Перейти к содержанию
Стоматология для всех

Резекция 21 зуба


Рекомендуемые сообщения

Добрый день, уважаемые специалисты. Прошу Вашего совета. 4 года назад на десне образовалась шишечка, рентген показал наличие кисты в области 21 (между 21 и 22) депульпированного зуба, киста была пролечена терапевтическим методом, позже была произведена реставрация зуба и установлен свш. Недавно на небе и десне опять образовались уплотнения. Уплотнение на небе очень болезненное, начались небольшие боли. Рентген опять показал наличие кисты, сделано кт - дыра в челюсти. Депульпировали 22й зуб и пропила антибиотики 5 дней, чтобы снять воспаление и сделать резекцию. Уплотнения после антибиотиков сдулись. Провели резекцию 8 дней назад, по словам доктора небной стенки в области больного зуба не осталось, заложили в дыру костный материал биос 0,5 гр., подпилили корень, убрали обнаруженный пломбировочный материал, пломбирование канала по обоюдному согласию с врачами не проводили. 22й зуб не трогали. Меня беспокоят несколько моментов:

1. под носом имеется небольшое уплотнение, которое не понравилось врачу на осмотре, вероятнее всего это из за застоя крови и если так и будет продолжаться, то возможно инфицирование, назначили антибиотики. Подскажите, чем это грозит? Шов немного кровит.

2. после резекции уплотнения на небе и десне появились опять, после того как с лица отек спал вроде уменьшились, но не до конца, это в пределах нормы?

3. беспокоят ощущения в 21й зубе, даже не знаю как их описать: он какой то как не свой, его будто распирает, такие ощущения у меня были до резекции и появились после операции по вечерам, а последние два дня держаться весь день.

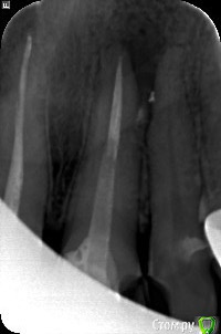
Есть снимок и кт (как его прикладывать правда не знаю). Заранее всем спасибо, может я зря паникую.post-31623-0-45950300-1444599333_thumb.jpeg

Ссылка на комментарий
  • 2 недели спустя...

Уважаемые специалисты, возможно моя тема не такая интересная и животрепещущая, но неужели никто не может прокомментировать мою ситуацию? Я вроде и снимок и кт предоставила (да я понимаю, что без визуального осмотра сложно судить, но тогда так и скажите и тему закроют видимо, или может нужны новые снимки, кт?).

Ps швы сняли через две недели, после антибиотиков уплотнение под носом уменьшилось, но не до конца, мешает и говорить, и улыбаться, при движении ртом отдаёт в носу. В одном месте из шва выходит крошка, как часто не знаю, но не много, по крупице почти каждый день. Мне кажется это все не нормально.

Ссылка на комментарий

Побоялись, что при извлечении штифта треснет корень, или вы про ретроградное пломбирование (хотя если я правильно поняла, то м в этом случае штифт нужно вынимать?). Но я понимаю, что без перепламбировки риск рецедива велик

Ссылка на комментарий

Говорил про ретроградную.

Выложите снимок после резекции. Отсутствие работы ортопедий пломбы это большой минус.

Если Вам нужно досконально разобраться в ситуации обратитесь к другому врачу за консультацией

Ссылка на комментарий

А при ретроградной штифт нужно вынимать? У меня просто от коронки зуба мало что осталось, зуб отреставрирован, на штифте по сути все и держится. Снимок не делали, на днях сделаю и выложу обязательно. На одной консультации мне сказали, что одной из причин, по которым я испытываю неудобства является использование материала Bio-Oss, который якобы в моем случае использовать не стоило. он мог он инфицироваться и поэтому выходит. Это возможно? То есть это отторжение?

Изменено пользователем Vilka
Ссылка на комментарий

инфицирование возможно. Отсутствие снимка непосредственно  после операции по резекции не есть хорошо. Опишите симптоматику до резекции

Ссылка на комментарий

В августе в области 22 зуба появилось какое то "сжатие зубов", при пропускании воздуха через них чувствовалась небольшая глухая боль, в течение недели все прошло, через 1,5 месяца появились болевые ощущения со стороны неба, если надавить языком (в проекции корня как мне объяснили), позже на десне со стороны губы между 21 и 22 образовалось уплотнение, гной не выходил. И 21й зуб как будто вырос. Ноющие боли.

Снимок врач собирался сделать сразу, рентген кабинет был занят, сказал, что сделаем через неделю, а позже сказал, что пока смысла делать нет -:( хотя ч переспрашивала

Ссылка на комментарий

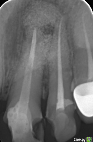
Прикладываю снимок после резекции, сегодня была на консультации у другого специалиста, сказал, что мало прошло времени для беспокойства. Но он не работал с биос материалом и опыта по проведению резекций у него мало.

post-31623-0-71940100-1445705182_thumb.jpeg

Ссылка на комментарий

Сделайте прицельный снимок или новую КТ, выкладывайте и будем смотреть

Уважаемый Гарриевич :-) (извините, не знаю как к Вам обратиться), не могли бы вы посмотреть снимок? В ближайшее время я буду встречаться с доктором, проводившим резекцию, хотелось бы до встречи понять как обстоит дело (все плохо или жить буду :-)) и какой тактики, по вашему мнению, дальше придерживаться. Заранее спасибо и если, что извините за назойливость. Изменено пользователем Vilka
Ссылка на комментарий

Тактику стоило выбрать изначально другую, но даже в вашем случае не смертельно. Время прошло действительно мало, возможно правильным решением будут регулярные осмотры у доктора, в динамике будет видно. На счёт ощущения крошек и прочего подсказать сложно.

Ссылка на комментарий

Тактику стоило выбрать изначально другую, но даже в вашем случае не смертельно. Время прошло действительно мало, возможно правильным решением будут регулярные осмотры у доктора, в динамике будет видно. На счёт ощущения крошек и прочего подсказать сложно.

Спасибо большое!! Подожду ещё немного, но мне кажется изменений не будет, поэтому придётся переделать все у другого специалиста, с ретроградной пломбировкой (если ещё не поздно). Как вариант мне предложили убрать биос и сделать плазмолифтинг, но прочитав тут на форуме кое что об этом даже не знаю поможет это или нет.

Ссылка на комментарий

Для публикации сообщений создайте учётную запись или авторизуйтесь

Вы должны быть пользователем, чтобы оставить комментарий

Создать аккаунт

Зарегистрируйте новый аккаунт в нашем сообществе. Это очень просто!

Регистрация нового пользователя

Войти

Уже есть аккаунт? Войти в систему.

Войти
×
×
  • Создать...
Вверх