kuznetsovaev Опубликовано 25 ноября, 2015 Поделиться Опубликовано 25 ноября, 2015 (изменено) Доброго дня всем читающим! В связи с тем что сама к 30 с небольшим годам почти осталась без единого здорового зуба и несколько потеряла, своему сыну заглядываю в рот ежедневно и сама чищу ему зубы. Ему сейчас 5,5, первые зубы появились в 5 мес, сейчас начал качаться нижний резец. Вопросы больше общие, но волнительные, поэтому ответа срочного не требуется. 1. Я чищу ему зубы электрической детской щеткой и дет.пастой дважды в день, а раз в неделю еще и наносим тусмусс, я не хочу чтобы у ребенка даже на молочных зубах был кариес. Слышала мнение что детям электрической щеткой чистить вредно стирается эмаль, так ли это? 2. Можно ли молочные зубы загерметизировать? Изменено 25 ноября, 2015 пользователем kuznetsovaev Ссылка на комментарий
Zlata-doctor Опубликовано 25 ноября, 2015 Поделиться Опубликовано 25 ноября, 2015 1. Детской электрической щеткой чистить можно, соблюдая стандартную методику2.Можно, особенно если есть показания. Вы молодец, что так заботитесь. Обратите внимание на питание. Это банально, но исключение сладостей и вообще простых углеводов-лучшая профилактика (и не только для здоровья зубов). Самым кариесогенным продуктом считается изюм. 1 Ссылка на комментарий
kuznetsovaev Опубликовано 25 ноября, 2015 Автор Поделиться Опубликовано 25 ноября, 2015 он изюм не любит у меня, и слава богу как оказалось, выплевывает если попадается в где-то а также курагу/чернослив и др.сухофруктыиз сладкого максимум мишка-барни пирожное 2-3 раза в неделю или по 1 конфетке типа Ромашка или пол яйца киндера с кефиром/натур.йогрутом без сахара, ну или классический торт какой-тоникаких газировок, семечек, чипс, халвы, пастилы, козинак, ментоса, m&m, леденцов и т.д. и т.п. Спасибо большое, тогда пойдем загерметизируемся на всякий случай Ссылка на комментарий
Zlata-doctor Опубликовано 25 ноября, 2015 Поделиться Опубликовано 25 ноября, 2015 вообщем, как можно меньше сахара и простых углеводов, просто не держите это дома вообще! Исключить магазинные соки, если удается сделать самим или купить натуральные без сахара-разбавлять сильно водой( но смузи лучше, так как сохраняется полезная клетчатка и нет такого огромного количества глюкозы).Иногда можно применять стевию жидкую как подсластитель.Обязательная герметизация постоянных первых коренных зубов-это аксиома!Плюс хорошая гигиена и мамина любовь делают чудеса! 3 Ссылка на комментарий
red_butler Опубликовано 25 ноября, 2015 Поделиться Опубликовано 25 ноября, 2015 Читать посты детских врачей на форуме, всегда приятно. Кажется, что Вы любите свою работу в несколько раз сильнее, чем врачи других специальностей. 1 Ссылка на комментарий
Zlata-doctor Опубликовано 25 ноября, 2015 Поделиться Опубликовано 25 ноября, 2015 Я искренне считаю, что в наше время можно вырастить ребенка без стоматологических проблем и согласно рекомендациям ВОЗ, подойти к 16-летию с одной -двумя пломбами максимум и не иметь постоянных удаленных или эндодонтически леченных зубов. Это не требует огромных денег и усилий от родителей, только здравый смысл и контакт с ребенком. 5 Ссылка на комментарий
kuznetsovaev Опубликовано 25 ноября, 2015 Автор Поделиться Опубликовано 25 ноября, 2015 Спасибо большое! В разных клигиках используют разгый материал для герметизации. Не подскажете еще какой предпочтительнее для молочных зкбов а какой для первых постоянных? Ссылка на комментарий
IvanK Опубликовано 25 ноября, 2015 Поделиться Опубликовано 25 ноября, 2015 Я искренне считаю, что в наше время можно вырастить ребенка без стоматологических проблем и согласно рекомендациям ВОЗ, подойти к 16-летию с одной -двумя пломбами максимум и не иметь постоянных удаленных или эндодонтически леченных зубов. Это не требует огромных денег и усилий от родителей, только здравый смысл и контакт с ребенком.Золотые Слова!! Ссылка на комментарий
Zlata-doctor Опубликовано 26 ноября, 2015 Поделиться Опубликовано 26 ноября, 2015 Спасибо большое! В разных клигиках используют разгый материал для герметизации. Не подскажете еще какой предпочтительнее для молочных зкбов а какой для первых постоянных?молочные-СИЦ ( стеклоиономерный цемент) или компомер( может быть дороже, но без явных преимуществ), постоянные-жидкий композит, предназаначенный для этих целей. Еще вспомнила. Американская ( или канадская, не помню точно, не суть важно) ассоциация стоматологов, после соответствующих исследований, рекомендует раз в год назначать детям полоскания полости рта р-ром хлоргексидина биглюконата (0,05–0,1% раствор) ежедневно в течении одной недели. Считается, что хг активен в отношении стрептококкус мутанс, вызывающего кариозный процесс. 1 Ссылка на комментарий
kuznetsovaev Опубликовано 26 ноября, 2015 Автор Поделиться Опубликовано 26 ноября, 2015 Еще раз спасибо! А хлоргексидином мы получается уже полоскали в этом году от стоматита его назначали. Возьму на заметку. Ссылка на комментарий
kuznetsovaev Опубликовано 26 ноября, 2015 Автор Поделиться Опубликовано 26 ноября, 2015 И еще, при герметизации фиссур надо ведь использовать раббердам/коффердам? Ссылка на комментарий
kuznetsovaev Опубликовано 29 ноября, 2015 Автор Поделиться Опубликовано 29 ноября, 2015 Были в трех клиниках, в 1 не герметизируют молочные зубы, в других предлагают жидкий филтек, про стеклоиономерный говорят уже 2 года как его не применяют т.к. он не долговечный Ссылка на комментарий
Zlata-doctor Опубликовано 30 ноября, 2015 Поделиться Опубликовано 30 ноября, 2015 ну тогда найдите того, кому доверяете и следуйте его рекомендациям. Все-таки на расстоянии давать конкретные советы не очень правильно. Я могу советовать только ин дженерал.Но я не согласна с тем, что вы пишите, если честно. 1 Ссылка на комментарий
kuznetsovaev Опубликовано 30 ноября, 2015 Автор Поделиться Опубликовано 30 ноября, 2015 Хорошо спасибо, мы обязательно поищем еще, я правда уже больше доверяю врачам на расстоянии, неоднократно убеждаюсь уже Ссылка на комментарий
Zlata-doctor Опубликовано 30 ноября, 2015 Поделиться Опубликовано 30 ноября, 2015 вы скажите доктору о своих переживаниях ( как тут написали) и вам или предложат что-то, что тут обсудили, или аргументированно откажут. А интуиция мамы уже подскажет, как быть. 1 Ссылка на комментарий
kuznetsovaev Опубликовано 6 декабря, 2015 Автор Поделиться Опубликовано 6 декабря, 2015 (изменено) Пожалуйста доктор, помогите советом если возможно, как мне поступить. Душа не на месте, сердце разрывается, чуть не рыдаю второй день(Искала искала врача и нашла приключений на зубы сына(( Пока искала клинику где могут загерметизировать фиссуры у ребенка обнаружился кариес, совсем небольшой, 1мм в диаметре и в глубину 0,5мм дырочка на жевательной поверхности 4 зуба, чуть ближе к границе с 5ым.Как я себя корю за то что не сделала фото и снимок до лечения(Вот доктору вроде бы поверила и начали лечение. Прошу прокомментировать.1. Укол убизестена - у ребенка побелели губы, наклонили голову к коленям все нормализовалось, а я чуть не умерла там. Разве впервые при уколе не надо проводить никаких тестов на возможную реакцию организма?2. Снимок не сделала, а высверлила 2/3 зуба прямо до десны( Нужно ли делать прицельные снимки при лечении кариеса поверхностного?3. Коффердам еле одели, ребенок был постоянно в слезах ему кламп давил очень. Бывают детские клампы или просто их неудаяно доктор одел?4. Положили в зуб какую-то лечебную прокладку, потом достали вату, один слой запломбировали, сняли коффердам и начали пломбировать короночную часть зуба. Разве слюна и кровь не попадают в зуб?! Тут мне хотелось уже сына стащить с кресла и уйти домой( Вообще как себя вести маме если сомневается в лечении? Или я все преувеличиваю?5. А при оплате выяснилось что она лечила пульпит и удалила часть нервов. В корнях нервы оставила а удалила в коронковой части. Это вообще как правильно? И меня не предупредила что удаляет там что-то... Еще серебром провела по 5зубу, говорит там начальный кариес и серебро его остановит.6. Сколько прослужит такой зуб с частично отсутствующим нервом?7. И если его удалять потом придется зубы съедутся пока не вырастет постоянный?Простите за уйму вопросов, но я в таком шоке что не знаю что делать.8. еще теперь в том месте собирается много мясных волокон, ниткой свободно прохожу там но еда не вычищается до конца(И еще там сосочек воспалился(Позвонила в клинику говорят приезжайте сделаем контакты плотнее, а мол вообще на молочных зубах реставрацией не знимаются...Не стоит ехать в эту клинику теперь за переделкой? Ребенок пока у бабушки в маленьком городке на 1 неделю.Сделать снимок теперь сможете прокомментировать? Изменено 6 декабря, 2015 пользователем kuznetsovaev Ссылка на комментарий
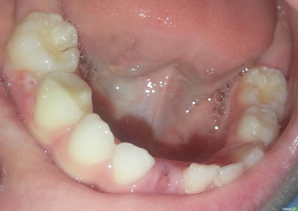
kuznetsovaev Опубликовано 6 декабря, 2015 Автор Поделиться Опубликовано 6 декабря, 2015 (изменено) Вот получилось, наверное фото неинформативно, снимок пока не могу сделать, ребенка нет сейчас в городе.Еще вопрос - мне кажется пломба выше чем был зуб, совсем нет вогнуточти поверхности, и сын говорит что меу пластелином залепили зуб. Нужно переделать чтобы он анатомически подходил к антогонисту? ВСе эти вопросы я не задала врачу т.к. была очень расстоена лечением и отношусь к той категории людей что машут кулаками после драки, да и ребенка хотелось уже побыстрее оттуда увести. Неужели думаю врач лечил пульпит только из-за того что это дороже чем просто кариес?Я теперь не знаю на герметизацию фиссур наверное никогда не решусь после такого лечения. Руки опустились( Никудышная моя интуиция Изменено 6 декабря, 2015 пользователем kuznetsovaev Ссылка на комментарий
Zlata-doctor Опубликовано 6 декабря, 2015 Поделиться Опубликовано 6 декабря, 2015 1.тесты надо делать.2. если доктор уже подозревал пульпит, необходимо было сделать снимок.3. специально детских не видела, возможно, есть, но и обычные можно подобрать, там всякие размеры.4.маме надо предупредить, что все манипуляции только с ее разрешения и с максимальным обьяснением происходящего ( как и положено по закону и по всем человеческим понятиям)5 такой способ лечения есть при пульпите.6.не могу ответить7.смотря когда будет удаление, есть вариант сделать "распорку" на соседние зубы ( держатель места)8.я бы не стала ехать " за переделкой". Раз сразу нормально не сделали, смогут ли потом? на последнее сообщение не могу ответить, так как на снимке вижу только пломбу и травмированную десну.Вы успокойтесь сначала, что сделано-то сделано уже. Следите за ребенком, расспрашивайте иногда про зуб, сделайте снимок и найдите хорошего врача. 1 Ссылка на комментарий
kuznetsovaev Опубликовано 6 декабря, 2015 Автор Поделиться Опубликовано 6 декабря, 2015 Спасибо большое что ответили подробно. Чем лечить воспаленную десну: метрогилдента подойдет или хлоргексидин? Если убезистен подошел то им дальше обезболивать? Или побелевшие губы это не очень положительная реакция организма? Сделаем снимок выложу сюда, потом тогда видно будет да что надо делать что-то с зубом или наблюдать?. Ссылка на комментарий
kuznetsovaev Опубликовано 7 декабря, 2015 Автор Поделиться Опубликовано 7 декабря, 2015 Доброе утро, Zlata-doctor,я понимаю что многие мои вопросы выходят за рамки форума, и прошу прощения за это, но можно еще задать вопросы?1. Подтачивают ли пломбу на молочных зубах (с копиркой как взрослым) или то доктор наша просто поленилась и сказала что на молочных не подтачивают? Тоже самое с контактами - их же надо сделать плотными? как были2. Какие тесты надо делать для пробы обезболивающих? Премного благодарна! Ссылка на комментарий
Zlata-doctor Опубликовано 8 декабря, 2015 Поделиться Опубликовано 8 декабря, 2015 можно ничем не лечит, но если хотите, подойдет и то, и другое. По анестетику ничего сказать не могу, Надо делать пробу на переносимость ( кровь из вены берется и ставится имуннореактивная проба). Сразу предупреждаю, это единственный вариант, не ведитесь на метод Фолля и всякие другие "диагностики биополя".Побелевшие губы-возможно обморок или с сосуд анестетик попал, бывает.Пломбы на молочных зубах тоже подгоняют по прикусу, почему нет? Контакты желательно делать плотными, конечно 1 Ссылка на комментарий
kuznetsovaev Опубликовано 8 декабря, 2015 Автор Поделиться Опубликовано 8 декабря, 2015 Огромная вам благодарность!К другому врачу записалась, сразу сделаем снимок того что сейчас до и после перелечивания. Теперь я буду знать как себя вести и на что имею право.Пробы только сделать не успеем, ребенка бабушка привезет прямо ко времени визита к врачу(Врача предупрежу что губы побелели, чтобы обратила на это внимание.Еще раз спасибо! Ссылка на комментарий
St. Опубликовано 27 декабря, 2015 Поделиться Опубликовано 27 декабря, 2015 Если Вы не против, попытаюсь ответить. Правда я по большей части взрослый доктор) 1 Да, корректируют с копиркой чтобы не мешал. Контакты плотными как у взрослых можно не делать, потому что челюсть растет и расстояние между зубами всё равно увеличивается.2 Алергологические. Т.е. сдать кровь в лаборатории на чувствительность к стоматологическим анестетикам. Обычно у них стандартный список препаратов. 1 Ссылка на комментарий
kuznetsovaev Опубликовано 28 декабря, 2015 Автор Поделиться Опубликовано 28 декабря, 2015 Спасибо!Напишу предварительные итоги.Перелечили мы тот зуб у другого доктора. Она честно говоря была в шоке от своей коллеги, говорит за неделю у ребенка появились пролежни от не вычищенной еды. Еще раз повторюсь что ниткой не достать было и зубочисткой ну совсем никак, ребенка мучила своими махинациями, а все бестолку. Доктор смогла только достать своими инструментами это "мясо". Сделала контакты плотными, но так чтобы нить щелкала, копиркой проверила. Уже на след.день воспаленный сосочек зажил!Все-таки пусть контакты будут плотными, я готова их опять потом переделать когда зубы разъедутся чем вот так с воспаленной десной ходить. Ссылка на комментарий
St. Опубликовано 1 января, 2016 Поделиться Опубликовано 1 января, 2016 Уже на след.день воспаленный сосочек зажил! Все-таки пусть контакты будут плотными, я готова их опять потом переделать когда зубы разъедутся чем вот так с воспаленной десной ходить. Вот и хорошо! По поводу переделывать в будущем - смотрите за гигиеной и состоянием, если воспаляться ничего не будет можно не трогать. Ссылка на комментарий
Рекомендуемые сообщения
Для публикации сообщений создайте учётную запись или авторизуйтесь
Вы должны быть пользователем, чтобы оставить комментарий
Создать аккаунт
Зарегистрируйте новый аккаунт в нашем сообществе. Это очень просто!
Регистрация нового пользователяВойти
Уже есть аккаунт? Войти в систему.
Войти