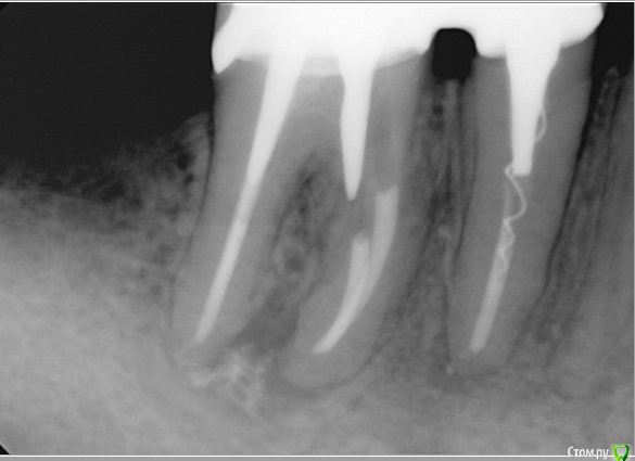
Fred Опубликовано 31 августа, 2015 Поделиться Опубликовано 31 августа, 2015 Похоже, кто-то провалился на этапе ВКВ. Что я найду под ВКВ, если конечно мне получится ее выпилить не убив зуб? http://s13.postimg.org/6n74x8f3b/Untitled_5.jpg 4 Ссылка на комментарий
Kolchanov Опубликовано 31 августа, 2015 Поделиться Опубликовано 31 августа, 2015 Похоже один мой знакомый ортопед на гастроли в Литву выезжал Тоже великий распломбировыватель под вкладки.Бывает еще и пружины подсовывает, негодяй. 4 Ссылка на комментарий
Fred Опубликовано 31 августа, 2015 Автор Поделиться Опубликовано 31 августа, 2015 Сколько времени зубам после эндо и протетики? Ссылка на комментарий
Kolchanov Опубликовано 31 августа, 2015 Поделиться Опубликовано 31 августа, 2015 Месяцев 7 или 8. Тут описание - http://forum.stom.ru/topic/21885-endosvalka/?p=480049 Ссылка на комментарий
Kolchanov Опубликовано 31 августа, 2015 Поделиться Опубликовано 31 августа, 2015 А в вашем случае зачем этого потерпевшего назад пригнали? Болит? Ссылка на комментарий
Fred Опубликовано 31 августа, 2015 Автор Поделиться Опубликовано 31 августа, 2015 А в вашем случае зачем этого потерпевшего назад пригнали? Болит?Коллега заметила случайно, мост пока еще не сдан. Просит спасать ситуацию от коллеги, натворившего это. Ссылка на комментарий
diesel87 Опубликовано 31 августа, 2015 Поделиться Опубликовано 31 августа, 2015 Так что нашли под вкв? Ссылка на комментарий
molchanoff Опубликовано 1 сентября, 2015 Поделиться Опубликовано 1 сентября, 2015 зачем оно вам надов плевашку зуб 2 Ссылка на комментарий
Бардо Опубликовано 1 сентября, 2015 Поделиться Опубликовано 1 сентября, 2015 вторая нога в небном? На кой тогда ДБ раскурочили? Жалко зуб чего-то ( Ссылка на комментарий
Л Ю С Я Опубликовано 1 сентября, 2015 Поделиться Опубликовано 1 сентября, 2015 Мед корень похоже убит. Здесь планируется мостовидная конструкция, как я поняла, не стала бы рисковать. В крайнем случае одиночка с последующей имплантацией 2 Ссылка на комментарий
Fred Опубликовано 7 сентября, 2015 Автор Поделиться Опубликовано 7 сентября, 2015 Мед корень похоже убит. Здесь планируется мостовидная конструкция, как я поняла, не стала бы рисковать. В крайнем случае одиночка с последующей имплантациейПока пациентки у меня не было, так что отчитаться не могу. Ссылка на комментарий
Рекомендуемые сообщения
Для публикации сообщений создайте учётную запись или авторизуйтесь
Вы должны быть пользователем, чтобы оставить комментарий
Создать аккаунт
Зарегистрируйте новый аккаунт в нашем сообществе. Это очень просто!
Регистрация нового пользователяВойти
Уже есть аккаунт? Войти в систему.
Войти