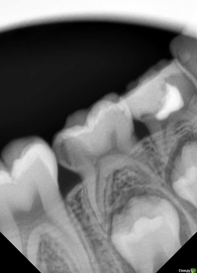
anytka Опубликовано 14 октября, 2015 Поделиться Опубликовано 14 октября, 2015 (изменено) 1.6 направила на удаления т.к вижу на снимке трещину между щечным кормить хирург сказал лечить. Толи он не видит. Толи я вижу что то не то. Просто получить так. Что снимок сделали у нам в поликлинике. А хирург у нас в отпуске. И я отправила в другую стоматологию на удаления к хирургу. Тот вызвал детского стоматолога, и терапевта и они пришли к мнению что надо лечить т.к ребёнок удалять жалко. Девочке 15 лет. А лечить они вернулись ко мне почему-то Изменено 14 октября, 2015 пользователем anytka Ссылка на комментарий
anytka Опубликовано 14 октября, 2015 Автор Поделиться Опубликовано 14 октября, 2015 (изменено) http://s1.radikale.ru/uploads/2015/10/14/85c3c5f214a914064daf4f595b7509c6-full.jpg дом 2 новости и слухи Изменено 14 октября, 2015 пользователем anytka Ссылка на комментарий
сирена Опубликовано 14 октября, 2015 Поделиться Опубликовано 14 октября, 2015 В расширенной форме есть функция:прикрепить файл Ссылка на комментарий
red_butler Опубликовано 14 октября, 2015 Поделиться Опубликовано 14 октября, 2015 А как снимок прикрепитьзалейте на радикал и скопируйте вторую ссылку в сообщение. Ссылка на комментарий
Kolchanov Опубликовано 14 октября, 2015 Поделиться Опубликовано 14 октября, 2015 Это классическая история.Когда я в ГОСке хотел чтобы удалили зуб, который безусловно уже надо удалять, то удалял весь кариес дотла. Если и после этих манипуляций могли остаться какие-то сомнения, то, порой, находил и перфорацию, и трещину и т.д. Ну, вы понимаете.... 4 Ссылка на комментарий
Бардо Опубликовано 15 октября, 2015 Поделиться Опубликовано 15 октября, 2015 то удалял весь кариес дотла +100500, та же история. Ссылка на комментарий
Shargik Опубликовано 15 октября, 2015 Поделиться Опубликовано 15 октября, 2015 Ага, тоже так делаю, и самому спокойнее.. Ссылка на комментарий
CRAZYDUCK Опубликовано 15 октября, 2015 Поделиться Опубликовано 15 октября, 2015 (изменено) 1.6 направила на удаления т.к вижу на снимке трещину между щечным кормить хирург сказал лечить. Толи он не видит. Толи я вижу что то не то. Просто получить так. Что снимок сделали у нам в поликлинике. А хирург у нас в отпуске. И я отправила в другую стоматологию на удаления к хирургу. Тот вызвал детского стоматолога, и терапевта и они пришли к мнению что надо лечить т.к ребёнок удалять жалко. Девочке 15 лет. А лечить они вернулись ко мне почему-тоНу , если им ЖАЛЬ, то пусть в той клинике детский стоматолог и лечит, скажите, что у Вас нет методик, позволяющих спасти этот зуб. Не знаю всей картины, но родителям почему-то не жаль было своего ребенка , раз уж до такого довели... Изменено 15 октября, 2015 пользователем CRAZYDUCK 5 Ссылка на комментарий
shevchenko.dr Опубликовано 11 ноября, 2015 Поделиться Опубликовано 11 ноября, 2015 при таком разрушении 16 - надо удалять. потом ортодонтически возможно сдвинуть 17 и 18 "на один вперед". и будут полноценные зубы вместо безнадежного шестого. возможно в будущем и без имплантации обойдется! 1 Ссылка на комментарий
CRAZYDUCK Опубликовано 11 ноября, 2015 Поделиться Опубликовано 11 ноября, 2015 Только 18 нет скорее всего , в таком возрасте он бы уже опустился ,ну хотя бы до уровня шейки 1.7 зуба Ссылка на комментарий
Доктор Саша Опубликовано 12 ноября, 2015 Поделиться Опубликовано 12 ноября, 2015 Удалять Ссылка на комментарий
Доктор Саша Опубликовано 12 ноября, 2015 Поделиться Опубликовано 12 ноября, 2015 Ребенку 4,5. Мама просит эстетику. Что делать? Помогите советом. Ссылка на комментарий
CRAZYDUCK Опубликовано 12 ноября, 2015 Поделиться Опубликовано 12 ноября, 2015 (изменено) Ребенку 4,5. Мама просит эстетику. Что делать? Помогите советом.Как ребенок относится к лечению, спокойный, контактный? Если да , то нет проблем .Сначала снимок ,но лечить нужно будет скорее всего с экстирпацией пульпы во всех резцах, пломбирование каналов ЦОЭ или метапекс( но от метапекса чуть пожелтеют).Реставрация дефектов - в идеале коронки ( типа НУ смайл, но это я мечтаю , можно и композитом , только предупредите о возможных сколах при приеме жесткой пищи.( Ктя Геранина описывала в одной теме как изготавливает такие реставрации , укрепляя их стекловолокном), я и просто восстанавливаю, но бывает скалываются.Если дите неконтактное, то тоже самое лечение, толькл с седацией или наркозом. Если опыта лечения еще нет , то лучше каки-нибудь другие зубки полечить сначала, на резцы анестезия все равно чувствуется Изменено 12 ноября, 2015 пользователем CRAZYDUCK 1 Ссылка на комментарий
Джима Опубликовано 13 ноября, 2015 Поделиться Опубликовано 13 ноября, 2015 Доктор Саша, а чего это Вы вдруг совета спрашиваете, вроде ж ничё сложного Согласна, что первый раз в жизни лучше лечить не это, а это - лучше на сладкое оставить. Кстати, в чём дитё вымазано, в пасте? Знакомились - гигиену делали? Здесь можно бы непрямым путём, снять частичный оттиск прям с того, что есть, подготовить композитные колпачки из того же эстелайта, чтоб не мучиться на месте с контактами и моделировкой, а в следующее посещение пусть мама смотивирует, чтоб ребёнок шёл "за красивыми белыми зубками" - заморозить всё наглухо (это ж один раз! самый последний, можно инфильтрацию начинать сканданестом от 54 и потихоньку "подползти" артикаином к фронту, если дитё очень нежное), эндо, где надо, нить ретракционную, и на жидкотекучий колпачки. Думаю, управитесь за полтора часа со всеми заморозками и полировками с перерывами на поговорить, отдохнуть, рассмотреть и т.п. 1 Ссылка на комментарий
Доктор Саша Опубликовано 14 ноября, 2015 Поделиться Опубликовано 14 ноября, 2015 Доктор Саша, а чего это Вы вдруг совета спрашиваете, вроде ж ничё сложного Согласна, что первый раз в жизни лучше лечить не это, а это - лучше на сладкое оставить. Кстати, в чём дитё вымазано, в пасте? Знакомились - гигиену делали? Здесь можно бы непрямым путём, снять частичный оттиск прям с того, что есть, подготовить композитные колпачки из того же эстелайта, чтоб не мучиться на месте с контактами и моделировкой, а в следующее посещение пусть мама смотивирует, чтоб ребёнок шёл "за красивыми белыми зубками" - заморозить всё наглухо (это ж один раз! самый последний, можно инфильтрацию начинать сканданестом от 54 и потихоньку "подползти" артикаином к фронту, если дитё очень нежное), эндо, где надо, нить ретракционную, и на жидкотекучий колпачки. Думаю, управитесь за полтора часа со всеми заморозками и полировками с перерывами на поговорить, отдохнуть, рассмотреть и т.п. Паста полировочная сделал последний моляр... Отвалится непрямой метод. Коронка у нас стоит нью смайл 7 килорублей. Мама не соглашается... Эндо надо полюбому делать Ссылка на комментарий
Джима Опубликовано 14 ноября, 2015 Поделиться Опубликовано 14 ноября, 2015 Паста полировочная сделал последний молярто есть ребёнок уже с опытом лечения. Спокойно сидит? Отвалится непрямой метод.а почему отвалится-то?.. Ссылка на комментарий
Доктор Саша Опубликовано 14 ноября, 2015 Поделиться Опубликовано 14 ноября, 2015 то есть ребёнок уже с опытом лечения. Спокойно сидит? а почему отвалится-то?..Потому что ребя активный чел... Не сидит на месте. Может что-то другое есть? Ссылка на комментарий
Джима Опубликовано 14 ноября, 2015 Поделиться Опубликовано 14 ноября, 2015 Потому что ребя активный чел... Не сидит на месте. Может что-то другое есть?так в том и смысл, чтоб быстро сделать длинную работу активному ребёнку. в первое посещение оттиск, перед этим, если всё будет эндо, режущие края стесать и боковые стенки, там, где эмаль целая. Чтоб восстанавливать потом не на всю высоту. Если глубоко резцы смыкаются, тогда ещё окклюзионные точки по копирке стесать.Потом в спокойном одиночестве сделали модельку из супергипса, сделали тоненькие невысокие свободные короночки из композита. В руках и делать быстрее и легче, и усадка под контролем.Потом во рту анестезия, препарирование всего плохого + всего, что может мешать сажать работу, эндодоступ вестибулярно, по очереди все депульпировали-промыли-эндовак-метапекс-ионосит, потом нити, помыли-посушили и меряем коронки. Если и придётся что-то подгонять, то совсем граммульку, а скорее всего и не придётся. Если прям ну очень активный и неуёмный, можно зеркало дать в руки, чтоб смотрел и контролировал, а взамен взять клятву молчать и замереть. Коффер я бы тут, честно говоря, не ставила. Протравка-бонд-потушили свет-все четыре на жидкотекучий надели-лишнее зондом убрали-всё отсветили со всех сторон-полировка-сняли нити-полировка. Благодаря тому, что одной порцией с конденсацией под колпачком вносится жидкий, усадка будет минимальной и как бы обжимающей, слоёв, считай, всего два (жидкий+коронка), так что ничего не сколется, если не будет гвозди грызть. А если и подколется чуть-чуть со временем, отремонтировать легко. И если уж совсем так уж думать, то прямая реставрация сколется тогда ещё быстрее, да и НьюСмайл отвалится с тем же успехом А нового-другого я ничего не знаю 2 Ссылка на комментарий
Brigita Опубликовано 15 ноября, 2015 Поделиться Опубликовано 15 ноября, 2015 Потом в спокойном одиночестве сделали модельку из супергипса, сделали тоненькие невысокие свободные короночки из композита. В руках и делать быстрее и легче, и усадка под контролем. Джимма, спасибо за такой подробный рассказ, обязательно воспользуюсь.расскажите пож-та технически чуть подробнее про коронки из композита - изолаком модель покрывать надо, я смогу их потом спокойно снять?По поводу одеть тоже вопрос - если много уберу при эндо - обжимание не получится - удобно внутрь композит положить или лучше на зуб? Или просто жидкотекучим.Просто гипсом не хорошо выйдет- крошится или прилипнет? Спасибо еще раз Ссылка на комментарий
Джима Опубликовано 17 ноября, 2015 Поделиться Опубликовано 17 ноября, 2015 изолаком модель покрывать надо, я смогу их потом спокойно снять? надо. Можно жидким силиконом. предварительно залить поднутрения - чем не жалко. мне тут ст. медсестра пыталась втюхать какой-то лайнер вместо ионосита, чёт он доверия у меня не вызвал. вот его мне не жалко По поводу одеть тоже вопрос - если много уберу при эндо - обжимание не получится - удобно внутрь композит положить или лучше на зуб? Или просто жидкотекучим.Ну смотрите сами по ситуации. Надо ж, чтоб насквозь всё засветилось. Про жидкий Эстелайт нам настойчиво рассказывали, что у него очень низкая усадка, и им можно работать практически как пастой, а у пасты-эстелайта она чуть ли не нулевая. Вообще смысл в том, что это как стрип-коронка, только её убирать не надо. Если сильно выпукло получается, можно сошлифовать в конце. Просто гипсом не хорошо выйдет- крошится или прилипнет?Вот щас озадачили... Я на автомате написала "супергипс", имея в виду гладкую крепкую модельку. А теперь сижу и соображаю: это раньше мне техник из супера отливал. А сейчас я на свои нужды у начальника-ортопеда из мешка гипса отсыпала - это не супергипс, но и не то белое пачкающееся безобразие, а что-то голубое, очень прочное и гладкое. Кажется, не наше, название не помню. Гипсов много сейчас разных, разные классы, я в этом не разбираюсь, честно. Лучше техников спросите. 1 Ссылка на комментарий
Brigita Опубликовано 17 ноября, 2015 Поделиться Опубликовано 17 ноября, 2015 Джима,спасибо,Вы кладезь 3 Ссылка на комментарий
CRAZYDUCK Опубликовано 30 марта, 2016 Поделиться Опубликовано 30 марта, 2016 Для Тани Ссылка на комментарий
Джима Опубликовано 31 марта, 2016 Поделиться Опубликовано 31 марта, 2016 в личке Ссылка на комментарий
CRAZYDUCK Опубликовано 3 апреля, 2016 Поделиться Опубликовано 3 апреля, 2016 Метапекс 1 Ссылка на комментарий
crown Опубликовано 4 апреля, 2016 Поделиться Опубликовано 4 апреля, 2016 Эндометазоном кто нибудь пломбирует молочные? Ссылка на комментарий
Рекомендуемые сообщения
Для публикации сообщений создайте учётную запись или авторизуйтесь
Вы должны быть пользователем, чтобы оставить комментарий
Создать аккаунт
Зарегистрируйте новый аккаунт в нашем сообществе. Это очень просто!
Регистрация нового пользователяВойти
Уже есть аккаунт? Войти в систему.
Войти