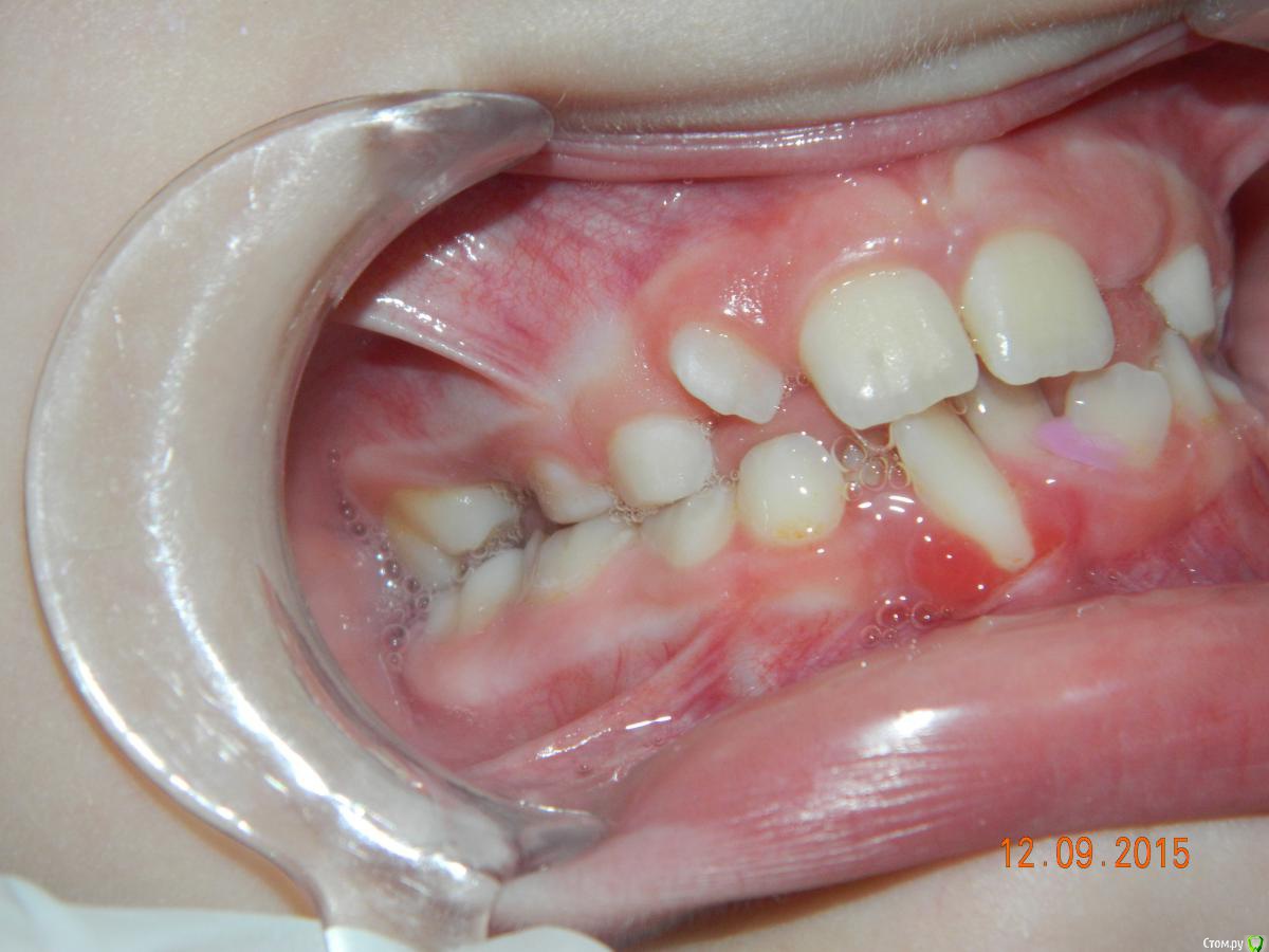
yakinanata Опубликовано 15 сентября, 2015 Поделиться Опубликовано 15 сентября, 2015 Добрый день. У девочки 7 лет в области 41 зуба рецессия десны, десна гиперемирована, гипертрофирована (как "цветочек"), болезненная, зуб интактный, неподвижный. Обратились за ортодонтической помощью, так-как выраженная скученность передних верхних и нижних зубов. Хотят выровнять зубы, так-как считают, что воспаление десны от скученности. Есть вредная привычка грызть карандаши, ручки. Попросила показать, кусает на 31, и мама говорит, что "вроде бы грызет с другой стороны". Девочку беспокоит это давно, лечение никакое не проводили. Ранее травмы не было. Позже принесут ОПТГ, может что-то там будет интересное?Буквально за день до них лечила мальчика 6 лет и заметила у него похожую картину. Рецессия десны в области 41, слизистая бледно розовая. Зуб 41 подивжен 1 степени, имеется гипоплазия на вестибулярной поверхности. Между 41 и 31 диастема, 82 зуб отсутствует, этот 41 зуб как-бы "одинокий такой, без поддержки". Ранее была травма 81, после которой началась рецессия и зуб удалили. Снимок сделать не удалось и фото тоже. Мне интересно, сталкивался кто-нибудь с этим? каковы возможные причины? лечение? Начинать ли ортолечение? Планировала трейнер, боюсь, десне это не понравится. Ссылка на комментарий
CRAZYDUCK Опубликовано 15 сентября, 2015 Поделиться Опубликовано 15 сентября, 2015 (изменено) Это U-образный гингивит, характерен для деток подросткового возраста, вечером подробнее напишу , что знаю. Не нашла лекций этих , нашла только локализованный пародонтит v образный , помню что причины -те же , что Вы указали (вредные привычки , дефицит места ,плохая гигиена, гормональные изменения ).лечение десны симпоматическое ,чтобы убрать воспаление , потом ортодонтия . Изменено 15 сентября, 2015 пользователем CRAZYDUCK 2 Ссылка на комментарий
krokomot Опубликовано 15 сентября, 2015 Поделиться Опубликовано 15 сентября, 2015 Часто встречаю у детей локализованную рецессию но чаще без воспаления, все это из-за мелкого предверья или тяжей лечение убрать воспаление лечить хирургически. 2 Ссылка на комментарий
yakinanata Опубликовано 16 сентября, 2015 Автор Поделиться Опубликовано 16 сентября, 2015 Хирургически углублять преддверие или делать пластику десны? Ссылка на комментарий
krokomot Опубликовано 16 сентября, 2015 Поделиться Опубликовано 16 сентября, 2015 Лучше обойтись пластикой. Ссылка на комментарий
Рекомендуемые сообщения
Для публикации сообщений создайте учётную запись или авторизуйтесь
Вы должны быть пользователем, чтобы оставить комментарий
Создать аккаунт
Зарегистрируйте новый аккаунт в нашем сообществе. Это очень просто!
Регистрация нового пользователяВойти
Уже есть аккаунт? Войти в систему.
Войти