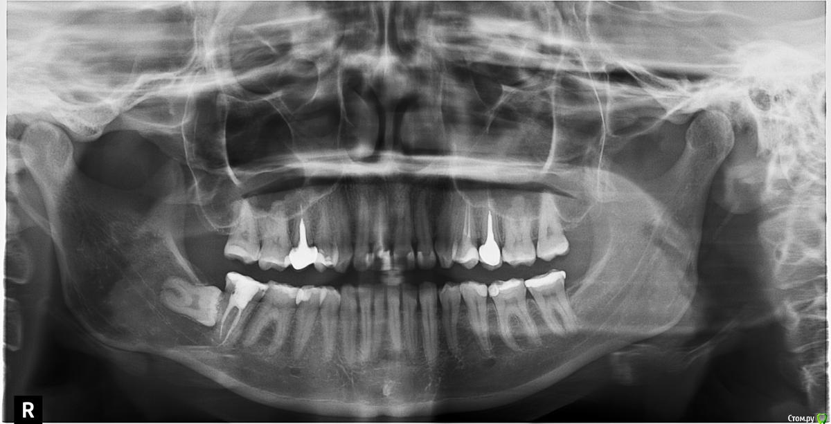
A.T.Bulatova Опубликовано 3 декабря, 2015 Поделиться Опубликовано 3 декабря, 2015 Здравствуйте! Подскажите пожалуйста! Возникла следующая проблема: на 47 зубе было решено менять пломбу, потому что возник кариес. Пломбу поменяли, зуб потом разболелся, депульпировали. После удаления нерва (25.11.15) Зуб болит при надкусывании, на горячее/холодное не реагирует. Были поставлены гуттаперчивые штифты. Закрыт постоянной пломбой (27.11). С 28.11 Началось онемение подбородка - больше по центру, и чуть в сторону леченной 7-ки, и немного нижней губы. Может ли парастезия быть связана с лечением 7ки? Снимок сделан сразу после установки постоянной пломбы на 7-ку. 8-ка до лечения 7-ки вообще не была замечена, и никаких неудобств ранее не предоставляла. Лечащий врач говорит ждать, пока не пройдет боль при кусании, потом уже решать - открывать заново 7-ку или нет, чтобы прошло онемение. Из-за боли переживаний нет - я понимаю, что такое бывает, а вот онемение сильно смущает.Как быть теперь? Ссылка на комментарий
Ker Опубликовано 3 декабря, 2015 Поделиться Опубликовано 3 декабря, 2015 (изменено) Может ли парастезия быть связана с лечением 7ки? Снимок сделан сразу после установки постоянной пломбы на 7-ку. Может. Видимо немного материала вышло за верхушку.Есть прицельный снимок? Изменено 3 декабря, 2015 пользователем Ker Ссылка на комментарий
A.T.Bulatova Опубликовано 3 декабря, 2015 Автор Поделиться Опубликовано 3 декабря, 2015 Прицельный снимок у врача, к сожалению, выложить его не могу. Его делали после пломбировки каналов - все было в норме. После онемения эти снимки еще раз посмотрели 2 терапевта и сказали, что выхода материала нет, и скорее всего парастезия связана с анестезией - либо травмой иголкой (?), либо просто побочное действие.Сможет ли КТ прояснить ситуацию? Если это все таки выход материала, то придется зуб удалять или распломбировывать?Спасибо большое за ответы!(КТ собираюсь делать сегодня) 1 Ссылка на комментарий
A.T.Bulatova Опубликовано 3 декабря, 2015 Автор Поделиться Опубликовано 3 декабря, 2015 К тому же, меня немного смущает тот факт, что пломбировали каналы 25.11, а онемение пришло ко мне только 28-29.11. Такое возможно при травме нерва? Я обязательно выложу КТ и прицельный снимок.Просто сейчас очень страшно Ссылка на комментарий
Рекомендуемые сообщения
Для публикации сообщений создайте учётную запись или авторизуйтесь
Вы должны быть пользователем, чтобы оставить комментарий
Создать аккаунт
Зарегистрируйте новый аккаунт в нашем сообществе. Это очень просто!
Регистрация нового пользователяВойти
Уже есть аккаунт? Войти в систему.
Войти