Популярный пост Kolchanov Опубликовано 17 октября, 2015 Популярный пост Поделиться Опубликовано 17 октября, 2015 А то ж.па выходит обычно. Было увлекся молдингом инжектным в один цвет. Редкостная муть. Нет, Паскалю В. с Д. Кларком оно может и нормально... http://s010.radikal.ru/i314/1510/1d/c845153dcd32.jpghttp://s019.radikal.ru/i617/1510/bd/3441b1f7ea9d.jpghttp://s017.radikal.ru/i425/1510/fe/6d04ef63debf.jpghttp://s009.radikal.ru/i309/1510/1d/b801c73e8859.jpghttp://s011.radikal.ru/i315/1510/68/c6da03bbc75d.jpg Через пару днейhttp://s019.radikal.ru/i616/1510/11/b82dd262d291.jpg Потом еще убожества всякого накидаю 35 Ссылка на комментарий
sydnik Опубликовано 17 октября, 2015 Поделиться Опубликовано 17 октября, 2015 на 3-ем снимке идея Ваша или подсмотрели у кого? Ссылка на комментарий
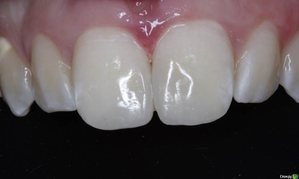
Vladimirov Опубликовано 17 октября, 2015 Поделиться Опубликовано 17 октября, 2015 Колчанов люто плюсую за третье фото А реставрация очень хорошая 1 Ссылка на комментарий
Чертков Александр Опубликовано 17 октября, 2015 Поделиться Опубликовано 17 октября, 2015 Костя, отлично! Ссылка на комментарий
Kolchanov Опубликовано 17 октября, 2015 Автор Поделиться Опубликовано 17 октября, 2015 на 3-ем снимке идея Ваша или подсмотрели у кого? На фейсбуке видел. Такими соплями там любят матрицы оттягивать. Ссылка на комментарий
Stomart Опубликовано 17 октября, 2015 Поделиться Опубликовано 17 октября, 2015 На фейсбуке видел. Такими соплями там любят матрицы оттягивать. На сопли больше материала уходит чем на пломбу Ссылка на комментарий
Kolchanov Опубликовано 17 октября, 2015 Автор Поделиться Опубликовано 17 октября, 2015 Просроченный дешевый текучий. Не жалко. Обычного композита просроченного просто жуть сколько! Скоро памятник-статую на могилку делать начну. В натуральную величину. 1 Ссылка на комментарий
Сева северный Опубликовано 17 октября, 2015 Поделиться Опубликовано 17 октября, 2015 +1 .За то что сам собой доволен. А то меня перфекционизм задолбал.... то микротекстуры нет, то переконтурировал 1 1 Ссылка на комментарий
Kolchanov Опубликовано 17 октября, 2015 Автор Поделиться Опубликовано 17 октября, 2015 Я о таких вещах даже и не мечтаю. Микротекстуры.... В макроцвет бы попасть и то хорошо! 1 Ссылка на комментарий
Сева северный Опубликовано 17 октября, 2015 Поделиться Опубликовано 17 октября, 2015 из последнего переконтурировал....... 9 Ссылка на комментарий
diesel87 Опубликовано 17 октября, 2015 Поделиться Опубликовано 17 октября, 2015 из последнего переконтурировал.......Даааа, косяк знатный!( Ссылка на комментарий
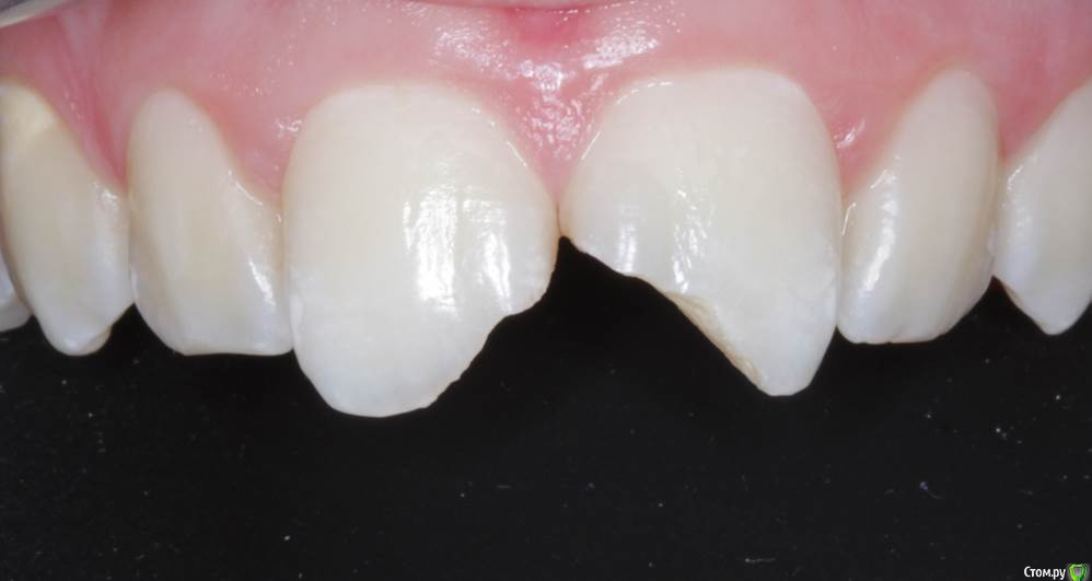
Kolchanov Опубликовано 17 октября, 2015 Автор Поделиться Опубликовано 17 октября, 2015 ЗдОрово!А у меня как сквозной дефект во фронте приходит, так большое желание сплавить этого пациента кому-нибудь. Вначале я думал, что меня спасут японцы с их хамелеонистым Эстелайтом. Фокус не удался. Пломбы были, как бельмо на глазу. Потом, значит, вернулся к филтеку, но все делал одним цветом body. На таких, опаковых зубах, монохромных, без всяких прозрачностей прокатывает. Но на цветастых опять беда. Вернулся обратно к филтеку же, но с эмалями. Получается один раз на 10 зубов. Вот в ГОСке была штучка - Composite химический. Всем этим гражданам из сообщества bioclear matrix и не снилось... молдинг-шмолдинг! Одной порцией зафигачишь, кат бэк потом, как станок с ЧПУ Честное слово, одним цветом любой зуб и всегда в тему. Полируется плохо, но пац языком лизнет и ничего, блестит! Жалко фоток нет. 1 Ссылка на комментарий
Каплан Опубликовано 17 октября, 2015 Поделиться Опубликовано 17 октября, 2015 Костя, зачет. особенно 5ка за контакт! у меня вон вообще таких работ штук 20 за 5 лет. и не могу сказать что все хорошо Ссылка на комментарий
Сева северный Опубликовано 17 октября, 2015 Поделиться Опубликовано 17 октября, 2015 ЗдОрово!А у меня как сквозной дефект во фронте приходит, так большое желание сплавить этого пациента кому-нибудь. Вначале я думал, что меня спасут японцы с их хамелеонистым Эстелайтом. Фокус не удался. Пломбы были, как бельмо на глазу. Потом, значит, вернулся к филтеку, но все делал одним цветом body. На таких, опаковых зубах, монохромных, без всяких прозрачностей прокатывает. Но на цветастых опять беда. Вернулся обратно к филтеку же, но с эмалями. Получается один раз на 10 зубов. Вот в ГОСке была штучка - Composite химический. Всем этим гражданам из сообщества bioclear matrix и не снилось... молдинг-шмолдинг! Одной порцией зафигачишь, кат бэк потом, как станок с ЧПУ Честное слово, одним цветом любой зуб и всегда в тему. Полируется плохо, но пац языком лизнет и ничего, блестит! Жалко фоток нет.Надо разобраться в слоях...Снимая слой за слоем, искусство раздевает жизнь донага. Р. МузельСЛОИ. Атлас послойных композитных реставрацийАвтор : Йорди Манаута / Анна Салат РЕКОМЕНДУЮ...... 2 Ссылка на комментарий
Kolchanov Опубликовано 17 октября, 2015 Автор Поделиться Опубликовано 17 октября, 2015 Полистал. Голова распухла. Как мне представляется, все это цветоощущение просто должно быть. Вот как картины писать. Один пейзаж маслом сможет изобразить, а второй и план эвакуации из собственного сортира не нарисует. 11 Ссылка на комментарий
Каплан Опубликовано 17 октября, 2015 Поделиться Опубликовано 17 октября, 2015 СЛОИ хорошая книга. но все равно есть нюансы по каждому материалу. многое зависит от него и от техники... 1 Ссылка на комментарий
Сева северный Опубликовано 17 октября, 2015 Поделиться Опубликовано 17 октября, 2015 Глаза боятся... руки делают . 2 Ссылка на комментарий
Kolchanov Опубликовано 17 октября, 2015 Автор Поделиться Опубликовано 17 октября, 2015 Они и делают... Куда деваться? Глаза бы не видели! 1 Ссылка на комментарий
Чертков Александр Опубликовано 19 октября, 2015 Поделиться Опубликовано 19 октября, 2015 одним цветом body Костя, body от Filteka фтопку! Работай дентинами и эмалями - результаты совершенно другие. ...я уже и не помню когда body в руки брал... Ссылка на комментарий
Kolchanov Опубликовано 19 октября, 2015 Автор Поделиться Опубликовано 19 октября, 2015 Стайлитальянскую методику имеешь ввиду? Что-то мне их 0.5 мм эмали не нравятся. Я не представляю как там можно так выложить. Даже с их чудо-юдо инструментами. Один раз диском чирикнул и все. Ссылка на комментарий
Чертков Александр Опубликовано 19 октября, 2015 Поделиться Опубликовано 19 октября, 2015 Стайлитальянскую методику имеешь ввиду? Я ее не знаю. Ориентируюсь на толщину естественных дентина-эмали...да и оттенков то много не надо..DA3, DA4, EA2, EA3, EB1...ну и лайнеры Flow. Самый популярный у меня А3,5 Ссылка на комментарий
Kolchanov Опубликовано 19 октября, 2015 Автор Поделиться Опубликовано 19 октября, 2015 Попробую. Ссылка на комментарий
Гарриевич Опубликовано 19 октября, 2015 Поделиться Опубликовано 19 октября, 2015 Колчанов, достойно! Ссылка на комментарий
diesel87 Опубликовано 19 октября, 2015 Поделиться Опубликовано 19 октября, 2015 Я ее не знаю. Ориентируюсь на толщину естественных дентина-эмали...да и оттенков то много не надо..DA3, DA4, EA2, EA3, EB1...ну и лайнеры Flow. Самый популярный у меня А3,5А каким материалом пользуешься? Ссылка на комментарий
Петрович Опубликовано 20 октября, 2015 Поделиться Опубликовано 20 октября, 2015 1 из 10 удачно... А как пациенту в глаза смотрите. Я не смотрю. И свет выключаю. И неприятно неудобно. Ссылка на комментарий
Рекомендуемые сообщения
Для публикации сообщений создайте учётную запись или авторизуйтесь
Вы должны быть пользователем, чтобы оставить комментарий
Создать аккаунт
Зарегистрируйте новый аккаунт в нашем сообществе. Это очень просто!
Регистрация нового пользователяВойти
Уже есть аккаунт? Войти в систему.
Войти