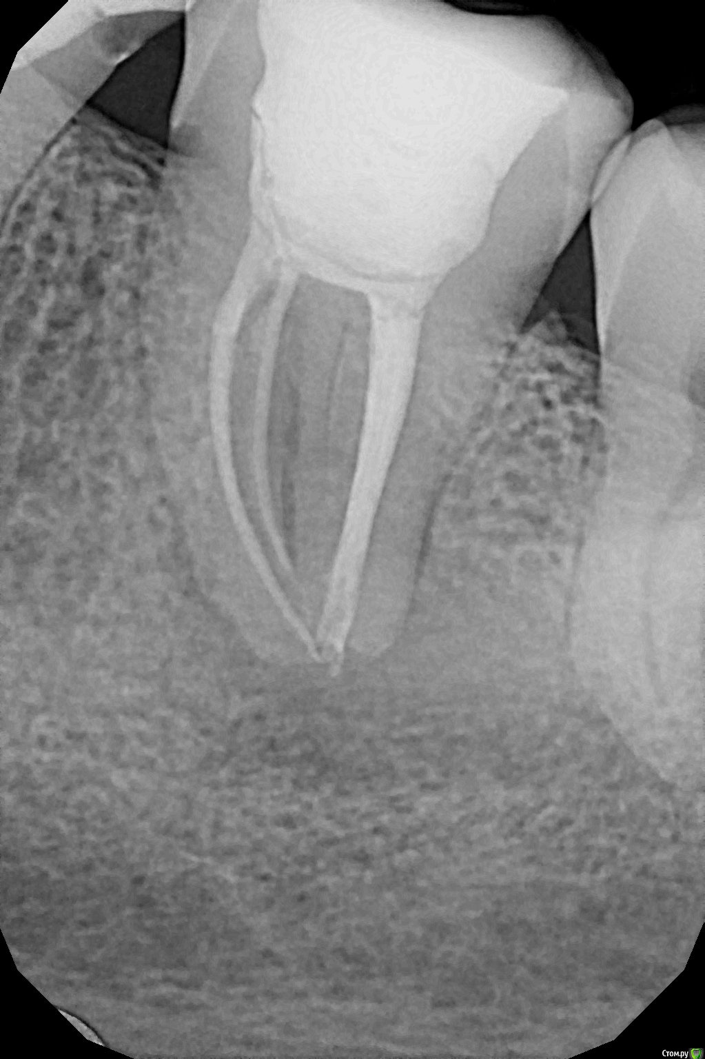
Chef Опубликовано 11 сентября, 2015 Поделиться Опубликовано 11 сентября, 2015 При осмотре у стоматолога (частный кабинет у дома) обнаружился свищ с внешней стороны десны у нижней семерки слева (37 ?), сделали снимки, на нём гранулема или киста у леченого ранее зуба.Из свищевого хода при надавливании выходит гной, а так зуб не как не беспокоит.Она предложила удалить зуб.Да еще и напугала, что при есть вероятность задеть общий нерв и в результате получить онемение части лица (?). Меня как-то всё это смутило... Я пошел в другую клинику проконсультироваться, там сказали, что можно попробовать перелечить проблемный зуб, но гарантии 50/50, что смущает, хотелось бы более уверенный прогноз результата.Там у них нет микроскопа и врача работающего с ним, эдодонтиста, просто терапевт общей практики.Я не решился на лечение у них. Подскажите, можно этот зуб вылечить? Снимки выкладываю. Ссылка на комментарий
St. Опубликовано 11 сентября, 2015 Поделиться Опубликовано 11 сентября, 2015 3.6 и 3.7(второй и третий с конца) перелечить и коронки. 100% гарантии на повторное лечение каналов не бывает в принципе, и вобщем-то микроскоп - штука нужная и полезная, но далеко не панацея. 3 Ссылка на комментарий
Chef Опубликовано 12 сентября, 2015 Автор Поделиться Опубликовано 12 сентября, 2015 А без коронок не как не обойтись? Я понимаю, что у меня на этих зубах сплошные пломбы, от зубов только корни да стенки, но к коронкам как то с подозрением отношусь. Ссылка на комментарий
red_butler Опубликовано 12 сентября, 2015 Поделиться Опубликовано 12 сентября, 2015 А без коронок не как не обойтись? Нет Ссылка на комментарий
St. Опубликовано 14 сентября, 2015 Поделиться Опубликовано 14 сентября, 2015 к коронкам как то с подозрением отношусь. коронки - это не больно, не страшно, и даже полезно) Ссылка на комментарий
Chef Опубликовано 15 сентября, 2015 Автор Поделиться Опубликовано 15 сентября, 2015 Спасибо! Да, видимо без коронок не обойтись.Буду искать специалиста, не каждый готов браться за лечение (уверен в своих силах). Ссылка на комментарий
St. Опубликовано 15 сентября, 2015 Поделиться Опубликовано 15 сентября, 2015 (изменено) Удачи!Здесь, кстати, на форуме можно спросить в разделе посоветуйте врача. Изменено 15 сентября, 2015 пользователем St. 2 Ссылка на комментарий
Рекомендуемые сообщения
Для публикации сообщений создайте учётную запись или авторизуйтесь
Вы должны быть пользователем, чтобы оставить комментарий
Создать аккаунт
Зарегистрируйте новый аккаунт в нашем сообществе. Это очень просто!
Регистрация нового пользователяВойти
Уже есть аккаунт? Войти в систему.
Войти