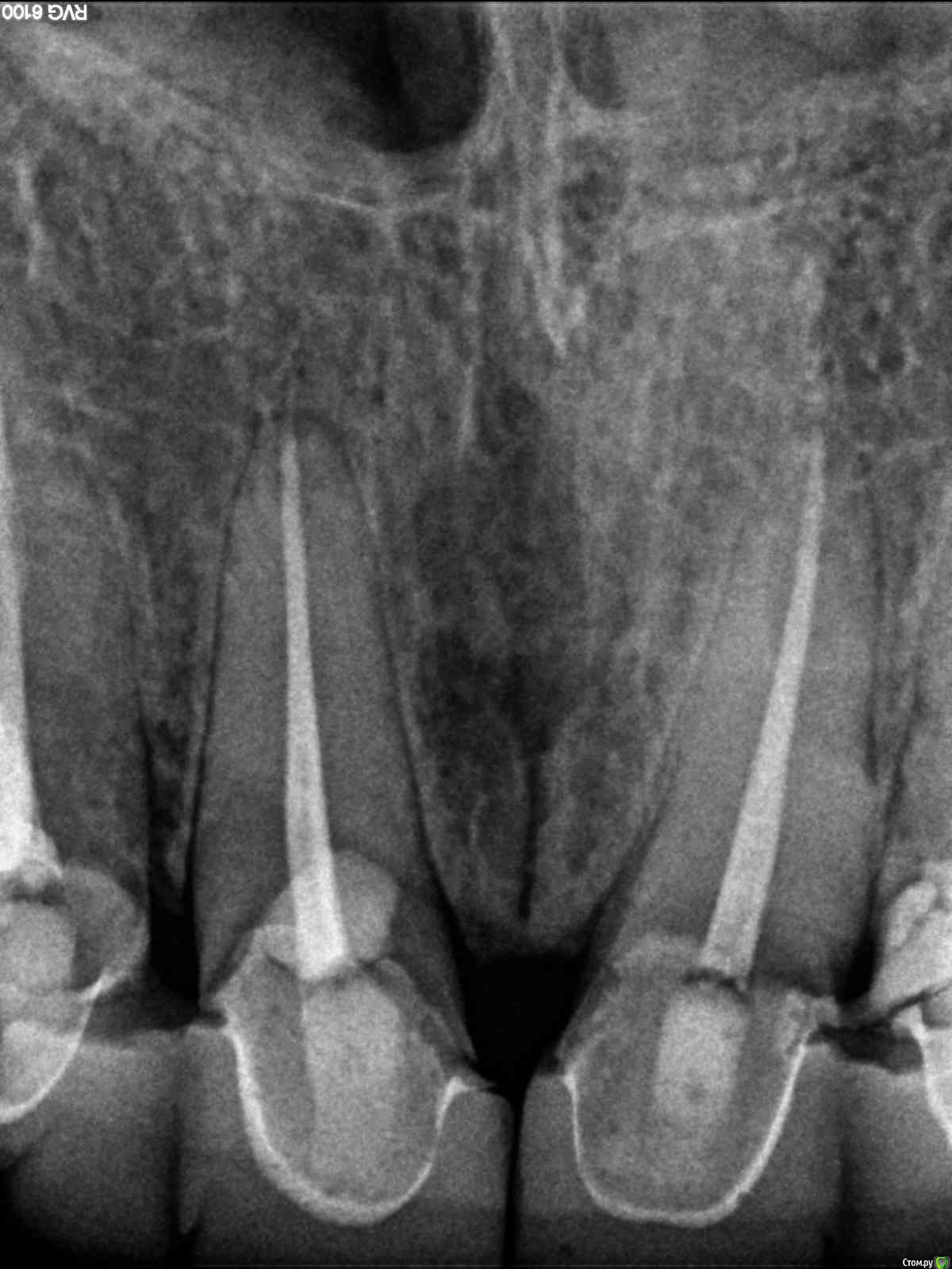
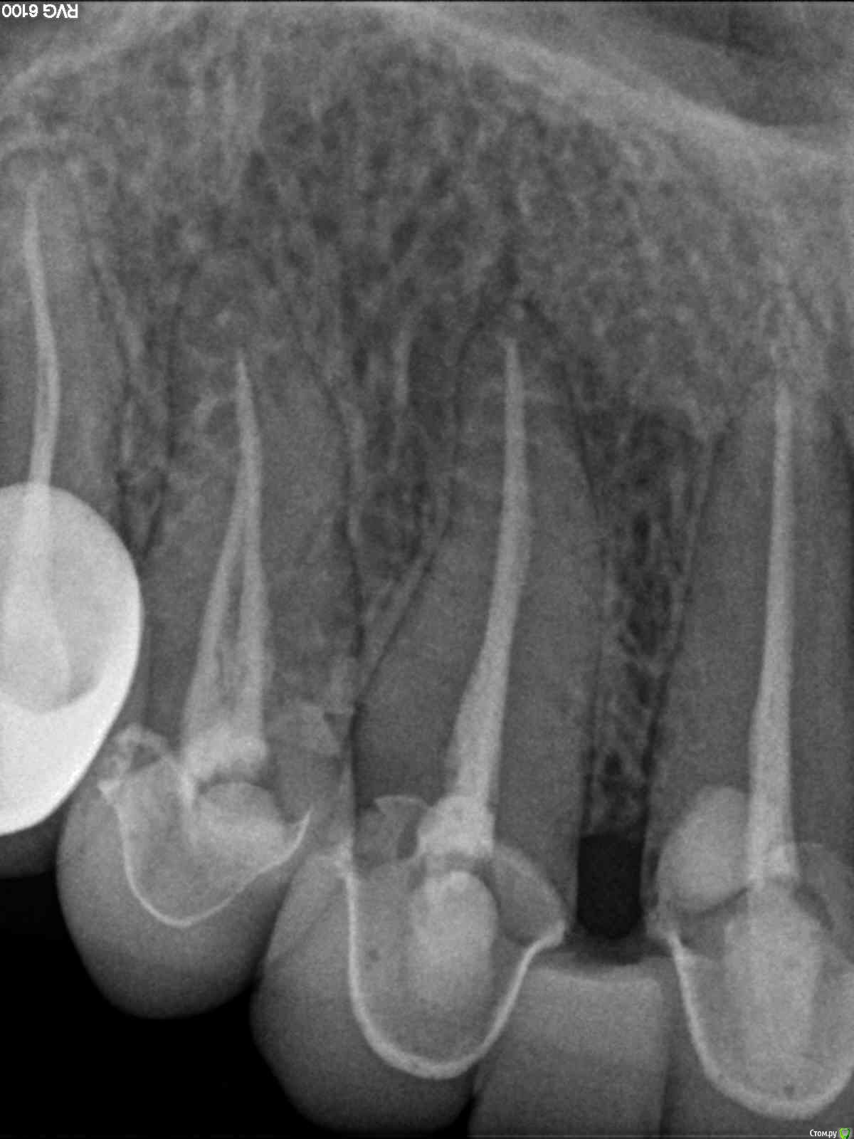
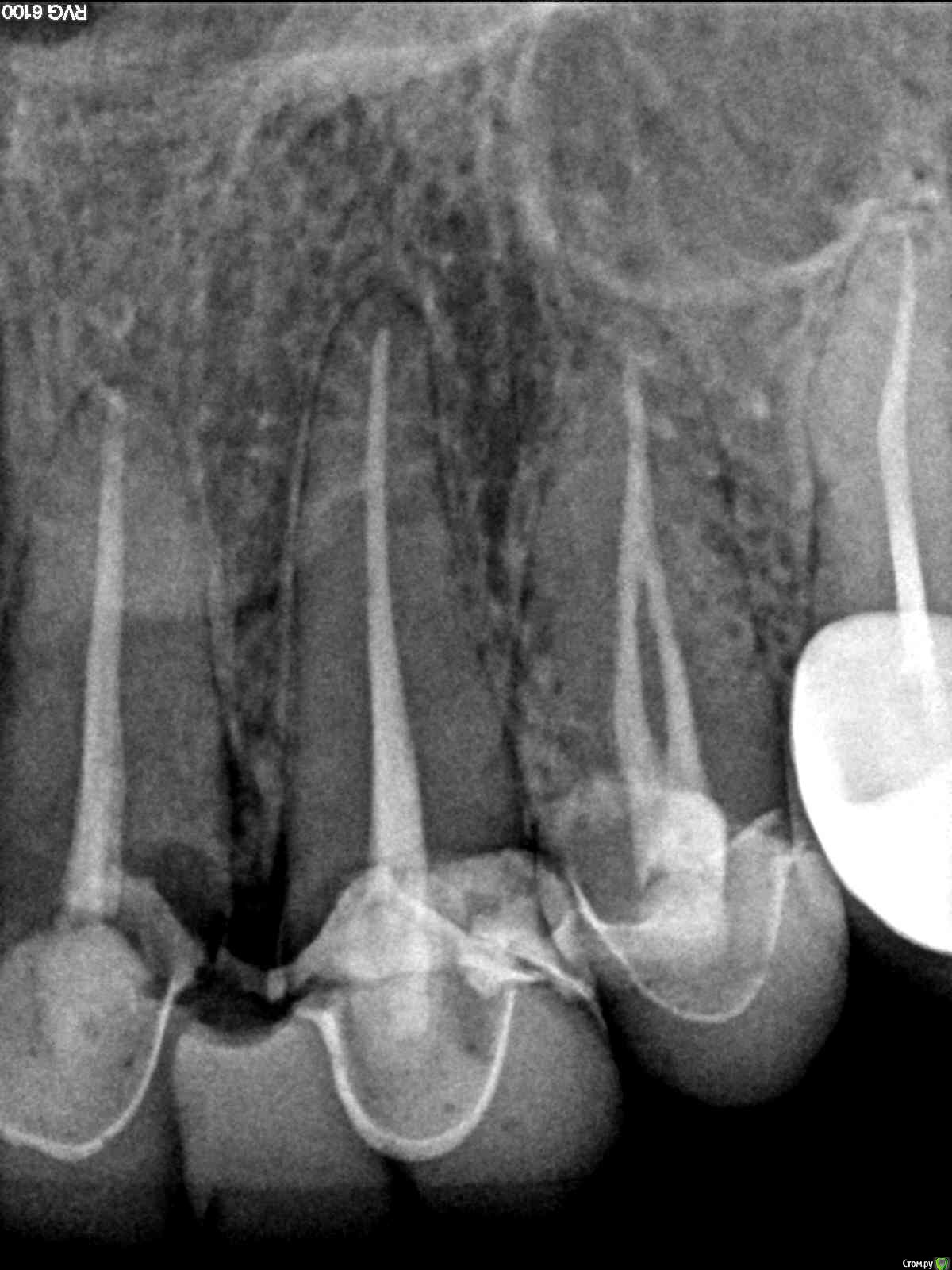
lazzal Опубликовано 29 октября, 2015 Поделиться Опубликовано 29 октября, 2015 (изменено) Уважаемые ортопеды, дайте пожалуйста совет и свои рекомендации. в 2012 г была установлена конструкция на передние верхние зубы из безметалловой керамики. 2 мини моста резец-клык справа и слева. устанавливались на свои абсолютно здоровые зубы, предварительно депульпированные, так сделать предложил врач, чтоб была типа "голливудская улыбка". у меня от природы отсутствовали двойки с обоих сторон, правда зазор был не большой, но все равно смотрелось не очень, клыки сразу бросались в глаза. так вот, врач мне сказал, что конструкция прослужит 20 лет, а у меня через 2,5 года начались проблемы. начали чернеть кромки вдоль конструкции с внутренней стороны. терапевт диагностировал кариес. ортопед сказал снимать не надо, можно их изнутри немного сточить, пролечить кариес и запломбировать. так и сделала. но пломбы теперь вылетают каждые 3-4 месяца. врач который лечит, сделал снимки и сказал, что там с правой стороны между резцом и клыком гниет корень и надо конструкцию снимать, а то потеряем корень. мой ортопед же говорит, что все нормально - пусть стоят, надо лучше пломбировать. снимать я сама не хочу конечно. но корень дороже. кто из них прав и что мне делать? еще сложность в том, что конструкция похоже крепится на какой-то супер клей и просто так ее сбить или спилить не получится (проговорился мой ортопед). я не представляю как это все может выглядеть, стешут по самые десны и сделают вкладки? очень бы этого не хотелось, т.к. хотелось бы этот вариант оставить про запас, т.к. потом, если что случись - олько имплантация и то, если это будет возможно. Посмотрите снимки и подскажите, что можно сделать им почему такой короткий срок службы? как смог развиться кариес? Так же прилагаю и панорамный снимок, возможно вы увидите и укажете мне на еще какие-то проблемы с зубами или деснами, на которые стоит обратить внимание. С уважением и благодарностью, я. Изменено 29 октября, 2015 пользователем lazzal Ссылка на комментарий
carloss Опубликовано 29 октября, 2015 Поделиться Опубликовано 29 октября, 2015 (изменено) Не факт, что все зубы, после снятия коронок можно будет оставить, но чем скорее вы это сделаете, тем больше шансов сохранить максимальное число зубов. И в плане имплантации, и будущей эстетики, тоже важно поторопиться, чтобы не так сложно, долго и дорого, было с костью и с десной. Потемнения десны из-за проблем с краевым прилеганием(точностью коронок). В норме этого не должно быть даже спустя годы, особенно на безметалловой керамике. Но у вас есть проблемы и похуже. И похоже ваш терапевт был прав - про то, что корень сгниёт. И не на одном, а на большинстве зубов. Изменено 29 октября, 2015 пользователем carloss 2 Ссылка на комментарий
Larnary Опубликовано 29 октября, 2015 Поделиться Опубликовано 29 октября, 2015 Карлосс все сказал.Я только добавлю,что речь идет не только о мостах на переднюю группу зубов верхней челюсти,но и о мостах на нижней челюсти. Ссылка на комментарий
M@estro Опубликовано 29 октября, 2015 Поделиться Опубликовано 29 октября, 2015 Ситуация серьёзная,нужен отличный Врач,у зубов это будет последнее протезирование. P.s. отличный дешёвым не будет. Ссылка на комментарий
lazzal Опубликовано 29 октября, 2015 Автор Поделиться Опубликовано 29 октября, 2015 carloss, Larnary, Огромное Вам спасибо за ответ. Сказать что я в шоке - ничего не сказать. Я просто убита. Всему протезированию всего 5 лет. После этого протезирования через 2,5 года у меня действительно сгнил верхний зуб под коронкой. когда коронка стала немного подвижна я сразу сказала своему ортодонту, на что он ответил - не выдумывай, это нормальная подвижность зубов. так я проходила пол года, потом все-таки стала настаивать, сказала, что не слезу с кресла, пока он не УВИДИТ этого. со второго раза - увидел, снял мост, оказалось зуб сгнил и он его сразу под удаление, т.к. лечит сказал дорого, долго и хватит его потом только на пол года. сейчас расцементировался мост с левой стороны нижний (ближе к центру, начала опухать десна, тоже ходила так около полу года, он говорил, что десны слабые - полоскай. теперь увидел минимальную подвижность моста и записал меня на 10 сбивать мост. Я не представляю КАК найти хорошего ортопеда в Москве. этого посоветовала знакомая, которая работает зубным техником у него, говорит он врач от бога. я видела у него на стене пару сертификатов, тем более работает он в поликлинике РОСИМУЩЕСТВА, я повелась на это, дура и даже больше не с кем не консультировалась. Тем более финансовый вопрос для меня имел тоже большое значение, подруга по знакомству делала мне скидки на сами коронки, т.к. сама их делала. Сейчас искать нового ортопеда - это же как лотерея, а опыты на себе ставить уже просто нет возможности, надо спасать то, что осталось. Возможно ли все это привести в порядок? я прям плачу сижу. Ссылка на комментарий
lazzal Опубликовано 29 октября, 2015 Автор Поделиться Опубликовано 29 октября, 2015 Депульпировали все абсолютно здоровые зубы верхней челюсти и половину здоровых зубов нижней. и всего 5 лет службы. Я НЕ ВЕРЮ! ТАК НЕ БЫВАЕТ! Ссылка на комментарий
carloss Опубликовано 29 октября, 2015 Поделиться Опубликовано 29 октября, 2015 Представлял, как вы расстроитесь, после того как узнаете какая на самом деле ситуация. Но лучше узнать об этом сейчас. Всё можно будет постепенно решить, главное двигаться в правильном направлении. В утешении - ситуация как у вас, далеко не редкость. Ну и то, что я часто говорю пациентам после таких грустных консультаций(и с чем они часто не согласны) - слава богу, зубы не самое важное для здоровья и на сегодня практически полностью восстанавливаемы(и эстетически, и функционально), в отличии от большинства других органов и систем. 5 Ссылка на комментарий
Larnary Опубликовано 29 октября, 2015 Поделиться Опубликовано 29 октября, 2015 (изменено) Есть ли у Вас возможность съездить в Питер? Там работают Carloss,Bobby,Bier-это все врачи от Бога! Им можно смело доверять.но как уже написал Maestro,отличный план от отличного врача дешего стоить не будет.Для многих Ваших зубов это будет уже последним протезированием... Изменено 29 октября, 2015 пользователем Larnary Ссылка на комментарий
carloss Опубликовано 29 октября, 2015 Поделиться Опубликовано 29 октября, 2015 (изменено) Я тут видел комментарии вроде хорошего врача терапевта и по моему отдельно хирург из Серпухова. Думаю всё таки делать лучше рядом. Да и Москва-Питер дороговато будет. Изменено 29 октября, 2015 пользователем carloss Ссылка на комментарий
lazzal Опубликовано 29 октября, 2015 Автор Поделиться Опубликовано 29 октября, 2015 Larnary, я за здоровыми зубами хоть на северный полюс поеду, просто после этого протезирования я вообще боялась куда-то далеко от этой клиники уезжать. была возможность пару раз сменить пмж, и работать в турцию уехать. но с зубами каждые 4 месяца неприятности случались. и я каждый раз очень остро реагировала, плакала. думала, что теперь и не переедешь - я навсегда привязана к своему ортопеду и терапевту. мрази просто (извиняюсь за выражение). напишите мне хотя бы ориентировочно цену вопроса, хоть к чему готовиться. бывают ведь и рассрочки, наверное и кредиты. скажите, мне ехать к своему ортопеду снимать нижний мост СЛЕВА, он расцементировался на крайнем зубе ближе к центру. он назначил мне прием на 10 число, сказал, что собьет и поставит заново. или не стоит. может там имеются какие-то проблемы, которые мешают сразу его обратно цементировать до их решения. или сразу и с этой проблемой к новому ортопеду? и еще - Вы пишете - это будет ПОСЛЕДНЕЕ ваше протезирование. но имплантация-то возможна, при наличии средств хоть на все зубы, которые выпадут? или нет? буду тогда усиленно работать не зная ни сна и ни отдыха. Ссылка на комментарий
lazzal Опубликовано 29 октября, 2015 Автор Поделиться Опубликовано 29 октября, 2015 Я тут видел комментарии вроде хорошего врача терапевта и по моему отдельно хирурга. Думаю всё таки делать лучше рядом. Да и Москва-Питер дороговато будет. carloss, умоляю, поделитесь со мной контактами. и мне нужен не хороший, а отличный - ВОЛШЕБНИК Ссылка на комментарий
lazzal Опубликовано 29 октября, 2015 Автор Поделиться Опубликовано 29 октября, 2015 (изменено) Предлагали в Турцию гест-релейшен, из-за возможных проблем с зубами побоялась. теперь наверно опять придется долго дома сидеть, с пустым беззубым ртом, когда все это снимут, меня вообще никуда не возьмут. обидно, при такой красивой внешности. как долго в такой ситуации без зубов ходят? год? а кость не уходит без нагрузки? и десны не проседают? Изменено 29 октября, 2015 пользователем lazzal Ссылка на комментарий
carloss Опубликовано 29 октября, 2015 Поделиться Опубликовано 29 октября, 2015 Простите, не помню ников, но помню, что название города проскальзывало. Попробуйте в разделе посоветуйте терапевта и тд в городе Н Ссылка на комментарий
carloss Опубликовано 29 октября, 2015 Поделиться Опубликовано 29 октября, 2015 Можно сделать симпатичные временные коронки длительного ношения.Успокойтесь. Всё потихоньку будет)) Ссылка на комментарий
lazzal Опубликовано 29 октября, 2015 Автор Поделиться Опубликовано 29 октября, 2015 carloss, мне Серпухов совсем не подходит. тут я обошла все что можно. у нас периферия, тут слово безметалловая керамика вгоняет в шок всех поголовно. мне до Москвы 1,5 часа езды. я же к прежнему ортопеду в Москву ездила. Вы сами в Москве принимаете? Скажите, сколько примерно это будет мне стоить у Вас в клинике? чтоб весь этот ужас привести в порядок? я не хочу остаться в 30 лет без зубов. Ваши ответы вызывают уверенность в Вашем профессионализме, что Вы знаете, как надо наилучшим образом. У Вас в клиниках наверное, высший ценовой сегмент, мне это наверно будет сложно, Вы общаетесь со многими ортопедами по долгу службы, дружбы или профессиональных интересов, помогите мне пожалуйста. Посоветуйте кого-нибудь к кому мне можно обратиться, за кого можете поручиться не из премиум сегмента, а эконом или среднего. Вы моя последняя надежда. не оставьте утопающего. Буду Вам всю жизнь благодарна! Ссылка на комментарий
lazzal Опубликовано 29 октября, 2015 Автор Поделиться Опубликовано 29 октября, 2015 ПОВТОРНО: "ехать ли мне к своему ортопеду снимать нижний мост СЛЕВА, он расцементировался на крайнем зубе ближе к центру. он назначил мне прием на 10 число, сказал, что собьет и поставит заново. или не стоит. может там имеются какие-то проблемы, которые мешают сразу его обратно цементировать до их решения. или сразу и с этой проблемой к новому ортопеду? надо решать. или там проблем нет - можно сбивать и вновь ставить?" Ссылка на комментарий
carloss Опубликовано 29 октября, 2015 Поделиться Опубликовано 29 октября, 2015 Если остро не болит, то не стоит к прежнему ортопеду. Постарайтесь поскорее попасть к новому и начните с того, что беспокоит. 1 Ссылка на комментарий
lazzal Опубликовано 30 октября, 2015 Автор Поделиться Опубликовано 30 октября, 2015 Посмотрите пожалуйста в каком состоянии зуб под коронкой, возможно ли его спасти? Ссылка на комментарий
Bier Опубликовано 30 октября, 2015 Поделиться Опубликовано 30 октября, 2015 В плачевном состоянии, его сохранение под вопросом 1 Ссылка на комментарий
Рекомендуемые сообщения
Для публикации сообщений создайте учётную запись или авторизуйтесь
Вы должны быть пользователем, чтобы оставить комментарий
Создать аккаунт
Зарегистрируйте новый аккаунт в нашем сообществе. Это очень просто!
Регистрация нового пользователяВойти
Уже есть аккаунт? Войти в систему.
Войти