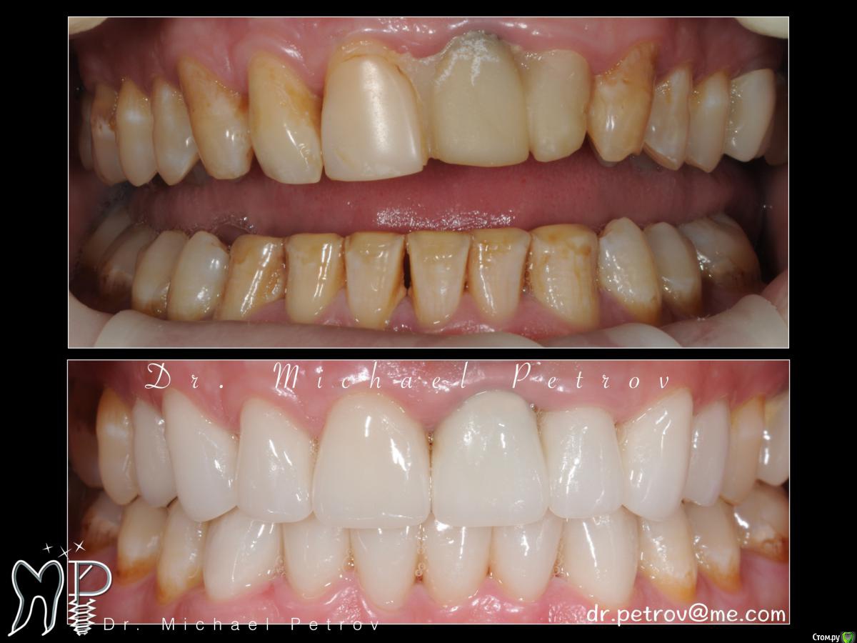
Популярный пост DR.P Опубликовано 17 ноября, 2015 Популярный пост Поделиться Опубликовано 17 ноября, 2015 (изменено) Дорогие коллеги! Все думал показывать эту работу или нет сделал ее месяц назад. Здесь проведена не просто эстетическая реабилитация, но и частично функциональная. Мы сделали клыковое и резцовое ведение. Сначала провели ваксап, нижние резцы и клыки необходимо было редуцировать по высоте почти на 2 мм. (редуцирование проводил в два этапа с последующей герметизацией. На временных реставрациях проверяли все - от функции до эстетики. Пациент с временными ходил около месяца. 2.1 и 2.2 изначально были с анкерами, все извлекал, перелечивал каналы, восстанавливал СВШ. Оба зуба 2.1 и 2.2 под наблюдением (очень короткие корни) Улыбка не десневая, синева 2.1 была очевидна, пациент был подготовлен к этому, речь шла вообще об удалении этих двух зубов 2.1 и 2.2, но предоставив варианты пациенту, было решено их сохранить на время их службы.Еще с детства он не умел улыбаться! Пациенту предоставил скидку 50 % на лечение))недавно приходил на проф осмотр, уже широко улыбается Мне было очень приятно видеть, как он стал улыбаться не только губами, но и глазами Изменено 17 ноября, 2015 пользователем DR.P 21 Ссылка на комментарий
doktor vv Опубликовано 17 ноября, 2015 Поделиться Опубликовано 17 ноября, 2015 Достойная врачебная работа)Если уж очень придираться то конечно 21 серит шейка и сосочка между 21 и 22 нетНо это если очень придираться)Точили в скоп? Ссылка на комментарий
DR.P Опубликовано 17 ноября, 2015 Автор Поделиться Опубликовано 17 ноября, 2015 Спасибо, старался) нет, в бино 3.0, в планах призмы цейс Ссылка на комментарий
doktor vv Опубликовано 17 ноября, 2015 Поделиться Опубликовано 17 ноября, 2015 Круто)У меня экзамы 3,5 последнее время когда точу под виниры кажется что не хватает увеличения, потому и спросил про скоп)) Ссылка на комментарий
DR.P Опубликовано 17 ноября, 2015 Автор Поделиться Опубликовано 17 ноября, 2015 Всегда хочется то, чего не имеем!) думаю в х4 было бы идеально кофортно работать Ссылка на комментарий
alekszander Опубликовано 18 ноября, 2015 Поделиться Опубликовано 18 ноября, 2015 С вашей стороны очень достойная работа. Пацику щётку приматать к руке,гигиена хреновата. Корни можно было попробовать отбелить. Ну и дальше просится а1)) Ссылка на комментарий
Большой Зеленый Опубликовано 18 ноября, 2015 Поделиться Опубликовано 18 ноября, 2015 Красиво. 21 надо было все таки запилить Ссылка на комментарий
DR.P Опубликовано 18 ноября, 2015 Автор Поделиться Опубликовано 18 ноября, 2015 (изменено) С вашей стороны очень достойная работа. Пацику щётку приматать к руке,гигиена хреновата. Корни можно было попробовать отбелить. Ну и дальше просится а1))Спасибо! Это точно! Каждый раз звоню и говорю чистить зубы 3 раза в день, уже ирригатор пациент купил) Изменено 18 ноября, 2015 пользователем DR.P Ссылка на комментарий
DR.P Опубликовано 18 ноября, 2015 Автор Поделиться Опубликовано 18 ноября, 2015 (изменено) Красиво. 21 надо было все таки запилить Спасибо! Да! Такой же вывод сделал) Изменено 18 ноября, 2015 пользователем DR.P Ссылка на комментарий
Сева северный Опубликовано 18 ноября, 2015 Поделиться Опубликовано 18 ноября, 2015 Красиво. 21 надо было все таки запилить Что вы имеете в виду? Ссылка на комментарий
DR.P Опубликовано 18 ноября, 2015 Автор Поделиться Опубликовано 18 ноября, 2015 Имеется ввиду обточить побольше и поглубже - реставрацию сделать потолще, тем самым перекрыть цвет 1 Ссылка на комментарий
Сева северный Опубликовано 19 ноября, 2015 Поделиться Опубликовано 19 ноября, 2015 Имеется ввиду обточить побольше и поглубже - реставрацию сделать потолще, тем самым перекрыть цвета почему не сделали это на временных????Вообще спасибо вам большое за такую шикарную презентацию и отлично проделанную работу. Я несколько раз перечитал ваше описание, проведенного лечения. И мне показалось, что вы не до конца удовлетворены полученным результатом.( Вполне возможно Это из за зуба 21) На вашу работу я смотрел как на некий прототип, с позиции, а как бы сделал ее я сам, и где бы я сделал по другому. Ссылка на комментарий
DR.P Опубликовано 19 ноября, 2015 Автор Поделиться Опубликовано 19 ноября, 2015 (изменено) На здоровье! все-таки удовлетворен, просто знаю что можно еще и еще круче и хочется уже новый кейс сделать. 2.1 честно вообще шел под удаление, решили пойти на компромис, зуб слабый, так не хотелось сильно обтачивать, да и если честно уже разучился много снимать, работая под увеличением и повышайкой уже кажется что очень много снято, ну вы меня понимаете Сейчасмоя задача решить проблему с гигиеной у пациента. Со слов он стал чистить чаще, но все равно в оптике я вижу постоянный налет, я же не могу каждую неделю проводить ему полировку)) уже предпринял ряд рекомендаций. Надеюсь поможет. Изменено 19 ноября, 2015 пользователем DR.P Ссылка на комментарий
Bobby Опубликовано 23 ноября, 2015 Поделиться Опубликовано 23 ноября, 2015 Отлично! Ссылка на комментарий
DR.P Опубликовано 23 ноября, 2015 Автор Поделиться Опубликовано 23 ноября, 2015 Отлично! Спасибо! От вас особенно приятно слышать! =) 1 Ссылка на комментарий
Ibulat_1986 Опубликовано 23 ноября, 2015 Поделиться Опубликовано 23 ноября, 2015 молодцом! перед оттисками со слизистой на временных коронках работали? Ссылка на комментарий
Bobby Опубликовано 23 ноября, 2015 Поделиться Опубликовано 23 ноября, 2015 Спасибо! От вас особенно приятно слышать! =) Представлю сколько труда тут было! Ссылка на комментарий
DR.P Опубликовано 23 ноября, 2015 Автор Поделиться Опубликовано 23 ноября, 2015 Представлю сколько труда тут было! Да, это верно!Благодаря вашим работам есть к чему стремиться! Большое спасибо за ваши кейсы и практические советы! Ссылка на комментарий
DR.P Опубликовано 23 ноября, 2015 Автор Поделиться Опубликовано 23 ноября, 2015 (изменено) Дублирую фотографии в более высоком разрешенииhttp://i1078.photobucket.com/albums/w496/dr_petrov/%20%20%20%20%20.004_zpsgbfvwgnb.jpghttp://i1078.photobucket.com/albums/w496/dr_petrov/%20%20%20%20%20.005_zpsvb5id1za.jpghttp://i1078.photobucket.com/albums/w496/dr_petrov/%20%20%20%20%20.006_zpsi4nyjoec.jpghttp://i1078.photobucket.com/albums/w496/dr_petrov/%20%20%20%20%20.007_zpsdmlegzt2.jpghttp://i1078.photobucket.com/albums/w496/dr_petrov/%20%20%20%20%20.008_zpslobmxnrg.jpghttp://i1078.photobucket.com/albums/w496/dr_petrov/%20%20%20%20%20.009_zps9nw1xc8d.jpghttp://i1078.photobucket.com/albums/w496/dr_petrov/%20%20%20%20%20.010_zpsfnzxr36x.jpghttp://i1078.photobucket.com/albums/w496/dr_petrov/%20%20%20%20%20.011_zpsov2156nx.jpghttp://i1078.photobucket.com/albums/w496/dr_petrov/%20%20%20%20%20.012_zpsf1x6jbmo.jpghttp://i1078.photobucket.com/albums/w496/dr_petrov/%20%20%20%20%20.013_zpsmkzevmjv.jpghttp://i1078.photobucket.com/albums/w496/dr_petrov/%20%20%20%20%20.014_zpsl4rarlpm.jpghttp://i1078.photobucket.com/albums/w496/dr_petrov/%20%20%20%20%20.015_zpsu5hiw92r.jpghttp://i1078.photobucket.com/albums/w496/dr_petrov/%20%20%20%20%20.016_zpsnueo3ggp.jpghttp://i1078.photobucket.com/albums/w496/dr_petrov/%20%20%20%20%20.017_zpsu3goetx9.jpg Изменено 23 ноября, 2015 пользователем DR.P 3 Ссылка на комментарий
Доктор Андрей Опубликовано 29 ноября, 2015 Поделиться Опубликовано 29 ноября, 2015 Отличная работа, получил удовольствие при изучении.)) У самого бывают такие серенькие недоработки на одном зубе. Стараюсь избавиться в практике от них. Ссылка на комментарий
an_ver Опубликовано 29 ноября, 2015 Поделиться Опубликовано 29 ноября, 2015 Что могу сказать...отлично! Ссылка на комментарий
DR.P Опубликовано 29 ноября, 2015 Автор Поделиться Опубликовано 29 ноября, 2015 Что могу сказать...отлично!Спасибо! Ссылка на комментарий
Abuk Опубликовано 29 ноября, 2015 Поделиться Опубликовано 29 ноября, 2015 Дорогие коллеги! Все думал показывать эту работу или нет сделал ее месяц назад. Здесь проведена не просто эстетическая реабилитация, но и частично функциональная. Мы сделали клыковое и резцовое ведение. Сначала провели ваксап, нижние резцы и клыки необходимо было редуцировать по высоте почти на 2 мм. (редуцирование проводил в два этапа с последующей герметизацией. На временных реставрациях проверяли все - от функции до эстетики. Пациент с временными ходил около месяца. 2.1 и 2.2 изначально были с анкерами, все извлекал, перелечивал каналы, восстанавливал СВШ. Оба зуба 2.1 и 2.2 под наблюдением (очень короткие корни) Улыбка не десневая, синева 2.1 была очевидна, пациент был подготовлен к этому, речь шла вообще об удалении этих двух зубов 2.1 и 2.2, но предоставив варианты пациенту, было решено их сохранить на время их службы.Еще с детства он не умел улыбаться! Пациенту предоставил скидку 50 % на лечение))недавно приходил на проф осмотр, уже широко улыбается Мне было очень приятно видеть, как он стал улыбаться не только губами, но и глазами Отличная работа.Сосочек между 21и 22 не стали ждать?Язычно зачем препили? Ссылка на комментарий
DR.P Опубликовано 29 ноября, 2015 Автор Поделиться Опубликовано 29 ноября, 2015 (изменено) Отличная работа.Сосочек между 21и 22 не стали ждать?Язычно зачем препили?Про сосочек, а чего ждать-то? Его как не было изначально, так и не будет, костной поддержки нет - гребень ушел. Я писал - эти 2 зуба под наблюдением. Улыбка не десневая.Небные и язычные поверхности - полностью инициатива пациента, он хотел изменить цвет со всех сторон. Мы это оговаривали. Мужчина с детства не любил свой цвет зубов, пол жизни прятал зубы за губами и имея возможность изменить цвет со всех сторон - он не мог ее не использовать, хотя изначально я планировал делать классические вестибулярные виниры. Изменено 29 ноября, 2015 пользователем DR.P 1 Ссылка на комментарий
Abuk Опубликовано 29 ноября, 2015 Поделиться Опубликовано 29 ноября, 2015 У меня аналогичная ситуация,и улыбка десневая. Среза кт, в области сосочка нет? Любопытно жутко). Тогда надо было все на 28 . Ссылка на комментарий
Рекомендуемые сообщения
Для публикации сообщений создайте учётную запись или авторизуйтесь
Вы должны быть пользователем, чтобы оставить комментарий
Создать аккаунт
Зарегистрируйте новый аккаунт в нашем сообществе. Это очень просто!
Регистрация нового пользователяВойти
Уже есть аккаунт? Войти в систему.
Войти