kamranchick Опубликовано 5 ноября, 2015 Поделиться Опубликовано 5 ноября, 2015 Добрый день уважаемые форумчане)Хочу посоветоваться с Вами.Пациент обратился по поводу 14 зуба, хочет удалить и поставить имплантатаБыло предложено идти но одномоментную имплантацию.Вопрос - есть ли противопоказание в данном случае? нужно ли аугментация?Я рассматриваю варианты с устновкой имплантата ALpha Bio SPI 3.3 -13мм, и установка формика с шашлычком(так как бугры хорошие), при условии хорошего торкаВаши советы... Ссылка на комментарий
kriokov Опубликовано 5 ноября, 2015 Поделиться Опубликовано 5 ноября, 2015 если владеете или ортопед под боком, все что написали, только временная коронка на временном титановом абатменте, сст с бугра вестибулярно коронарно, и в щель можно кость ауто если на бугор пойдете. Ссылка на комментарий
kamranchick Опубликовано 5 ноября, 2015 Автор Поделиться Опубликовано 5 ноября, 2015 Ортопед то не под боком, в другой клинике. А почему нельзя поставить формик? Ссылка на комментарий
kriokov Опубликовано 5 ноября, 2015 Поделиться Опубликовано 5 ноября, 2015 да почему нельзя. просто я так не делал, прокатывало с временной коронкой. Ссылка на комментарий
Doctorstomlis Опубликовано 5 ноября, 2015 Поделиться Опубликовано 5 ноября, 2015 Добрый день уважаемые форумчане)Хочу посоветоваться с Вами.Пациент обратился по поводу 14 зуба, хочет удалить и поставить имплантатаБыло предложено идти но одномоментную имплантацию.Вопрос - есть ли противопоказание в данном случае? нужно ли аугментация?Я рассматриваю варианты с устновкой имплантата ALpha Bio SPI 3.3 -13мм, и установка формика с шашлычком(так как бугры хорошие), при условии хорошего торкаВаши советы...А почему бы не попробовать пролечить?Найти грамотного терапевта.Сейчас такое можно лечить на ура.Правда я не видела фото во рту. Ссылка на комментарий
bullbull Опубликовано 6 ноября, 2015 Поделиться Опубликовано 6 ноября, 2015 Диаметр можно и побольше, как мне кажется. Ссылка на комментарий
kamranchick Опубликовано 6 ноября, 2015 Автор Поделиться Опубликовано 6 ноября, 2015 А удастся ли поставить osstem 3.5 на 11.5, подойдёт ли он для одномоментный? Спрашиваю с целью того, что есть в наличии этот имплантат Ссылка на комментарий
gum Опубликовано 6 ноября, 2015 Поделиться Опубликовано 6 ноября, 2015 Коллега диаметр однозначно больше 3,5 или 3,75, а то что нет в наличии, так закажите. Можно и формик без проблем. Ссылка на комментарий
red_butler Опубликовано 6 ноября, 2015 Поделиться Опубликовано 6 ноября, 2015 есть в наличии этот имплантат Если в городе есть дилер, попробуйте поменять. А вообще лучше всегда иметь несколько винтов разных длин и диаметров. Мололи что... Ссылка на комментарий
kamranchick Опубликовано 6 ноября, 2015 Автор Поделиться Опубликовано 6 ноября, 2015 Проблема не в том, что нет в наличии, подойдёт ли osstem в данном случае, ибо ab поагрессивнее будет) Ссылка на комментарий
Magomed Опубликовано 7 ноября, 2015 Поделиться Опубликовано 7 ноября, 2015 изначально сделайте вакс ап. потом с модели отожмите и мделайте силиконовый ключ. Удалите зуб. установите имплант. есть стабильност 35Н. вкручивайте абатмент. . Подгоните по высоте абатмент. удалите вин . и вкрутите винт для ТРАНСФЕРА ДЛЯ ОТКРЫТОЙ ЛОЖКИ.. подгоните силиконовый ключ на зубы предворительно мделаа отаеост.в силиконе под длинный винт. пламтмассу в миликон и в полость рта. подождите ппру минут и выкрутите винт. вытаскиваем абатмент с бкд.коронкой коррпктируем коронку. ставим винт от АБАТМЕНТА и хакручиваем 10 Н. и всем будет хорошо. ну и десну подшить.если умеете. 2 Ссылка на комментарий
Bier Опубликовано 8 ноября, 2015 Поделиться Опубликовано 8 ноября, 2015 Проблема не в том, что нет в наличии, подойдёт ли osstem в данном случае, ибо ab поагрессивнее будет)Короткий имплантат не подойдет. Ссылка на комментарий
ПалСаныч Опубликовано 8 ноября, 2015 Поделиться Опубликовано 8 ноября, 2015 Отличный пример под мой вопрос: в области верхушки очаг хронического воспаления, если гранулема уйдет целиком, то ладно; а если удалить корень без нее, то хоть как там кюретируй, нотгарантии что все выудил нет, да и лунка в апикальной трети сплющена. Ставить можно? Или риск нагноения высок? Ссылка на комментарий
Magomed Опубликовано 8 ноября, 2015 Поделиться Опубликовано 8 ноября, 2015 можно тетрациклином с физраствором промыть, Ссылка на комментарий
Magomed Опубликовано 8 ноября, 2015 Поделиться Опубликовано 8 ноября, 2015 можно тетрациклином с физраствором промыть и если нет обострения . Должно быть всё хорошо Ссылка на комментарий
Astronaft Опубликовано 8 ноября, 2015 Поделиться Опубликовано 8 ноября, 2015 если гранулема уйдет целиком, то ладно; а если удалить корень без нее.Ставить можно? Или риск нагноения высок?Гранулему легко будет выскоблить. Другое дело неоформленные грануляции. Их мне кажется нереально удалить полностью. Давно какую-то книгу читал, там автор рекомендовал от 6 мес срок, что бы дать грануляциям разрешиться самостоютельно. Описывал там и лазер и медикаментозную обработку, но как предпочтительный способ рекомендовал - дать организму самому справиться. Риск нагноения не велик, но возможно получить долгоиграющую, размытую симптоматику. Грануляции могут своей жизнью в глубине. А доктор думает, что пациент ку-ку... Общался с группой людей которые вообще считают, что перио.связку, грануляции и т.д надо довольно агрессивно убирать ( и не кюретой, а бором или пьезо).Много раз видел на КТ очертания лунок 20-30-40 летней давности. ПалСаныч, я как книгу прочитал, так в грануляции и не имплантирую, всегда жду 6 мес. 1 1 Ссылка на комментарий
kriokov Опубликовано 8 ноября, 2015 Поделиться Опубликовано 8 ноября, 2015 Давно какую-то книгу читал, там автор рекомендовал от 6 мес срок, что бы дать грануляциям разрешиться самостоютельно. про пародонтит попадалось, что и через 6 мес в костной ткани после удаления присутствует остаточная микробная флора. Отличный пример под мой вопрос: в области верхушки очаг хронического воспаления, если гранулема уйдет целиком, то ладно; а если удалить корень без нее, то хоть как там кюретируй, нотгарантии что все выудил нет, да и лунка в апикальной трети сплющена. Ставить можно? Или риск нагноения высок?ПалСаныч, только из собственного опыта- если при ревизии после удаления следов гноя нет, ставлю. Если получаю гной при ревизии, то нет. Щель ауто пакую, за него и боюсь. Про сужение лунки в апикальной трети, не совсем понял, но думаю , там же верхушка болта все равно чуть небнее пойдет. Ссылка на комментарий
ПалСаныч Опубликовано 9 ноября, 2015 Поделиться Опубликовано 9 ноября, 2015 Криоков, спасибо за мнение. Про щель: в апикальной трети особенно у премоляров фрома лунки в виде вытянутого овала, через который кюретажная ложечка и не пролезает, так что качественно откюретировать не получается. Если кистушка вылезает вместе с корнем, то я бывает и вкручиваю. Если нет, то как написал Астронафт. Я все ж ссыкун и побаиваюсь немедленной имплантации. Астронафт-целиком и полностью согласен с Вашей выжидательной тактикой, особенно после помоему Вашего поста относительно инфекции живущей в кости после удаления зуба. Ваш ответ будет еще одним аргументом в ответ на придирки моего ортопеда, который просит удалять и сразу вкручивать, чтоб время не терять. А то он на концеренциях насмотриться и начинает мне на мозг капать. 4 Ссылка на комментарий
Astronaft Опубликовано 9 ноября, 2015 Поделиться Опубликовано 9 ноября, 2015 Вашего поста относительно инфекции живущей в кости после удаления зуба.Спасибо за то что Вы меня услышали!Это интересная тема ( инфекция) по поводу которой нет консенсуса. Точнее есть традиция это отрицать, но клиническая картина иногда заставляет усомниться в устоявшихся понятиях. У меня есть некоторые наблюдения которыми я скоро поделюсь. 1 Ссылка на комментарий
ПалСаныч Опубликовано 9 ноября, 2015 Поделиться Опубликовано 9 ноября, 2015 жду с нетерпением (даже если по секрету, то никому не расскажу)) Ссылка на комментарий
Большой Зеленый Опубликовано 9 ноября, 2015 Поделиться Опубликовано 9 ноября, 2015 Патрик Палаччи при нас ставил винты в лунки с гноем.После удаления два раза промывает Бетадином.Говорит что этого достаточно. Ссылка на комментарий
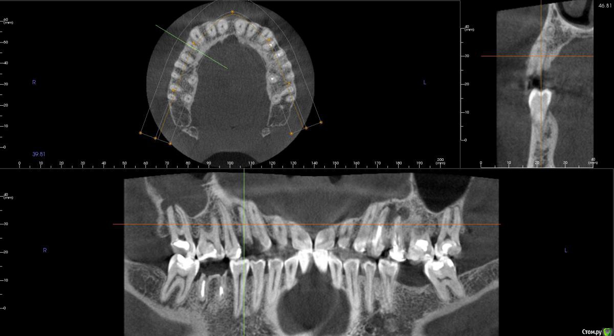
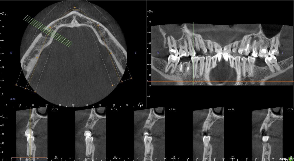
faity Опубликовано 10 ноября, 2015 Поделиться Опубликовано 10 ноября, 2015 По сути переапикальные изменения обусловленны инфекцией непосредственно в каналах и после удаления причинного зуба, даже при наличии остаточной МО в костной ткани это никак не мешает приживлению импланта.Но к сожалению мои выводы основанны исключительно на литературных данных в этой области, т.к. я не дядя Карен и не имею возможности проводит гистологические исследования По топику: апекс импланта я бы немного вестибулярнее расположил, чтобы шахта выходила на бугры, а не на вестибулярную стенку и по длине такой, чтобы якорнулся в кости хотя бы на 1 мм Ссылка на комментарий
kamranchick Опубликовано 10 ноября, 2015 Автор Поделиться Опубликовано 10 ноября, 2015 По сути переапикальные изменения обусловленны инфекцией непосредственно в каналах и после удаления причинного зуба, даже при наличии остаточной МО в костной ткани это никак не мешает приживлению импланта.Но к сожалению мои выводы основанны исключительно на литературных данных в этой области, т.к. я не дядя Карен и не имею возможности проводит гистологические исследования По топику: апекс импланта я бы немного вестибулярнее расположил, чтобы шахта выходила на бугры, а не на вестибулярную стенку и по длине такой, чтобы якорнулся в кости хотя бы на 1 ммПридется выбирать. либо идти по небной стенке, либо в правильной ортопедической позиции, а можно ли сразу 2 зайца убить в данном случае? боюсь при удалении дефект будет большим. Ссылка на комментарий
faity Опубликовано 10 ноября, 2015 Поделиться Опубликовано 10 ноября, 2015 засверлитесь в правильной позиции, запакуйте графт, дойдите финишным сверлом до апекса и поставьте винт.и винт и объем и торк. сст туда посадите вообще отлично будет. Ссылка на комментарий
St_Klaus Опубликовано 10 ноября, 2015 Поделиться Опубликовано 10 ноября, 2015 По топику: апекс импланта я бы немного вестибулярнее расположил, чтобы шахта выходила на бугры, а не на вестибулярную стенку и по длине такой, чтобы якорнулся в кости хотя бы на 1 мм +1. Ссылка на комментарий
Рекомендуемые сообщения
Для публикации сообщений создайте учётную запись или авторизуйтесь
Вы должны быть пользователем, чтобы оставить комментарий
Создать аккаунт
Зарегистрируйте новый аккаунт в нашем сообществе. Это очень просто!
Регистрация нового пользователяВойти
Уже есть аккаунт? Войти в систему.
Войти