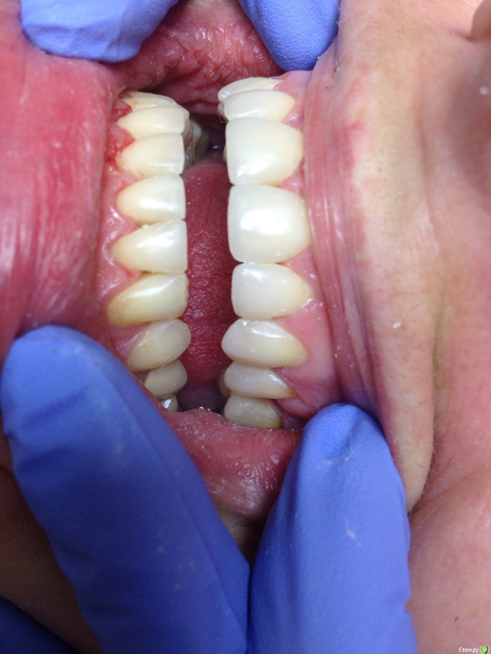
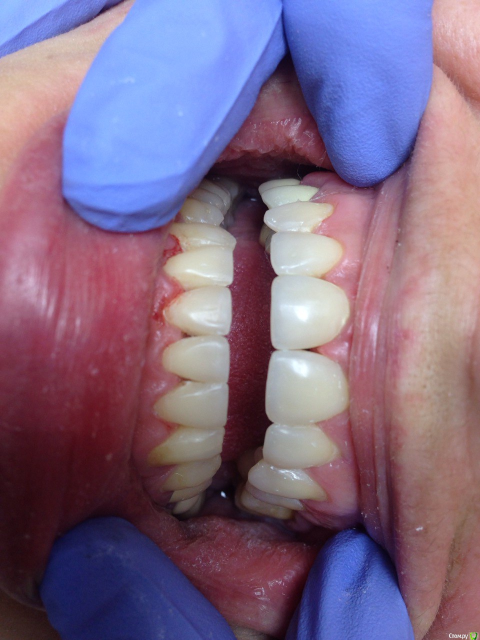
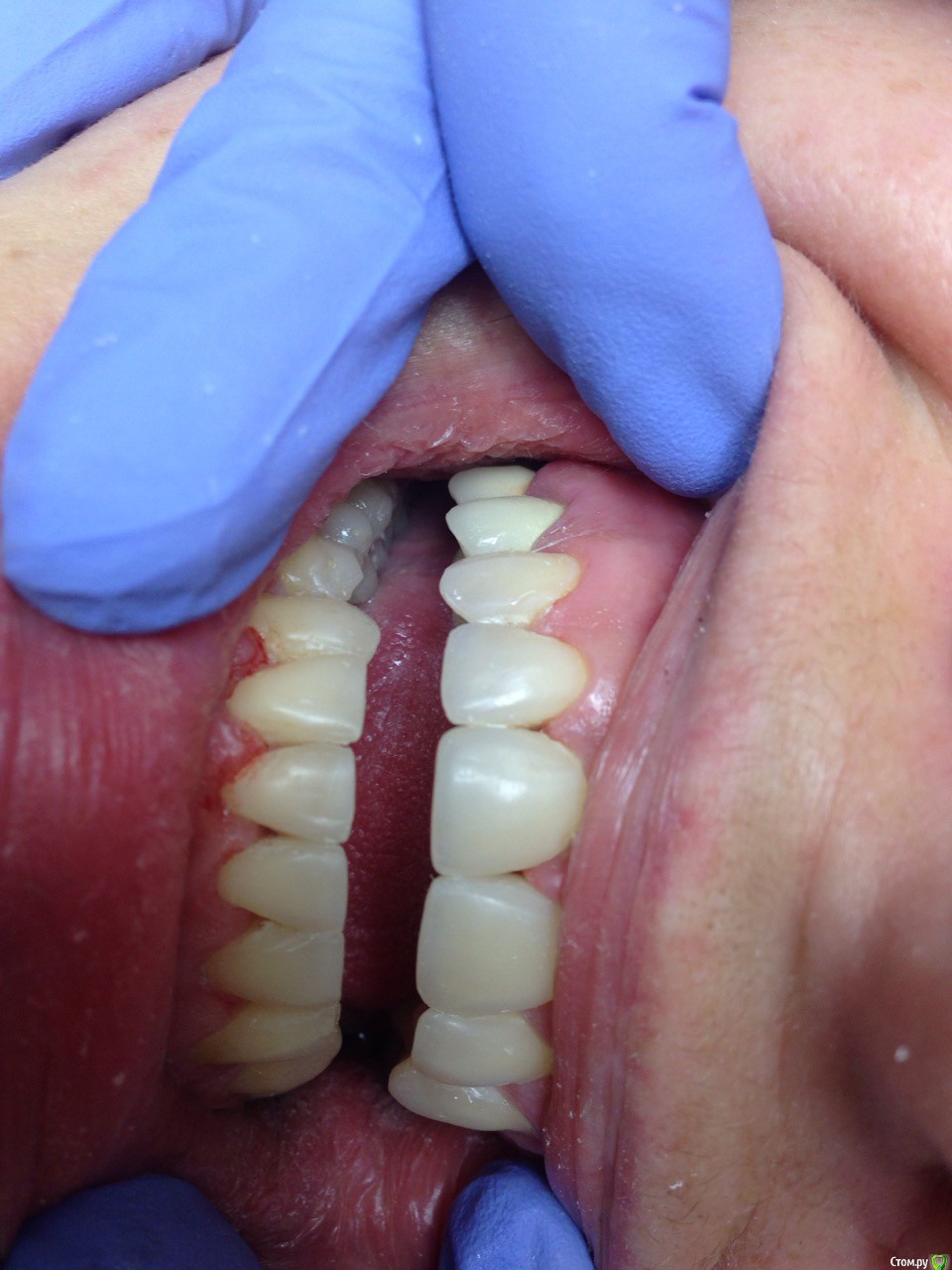
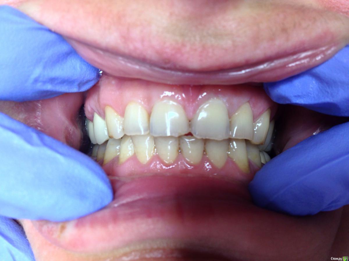
Медея хт Опубликовано 21 ноября, 2015 Поделиться Опубликовано 21 ноября, 2015 Всем доброго времени суток! Делала реставрации передних зубов,старалась, смотрю и понимаю, что что-то не так, но не знаю, что именно. Уважаемые доктора, посмотрите и подскажите пожалуйста, что к чему. Буду очень благодарна! Ссылка на комментарий
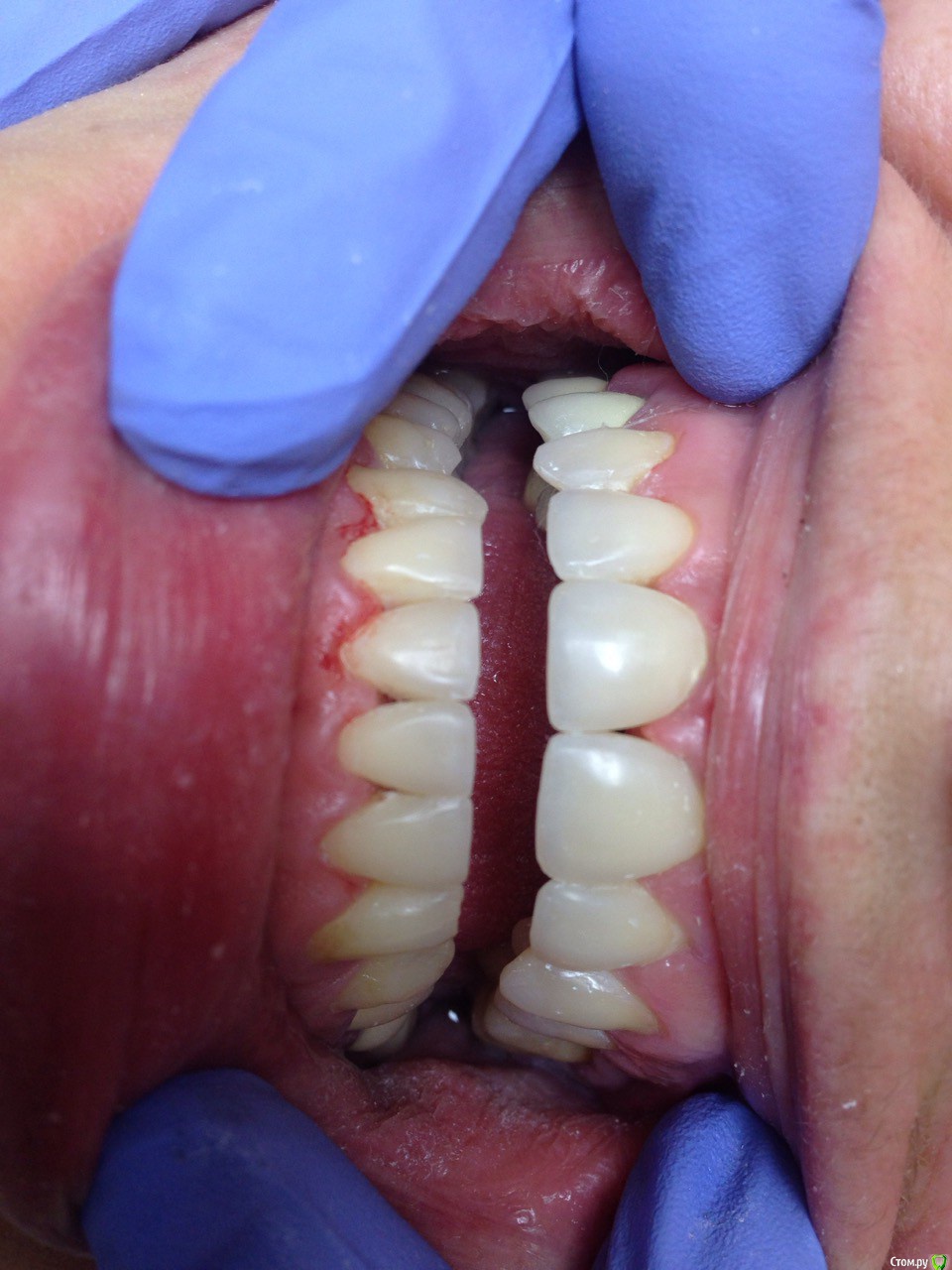
Медея хт Опубликовано 21 ноября, 2015 Автор Поделиться Опубликовано 21 ноября, 2015 Фото добавила) Ссылка на комментарий
Сева северный Опубликовано 22 ноября, 2015 Поделиться Опубликовано 22 ноября, 2015 Фото добавила)Ух ты...После курсов Радлинского? Ссылка на комментарий
Медея хт Опубликовано 22 ноября, 2015 Автор Поделиться Опубликовано 22 ноября, 2015 HУх ты...После курсов Радлинского?))) сегодня, наверное, принято говорить, что ты никогда там не был, да и знать не знаешь, что это за курсы и знать не хочешь)Но я да, там была, да не только там, на многих курсах по реставрациям, но не знаю, и много работаю, но не могу добиться желаемого результата. Смотрю после и все не так и все не то.. Хочется, чтоб кто-то посмотрел и сказал, смотри там не тот угол, там не такое что- то , а там нет чего-то... Как то так)Спасибо за ответ) 1 Ссылка на комментарий
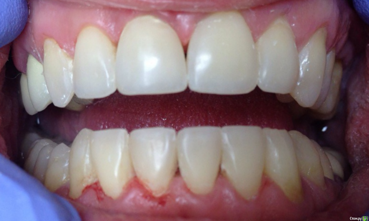
Сева северный Опубликовано 22 ноября, 2015 Поделиться Опубликовано 22 ноября, 2015 H ))) сегодня, наверное, принято говорить, что ты никогда там не был, да и знать не знаешь, что это за курсы и знать не хочешь)Но я да, там была, да не только там, на многих курсах по реставрациям, но не знаю, и много работаю, но не могу добиться желаемого результата. Смотрю после и все не так и все не то.. Хочется, чтоб кто-то посмотрел и сказал, смотри там не тот угол, там не такое что- то , а там нет чего-то... Как то так)Спасибо за ответ)Сергей Владимирович Радлинский - генийсделать реконструкцию реставрациями.. как он .. могут еденицысделать на 5-ку ....десятки..на 4-ку сотни ... плохо все остальные..Я посетил его курсы около 10 лет назад. И через какое то время ,понял ,что я вам озвучил.вы умничка... провели такую сложную работу. отлично ловите обьем зубов.Но если вы хотите удовлетворить все свои эстетические амбиции вам необходимо....просто настоятельно необходиомо... переходить на новый уровень...где есть: восковое планирование. мак апы. артикуляторы, материалы с долгосрочной цветовой устойчивостью сохраняющие натуральный блеск..(это соседняя ветка и называется она ортопедия)а так очень симпатично... да и звините отформатировал ваше фото для лучшего видения конечного результата Ссылка на комментарий
StomV Опубликовано 22 ноября, 2015 Поделиться Опубликовано 22 ноября, 2015 А мне кажется вполне не плохо у Вас получилось,возможно не зватает микрорельефа для живости реставраций. Ссылка на комментарий
Sampson Опубликовано 22 ноября, 2015 Поделиться Опубликовано 22 ноября, 2015 Если сильно придираться то:1)у клыков на в/ч экваторы на разной высоте. 2) режущие края центральных резцов разной формывам то, что не нравится? Или лучше прикрипите фото работы которую вы считаете идеально выполненой. А мы в свою очередь вам подскажем. Ссылка на комментарий
Карен Аванесов Опубликовано 22 ноября, 2015 Поделиться Опубликовано 22 ноября, 2015 Угол не тот, цвет не тот. прозрачность не та и т.д. при таких видах работ вполне допустим. Вы сколько часов потратили (корячились зачеркнуто) на это работу? Вот что важно. Ссылка на комментарий
Карен Аванесов Опубликовано 22 ноября, 2015 Поделиться Опубликовано 22 ноября, 2015 И еще вопрос, эмали много сняли? есть фото? Ссылка на комментарий
Медея хт Опубликовано 22 ноября, 2015 Автор Поделиться Опубликовано 22 ноября, 2015 Сергей Владимирович Радлинский - генийсделать реконструкцию реставрациями.. как он .. могут еденицысделать на 5-ку ....десятки..на 4-ку сотни ... плохо все остальные..Я посетил его курсы около 10 лет назад. И через какое то время ,понял ,что я вам озвучил...Конечно, на счет гения с Вами согласна на все 100%. Но сейчас работаю в среде, где приходится едва ли не каждый день слышать о Сергее Владимировиче, это как какая-то дань моде бросить камень в его огород. На счет соседней ветки, тоже, постепенно начинаю с этим соглашаться и уже даже записалась на соответствующие курсы для чайников)За более удобный просмотр, отдельная благодарность, сама бы к этом не дошла)Короче говоря, спасибо Вам большое, Вы подарили мне надежду!) Ссылка на комментарий
Медея хт Опубликовано 22 ноября, 2015 Автор Поделиться Опубликовано 22 ноября, 2015 А мне кажется вполне не плохо у Вас получилось,возможно не зватает микрорельефа для живости реставраций. Тоже все время думаю о микрорельефе, во время реставрации стараюсь придерживаться анатомии, во время полировки много убирается Ссылка на комментарий
Л Ю С Я Опубликовано 22 ноября, 2015 Поделиться Опубликовано 22 ноября, 2015 Композит, он и есть композит. Представляю сколько часов ушло на работу. Вы, конечно, молодец. Но Так и будет, пока на керамику не переидете. Нравиться не будет . Перекрыта вся вестибулярная поверхность , так? Я бы отправила на емах, либо подправила режущие края композитом немного, пока пациент на керамику не созреет. Если уж пилить всю вестибулярную , то ради достойной реставрации, которая через года будет выглядеть отлично. Вы и сами знаете как выглядит композит потом, особенно если гигиена страдает 1 Ссылка на комментарий
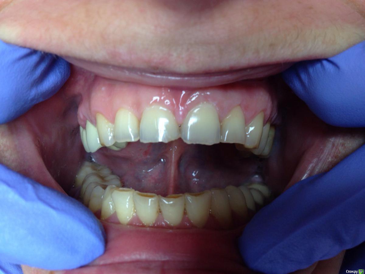
Медея хт Опубликовано 22 ноября, 2015 Автор Поделиться Опубликовано 22 ноября, 2015 Если сильно придираться то:1)у клыков на в/ч экваторы на разной высоте. 2) режущие края центральных резцов разной формывам то, что не нравится? Или лучше прикрипите фото работы которую вы считаете идеально выполненой. А мы в свою очередь вам подскажем. Спасибо! Буду работать на клыками , на практике не часто приходится реставрировать клыки, а они самые сложные как по мне зубы. Режущие края, таки да, теперь вижу) Фото креплю, как пример, может не самое что есть наглядное, но, то, что попалось быстрее всех Ссылка на комментарий
Медея хт Опубликовано 22 ноября, 2015 Автор Поделиться Опубликовано 22 ноября, 2015 Угол не тот, цвет не тот. прозрачность не та и т.д. при таких видах работ вполне допустим. Вы сколько часов потратили (корячились зачеркнуто) на это работу? Вот что важно.Прозрачности мне тоже не хватат, делаю мамелоны боди, дальше эмаль, но .. Эмали , к счастью , ушло не много, так как была возможность добавить вестибулярно материал без этого, фото, к сожалению, нет, прошу ассистента делать фото на ее Айфоне:-) хоть до и послеВремени потратилось 2часа на верхние и 2 часа на нижние, разные дни Ссылка на комментарий
Медея хт Опубликовано 22 ноября, 2015 Автор Поделиться Опубликовано 22 ноября, 2015 (изменено) Композит, он и есть композит. Представляю сколько часов ушло на работу. Вы, конечно, молодец. Но Так и будет, пока на керамику не переидете. Нравиться не будет . Перекрыта вся вестибулярная поверхность , так? Я бы отправила на емах, либо подправила режущие края композитом немного, пока пациент на керамику не созреет. Если уж пилить всю вестибулярную , то ради достойной реставрации, которая через года будет выглядеть отлично. Вы и сами знаете как выглядит композит потом, особенно если гигиена страдаетСпасибо! Созревать надо и пациенту, да еще и мне))) Да, перекрыто почти все, возможно кроме пришеечной части, пациентка хотела цвет зубов, как у Повалий. Изменено 22 ноября, 2015 пользователем Медея хт Ссылка на комментарий
Карен Аванесов Опубликовано 22 ноября, 2015 Поделиться Опубликовано 22 ноября, 2015 Если так нравится, потренируйтесь, поиграйте с материалом и все получится. Я вот так делал. Но лучше самоистязанием не заниматься, просто разочаровывают отдаленные и не очень результаты. т.е. делать все одним опаком без лишних движений. 5 Ссылка на комментарий
Карен Аванесов Опубликовано 22 ноября, 2015 Поделиться Опубликовано 22 ноября, 2015 Гений гипноза. Ссылка на комментарий
Медея хт Опубликовано 22 ноября, 2015 Автор Поделиться Опубликовано 22 ноября, 2015 Если так нравится, потренируйтесь, поиграйте с материалом и все получится. Я вот так делал. Но лучше самоистязанием не заниматься, просто разочаровывают отдаленные и не очень результаты. т.е. делать все одним опаком без лишних движений.Мммм))) спасибо!!! Ссылка на комментарий
Карен Аванесов Опубликовано 22 ноября, 2015 Поделиться Опубликовано 22 ноября, 2015 Один опак, материал градия джи си. Для заведомо бюджетных работ то что надо. 1 Ссылка на комментарий
Медея хт Опубликовано 22 ноября, 2015 Автор Поделиться Опубликовано 22 ноября, 2015 Один опак, материал градия джи си. Для заведомо бюджетных работ то что надо.Тоже вариант! Ссылка на комментарий
krokomot Опубликовано 22 ноября, 2015 Поделиться Опубликовано 22 ноября, 2015 чтобы был микро рельеф вам надо уходить от дисков, а делать сразу как должно быть, но на это уходит очень много времени. И нехватает сухого блеска плохо полируете. Ссылка на комментарий
Каплан Опубликовано 22 ноября, 2015 Поделиться Опубликовано 22 ноября, 2015 Вы молодец, работа большая... но как уже сказали - надо уходить в непрямые.. если критику... вы только не обижайтесь... эта проблема есть у большинства, кто занимается фронтальными "реставрациями"... (у меня тоже есть, поэтому я не занимаюсь этим почти)) несколько лет назад команию Самсунг критиковали за дизайн телефонов Гэлэкс Эс... обозначая термином - обмылок... вот именно это можно и сказать про реставрации... не хватает "четкости" линий что ли... они выглядят оплывшими... И думаю Вы и сами это понимаете. Надеюсь что Вы не обижаетесь я по доброму Ссылка на комментарий
Медея хт Опубликовано 22 ноября, 2015 Автор Поделиться Опубликовано 22 ноября, 2015 Вы молодец, работа большая... но как уже сказали - надо уходить в непрямые.. если критику... вы только не обижайтесь... эта проблема есть у большинства, кто занимается фронтальными "реставрациями"... (у меня тоже есть, поэтому я не занимаюсь этим почти)) несколько лет назад команию Самсунг критиковали за дизайн телефонов Гэлэкс Эс... обозначая термином - обмылок... вот именно это можно и сказать про реставрации... не хватает "четкости" линий что ли... они выглядят оплывшими... И думаю Вы и сами это понимаете. Надеюсь что Вы не обижаетесь я по доброму Про Самсунг не помню, что- то всегда он проходил мимо меня, хотя , не знаю, может, конечно, и зря... Но, вот видите, я создала тему и благодаря конструктивной критике я сделала для себя глубокие выводы. Я вроде как и видела, что моим реставрациям не хватает углов, валиков, углублений, но при этом и не понимала, что если сказать лаконичо, то они оплывшие, а это скажу Вам совсем другое дело). Так что с такой критикой только You are welcome). Ну, и уже будучи в эфире, не могу не передать привет Вашим реставрациям, на них можно смотреть бесконечно!) 1 Ссылка на комментарий
DmitrySH Опубликовано 22 ноября, 2015 Поделиться Опубликовано 22 ноября, 2015 Всегда приятно кода врач пытается анализировать свои работы и понять как можно улучшить. Мне в данной работе тоже нехватает рельефа и полировки. Ссылка на комментарий
Медея хт Опубликовано 22 ноября, 2015 Автор Поделиться Опубликовано 22 ноября, 2015 Всегда приятно кода врач пытается анализировать свои работы и понять как можно улучшить. Мне в данной работе тоже нехватает рельефа и полировки. Так дело в том, что рельефа можно добиться и той же реставрацией, есть множество тому примеров, увы не моих ) Я пока работаю инструментом с материалом стараюсь смоделировать анатомические особенности той или инной групы зубов, а начинаю полировать и все как метлой смело Ссылка на комментарий
Рекомендуемые сообщения
Для публикации сообщений создайте учётную запись или авторизуйтесь
Вы должны быть пользователем, чтобы оставить комментарий
Создать аккаунт
Зарегистрируйте новый аккаунт в нашем сообществе. Это очень просто!
Регистрация нового пользователяВойти
Уже есть аккаунт? Войти в систему.
Войти