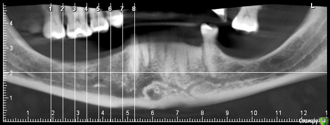
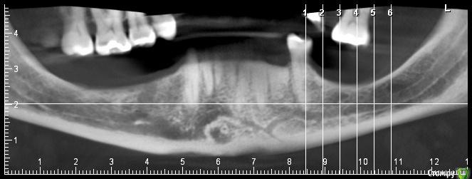
Dc.Petrov Опубликовано 27 августа, 2015 Поделиться Опубликовано 27 августа, 2015 Прошу совета по ситуации. Есть ли показания для сендвич метода? Есть ли другие альтернативы? Ссылка на комментарий
Дмитрий Б Опубликовано 27 августа, 2015 Поделиться Опубликовано 27 августа, 2015 Простит пожалуйста , а что такое "гараж" ? Ссылка на комментарий
ILGAMSA Опубликовано 27 августа, 2015 Поделиться Опубликовано 27 августа, 2015 Да, можно. 2 Ссылка на комментарий
Большой Зеленый Опубликовано 27 августа, 2015 Поделиться Опубликовано 27 августа, 2015 Прошу совета по ситуации. Есть ли показания для сендвич метода? Есть ли другие альтернативы?1.jpgкт слева.jpg4.jpgкт срава.jpg3.jpg2.jpg"Гараж" штука не простая .Если не можете определить показания то браться сразу не стоит. Ссылка на комментарий
carloss Опубликовано 27 августа, 2015 Поделиться Опубликовано 27 августа, 2015 (изменено) Есть ли другие альтернативы? альтернатива - короткие имплантаты.. одна восьмерка впереди и две шестерки сзади.. только нужно быть осторожным с каналом, хотя слева может и не прокатить.. там не очень ясно с кт где-что Изменено 27 августа, 2015 пользователем carloss 5 Ссылка на комментарий
колесников Опубликовано 27 августа, 2015 Поделиться Опубликовано 27 августа, 2015 можно инлай с имплантацией скопоновать. Ссылка на комментарий
ILGAMSA Опубликовано 28 августа, 2015 Поделиться Опубликовано 28 августа, 2015 можно инлай с имплантацией скопоновать.Есть похожий кейс? Ссылка на комментарий
Dc.Petrov Опубликовано 28 августа, 2015 Автор Поделиться Опубликовано 28 августа, 2015 "Гараж" штука не простая .Если не можете определить показания то браться сразу не стоит.Когда то надо начинать Ссылка на комментарий
колесников Опубликовано 28 августа, 2015 Поделиться Опубликовано 28 августа, 2015 извините не веду фотопротоколов. пока всё (сплюнул) проходило удачно. 2 4 Ссылка на комментарий
Популярный пост ILGAMSA Опубликовано 28 августа, 2015 Популярный пост Поделиться Опубликовано 28 августа, 2015 извините не веду фотопротоколов. пока всё (сплюнул) проходило удачно.Я тоже пару раз голову удачно пересадил. Только фото вот нету. 23 1 Ссылка на комментарий
Dc.Petrov Опубликовано 28 августа, 2015 Автор Поделиться Опубликовано 28 августа, 2015 Я тоже пару раз голову удачно пересадил. Только фото вот нету.Поясните, пжста, что вы имели ввиду под "головой" 2 Ссылка на комментарий
ILGAMSA Опубликовано 28 августа, 2015 Поделиться Опубликовано 28 августа, 2015 (изменено) Поясните, пжста, что вы имели ввиду под "головой"То, что на форуме не привыкли верить на слово. Принято подкреплять свои слова своими же кейсами.А увидеть горизонтальное расщепление одномоментно с имплантацией хотелось бы. Изменено 28 августа, 2015 пользователем ILGAMSA 2 Ссылка на комментарий
колесников Опубликовано 28 августа, 2015 Поделиться Опубликовано 28 августа, 2015 То, что на форуме не привыкли верить на слово. Принято подкреплять свои слова своими же кейсами.А увидеть горизонтальное расщепление одномоментно с имплантацией хотелось бы. Ссылка на комментарий
колесников Опубликовано 28 августа, 2015 Поделиться Опубликовано 28 августа, 2015 фотопротоколы не веду.если вас устроят снимки ,в понедельник буду в клинике,поищу в базе . вы собственно по ситуации спросили совета,я ответил как в таком случае поступаю. если у вас какие то сомнения по предложенному варианту,проведите в 2 этапа:вначале иналай,после имплантация. будет дольше, но результат одинаков. Ссылка на комментарий
ILGAMSA Опубликовано 29 августа, 2015 Поделиться Опубликовано 29 августа, 2015 фотопротоколы не веду.если вас устроят снимки ,в понедельник буду в клинике,поищу в базе .вы собственно по ситуации спросили совета,я ответил как в таком случае поступаю. если у вас какие то сомнения по предложенному варианту,проведите в 2 этапа:вначале иналай,после имплантация. будет дольше, но результат одинаков.Давайте хотя бы снимки. Ни Ole Jensen, ни Nils Gellrich - основатели этой методики не рекомендуют делать это одноэтапно. ITI тоже не рекомендует и описывает резкое снижение "выживаемости" имплантатов при одноэтапном подходе. 4 Ссылка на комментарий
колесников Опубликовано 29 августа, 2015 Поделиться Опубликовано 29 августа, 2015 нужно пробовать,искать. имплантация тоже родилась в ходе эксперимента. Ссылка на комментарий
АнтонТЛТ Опубликовано 29 августа, 2015 Поделиться Опубликовано 29 августа, 2015 Ждем снимки 1 Ссылка на комментарий
Dc.Petrov Опубликовано 31 августа, 2015 Автор Поделиться Опубликовано 31 августа, 2015 Спасибо за коментарии, если дойдет до дела, отпишусь Ссылка на комментарий
колесников Опубликовано 31 августа, 2015 Поделиться Опубликовано 31 августа, 2015 Ждем снимки сожалею,в клинике оказывается запрет на экспорт фалов. этот кадр сделан на телефон с распечатанного. через месяц после имплантации. 45,36 одномоментно с горизонтальным расщеплением+апатос+ламина,37 одномоментно с удалением. 45,36 изначально узкий гребень(1-3мм) и дефицит по высоте :46-6мм,36-8мм. Ссылка на комментарий
Maxfac Опубликовано 31 августа, 2015 Поделиться Опубликовано 31 августа, 2015 (изменено) Хотел пошутить, но передумал. Изменено 31 августа, 2015 пользователем Maxfac Ссылка на комментарий
Большой Зеленый Опубликовано 1 сентября, 2015 Поделиться Опубликовано 1 сентября, 2015 Аналогично..) 1 Ссылка на комментарий
ILGAMSA Опубликовано 1 сентября, 2015 Поделиться Опубликовано 1 сентября, 2015 Ясно 2 Ссылка на комментарий
Доктор Алекс Опубликовано 1 сентября, 2015 Поделиться Опубликовано 1 сентября, 2015 http://www.ncbi.nlm.nih.gov/pubmed/24818205 Ссылка на комментарий
Bier Опубликовано 1 сентября, 2015 Поделиться Опубликовано 1 сентября, 2015 По ссылке обсуждается он-лэй пластика блоками, а в теме ресь идет о расщеплении. Ссылка на комментарий
Доктор Алекс Опубликовано 1 сентября, 2015 Поделиться Опубликовано 1 сентября, 2015 По ссылке обсуждается он-лэй пластика блоками, а в теме ресь идет о расщеплении.Это больше к мнению о коротких имплантатах. Ссылка на комментарий
Рекомендуемые сообщения
Для публикации сообщений создайте учётную запись или авторизуйтесь
Вы должны быть пользователем, чтобы оставить комментарий
Создать аккаунт
Зарегистрируйте новый аккаунт в нашем сообществе. Это очень просто!
Регистрация нового пользователяВойти
Уже есть аккаунт? Войти в систему.
Войти