 Поделиться Опубликовано 3 декабря, 2015 После таких работ люди и отказываются от имплантации. 2 Ссылка на комментарий
diesel87 Опубликовано 3 декабря, 2015 Поделиться Опубликовано 3 декабря, 2015 Можно подробнее, сделали ампутацию? Ссылка на комментарий
anvladd Опубликовано 3 декабря, 2015 Поделиться Опубликовано 3 декабря, 2015 (изменено) После таких работ люди и отказываются от имплантации.Мешке говорят имплантацию не признает и протезирует только на зубах. Зачем шурупы крутить если можно так. Результат спустя столько лет шикарен! Изменено 3 декабря, 2015 пользователем anvladd Ссылка на комментарий
carloss Опубликовано 3 декабря, 2015 Автор Поделиться Опубликовано 3 декабря, 2015 (изменено) Можно подробнее, сделали ампутацию? да, раньше часто делал, но обычно срезал один из щечных корней.. большинство стоит до сих пор, правда тут, и шестерка и пятёрка экстремально без феррула, кроме ампутации тока вот, чтобы не обольщались - антагонисты, концевой бюгель)) Изменено 3 декабря, 2015 пользователем carloss Ссылка на комментарий
Карен Аванесов Опубликовано 4 декабря, 2015 Поделиться Опубликовано 4 декабря, 2015 Он старенький, ему все равно))) Ссылка на комментарий
Карен Аванесов Опубликовано 4 декабря, 2015 Поделиться Опубликовано 4 декабря, 2015 Значит. урожай еще впереди) Ссылка на комментарий
PLAY Опубликовано 4 декабря, 2015 Поделиться Опубликовано 4 декабря, 2015 тоже есть кейс с ампутацией небного корня, пока пациэнт с времянками Ссылка на комментарий
carloss Опубликовано 4 декабря, 2015 Автор Поделиться Опубликовано 4 декабря, 2015 тоже есть кейс с ампутацией небного корня, пока пациэнт с времянкамиВообще перестал делать ампутации, хотя по старым кейсам щечные корни резал часто даже если в том же сегменте ставил имплантат. Жалко конечно, разленился.. или дань моде..Были случаи и с оставлением только небного корня, что так же экстремально, как тут. Но с ампутацией одного из щечных, до сих пор считаю лучшей альтернативой имплантации, особенно если грядет синус.. Как -то даже диссертацию хотел написать)) - как-чего, особенно важность высокой бифуркации и тд.. надо бы пересмотреть обратно взгляды и включить обратно в прайс услугу. 4 Ссылка на комментарий
diesel87 Опубликовано 4 декабря, 2015 Поделиться Опубликовано 4 декабря, 2015 Вообще перестал делать ампутации, хотя по старым кейсам щечные корни резал часто даже если в том же сегменте ставил имплантат. Жалко конечно, разленился.. или дань моде..Были случаи и с оставлением только небного корня, что так же экстремально, как тут. Но с ампутацией одного из щечных, до сих пор считаю лучшей альтернативой имплантации, особенно если грядет синус.. Как -то даже диссертацию хотел написать)) - как-чего, особенно важность высокой бифуркации и тд.. надо бы пересмотреть обратно взгляды и включить обратно в прайс услугу. А расскажите подробнее, как чего, пожалуйста. Ссылка на комментарий
red_butler Опубликовано 5 декабря, 2015 Поделиться Опубликовано 5 декабря, 2015 Мама с 2003 года ходит с коронкой на небном корне 1.6, в интернатуре баловался. 4 Ссылка на комментарий
Карен Аванесов Опубликовано 5 декабря, 2015 Поделиться Опубликовано 5 декабря, 2015 Работы из интернатур самые живучие всем кретинам, т.е. критикам назло. 3 Ссылка на комментарий
red_butler Опубликовано 5 декабря, 2015 Поделиться Опубликовано 5 декабря, 2015 Работы из интернатур самые живучие всем кретинам, т.е. критикам назло.Да много чего интересного и бесстыдного успел попробовать. И реплантацию и кусок от гладилки как штифт и т.д Ссылка на комментарий
Карен Аванесов Опубликовано 5 декабря, 2015 Поделиться Опубликовано 5 декабря, 2015 Да, было время)))) Ссылка на комментарий
Doc Опубликовано 6 декабря, 2015 Поделиться Опубликовано 6 декабря, 2015 Блин, Карен Левонович, как же так-то?!Взял мою работу, которую я сдал аккурат под новый год 31-12-2002, через два-три года поменял местами корни и теперь хвастается тут!!! )) Давай назовем это "Более десяти лет на одном небном корне"? Стоит по сей день. Недавно проверял. 4 Ссылка на комментарий
Doc Опубликовано 6 декабря, 2015 Поделиться Опубликовано 6 декабря, 2015 Через много лет плохой гигиены и жуткого прикуса, 20 июля 2012 года. 9 Ссылка на комментарий
Карен Аванесов Опубликовано 6 декабря, 2015 Поделиться Опубликовано 6 декабря, 2015 Эмиль Гургенович на этой работе в роли протезиста выступал или хирургию тоже сам делал? Ссылка на комментарий
Doc Опубликовано 6 декабря, 2015 Поделиться Опубликовано 6 декабря, 2015 Эмиль Гургенович на этой работе в роли протезиста выступал или хирургию тоже сам делал?Нет, конечно. Я коронками балуюсь. 1 Ссылка на комментарий
Abuk Опубликовано 6 декабря, 2015 Поделиться Опубликовано 6 декабря, 2015 Carloss, одиночные коронки делали на таких зубах? У меня самого нужно удалять 6 ку, из за небного. Вот и думаю) Ссылка на комментарий
carloss Опубликовано 6 декабря, 2015 Автор Поделиться Опубликовано 6 декабря, 2015 одиночки только если отсутствует один из щечных корней.. без небного я бы не рискнул , хотя смотря какие корни останутся, и не всегда оно возможно кстати Ссылка на комментарий
Карен Аванесов Опубликовано 6 декабря, 2015 Поделиться Опубликовано 6 декабря, 2015 И конечно же наличие/или отсутствие антагонистов)))) 1 Ссылка на комментарий
PLAY Опубликовано 6 декабря, 2015 Поделиться Опубликовано 6 декабря, 2015 Вообще перестал делать ампутации, хотя по старым кейсам щечные корни резал часто даже если в том же сегменте ставил имплантат. Жалко конечно, разленился.. или дань моде..Были случаи и с оставлением только небного корня, что так же экстремально, как тут. Но с ампутацией одного из щечных, до сих пор считаю лучшей альтернативой имплантации, особенно если грядет синус.. Как -то даже диссертацию хотел написать)) - как-чего, особенно важность высокой бифуркации и тд.. надо бы пересмотреть обратно взгляды и включить обратно в прайс услугу.кстати интересная тема, тем более к имплантатам появляется всё больше вопросов Ссылка на комментарий
Abuk Опубликовано 6 декабря, 2015 Поделиться Опубликовано 6 декабря, 2015 одиночки только если отсутствует один из щечных корней.. без небного я бы не рискнул , хотя смотря какие корни останутся, и не всегда оно возможно кстатиспс,скорей всего придется проходить через синус ( Ссылка на комментарий
Сева северный Опубликовано 6 декабря, 2015 Поделиться Опубликовано 6 декабря, 2015 Мама с 2003 года ходит с коронкой на небном корне 1.6, в интернатуре баловался.Это решение, как раз для родных и близких знакомых.. 1 Ссылка на комментарий
Рекомендуемые сообщения
Для публикации сообщений создайте учётную запись или авторизуйтесь
Вы должны быть пользователем, чтобы оставить комментарий
Создать аккаунт
Зарегистрируйте новый аккаунт в нашем сообществе. Это очень просто!
Регистрация нового пользователяВойти
Уже есть аккаунт? Войти в систему.
Войти