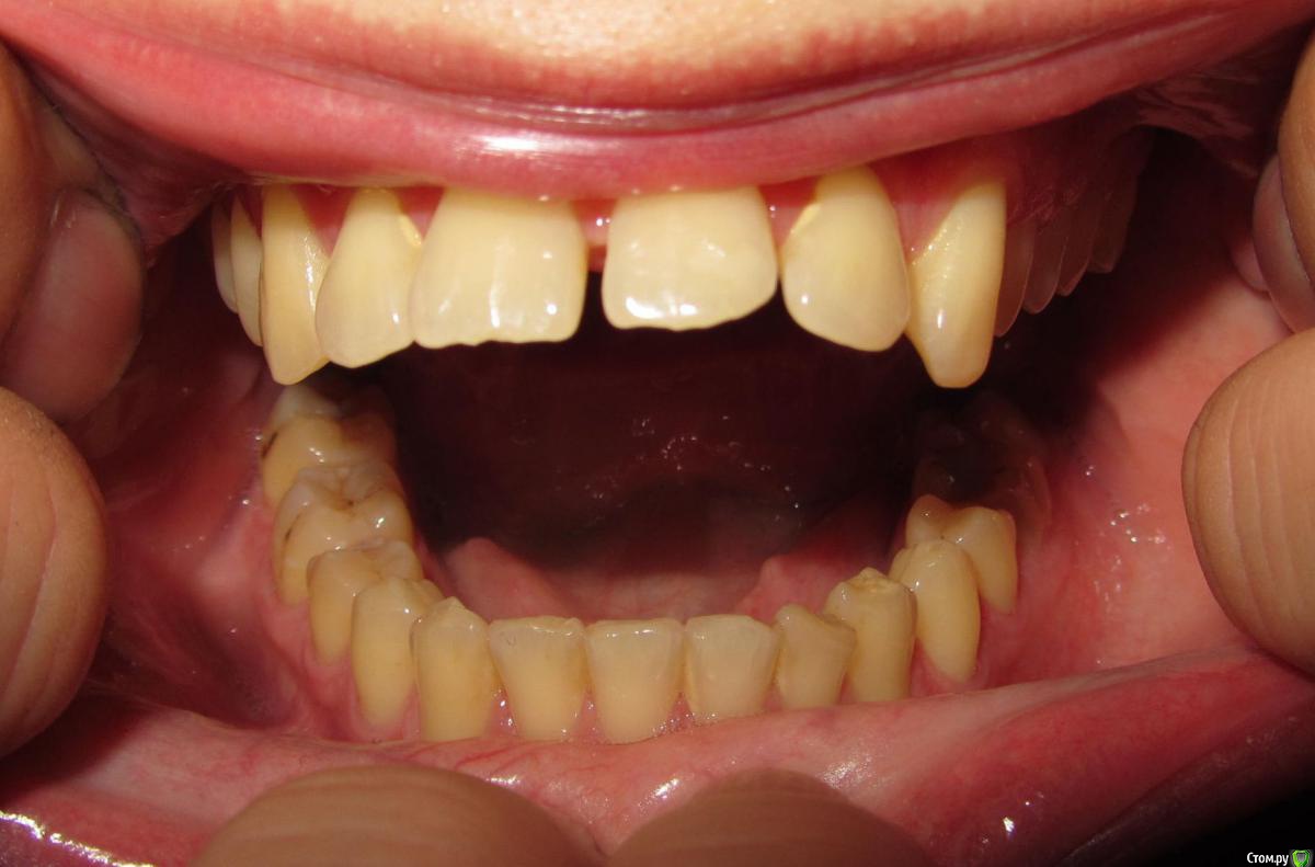
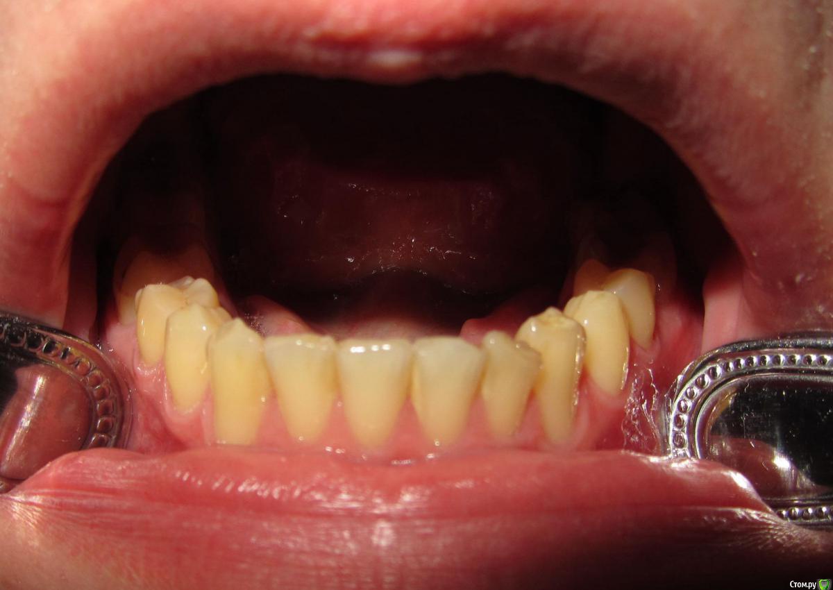
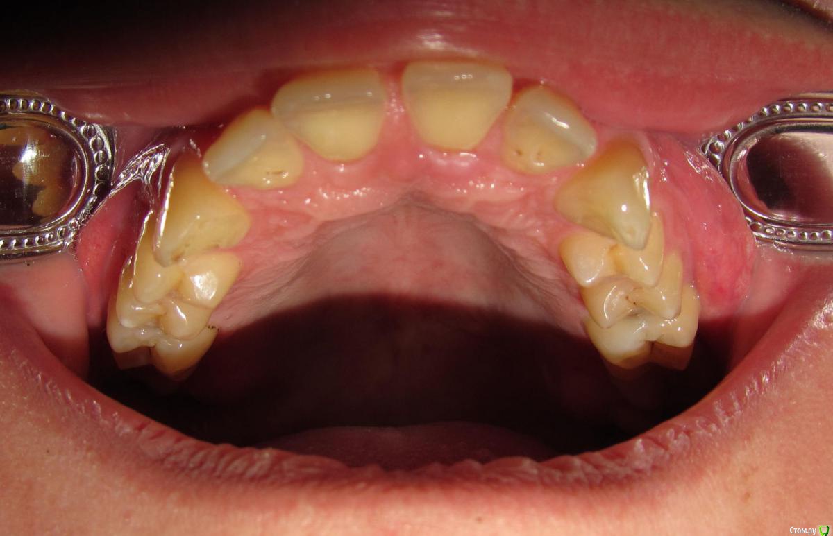
janis1 Опубликовано 14 ноября, 2015 Поделиться Опубликовано 14 ноября, 2015 Доброго времени суток, уважаемые профессионалы.Очень надеюсь на вашу помощь.Коротко о себе:37 лет, пол мужской. Так сложилось что в последнее время меня постигло сразу три проблемы,как мне кажется все они имеют между собой четкую связь. Основная проблема, с болями верхней челюсти, началась у меня около месяца назад. Боль не очень сильная, но практически постоянная. Боль не имеет какой-либо конкретной локации (болит именно вся челюсть). С утра она меньше, ближе к вечеру усиливается. В последнее время немного отдаёт в скулу. Одновременно с появлением боли, во рту, в районе дёсен, появился как бы привкус соды (немного похожий на вкус крови, но крови в ротовой полости нет).И в довершение всего начали катастрофически искривляются зубы верхней челюсти.На самом деле проблемы с прикусом у меня были уже с детства, примерно в 10 - 12 лет я носил пластинку для исправления прикуса.Но к сожалению лечение так и не закончил, соответственно прикус все это время у меня был неправильным, но до последнего времени он меня не беспокоил, так как был если так можно сказать "в пределах разумного", и в течении долгого времени был неизменен, но в последние несколько месяцев верхние зубы искривились настолько катастрофически что что я реально начал шепелявить. При попытке расшатывания зубы стоят крепко, не болтаются. Пока во всяком случае... Со всеми этими проблемами я пробовал обращаться к зубному хирургу и ортодонту,ни хирург, ни ортодонт к которым я обращался не смогли назвать каких-либо конкретных причин по которым может появляться боль в верхней челюсти и привкус во рту.Врачи к которям я обращался действительно хорошие специалисты, но похоже видят проблемы узко по своей специализации.Единственно хирург указал на то, что возможно придется удалять восьмерки, а ортодонт предложил установить брекеты на обе челюсти.Я прекрасно понимаю что с таким прикусом мне действительно не избежать установки брекетов, но меня беспокоит то, что не найдена причина происхождения всех проблем о которых я написал. Очень надеюсь на вашу помощь в поиске возможных причин проявления моих проблем. Заранее благодарен! Ссылка на комментарий
Jurai Опубликовано 14 ноября, 2015 Поделиться Опубликовано 14 ноября, 2015 Вам бы к ЛОР-врачу - возможно, боли из-за синусита верхнечелюстной пазухи. Проблем с носовой перегородкой ранее не было? Если можно - сделайте компьютерную томограмму фронтального участка верхней челюсти. 1 Ссылка на комментарий
janis1 Опубликовано 15 ноября, 2015 Автор Поделиться Опубликовано 15 ноября, 2015 (изменено) Спасибо за ваш ответ! Проблем с носовой перегородкой ранее не было?Да вы правы, ранее долгое время сидел на галазолине по ночам, примерно три года назад сделал операцию на перегородке, плюс по словам врача ещё что-то "прижигали", с тех пор галазолином ни разу не пользовался. возможно, боли из-за синусита верхнечелюстной пазухи Я так понял, что речь идёт о гайморите? Скажите пожалуйста, а разве он не должен сопровождаться заложенностью, и выделениями из носа? У меня ничего подобного не наблюдается... Если честно, у меня имеются некоторые подозрения на какие либо изменения костной ткани, либо наличие какой либо опухоли в районе верхней челюсти. Возможно это глупые домыслы дилетанта, но мне бы хотелось услышать мнение профессионалов по этому поводу... Может быть есть смысл сделать сразу КТ более обширного участка? Как это исследование правильно называется? Какой специалист может отправить на такое исследование ЛОР или кто-то ещё? Изменено 15 ноября, 2015 пользователем janis1 Ссылка на комментарий
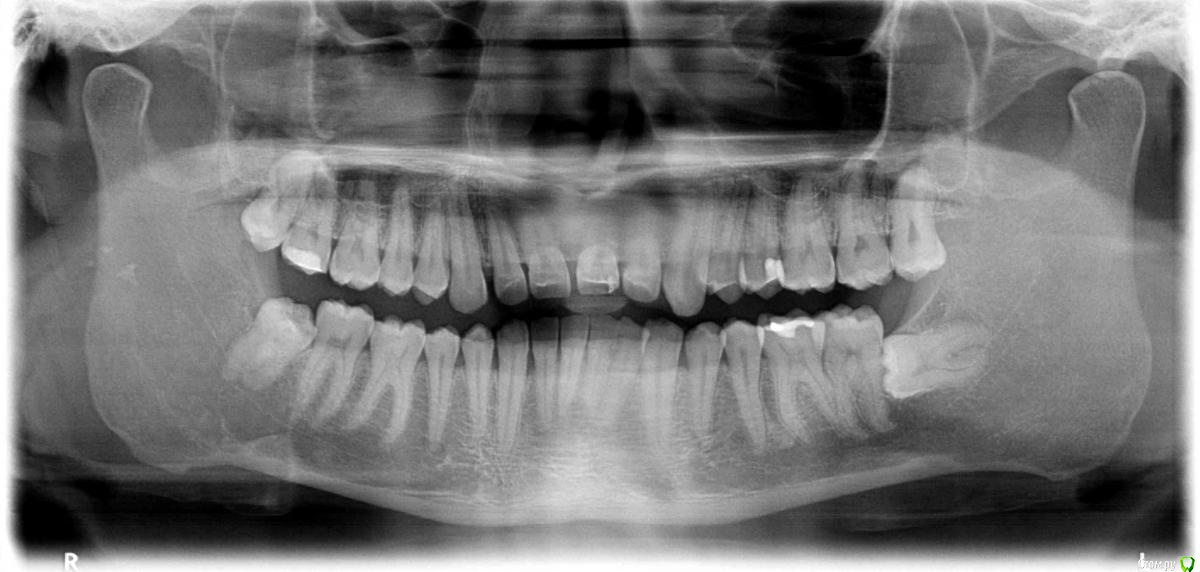
kozloff Опубликовано 15 ноября, 2015 Поделиться Опубликовано 15 ноября, 2015 Да, нужно исключить синусит.А еще можно заподозрить дисфункцию ВНЧС, на вашем снимке (ОПТГ) вызвает опасение расположение суставных головок. Но это может быть дефект снимка.Обязательно сделайте КТ, на одном снимке можно и пазухи рассмотреть, и ВНЧС. Ссылка на комментарий
janis1 Опубликовано 15 ноября, 2015 Автор Поделиться Опубликовано 15 ноября, 2015 заподозрить дисфункцию ВНЧС Как я понял, хирург при осмотре то-же обратил снимание на это на снимке, но при осмотре ничего крименального не нашел. Щелчков, и хруста в челюстном суставе я не ощущаю. на одном снимке можно и пазухи рассмотреть, и ВНЧС Как правильно называется такой снимок КТ? Ссылка на комментарий
kozloff Опубликовано 15 ноября, 2015 Поделиться Опубликовано 15 ноября, 2015 Так и называется - КТ (компьютерная томография). Нужно просто область исследования установить. Обычно это 16х16 или 16х9. Зависит от возможностей оборудования. Ссылка на комментарий
janis1 Опубликовано 17 ноября, 2015 Автор Поделиться Опубликовано 17 ноября, 2015 (изменено) Здравствуйте ещё раз. Вот ссылка на полный iso образ диска c томографией, вместе с программой просмотра iCATVision (380мб).iCATVision Data.iso Вот ссылка на архив папки с файлами, файлы с расширением dcm. (105мб).2.16.840.114421.82298.9501080944.9532616944.ZIP Надеюсь вас такие размеры не испугают Заранее всем спасибо за ваше потраченное время!!! Изменено 17 ноября, 2015 пользователем janis1 Ссылка на комментарий
kozloff Опубликовано 18 ноября, 2015 Поделиться Опубликовано 18 ноября, 2015 Подозреваю пульпит зуба 25И к лору не помешает сходить, есть отек слизистой. Гайморита нет. Ссылка на комментарий
Jurai Опубликовано 22 ноября, 2015 Поделиться Опубликовано 22 ноября, 2015 Есть проблема во фронтальном участке верхней челюсти: общая убыль костной ткани, ячеистая структура кости. смещение зубов так, что корни изогнулись, это значит, что либо резорбция (рассасывание) либо очень длительное уже идет воздействие. Могу подозревать новооборазование в этом участке.Вам нужна консультация челюстно-лицевого хирурга-онколога. 1 Ссылка на комментарий
janis1 Опубликовано 28 ноября, 2015 Автор Поделиться Опубликовано 28 ноября, 2015 к лору не помешает сходить Вчера был у ЛОРа, ЛОР по своей специализации никаких проблем не обнаружила. нужна консультация челюстно-лицевого хирурга-онколога Записался на консультацию, но ближайшая запись была только на конец ФЕВРАЛЯ... Буду очень надеяться на то, что может здесь, на форуме найдётся специалист по челюстно-лицевой хирургии -онкологии, который сможет высказать своё мнение по данным моей томографии... Ссылка на комментарий
Jurai Опубликовано 28 ноября, 2015 Поделиться Опубликовано 28 ноября, 2015 По данным только томографии невозможно дать уверенное суждение - нужна очная консультация. Посмотреть-пощупать-поговорить. Ссылка на комментарий
janis1 Опубликовано 29 ноября, 2015 Автор Поделиться Опубликовано 29 ноября, 2015 Скажите пожалуйста, а если пока отбросить жалобы по деформации зубов и данные томографии , и принять во внимание только жалобы о том, что болит верхняя челюсть, что присутствует привкус соды во рту, что имеется повышенная "чувствительность" зубов как после снятия зубного камня, и то что подобные симптомы начали появляться и на нижней челюсти.Не могут ли подобные симптомы говорить о каком либо бактериальном заражении либо воспалительном процессе? Ссылка на комментарий
kozloff Опубликовано 29 ноября, 2015 Поделиться Опубликовано 29 ноября, 2015 Не могут ли подобные симптомы говорить о каком либо бактериальном заражении либо воспалительном процессе? Нет. Рекомендую начать с малого. Обратите внимание на зубы 25, 26. Там возможен кариес/пульпит. Обратитесь на очную консультацию для этого к терапевту-стоматологу. Далее консультация ортодонта. 2 Ссылка на комментарий
janis1 Опубликовано 29 ноября, 2015 Автор Поделиться Опубликовано 29 ноября, 2015 Рекомендую начать с малого Вы знаете, с "малого" я уже кажется начинал. С момента появления болей, я был 5 раз на приёме у 4 разных специалистов: 1. хирург 2. ортодонт. 3 гигиенист (делал гигиену) 4. эндодонт 5. снова ортодонтВ последний визит у ортодонта я был уже с данными КТ и рекомендациями специалистов с этого сайта. Правда вы в ваших рекомендациях упоминали вначале только 25 зуб. Так вот ортодонт (кстати действительно очень хороший специалист, о нём очень много положительных отзывов, и он действительно внимательно отнёсся к моим жалобам) после очного осмотра и просмотра КТ заключил, что зубы не могут являться причиной болей в моём случае...Как-то так...Хотя даже я - полный профан в этих вопросах, глядя на ваши скриншоты вижу, что там действительно есть какие-то "изменения"... Ссылка на комментарий
Jurai Опубликовано 30 ноября, 2015 Поделиться Опубликовано 30 ноября, 2015 даже если эти зубы не являются причиной - лечить их надо. Ссылка на комментарий
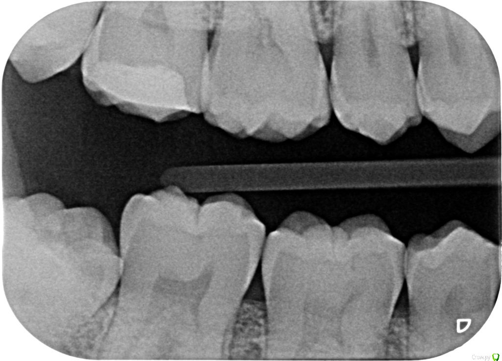
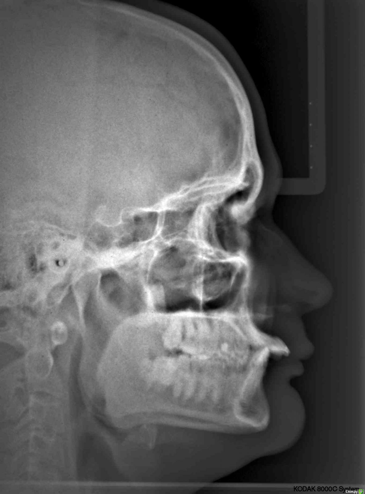
janis1 Опубликовано 14 декабря, 2015 Автор Поделиться Опубликовано 14 декабря, 2015 Итак, продолжение моей эпопеи.Удалось попасть к челюстно-лицевому хирургу-онкологу раньше чем было запланировано. После очного осмотра и изучения КТ, профессор выдал заключение, что никаких проблем по его части он не нашел.После этого я был у терапевта, по поводу 25 -26 зубов, ничего кроме зубного камня на 26 зубе (кстати напомню я недавно делал гигиену ) он так-же ничего не нашел.На всякий случай сделали рентген зубов, даже как я понял с двух сторон, вот снимки: Ну и самое главное - проблема осталась, то-есть уже более двух месяцев я живу с болью в районе верхней челюсти...Что делать дальше не знаю...Очень надеюсь на вашу помощь! Ссылка на комментарий
janis1 Опубликовано 22 декабря, 2015 Автор Поделиться Опубликовано 22 декабря, 2015 (изменено) Сейчас к боли в челюсти начала добавляться ещё и головная боль...Я так понимаю, что посоветовать мне что делать дальше с моей проблемой больше никто не может... Изменено 22 декабря, 2015 пользователем janis1 Ссылка на комментарий
Рекомендуемые сообщения
Для публикации сообщений создайте учётную запись или авторизуйтесь
Вы должны быть пользователем, чтобы оставить комментарий
Создать аккаунт
Зарегистрируйте новый аккаунт в нашем сообществе. Это очень просто!
Регистрация нового пользователяВойти
Уже есть аккаунт? Войти в систему.
Войти