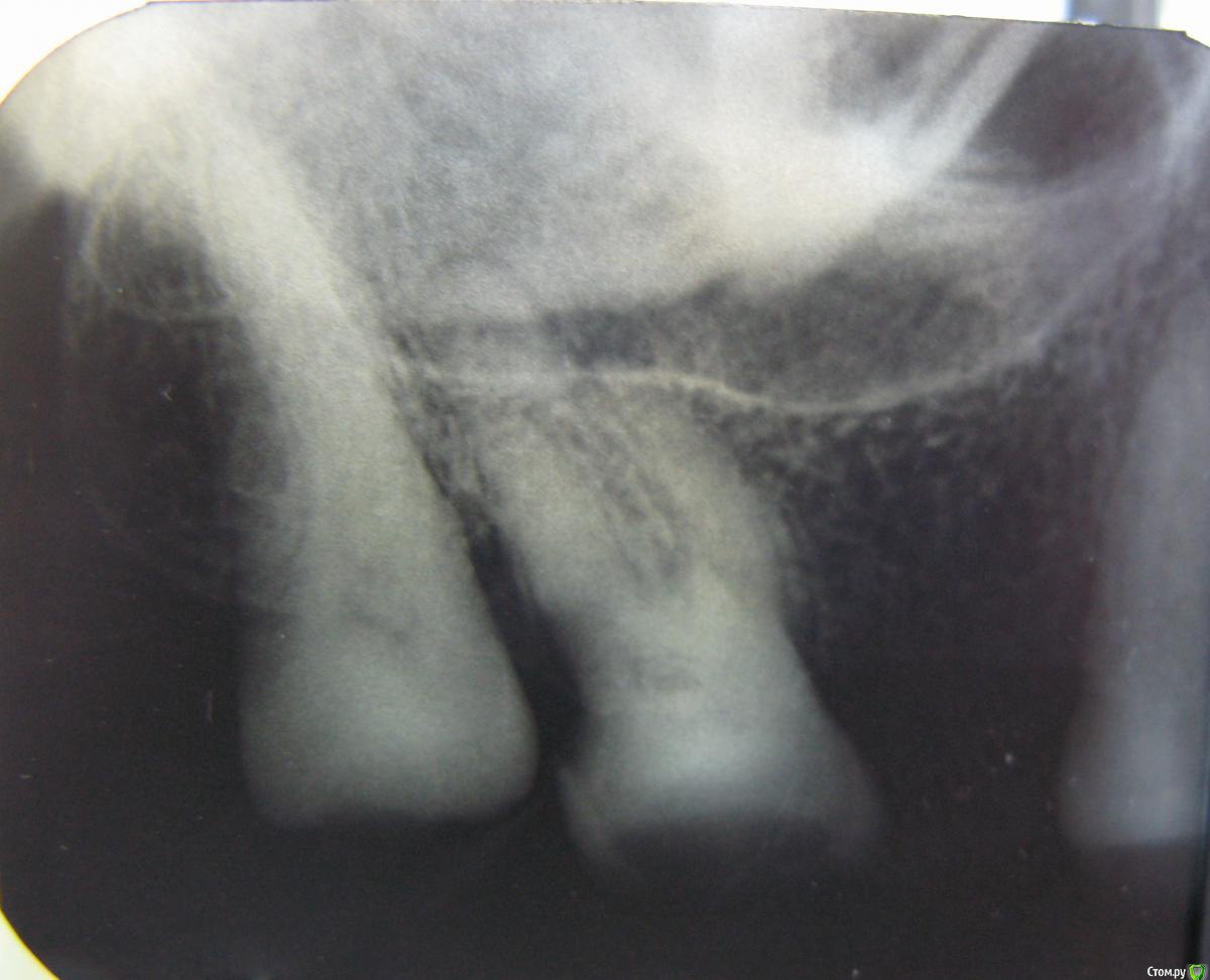
vica17 Опубликовано 11 октября, 2015 Поделиться Опубликовано 11 октября, 2015 (изменено) Добрый день.Прошу специалистов проконсультировать по 27-му зубу.Два месяца назад пошла к доктору для лечения, поставлен был пульпит, зуб рассверлен, установлено, что нервы уже мертвые (был большой многолетний карман со стороны 28 зуба), по запаху доктор определил воспалительный процесс, чистились каналы, заложено лекарство (какое - не знаю). Затем через две недели открыли каналы и установили, что в небном канале есть еще воспаление, при прочистке этого канала было больно и ощущение укола, поставлена временная пломба на 1 месяц. Это было 18 августа. Через 2 недели начался гайморит, потом ставили синусит, пропила сначала 5 дней Цифран СТ, потом через 2 недели назначили Амоксиклав 625мг 7 дней. Анализы отличные, из носа ничего не текло и не течет. Может синусит и не из-за зуба, хотя раньше никогда таких проблем не было, ЛОР определенно не утверждает ничего. Сейчас осталась небольшая ломота в носу с левой стороны (там где зуб). С зубом теперь не знаю, что делать. Была на консультации в двух клиниках (не там, где лечила). Везде сказали, что кариес не убран "зачем лечили каналы, не убрав кариес?". Рекомендации - одна - удалять, другая - можно попробовать полечить с микроскопом, но без гарантии. Зуб до манипуляций не болел совсем, теперь ощутимо и немного болезнено боковое нажатие, хотя накусывание не больно, жевать им могу нормально. Немного ломит скула, но это может остатки от ринита-синусита.Пожалуйста, посоветуйте, есть ли смысл спасать зуб, или шансов нет?Снимок до начала лечения Снимок после двух чисток каналов, пломба временная Заранее благодарна за консультацию. Изменено 11 октября, 2015 пользователем vica17 Ссылка на комментарий
sydnik Опубликовано 11 октября, 2015 Поделиться Опубликовано 11 октября, 2015 здравствуйте!на обоих снимках каналы не лечены!может перепутали чего! 2 Ссылка на комментарий
vica17 Опубликовано 11 октября, 2015 Автор Поделиться Опубликовано 11 октября, 2015 здравствуйте!на обоих снимках каналы не лечены!может перепутали чего!Нет не перепутала, чистили 2 раза, положили лекарство, но не пломбироали еще. Из-за синусита остановилась в лечении. Ссылка на комментарий
vica17 Опубликовано 11 октября, 2015 Автор Поделиться Опубликовано 11 октября, 2015 Наверное я неправильно указала, каналы два раза чистили, но не пломбировали окончательно. Сейчас временная пломба и кариес остлся, как и был с самого начала. Не знаю что теперь с этим делать. Ссылка на комментарий
Л Ю С Я Опубликовано 11 октября, 2015 Поделиться Опубликовано 11 октября, 2015 Если хотите сохранить зуб 2.7: Удалите 2.8Сделайте снимок 3D( компьютерная томограмма)Лечитесь у специалиста, использующего в работе увеличение. Перед лечением каналов доктор должен обязательно убрать кариесПосле успешного лечения защитите зуб коронкой 1 Ссылка на комментарий
Рекомендуемые сообщения
Для публикации сообщений создайте учётную запись или авторизуйтесь
Вы должны быть пользователем, чтобы оставить комментарий
Создать аккаунт
Зарегистрируйте новый аккаунт в нашем сообществе. Это очень просто!
Регистрация нового пользователяВойти
Уже есть аккаунт? Войти в систему.
Войти