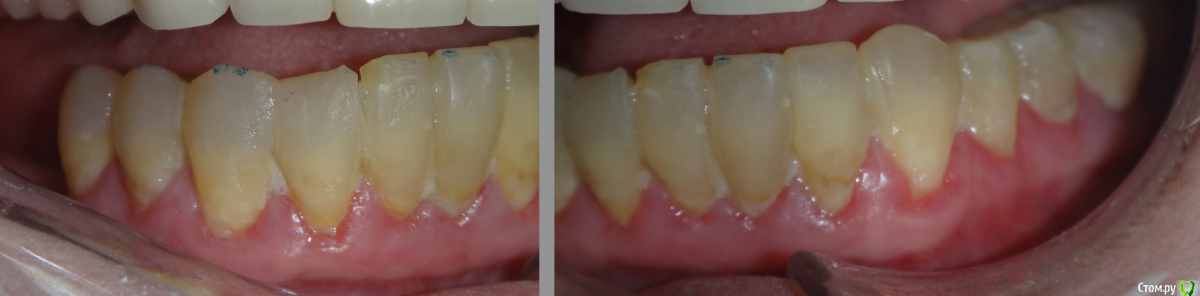
Карен Аванесов Опубликовано 20 ноября, 2015 Поделиться Опубликовано 20 ноября, 2015 На фото фрагмент предстоящего так называемого "тотала", вот конкретно здесь, некоторая загвоздка, зубы надо восстановить (с первого взгляда сразу понятно как), но я хочу уйти от депульпирования и штифтования, вкратце, оставить зубы "живьем" и сделать все адгезивно. Выслушаю Ваше мнение коллеги по поводу конкретно этого сегмента. Ссылка на комментарий
voff Опубликовано 20 ноября, 2015 Поделиться Опубликовано 20 ноября, 2015 С такой гигиеной и стираемостью у адгезивных реставраций возникнут проблемы (имхо) Ссылка на комментарий
krokomot Опубликовано 20 ноября, 2015 Поделиться Опубликовано 20 ноября, 2015 Мало данных! межоклюзионная высота?, какова должна быть длинна будущих зубов? Карен вы заставляете нас тыкать пальцем в небо имейте уважение предоставте больше данных, а то как из раздела для пациентов)) Ссылка на комментарий
Карен Аванесов Опубликовано 20 ноября, 2015 Автор Поделиться Опубликовано 20 ноября, 2015 Нормальная гигиена, а вот тут только под съемники... Ссылка на комментарий
Карен Аванесов Опубликовано 20 ноября, 2015 Автор Поделиться Опубликовано 20 ноября, 2015 Абсолютно согласен, что данных мало, но тут конкретно про то вопрос (или даже соц. опрос) депульпировать-заштифтовать или все же более гуманно и консервативно подойти? Ссылка на комментарий
krokomot Опубликовано 20 ноября, 2015 Поделиться Опубликовано 20 ноября, 2015 гуманно - это значит не вызывать страданий у пациента, а сесли и вызывать томеньшее колличество по времени. Готов ли пациент и врач в случае неудачи вновь оплатить лечение? Хочу сказать что во фронтальном отделе зубы всегда спытывают вращающие нагрузки, а значит зона адгезивной фиксации при данном дизайне, будет ипытывать по большей части нагрузки на разрыв, а это черевато, в отличие от такогоже дизайна в боковом отделе. Ссылка на комментарий
carloss Опубликовано 20 ноября, 2015 Поделиться Опубликовано 20 ноября, 2015 Нет никаких показаний для дерульпации.. Можно слегка удлинить бором даже вперёд( зотя я бы оставил), сзади не истончайте-не снимайте эмаль и почти до десны.. Всё будет очень надежно.. Кстати, нагрузки тут, в отличии от верха, больше вертикальные, хотя оно и выдержит всё что хочешь 1 Ссылка на комментарий
Карен Аванесов Опубликовано 20 ноября, 2015 Автор Поделиться Опубликовано 20 ноября, 2015 Кстати, про гуманно я исключительно о себе подумал, чтобы файликами сиреневыми склерозированную пульпарную камеру часами не расковыривать, еше и осложнения масса может возникнуть и во время и после, ну а отклеится и отклеится, приклеиться. Ссылка на комментарий
Карен Аванесов Опубликовано 20 ноября, 2015 Автор Поделиться Опубликовано 20 ноября, 2015 Удлинять буду, а эмали максимально хочу сохранить, пусть это даже несколько изменить форму зубов от эротико-эстетических эталонов, думаю в 70 лет это не особо важно. Ссылка на комментарий
krokomot Опубликовано 20 ноября, 2015 Поделиться Опубликовано 20 ноября, 2015 Главное чтоб бабуля во сне не поперхнуласть отклеившимися))) Ссылка на комментарий
carloss Опубликовано 20 ноября, 2015 Поделиться Опубликовано 20 ноября, 2015 Главное чтоб бабуля во сне не поперхнуласть отклеившимися)))У вас очень молодые представления о ретенции, адгезии, нагрузках и тд)) Ссылка на комментарий
krokomot Опубликовано 20 ноября, 2015 Поделиться Опубликовано 20 ноября, 2015 У вас очень молодые представления о ретенции, адгезии, нагрузках и тд))не спорю я еще не достиг дзена в этом плане. топикстартер спросил что думают доктора - я думаю так. Можно долго спорить о дизайне ретенции и адгезии в данном случае, но в любом случае врядли удасться учесть абослютно все. В адгезию верю! если четко соблюдать протокол. Но надо бы высчитывать нагрузку прилагающуюся на площадь контакта и учитывать моменты сил прилагаемых к разным участкам зоны адгезии, а также учитывать величину множителя нагрузки от величины плеча. Вы же отвечаете исходя из опыта, а не из вычислений? Поэтому любое мнение будет субъективным. и фактором выбора сдесь будет величина опыта и авторитета отвечающего. Чет я тут нагородил)))Считаю ваш уровень выше моего)) Ссылка на комментарий
alekszander Опубликовано 20 ноября, 2015 Поделиться Опубликовано 20 ноября, 2015 Не реально предложить что-то внятное без диагностики. Оптг и фото. А то поставить можно от пломб))) до литых)) Ссылка на комментарий
Доктор Дмитрий Опубликовано 20 ноября, 2015 Поделиться Опубликовано 20 ноября, 2015 Попробуйте сделать войсковое моделирование ,переведите его во времянки, а там видно будет. 1 Ссылка на комментарий
carloss Опубликовано 20 ноября, 2015 Поделиться Опубликовано 20 ноября, 2015 (изменено) не спорю я еще не достиг дзена в этом плане. топикстартер спросил что думают доктора - я думаю так. Можно долго спорить о дизайне ретенции и адгезии в данном случае, но в любом случае врядли удасться учесть абослютно все. В адгезию верю! если четко соблюдать протокол. Но надо бы высчитывать нагрузку прилагающуюся на площадь контакта и учитывать моменты сил прилагаемых к разным участкам зоны адгезии, а также учитывать величину множителя нагрузки от величины плеча. Вы же отвечаете исходя из опыта, а не из вычислений? Поэтому любое мнение будет субъективным. и фактором выбора сдесь будет величина опыта и авторитета отвечающего. Чет я тут нагородил)))Считаю ваш уровень выше моего))нельзя бить ниже пояса))..я ж писал, не люблю сидеть в первых рядах)) я в первый раз настойчиво защищал версию без депульпирования, потому что уверен.. довольно редко проявляю категоричность стараясь отвечать за последствия, даже если косвенные Вы в первый раз оперировали к возможным тяжким последствиям для здоровья пациента, вероятность которых ничтожно мала.. что заставило меня в немного более твердой форме.. касательно таки топика - сложная математика тут не нужна, если есть даже небольшой опыт, то можно путем элементарных арифметик действий с небольшим добавлением теории вероятности, решить уравнение.. http://forum.stom.ru/topic/30286-muzhskie-zuby-kak-vam/?hl=%2Bмужские+%2Bзубы вот случай, где вероятность расцементровки примерно на порядок(в 10 раз больше).. это не сложно вычислить, учитывая то, насколько короче отношение общей длины коронки к культе и насколько "хуже" вектор нагрузок, и меньше эмаль.. приблизительно.. и даже тут я не пошел на депульпацию, даже на удлинение(!).. согласен, что возможно тут и рискованно, хотя опыт показывает обратное.. но опять разница на порядок.. поэтому я и настаивал простите, если что и надеюсь не утомил.. как писал еще на стомате, очень у меня все всегда сумбурно Изменено 20 ноября, 2015 пользователем carloss 1 Ссылка на комментарий
krokomot Опубликовано 20 ноября, 2015 Поделиться Опубликовано 20 ноября, 2015 нельзя бить ниже пояса))..я ж писал, не люблю сидеть в первых рядах)) я в первый раз настойчиво защищал версию без депульпирования, потому что уверен.. довольно редко проявляю категоричность стараясь отвечать за последствия, даже если косвенные Вы в первый раз оперировали к возможным тяжким последствиям для здоровья пациента, вероятность которых ничтожно мала.. что заставило меня в немного более твердой форме.. касательно таки топика - сложная математика тут не нужна, если есть даже небольшой опыт, то можно путем элементарных арифметик действий с небольшим добавлением теории вероятности, решить уравнение.. http://forum.stom.ru/topic/30286-muzhskie-zuby-kak-vam/?hl=%2Bмужские+%2Bзубы вот случай, где вероятность расцементровки примерно на порядок(в 10 раз больше).. это не сложно вычислить, учитывая то, насколько короче отношение общей длины коронки к культе и насколько "хуже" вектор нагрузок, и меньше эмаль.. приблизительно.. и даже тут я не пошел на депульпацию, даже на удлинение(!).. согласен, что возможно тут и рискованно, хотя опыт показывает обратное.. но опять разница на порядок.. поэтому я и настаивал простите, если что и надеюсь не утомил.. как писал еще на стомате, очень у меня все всегда сумбурнокарлос как всегда красавчик)) Ссылка на комментарий
Mailze Опубликовано 21 ноября, 2015 Поделиться Опубликовано 21 ноября, 2015 На фото фрагмент предстоящего так называемого "тотала", вот конкретно здесь, некоторая загвоздка, зубы надо восстановить (с первого взгляда сразу понятно как), но я хочу уйти от депульпирования и штифтования, вкратце, оставить зубы "живьем" и сделать все адгезивно. Выслушаю Ваше мнение коллеги по поводу конкретно этого сегмента. Делал похожую работу год назад, с адгезией проблем никаких (клеили виниры и коронки 3/4 - рефрактор). Поднимали высоту, изменяли направления клыков и резцов. Делали групповую функцию, но все равно пациент отмечал дискомфорт в области клыков при откусывании и пережевывании твердой пищи. Пришлось дважды пришлифовывать клыки, но это к делу не относится. Так что смело оставляйте "живьем". Ссылка на комментарий
ходок Опубликовано 21 ноября, 2015 Поделиться Опубликовано 21 ноября, 2015 В общем-то здесь изначально не прсматривается показаний к депульпированию - с таким заместительным дентином. Я одной похожей пациентке даже без анестезии работал. Адгезивно возможно - достаточно склерозированный верхний слой убрать. Ссылка на комментарий
gum Опубликовано 23 ноября, 2015 Поделиться Опубликовано 23 ноября, 2015 Фото язычной поверхности есть? Ссылка на комментарий
Карен Аванесов Опубликовано 24 ноября, 2015 Автор Поделиться Опубликовано 24 ноября, 2015 Нет Ссылка на комментарий
Карен Аванесов Опубликовано 17 декабря, 2015 Автор Поделиться Опубликовано 17 декабря, 2015 (изменено) Пока в работе. Изменено 17 декабря, 2015 пользователем Карен Аванесов Ссылка на комментарий
carloss Опубликовано 17 декабря, 2015 Поделиться Опубликовано 17 декабря, 2015 Многовато убрали, как по мне 1 Ссылка на комментарий
Карен Аванесов Опубликовано 17 декабря, 2015 Автор Поделиться Опубликовано 17 декабря, 2015 Кости не много 1 мм, это 12 дней после операции, подвижности нет. Покажу после полного заживления. Ссылка на комментарий
Slaggy Опубликовано 24 декабря, 2015 Поделиться Опубликовано 24 декабря, 2015 К сожалению нет фото "до" но видно что свои родные просвечиваются на 0.5 длинны коронки.Бабуля со стираемостью - сделали воск, ключ и восстановили кором по ключу. Предполагалось обточить их и покрыть коронками, но "затянулось".Гигиена хреновая и т.д. но держаться уже 6 месяцев. Новых сколов нет. Ссылка на комментарий
Карен Аванесов Опубликовано 31 января, 2016 Автор Поделиться Опубликовано 31 января, 2016 Так это блоком. Ссылка на комментарий
Рекомендуемые сообщения
Для публикации сообщений создайте учётную запись или авторизуйтесь
Вы должны быть пользователем, чтобы оставить комментарий
Создать аккаунт
Зарегистрируйте новый аккаунт в нашем сообществе. Это очень просто!
Регистрация нового пользователяВойти
Уже есть аккаунт? Войти в систему.
Войти