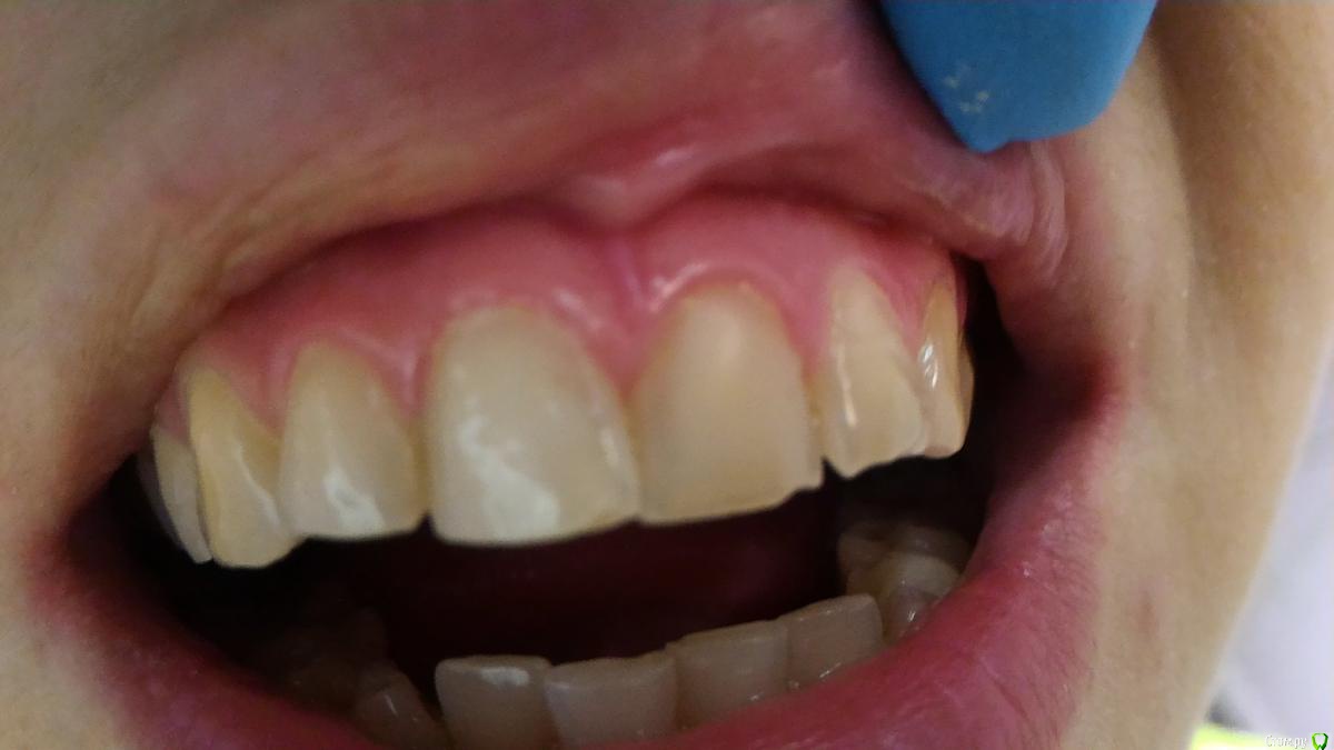
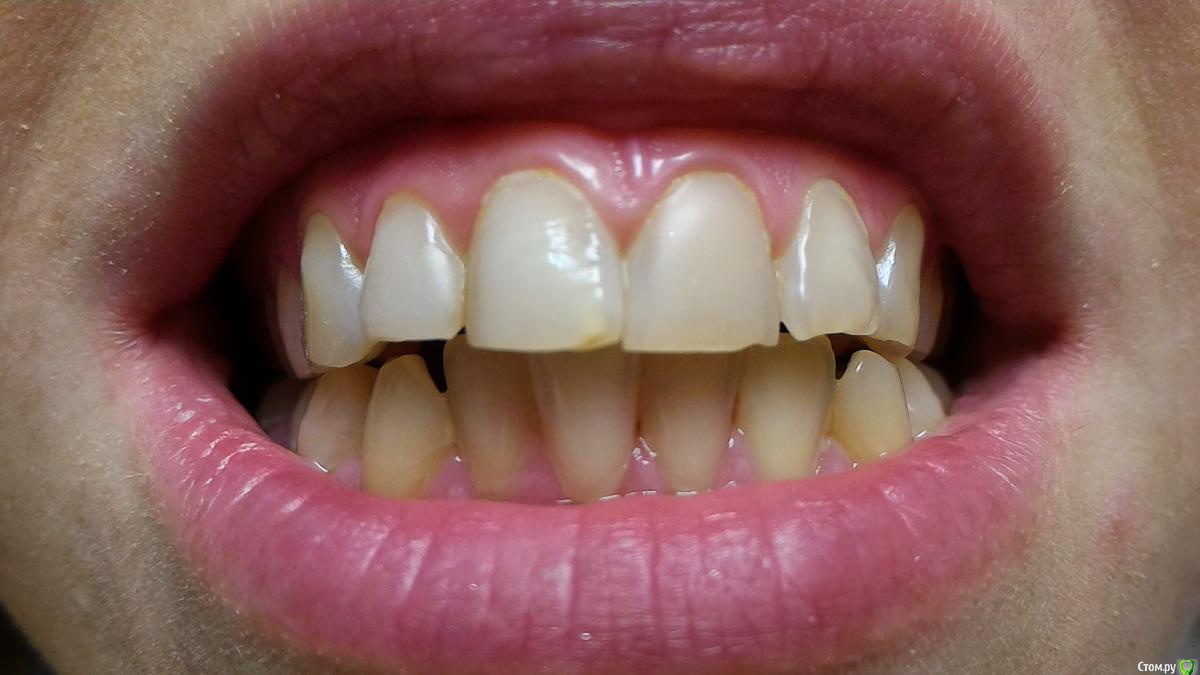
stomalolog Опубликовано 18 ноября, 2015 Поделиться Опубликовано 18 ноября, 2015 Пациентка 24 года, жалобы на эстетику, быстропроходящие боли от холодного. Из анамнеза: появились около 3 лет назад, болезни серьезные не признает, работа, место жительства опасений не вызывают, вредных привычек нет. На фото сильно не видно, имеем горизонтальная и вертикальная стираемость. С буграми ладно, прикус может быть виноват, а вот почему могут вестибулярки так стираться? Особенно выражено в области 21,22,23,24. У мамы зубы хорошие, у отца неизвестно, потерял при аварии. И что можно предложить консервативного, для остановки процесса. Ссылка на комментарий
Сева северный Опубликовано 19 ноября, 2015 Поделиться Опубликовано 19 ноября, 2015 Судя по фасеткам стираемости на 24,25.клыковая функция...компесаторно... перешла в групповую. Корекция фронтальных зубов возможна после коррекции утраченных функциональных значений. Ссылка на комментарий
stomalolog Опубликовано 19 ноября, 2015 Автор Поделиться Опубликовано 19 ноября, 2015 Вот мне с утра пришла мысль, может пациентка просто щеткой с какой нибудь отбеливающей абразивной пастой стирает вестибулярки на фоне слабой эмали? Надо будет спросить, а то самое явное в голову не пришло. Ссылка на комментарий
Сева северный Опубликовано 19 ноября, 2015 Поделиться Опубликовано 19 ноября, 2015 Вот мне с утра пришла мысль, может пациентка просто щеткой с какой нибудь отбеливающей абразивной пастой стирает вестибулярки на фоне слабой эмали? Надо будет спросить, а то самое явное в голову не пришло.Причин убыли вестибулярной эмали ..может быть несколько. (оклюзионная травма, проф.вредности (хим. производство)повышенная абразия итд) Первое на , что я обратил бы внимание (оклюзию) Ссылка на комментарий
Рекомендуемые сообщения
Для публикации сообщений создайте учётную запись или авторизуйтесь
Вы должны быть пользователем, чтобы оставить комментарий
Создать аккаунт
Зарегистрируйте новый аккаунт в нашем сообществе. Это очень просто!
Регистрация нового пользователяВойти
Уже есть аккаунт? Войти в систему.
Войти