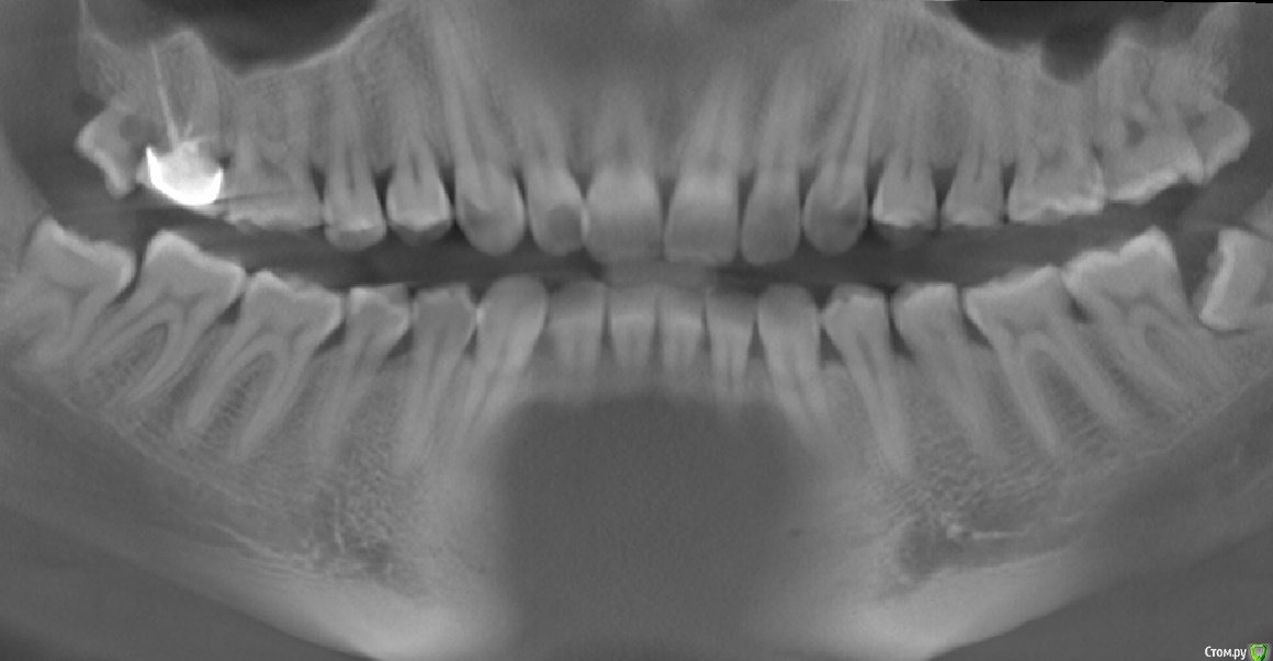
AlexNick Опубликовано 27 ноября, 2015 Поделиться Опубликовано 27 ноября, 2015 Добрый день. Очень нужна консультация по сложной проблеме.Три года назад мне установили коронку на 7-й верхний зуб. После установки коронки я ощущал небольшой дискофорт при смыкании зубов, однако врач проверил прикус и сказал, что всё в норме. Однако уже через месяц я заметил повышенное напряжение жевательных мышц и снова обратился к тому же специалисту. Он ответил, что с коронкой это никак не связано и, скорее всего, "просто стресс".В течение последующих лет напряжение жевательных мышц стало беспокоить всё больше.В этом году напряжение (спазм) распространилось ещё на область висков и стало намного сильнее. После жевания твёрдой пищи стали возникать болевые ощущения в зубах и около ушей, которых проходили только через несколько дней.Также заметил затруднения при открывании рта и щелчки при жевании в суставе.Кроме того, в этом году у меня начал появляться над десной 8-й правый нижний зуб, а на верхних зубах мудрости обнаружили кариес.Ко всему прочему, полгода назад я стал замечать видимую на глаз стираемость зубов и уменьшение межзубных промежутков на нижней челюсти (раньше мог прочищать некоторые из них зубной нитью, а сейчас - нет).Стоматологи в моём городе не занимаются проблемой ВНЧС и гипертонуса жевательных мышц. Просто кто-то рекомендует поскорее удалить все восьмёрки, кто-то рекомендует подождать ввиду травматичности удаления нижних зубов.Я сделал также МРТ ВНСЧ: частичная латеральная дислокация суставного диска правого ВНЧ сустава с полной репозицией. Артроз левого ВНЧ сустава 0-1 ст. МР-признаки функциональной перегрузки латеральных крыловидных мышц.При обследовании в Москве у меня ещё обнаружили глубокий прикус и рекомендовали ортодонтическое лечение.У меня возник следующий вопрос: с чего начинать лечение - с удаления зубов мудрости (но это будет тяжело в силу проблем с суставом и мышцами и может усугубить проблему?) или с коррекции состояния жевательных мышц и ВНЧ сустава (например, ботулинотерапия)? Ссылка на комментарий
red_butler Опубликовано 27 ноября, 2015 Поделиться Опубликовано 27 ноября, 2015 начинайте с удаления зубов мудрости, затем ортодонтия. Ссылка на комментарий
AlexNick Опубликовано 27 ноября, 2015 Автор Поделиться Опубликовано 27 ноября, 2015 Спасибо за ответ. Но хотелось бы уточнить: у меня рот открывается не полностью, спазмы жевательных мышц, дисфункция ВНЧС. А для удаления нижнего ретинированного зуба мудрости может потребоваться держать рот широко открытым несколько часов. Как в этом случае подготовиться к удалению? Ссылка на комментарий
red_butler Опубликовано 27 ноября, 2015 Поделиться Опубликовано 27 ноября, 2015 Как в этом случае подготовиться к удалению? Удаляйте все сразу под седацией. Ссылка на комментарий
Рекомендуемые сообщения
Для публикации сообщений создайте учётную запись или авторизуйтесь
Вы должны быть пользователем, чтобы оставить комментарий
Создать аккаунт
Зарегистрируйте новый аккаунт в нашем сообществе. Это очень просто!
Регистрация нового пользователяВойти
Уже есть аккаунт? Войти в систему.
Войти