Peda Опубликовано 21 сентября, 2015 Поделиться Опубликовано 21 сентября, 2015 Добрый день!В мае 2014 обратился с острой болью шестерки в случайную частную клинику. Было проведено лечение в несколько приемов:1. удаление нервов, положили лекарство, 2. положили снова лекарство 3. запломбировали каналы и поставили пломбу, Лечение было проведено без рентгена!!!Спустя полтора года световая пломба потеряла внешний вид. Придя к своему постоянному лечащему врачу сделали рентген было обнаружено много недостатков. Каналы запломбированы не до конца и один или 2 из 3 вовсе не запломбированы.Вобщем нужно все переделывать, стоит вопрос о установке коронки или вовсе имплантант так как судя по рентгену пломба расположена близко к костной ткани.Я хочу предъявить претензию о некачественном лечении тому доктору где был депульпирован зуб, но на руках у меня ничего нет.Квитанцию с ценой написанную от руки я выкинул так как гарантия кончилась.На приеме врач заносил данные в карту. Но я сомневаюсь что он просто так даст копию. А в случае возможного суда просто ее уничтожит.Посоветуйте пожалуйста как можно поступить в данном случае? Ссылка на комментарий
art700 Опубликовано 21 сентября, 2015 Поделиться Опубликовано 21 сентября, 2015 Спустя полтора года?Боюсь, что никак. 2 Ссылка на комментарий
Большой Зеленый Опубликовано 21 сентября, 2015 Поделиться Опубликовано 21 сентября, 2015 Уже никак. За полтора года вы могли его лечить раз 10 в разных местах. 5 Ссылка на комментарий
red_butler Опубликовано 21 сентября, 2015 Поделиться Опубликовано 21 сентября, 2015 Rg покажете? 2 Ссылка на комментарий
diesel87 Опубликовано 22 сентября, 2015 Поделиться Опубликовано 22 сентября, 2015 Бесполезная трата времени и денег. Снимка до/после лечения этого зуба нет ни у врача ни у вас, за 1,5 и правда вы могли его еще пару раз пролечить где-то его. Ссылка на комментарий
Peda Опубликовано 23 сентября, 2015 Автор Поделиться Опубликовано 23 сентября, 2015 Rg покажете?на руках пока есть только панорамный снимок.Когда пойду вскрывать все это дело то попрошу.Не совсем понятно как тогда себя застраховывать в таких случаях? Составлять договори на каждое лечение? Делать снимок до и после лечения?Заодно хотел спросить гарантия при лечении действует на зуб или пломбу? Если у человека был пришеечный кариес но спустя пару недель месяцев появилась боль и нужно уже депульпировать зуб то чья это ошибка? Ссылка на комментарий
St. Опубликовано 23 сентября, 2015 Поделиться Опубликовано 23 сентября, 2015 В идеале искать доктора по рекомендациям. Снимки до и после лечения каналов - входят в обязательный протокол работы. По поводу боли после пломб - бывает по-разному. Это может быть от некачественной пломбы, и тогда это недостаток работы доктора. А бывает, что это пограничное состояние, когда очень глубокий кариес и не понятно воспален нерв или нет. Поэтому начинают лечение с наиболее простого (т.е. пломбы) и потом за зубом наблюдают. если разболелся - убирают нервы. В таком случае никто не виноват. Ссылка на комментарий
Peda Опубликовано 30 сентября, 2015 Автор Поделиться Опубликовано 30 сентября, 2015 (изменено) Сегодня вскрыли этот зуб.Там стояла какая то вонючая пломба.Врач сказала что между корнями очень тонкое дно и первый врач видимо понял, что сделал что то не так поставил под пломбу лекарство.3 канал долго не могли найти и инструмент все время попадал в старое отверстие в итоге у меня теперь перфорация в стенке.В итоге сказали что зуб очень проблемный и на него нельзя одевать коронку.Можно только поставить пломбу и следить за ним.Как я понял что самое страшное это слабое дно между корнями по снимку 0.4мм и есть риск что треснет по середине.У меня вопросы 1. На сколько страшна перфорация?2. Что я почувствую если зуб треснет между корнями и чем это грозит для кости и соседних зубов. Смысл вопроса в том сколько смогу проходить с "убитым зубом" до удаления для имплантации. 3.Сколько обычно держаться такие зубы. Понимаю, что я опять без снимка и ответ дать нельзя, но примерно хочется знать. Может люди еще 5 лет с таким живут?4.Врач сказала что существует неких метод, что оставляют один корень и на него одевают коронку. Что за метод, хочется почитать. Насколько он подходит для жевательных зубов в моем случае 6 ки. Изменено 30 сентября, 2015 пользователем Peda Ссылка на комментарий
red_butler Опубликовано 30 сентября, 2015 Поделиться Опубликовано 30 сентября, 2015 У меня вопросы для ответов нужны объективные данные - http://forum.stom.ru/topic/20613-sovety-patcientam-obiazatelno-k-prochteniiu/ 1 Ссылка на комментарий
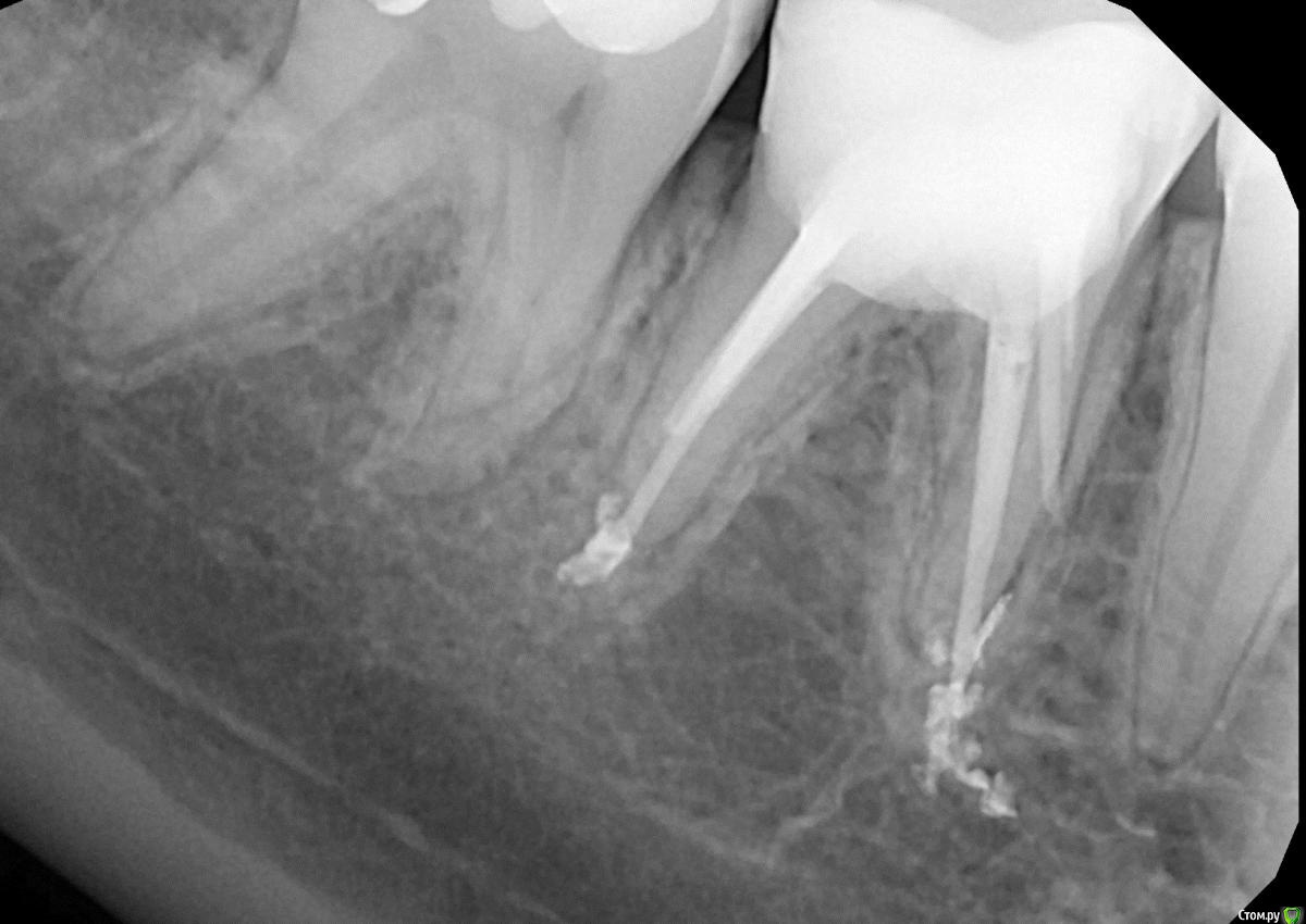
Peda Опубликовано 29 октября, 2015 Автор Поделиться Опубликовано 29 октября, 2015 Прошу оценить качество лечения Ссылка на комментарий
red_butler Опубликовано 30 октября, 2015 Поделиться Опубликовано 30 октября, 2015 Отпустите горемыку. 1 Ссылка на комментарий
сирена Опубликовано 30 октября, 2015 Поделиться Опубликовано 30 октября, 2015 К качеству лечения есть вопросы,но никакой катастрофы не вижу.Если не беспокоит,пусть стоИт,может и больше пяти лет протянет(раз в год желательно прицельный снимок делать).Если треснет,почувствуете боль при накусывании.Сможете показать снимок ДО перелечивания?Очень интересно. Ссылка на комментарий
Peda Опубликовано 2 ноября, 2015 Автор Поделиться Опубликовано 2 ноября, 2015 Похоже он того...Сначала пульсировал изнутри, а потом стал побаливать при нажатии языком и при надкусывание еды, например хлеба. Причем то болит сильнее, то не очень. Вобщем глупая затея была. Заплатил в 2 раза больше чем в первый раз и одни мучения. Гарантии нет, а эксперимент не удался. Даже месяца без проблем не простоял.Вот снимок до, качество плохое так как фотографировал с пленки. Ссылка на комментарий
сирена Опубликовано 3 ноября, 2015 Поделиться Опубликовано 3 ноября, 2015 Спасибо.Не столько там проблем,сколько было критики.Ну,если беспокоит,ничего не попишешь - удаляйте. Ссылка на комментарий
Peda Опубликовано 16 января, 2016 Автор Поделиться Опубликовано 16 января, 2016 Если кому интересно...Фото спустя 3 месяца после перфорации.Неприятные ощущения прошли, зуб ощущается как свой, а не инородное тело.Вроде воспаления на снимке нет?!http://s019.radikal.ru/i623/1601/79/b905a1798917.jpg Ссылка на комментарий
Zlata-doctor Опубликовано 20 января, 2016 Поделиться Опубликовано 20 января, 2016 За три месяца скорее всего и не будет изменений.Могу порекомендовать повторить рентген через год, а в дальнейшем делать раз в год-два снимок ( при отсутствии симптомов воспаления). И действовать по ситуации. В данный момент ваш асимптоматичный зуб с удовлетворительной рентгенологической картиной срочного удаления не требует. 1 Ссылка на комментарий
Рекомендуемые сообщения
Для публикации сообщений создайте учётную запись или авторизуйтесь
Вы должны быть пользователем, чтобы оставить комментарий
Создать аккаунт
Зарегистрируйте новый аккаунт в нашем сообществе. Это очень просто!
Регистрация нового пользователяВойти
Уже есть аккаунт? Войти в систему.
Войти