Ст@ся Опубликовано 27 марта, 2016 Автор Поделиться Опубликовано 27 марта, 2016 http://images.vfl.ru/ii/1459098683/24776fc7/12051822_m.jpg 10 Ссылка на комментарий
Ст@ся Опубликовано 27 марта, 2016 Автор Поделиться Опубликовано 27 марта, 2016 В планах - выждать с момента операции 6 месяцев и принимать решение о дальнейшей тактике - или еще одна операция, или финальное протезирование. Ссылка на комментарий
Карен Аванесов Опубликовано 27 марта, 2016 Поделиться Опубликовано 27 марта, 2016 Ждать и дольше можно, но зачем если есть палец. Линия улыбки какая? Ссылка на комментарий
Ст@ся Опубликовано 27 марта, 2016 Автор Поделиться Опубликовано 27 марта, 2016 Ждать и дольше можно, но зачем если есть палец. Линия улыбки какая?Очень высокая. Молодая девушка. Кроме пальца есть еще аутоплазма и высокомолекулярная гиалуронка))) 1 Ссылка на комментарий
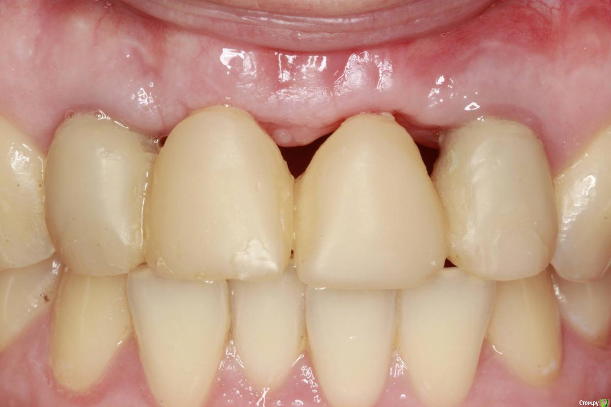
Популярный пост Ст@ся Опубликовано 7 июня, 2016 Автор Популярный пост Поделиться Опубликовано 7 июня, 2016 21 Ссылка на комментарий
ввассилюй Опубликовано 7 июня, 2016 Поделиться Опубликовано 7 июня, 2016 на последнем фото зубы новые? 1 Ссылка на комментарий
Ст@ся Опубликовано 7 июня, 2016 Автор Поделиться Опубликовано 7 июня, 2016 Нет, старые 1 1 Ссылка на комментарий
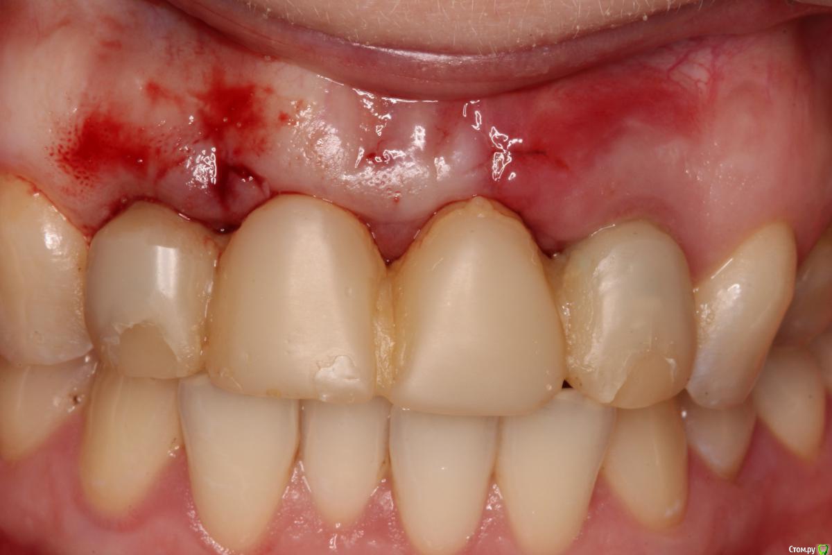
Популярный пост Ст@ся Опубликовано 20 августа, 2016 Автор Популярный пост Поделиться Опубликовано 20 августа, 2016 28 Ссылка на комментарий
diesel87 Опубликовано 20 августа, 2016 Поделиться Опубликовано 20 августа, 2016 Ещё будете подсаживать или ждать? Ссылка на комментарий
Ст@ся Опубликовано 21 августа, 2016 Автор Поделиться Опубликовано 21 августа, 2016 Ещё будете подсаживать или ждать?Пациентку результат устроил. 1 Ссылка на комментарий
Евгений Ходыкин Опубликовано 21 августа, 2016 Поделиться Опубликовано 21 августа, 2016 Настя, у Вас ещё подобная работа во фронте же есть. Как там результаты?? Ссылка на комментарий
Ст@ся Опубликовано 21 августа, 2016 Автор Поделиться Опубликовано 21 августа, 2016 Настя, у Вас ещё подобная работа во фронте же есть. Как там результаты??Какая из? у меня не одна работа с восстановлением контура во фронте 1 Ссылка на комментарий
Евгений Ходыкин Опубликовано 21 августа, 2016 Поделиться Опубликовано 21 августа, 2016 Какая из? у меня не одна работа с восстановлением контура во фронтеГде изначально ортопед были не Вы... Ссылка на комментарий
Чертков Александр Опубликовано 22 августа, 2016 Поделиться Опубликовано 22 августа, 2016 Где изначально ортопед были не Вы...Эта работа будет представлена на конгрессе 23-24.09....(.... из достоверного источника ) Ссылка на комментарий
zxc Опубликовано 22 августа, 2016 Поделиться Опубликовано 22 августа, 2016 Отличный результат, пациенту повезло Ссылка на комментарий
Ст@ся Опубликовано 23 августа, 2016 Автор Поделиться Опубликовано 23 августа, 2016 Эта работа будет представлена на конгрессе 23-24.09....(.... из достоверного источника )Нет, не будет.По просьбам телезрителей (с) 1 Ссылка на комментарий
an_ver Опубликовано 23 августа, 2016 Поделиться Опубликовано 23 августа, 2016 Вопреки прогнозам звезд))) все подросло.Отличная работа. Как увеличить толщину десны во фронте,если импланты установлены в позиции 12 и 22, времянки с опорой на них,а фронт ушел..пусто и как суслик свистит пациентка...ставил не я, пришла от знакомого...не хочет быть сусликом(( Ссылка на комментарий
Ст@ся Опубликовано 23 августа, 2016 Автор Поделиться Опубликовано 23 августа, 2016 Вопреки прогнозам звезд))) все подросло.Отличная работа. Как увеличить толщину десны во фронте,если импланты установлены в позиции 12 и 22, времянки с опорой на них,а фронт ушел..пусто и как суслик свистит пациентка...ставил не я, пришла от знакомого...не хочет быть сусликом((Скинте или на ФБ в личку фото/снимки, или на электронную почту,Чем смогу - помогу. 1 Ссылка на комментарий
an_ver Опубликовано 24 августа, 2016 Поделиться Опубликовано 24 августа, 2016 Скинте или на ФБ в личку фото/снимки, или на электронную почту,Чем смогу - помогу. Спасибо.Сделаю Ссылка на комментарий
Tari Опубликовано 3 сентября, 2016 Поделиться Опубликовано 3 сентября, 2016 Анастасия, результат изумительный! На сколько он стабилен во времени? Пациенты часто задают такой вопрос. Ссылка на комментарий
Ст@ся Опубликовано 3 сентября, 2016 Автор Поделиться Опубликовано 3 сентября, 2016 Анастасия, результат изумительный! На сколько он стабилен во времени? Пациенты часто задают такой вопрос.Доктор Иньяки Гамборена показывает 10ти летние наблюдения со стабильным результатом. Ссылка на комментарий
Tari Опубликовано 5 сентября, 2016 Поделиться Опубликовано 5 сентября, 2016 Доктор Иньяки Гамборена показывает 10ти летние наблюдения со стабильным результатом. Спасибо, на него и буду ссылаться. Ссылка на комментарий
an_ver Опубликовано 16 сентября, 2016 Поделиться Опубликовано 16 сентября, 2016 Скинте или на ФБ в личку фото/снимки, или на электронную почту,Чем смогу - помогу. Вот что было до консультации с Анастасией(((..пациентка удаляла и ставила импланты в другой клинике.Обратилась ко мне через знакомых.Мной сделано до фото,шашлыки на 12,22,новые временные коронки через вакс ап, фото через 4 месяца после иплантации..и...дальше...примерно знал как делать..но сомневался. После длительных))) (потому что не сразу я понял) консультаций решил взять нож в руки..сегодня снял швы..прошла неделя. Спасибо Анастасия за консультацию и самое главное терпение, я не очень понятливый)) студент.Да, и если есть возможность,коллеги,как говорит Эдуард,делайте все сразу,особенно десну, потом легче будет 10 Ссылка на комментарий
kamranchick Опубликовано 16 сентября, 2016 Поделиться Опубликовано 16 сентября, 2016 Не забудь через пару месяцев показать результат)) 1 Ссылка на комментарий
an_ver Опубликовано 17 сентября, 2016 Поделиться Опубликовано 17 сентября, 2016 Не забудь через пару месяцев показать результат))Хорошо.Покажу Ссылка на комментарий
Рекомендуемые сообщения
Для публикации сообщений создайте учётную запись или авторизуйтесь
Вы должны быть пользователем, чтобы оставить комментарий
Создать аккаунт
Зарегистрируйте новый аккаунт в нашем сообществе. Это очень просто!
Регистрация нового пользователяВойти
Уже есть аккаунт? Войти в систему.
Войти