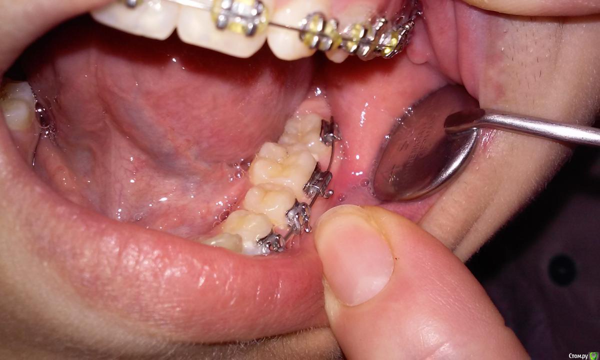
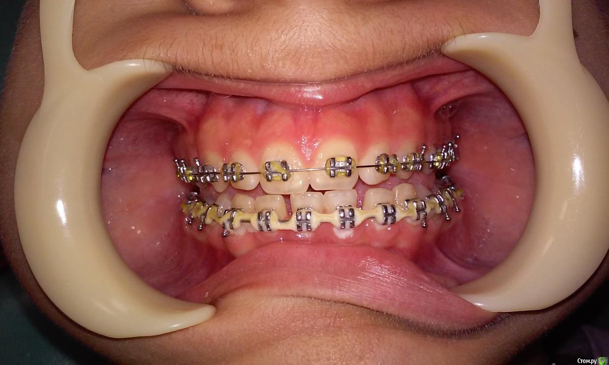
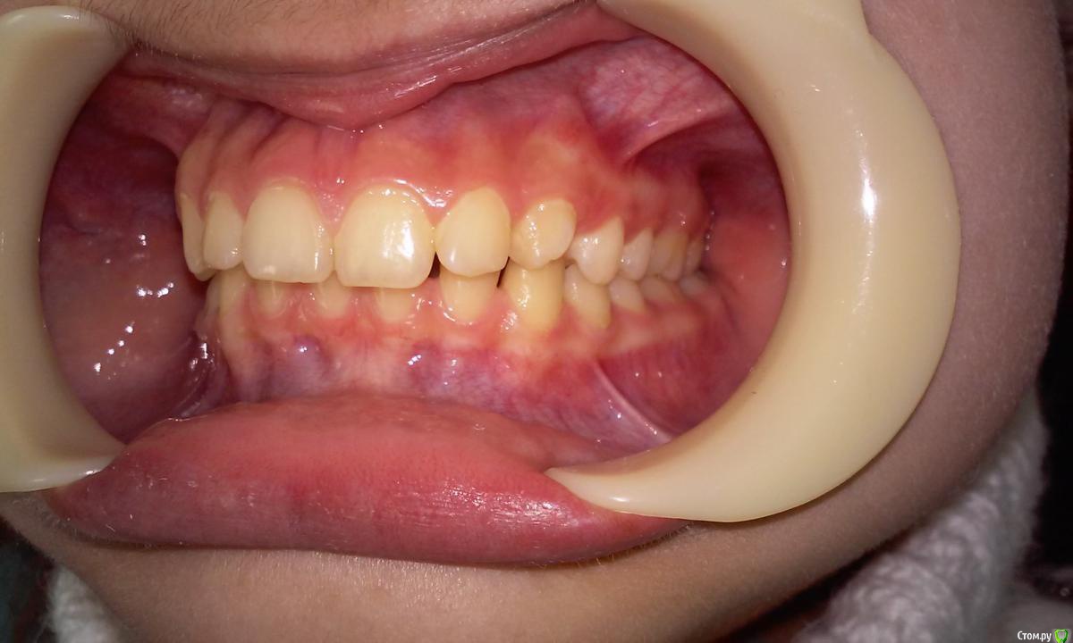
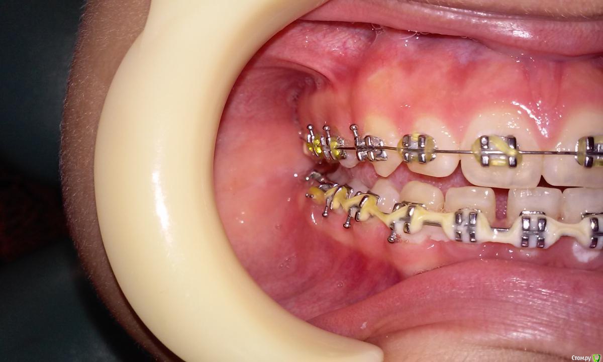
natkoorth1991 Опубликовано 4 сентября, 2015 Поделиться Опубликовано 4 сентября, 2015 Фото допациентка,15 лет, были жалобы на повернутый клык, диастемы и тремы на н/Ч. Пациентке сделали накусочную площадку, ходила 2.5 месяца. После каникул пришла и я ужаснулась :кусает в прямом прикусе, центральная линия сместилась, лицо напряженное( однако челюсь может сместить в прежнее положение, тогда линия совпадает), еще смущают заваленные лингвально 37 и 47. С накусочной использовала реверсионные (сейчас низ 16 *16)Фото после: Подскажите пожалуйста, как вести дальше (свести нижние резцы, может эластики по 3 классу?) и как поступить с тремами на в/ч? Ссылка на комментарий
Yana guapa Опубликовано 4 сентября, 2015 Поделиться Опубликовано 4 сентября, 2015 1. снимки.2. а чего ужаснулись то? не понятно. ведь она могла закрыть и в прежнем положении. 3. 7-ки станут ровно позже4. с чейном на весь зубной ряд получите эффект волны. усугубите ситуацию. 1 Ссылка на комментарий
natkoorth1991 Опубликовано 5 сентября, 2015 Автор Поделиться Опубликовано 5 сентября, 2015 снимок , как всегда , сделан не был. Сейчас не знаю: если на трг отправить, она выдвинет н/ч в прямой прикус, это будет искажением результата?мысли такие: стянуть нижние резцы-клыки, а потом эластики по третьему классу, возможно трема вверху и закроется? с реверсионной на н/ч можно уже заканчивать? , (нижние шестые хорошо выдвинулись), накусочную сняла. там еще верхние шестые ротированы, когда накусочную делали , не обратила внимание. не знаю: ротировать верхние моляры на дуге можно или нужно небный бюгель делать?) ЕЕ отец тоже брекеты хотел, с целю выровнять и зашинировать , они копия.его на трг вчера отправила. можно ли по его трг предположить , что у нее аналогичная ситуация?Спасибо. Ссылка на комментарий
Maverick Опубликовано 5 сентября, 2015 Поделиться Опубликовано 5 сентября, 2015 (изменено) Прямой прикус это даже хорошо относительно. Так как все равно будет рецидив, и все вернется на круги своя, но уже с меньшим сагиттальным дефицитом. Обычно при втором классе даже рекомендуют совершать over correction edge to edge. Так что волноваться не надо. Заявленные семерки можно будет исправить cross эластиками, либо на начальных дугах, либо позже на прямоугольных. Тремы закрывают на жестких полноразмерных дугах и центр поставите на них, чейны применять на легких дугах не желательно, пойдет наклон , roller effect , вам по этому поводу выше сказали. Реверсионные дуги вообще нежелательно применять, они столько негатива несут, чем пользы, хотя избирательно можно редко и метко, и недолго. Ваша задача дойти до полных дуг, выровнить зубные ряды и потом уже работать спокойно на эластиках, чейнах, закрывать промежутки и перемещать зубы. Проблема тут не серьезная. По поводу ТРГ снимок надо делать в максимально удобной позиции нижней челюсти для пациента. Накусочная стояла не долго поэтому пока мышечной памяти так таковой не сформировалось, обычно на это уходит больше полугода. Изменено 5 сентября, 2015 пользователем Maverick Ссылка на комментарий
natkoorth1991 Опубликовано 5 сентября, 2015 Автор Поделиться Опубликовано 5 сентября, 2015 Сейчас верх 16*22(вчера поставила), клык тоже вроде в дуге, а сколько по времени нужно ходить на 16*22, чтоб отработать торк и перейти на 19*25 в этой ситуации? вы всегда на стальных дугах заканчиваете и на каких? сейчас верхняя дуга в трубки влезла с большим трудом-можно ли на дугах моляры развернуть или силы будет не достаточно? Значит, с нижней реверсионной уже можно уходить и тоже ставит 16*22?)СПАСИБО! Ссылка на комментарий
Maverick Опубликовано 5 сентября, 2015 Поделиться Опубликовано 5 сентября, 2015 Сейчас верх 16*22(вчера поставила), клык тоже вроде в дуге, а сколько по времени нужно ходить на 16*22, чтоб отработать торк и перейти на 19*25 в этой ситуации? вы всегда на стальных дугах заканчиваете и на каких? сейчас верхняя дуга в трубки влезла с большим трудом-можно ли на дугах моляры развернуть или силы будет не достаточно? Значит, с нижней реверсионной уже можно уходить и тоже ставит 16*22?)СПАСИБО!Обычно торк отрабатывают на полноразмерных дугах, так как идет потеря торка. Даже с дугой 19х25 в пазе 22 идет потеря торка порядка 10,5 гр, а то и больше. Поэтому на 16х22 что-то ждать не стоит. Отработают торка занимает порядка 2-3 месяцев. Заканчиваю обычно на разных дугах в зависимости от ситуации, бывает и на круглых дугах приходим к финишу. Выбор дуги довольно относительный момент и надо правильно выбирать. Всем подряд ставить стальную дугу на финише не есть хорошо. Реверс убирайте он не нужен. Кроме протруссии фронта и рецессий ничего хорошего не получите. Ссылка на комментарий
Maverick Опубликовано 5 сентября, 2015 Поделиться Опубликовано 5 сентября, 2015 По поводу моляров надо смотреть, может дуги поставят, может придется подключать эластики. Ссылка на комментарий
natkoorth1991 Опубликовано 5 сентября, 2015 Автор Поделиться Опубликовано 5 сентября, 2015 Спасибо)) Ссылка на комментарий
Yana guapa Опубликовано 5 сентября, 2015 Поделиться Опубликовано 5 сентября, 2015 а с какой целью кольца ставили? чем Вам трубки простые не угодили? чтобы устранить ротацию моляров - надо ечные трубки приклеить правильно или даже с гиперкоррекцией (ближе к мезиальной поеврхности) и вставить, например, хотя бы 016 дугу, затем квадратную и тд. Таким образом развернете моляры. При фиксации колец, к сожалению, сама щечная трубка не всегда в идеальном положении оказывается . 1 Ссылка на комментарий
Yana guapa Опубликовано 5 сентября, 2015 Поделиться Опубликовано 5 сентября, 2015 По поводу моляров надо смотреть, может дуги поставят, может придется подключать эластики.а про какие эластики Вы говорите? в голову приходят только по типу "лассо" при необходимости развернуть зуб вокруг своей оси, например. Про эти? Просто никогда на молярах их не использовала, мне проще замок переклеить. а на премолярах отлично работает. Ссылка на комментарий
Yana guapa Опубликовано 5 сентября, 2015 Поделиться Опубликовано 5 сентября, 2015 Сейчас не знаю: если на трг отправить, она выдвинет н/ч в прямой прикус, это будет искажением результата? Искажением , конечно, будет! Я перед тем как направить ребенка на ТРГ репетирую с ним правильное положение НЧ, показываю в зеркало, как должны быть сомкнуты зубы. Объясняю родителям и на направлении жирным шрифтом написано "в естесственном прикусе с сомкнутыми зубами"! рентгенолог должен проконтролировать. 1 Ссылка на комментарий
Maverick Опубликовано 5 сентября, 2015 Поделиться Опубликовано 5 сентября, 2015 а про какие эластики Вы говорите? в голову приходят только по типу "лассо" при необходимости развернуть зуб вокруг своей оси, например. Про эти? Просто никогда на молярах их не использовала, мне проще замок переклеить. а на премолярах отлично работает. Ой, я вообще о заваленных 7 ках думал, пардон ) Да, проще переклеить брекет, согласен, но можно еще изгиб на дуге сделать как вариант. Ссылка на комментарий
Monkey Опубликовано 6 сентября, 2015 Поделиться Опубликовано 6 сентября, 2015 а про какие эластики Вы говорите? в голову приходят только по типу "лассо" при необходимости развернуть зуб вокруг своей оси, например. Про эти? Просто никогда на молярах их не использовала, мне проще замок переклеить. а на премолярах отлично работает. И не используйте, только время потеряете Ссылка на комментарий
Kazankov.Egor Опубликовано 21 сентября, 2015 Поделиться Опубликовано 21 сентября, 2015 Фото допациентка,15 лет, были жалобы на повернутый клык, диастемы и тремы на н/Ч. Пациентке сделали накусочную площадку, ходила 2.5 месяца. После каникул пришла и я ужаснулась :кусает в прямом прикусе, центральная линия сместилась, лицо напряженное( однако челюсь может сместить в прежнее положение, тогда линия совпадает), еще смущают заваленные лингвально 37 и 47. С накусочной использовала реверсионные (сейчас низ 16 *16)Фото после: Подскажите пожалуйста, как вести дальше (свести нижние резцы, может эластики по 3 классу?) и как поступить с тремами на в/ч?доброй ночи, сейчас в вашем случае главное - остановиться))) челюсти на месте и зубы тоже, все хорошо!)Второе, задайте себе вопрос "что я лечу"? Собственно, что вы лечите? Ссылка на комментарий
Kazankov.Egor Опубликовано 21 сентября, 2015 Поделиться Опубликовано 21 сентября, 2015 Искажением , конечно, будет! Я перед тем как направить ребенка на ТРГ репетирую с ним правильное положение НЧ, показываю в зеркало, как должны быть сомкнуты зубы. Объясняю родителям и на направлении жирным шрифтом написано "в естесственном прикусе с сомкнутыми зубами"! рентгенолог должен проконтролировать. Класс))) Ссылка на комментарий
Kazankov.Egor Опубликовано 21 сентября, 2015 Поделиться Опубликовано 21 сентября, 2015 снимок , как всегда , сделан не был. Сейчас не знаю: если на трг отправить, она выдвинет н/ч в прямой прикус, это будет искажением результата?мысли такие: стянуть нижние резцы-клыки, а потом эластики по третьему классу, возможно трема вверху и закроется? с реверсионной на н/ч можно уже заканчивать? , (нижние шестые хорошо выдвинулись), накусочную сняла. там еще верхние шестые ротированы, когда накусочную делали , не обратила внимание. не знаю: ротировать верхние моляры на дуге можно или нужно небный бюгель делать?) ЕЕ отец тоже брекеты хотел, с целю выровнять и зашинировать , они копия.его на трг вчера отправила. можно ли по его трг предположить , что у нее аналогичная ситуация?Спасибо.Что за паника)Вы все хорошо делаете) не спешите одевать брекеты) сначала диагностика: 1) контрольные модели (анализ) 2)внчс 3) трг (лучше 2: одно с положением челюсти до, второе после, внимание(!): регистратор прикуса (2 шт.), разметка лево-право для 15 лет должна быть понятна. Полный анализ всего (это реально мало), если останутся вопросы, пишите. Ссылка на комментарий
Kazankov.Egor Опубликовано 21 сентября, 2015 Поделиться Опубликовано 21 сентября, 2015 Упс) Дай Бог не сбудется, но:1) несовпадение центров на рабочих дугах 2)бугорковый односторонний контакт 3) разные классы по Энглю на рабочих дугах 4) формирование Перекрестного прикуса при односторонних тягах 5) дисфункция внчс 6) стабильный дебондинг несъемного ретейнера. Задача старших коллег прежде всего заключается в том, чтобы вовремя остановить. 1 Ссылка на комментарий
Yana guapa Опубликовано 22 сентября, 2015 Поделиться Опубликовано 22 сентября, 2015 а с какой целью кольца ставили? чем Вам трубки простые не угодили? чтобы устранить ротацию моляров - надо ечные трубки приклеить правильно или даже с гиперкоррекцией (ближе к мезиальной поеврхности) и вставить, например, хотя бы 016 дугу, затем квадратную и тд. Таким образом развернете моляры. При фиксации колец, к сожалению, сама щечная трубка не всегда в идеальном положении оказывается . Оксана (@CrazyDuck), а ты не согласна ? 1 Ссылка на комментарий
CRAZYDUCK Опубликовано 28 сентября, 2015 Поделиться Опубликовано 28 сентября, 2015 а с какой целью кольца ставили? чем Вам трубки простые не угодили? чтобы устранить ротацию моляров - надо ечные трубки приклеить правильно или даже с гиперкоррекцией (ближе к мезиальной поеврхности) и вставить, например, хотя бы 016 дугу, затем квадратную и тд. Таким образом развернете моляры. При фиксации колец, к сожалению, сама щечная трубка не всегда в идеальном положении оказывается . Нечаянно дислайк поставила это прошу понять и пррростить 1 Ссылка на комментарий
Yana guapa Опубликовано 29 сентября, 2015 Поделиться Опубликовано 29 сентября, 2015 Нечаянно дислайк поставила это прошу понять и пррростить )))))Оксана, к слово про щечные трубки!появились наикрутейшие трубки от ортоклассик!!! не могу нарадоваться! рекомендую! там специальный "зубчик" есть - выступ , который идеально ложится в фиссуру и щечная трубка правильно располагается , внутренняя поверхность такая рефленая- стопроцентная фиксация! я самолиг. беру - сказка!)) 2 Ссылка на комментарий
m.d.n Опубликовано 29 сентября, 2015 Поделиться Опубликовано 29 сентября, 2015 )))))Оксана, к слово про щечные трубки!появились наикрутейшие трубки от ортоклассик!!! не могу нарадоваться! рекомендую! там специальный "зубчик" есть - выступ , который идеально ложится в фиссуру и щечная трубка правильно располагается , внутренняя поверхность такая рефленая- стопроцентная фиксация! я самолиг. беру - сказка!)) Что то я таких у ортогрупп не видел Ссылка на комментарий
Yana guapa Опубликовано 29 сентября, 2015 Поделиться Опубликовано 29 сентября, 2015 Что то я таких у ортогрупп не виделhttp://i11.pixs.ru/storage/8/3/7/lH5EPxbCoK_2075553_18967837.jpghttp://i10.pixs.ru/storage/8/5/6/Mdr_aw5cP4_4646553_18967856.jpg 1 Ссылка на комментарий
Neo-stomatolog Опубликовано 1 октября, 2015 Поделиться Опубликовано 1 октября, 2015 Заваленные 37,47 99.9% из-за реверса, не переживайте на более мощных дугах положение их исправиться) Ссылка на комментарий
Рекомендуемые сообщения
Для публикации сообщений создайте учётную запись или авторизуйтесь
Вы должны быть пользователем, чтобы оставить комментарий
Создать аккаунт
Зарегистрируйте новый аккаунт в нашем сообществе. Это очень просто!
Регистрация нового пользователяВойти
Уже есть аккаунт? Войти в систему.
Войти